玉子皮热水提取物通过PI3K-Akt-mTOR/FoxO3α信号通路对地塞米松诱导的骨骼肌萎缩具有保护作用。

IF 1.5 4区 医学 Q3 NUTRITION & DIETETICS
Nutrition Research and Practice Pub Date : 2025-08-01 Epub Date: 2025-04-23 DOI:10.4162/nrp.2025.19.4.511
Se-Hwa Kim, Soo-Young Choi, Hae-In Lee, Mi-Kyung Lee
{"title":"玉子皮热水提取物通过PI3K-Akt-mTOR/FoxO3α信号通路对地塞米松诱导的骨骼肌萎缩具有保护作用。","authors":"Se-Hwa Kim, Soo-Young Choi, Hae-In Lee, Mi-Kyung Lee","doi":"10.4162/nrp.2025.19.4.511","DOIUrl":null,"url":null,"abstract":"<p><strong>Background/objectives: </strong>Yuja peel possesses anti-cancer, anti-inflammatory, and anti-diabetic properties. However, its potential anti-sarcopenic effects remain unclear. This study examined the effects of yuja peel hot water extract (YW) on dexamethasone (DEX)-induced muscle atrophy in C2C12 myotubes and sarcopenic mouse model.</p><p><strong>Materials/methods: </strong>We measured grip strength, cross-sectional area of the muscle fiber, biochemical markers, and expression of muscle-specific messenger RNA and proteins in atrophied muscle cell/tissue after treatment with YW.</p><p><strong>Results: </strong>In DEX-treated C2C12 cells, YW (100 and 200 µg/mL) increased the diameter of myotubes and reduced the gene and protein expression of muscle-specific F-box protein (atrogin-1) and muscle RING-finger protein-1 (MuRF-1) compared to the DEX (100 µM). In the mouse model with DEX (10 mg/kg)-induced muscle atrophy, treatment with YW (200 mg/kg/day) significantly increased grip strength and the cross-sectional area of the gastrocnemius muscle fibers, whereas it decreased serum lactate dehydrogenase and creatine phosphokinase levels compared to the DEX group. Treatment with YW downregulated the proteins related to muscle degradation, such as atrogin-1, MuRF-1, ubiquitin, and growth differentiation factor 8 (myostatin), by regulating the phosphatidylinositol 3-kinase (PI3K)-protein kinase B (Akt)-forkhead box O3 alpha (FoxO3α) pathway. Furthermore, treatment with YW upregulated the proteins associated with muscle protein synthesis, such as myogenic differentiation 1 (MyoD1), myogenin (MyoG), and myosin heavy chain (MHC), by regulating the PI3K-Akt-mammalian target of rapamycin (mTOR) pathway. A puromycin labeling assay in C2C12 myotube cells showed that YW treatment significantly increased protein synthesis compared to the cells treated with DEX alone. YW significantly upregulated the protein expression of phosphorylated PI3K and Akt in wortmannin (a PI3K inhibitor)-treated C2C12 cells.</p><p><strong>Conclusion: </strong>YW suppressed DEX-induced muscle atrophy by regulating the PI3K-Akt-mTOR/FoxO3α signaling pathway. These results indicate that YW may serve as a potential agent for the treatment or prevention of muscle atrophy.</p>","PeriodicalId":19232,"journal":{"name":"Nutrition Research and Practice","volume":"19 4","pages":"511-524"},"PeriodicalIF":1.5000,"publicationDate":"2025-08-01","publicationTypes":"Journal Article","fieldsOfStudy":null,"isOpenAccess":false,"openAccessPdf":"https://www.ncbi.nlm.nih.gov/pmc/articles/PMC12340090/pdf/","citationCount":"0","resultStr":"{\"title\":\"Yuja peel hot water extract protects against dexamethasone-induced skeletal muscle atrophy through the PI3K-Akt-mTOR/FoxO3α signaling pathway.\",\"authors\":\"Se-Hwa Kim, Soo-Young Choi, Hae-In Lee, Mi-Kyung Lee\",\"doi\":\"10.4162/nrp.2025.19.4.511\",\"DOIUrl\":null,\"url\":null,\"abstract\":\"<p><strong>Background/objectives: </strong>Yuja peel possesses anti-cancer, anti-inflammatory, and anti-diabetic properties. However, its potential anti-sarcopenic effects remain unclear. This study examined the effects of yuja peel hot water extract (YW) on dexamethasone (DEX)-induced muscle atrophy in C2C12 myotubes and sarcopenic mouse model.</p><p><strong>Materials/methods: </strong>We measured grip strength, cross-sectional area of the muscle fiber, biochemical markers, and expression of muscle-specific messenger RNA and proteins in atrophied muscle cell/tissue after treatment with YW.</p><p><strong>Results: </strong>In DEX-treated C2C12 cells, YW (100 and 200 µg/mL) increased the diameter of myotubes and reduced the gene and protein expression of muscle-specific F-box protein (atrogin-1) and muscle RING-finger protein-1 (MuRF-1) compared to the DEX (100 µM). In the mouse model with DEX (10 mg/kg)-induced muscle atrophy, treatment with YW (200 mg/kg/day) significantly increased grip strength and the cross-sectional area of the gastrocnemius muscle fibers, whereas it decreased serum lactate dehydrogenase and creatine phosphokinase levels compared to the DEX group. Treatment with YW downregulated the proteins related to muscle degradation, such as atrogin-1, MuRF-1, ubiquitin, and growth differentiation factor 8 (myostatin), by regulating the phosphatidylinositol 3-kinase (PI3K)-protein kinase B (Akt)-forkhead box O3 alpha (FoxO3α) pathway. Furthermore, treatment with YW upregulated the proteins associated with muscle protein synthesis, such as myogenic differentiation 1 (MyoD1), myogenin (MyoG), and myosin heavy chain (MHC), by regulating the PI3K-Akt-mammalian target of rapamycin (mTOR) pathway. A puromycin labeling assay in C2C12 myotube cells showed that YW treatment significantly increased protein synthesis compared to the cells treated with DEX alone. YW significantly upregulated the protein expression of phosphorylated PI3K and Akt in wortmannin (a PI3K inhibitor)-treated C2C12 cells.</p><p><strong>Conclusion: </strong>YW suppressed DEX-induced muscle atrophy by regulating the PI3K-Akt-mTOR/FoxO3α signaling pathway. These results indicate that YW may serve as a potential agent for the treatment or prevention of muscle atrophy.</p>\",\"PeriodicalId\":19232,\"journal\":{\"name\":\"Nutrition Research and Practice\",\"volume\":\"19 4\",\"pages\":\"511-524\"},\"PeriodicalIF\":1.5000,\"publicationDate\":\"2025-08-01\",\"publicationTypes\":\"Journal Article\",\"fieldsOfStudy\":null,\"isOpenAccess\":false,\"openAccessPdf\":\"https://www.ncbi.nlm.nih.gov/pmc/articles/PMC12340090/pdf/\",\"citationCount\":\"0\",\"resultStr\":null,\"platform\":\"Semanticscholar\",\"paperid\":null,\"PeriodicalName\":\"Nutrition Research and Practice\",\"FirstCategoryId\":\"3\",\"ListUrlMain\":\"https://doi.org/10.4162/nrp.2025.19.4.511\",\"RegionNum\":4,\"RegionCategory\":\"医学\",\"ArticlePicture\":[],\"TitleCN\":null,\"AbstractTextCN\":null,\"PMCID\":null,\"EPubDate\":\"2025/4/23 0:00:00\",\"PubModel\":\"Epub\",\"JCR\":\"Q3\",\"JCRName\":\"NUTRITION & DIETETICS\",\"Score\":null,\"Total\":0}","platform":"Semanticscholar","paperid":null,"PeriodicalName":"Nutrition Research and Practice","FirstCategoryId":"3","ListUrlMain":"https://doi.org/10.4162/nrp.2025.19.4.511","RegionNum":4,"RegionCategory":"医学","ArticlePicture":[],"TitleCN":null,"AbstractTextCN":null,"PMCID":null,"EPubDate":"2025/4/23 0:00:00","PubModel":"Epub","JCR":"Q3","JCRName":"NUTRITION & DIETETICS","Score":null,"Total":0}
引用次数: 0

摘要

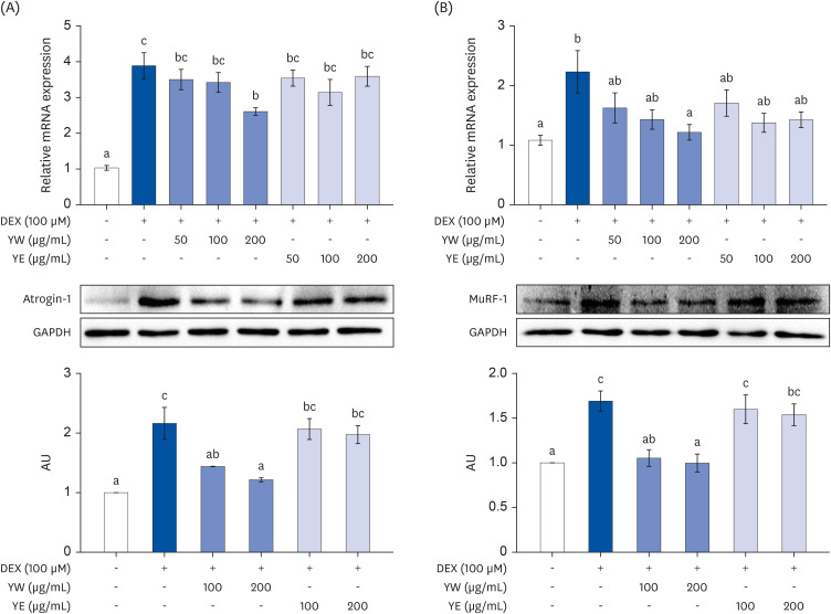
背景/目的:柚子皮具有抗癌、抗炎、抗糖尿病的作用。然而,其潜在的抗肌肉减少作用尚不清楚。本研究探讨了枸杞子皮热水提取物(YW)对地塞米松(DEX)诱导的C2C12肌管和肌肉减少模型小鼠肌肉萎缩的影响。材料/方法:我们测量了YW治疗后萎缩肌肉细胞/组织的握力、肌纤维横截面积、生化标志物和肌肉特异性信使RNA和蛋白质的表达。结果:在DEX处理的C2C12细胞中,与DEX(100µg/mL)相比,YW(100和200µg/mL)增加了肌管直径,降低了肌肉特异性F-box蛋白(atroggin -1)和肌肉无名指蛋白(MuRF-1)的基因和蛋白表达。在DEX (10 mg/kg)致小鼠肌肉萎缩模型中,与DEX组相比,YW (200 mg/kg/d)处理显著增加了小鼠的握力和腓肠肌纤维的横截面积,降低了血清乳酸脱氢酶和肌酸磷酸激酶水平。YW通过调节磷脂酰肌醇3-激酶(PI3K)-蛋白激酶B (Akt)-叉头盒O3α (FoxO3α)通路,下调与肌肉降解相关的蛋白,如atroggin -1、MuRF-1、泛素和生长分化因子8 (myostatin)。此外,YW治疗通过调节雷帕霉素(mTOR)途径的pi3k - akt -哺乳动物靶点,上调与肌肉蛋白合成相关的蛋白质,如肌原性分化1 (MyoD1)、肌原素(MyoG)和肌球蛋白重链(MHC)。C2C12肌管细胞的嘌呤霉素标记实验显示,与DEX单独处理的细胞相比,YW处理显著增加了蛋白质合成。YW显著上调wortmannin(一种PI3K抑制剂)处理的C2C12细胞中磷酸化PI3K和Akt的蛋白表达。结论:YW通过调节PI3K-Akt-mTOR/FoxO3α信号通路抑制dex诱导的肌萎缩。这些结果表明,黄芪多糖可能是一种治疗或预防肌肉萎缩的潜在药物。
本文章由计算机程序翻译,如有差异,请以英文原文为准。

Yuja peel hot water extract protects against dexamethasone-induced skeletal muscle atrophy through the PI3K-Akt-mTOR/FoxO3α signaling pathway.

Yuja peel hot water extract protects against dexamethasone-induced skeletal muscle atrophy through the PI3K-Akt-mTOR/FoxO3α signaling pathway.

Yuja peel hot water extract protects against dexamethasone-induced skeletal muscle atrophy through the PI3K-Akt-mTOR/FoxO3α signaling pathway.

Yuja peel hot water extract protects against dexamethasone-induced skeletal muscle atrophy through the PI3K-Akt-mTOR/FoxO3α signaling pathway.

Background/objectives: Yuja peel possesses anti-cancer, anti-inflammatory, and anti-diabetic properties. However, its potential anti-sarcopenic effects remain unclear. This study examined the effects of yuja peel hot water extract (YW) on dexamethasone (DEX)-induced muscle atrophy in C2C12 myotubes and sarcopenic mouse model.

Materials/methods: We measured grip strength, cross-sectional area of the muscle fiber, biochemical markers, and expression of muscle-specific messenger RNA and proteins in atrophied muscle cell/tissue after treatment with YW.

Results: In DEX-treated C2C12 cells, YW (100 and 200 µg/mL) increased the diameter of myotubes and reduced the gene and protein expression of muscle-specific F-box protein (atrogin-1) and muscle RING-finger protein-1 (MuRF-1) compared to the DEX (100 µM). In the mouse model with DEX (10 mg/kg)-induced muscle atrophy, treatment with YW (200 mg/kg/day) significantly increased grip strength and the cross-sectional area of the gastrocnemius muscle fibers, whereas it decreased serum lactate dehydrogenase and creatine phosphokinase levels compared to the DEX group. Treatment with YW downregulated the proteins related to muscle degradation, such as atrogin-1, MuRF-1, ubiquitin, and growth differentiation factor 8 (myostatin), by regulating the phosphatidylinositol 3-kinase (PI3K)-protein kinase B (Akt)-forkhead box O3 alpha (FoxO3α) pathway. Furthermore, treatment with YW upregulated the proteins associated with muscle protein synthesis, such as myogenic differentiation 1 (MyoD1), myogenin (MyoG), and myosin heavy chain (MHC), by regulating the PI3K-Akt-mammalian target of rapamycin (mTOR) pathway. A puromycin labeling assay in C2C12 myotube cells showed that YW treatment significantly increased protein synthesis compared to the cells treated with DEX alone. YW significantly upregulated the protein expression of phosphorylated PI3K and Akt in wortmannin (a PI3K inhibitor)-treated C2C12 cells.

Conclusion: YW suppressed DEX-induced muscle atrophy by regulating the PI3K-Akt-mTOR/FoxO3α signaling pathway. These results indicate that YW may serve as a potential agent for the treatment or prevention of muscle atrophy.

求助全文
通过发布文献求助,成功后即可免费获取论文全文。 去求助
来源期刊
Nutrition Research and Practice
Nutrition Research and Practice NUTRITION & DIETETICS-
CiteScore
3.50
自引率
4.20%
发文量
62
审稿时长
6-12 weeks
期刊介绍: Nutrition Research and Practice (NRP) is an official journal, jointly published by the Korean Nutrition Society and the Korean Society of Community Nutrition since 2007. The journal had been published quarterly at the initial stage and has been published bimonthly since 2010. NRP aims to stimulate research and practice across diverse areas of human nutrition. The Journal publishes peer-reviewed original manuscripts on nutrition biochemistry and metabolism, community nutrition, nutrition and disease management, nutritional epidemiology, nutrition education, foodservice management in the following categories: Original Research Articles, Notes, Communications, and Reviews. Reviews will be received by the invitation of the editors only. Statements made and opinions expressed in the manuscripts published in this Journal represent the views of authors and do not necessarily reflect the opinion of the Societies.
×
引用
GB/T 7714-2015
复制
MLA
复制
APA
复制
导出至
BibTeX EndNote RefMan NoteFirst NoteExpress
×
提示
您的信息不完整,为了账户安全,请先补充。
现在去补充
×
提示
您因"违规操作"
具体请查看互助需知
我知道了
×
提示
确定
请完成安全验证×
copy
已复制链接
快去分享给好友吧!
我知道了
右上角分享
点击右上角分享
0
联系我们:info@booksci.cn Book学术提供免费学术资源搜索服务,方便国内外学者检索中英文文献。致力于提供最便捷和优质的服务体验。 Copyright © 2023 布克学术 All rights reserved.
京ICP备2023020795号-1
ghs 京公网安备 11010802042870号
Book学术文献互助
Book学术文献互助群
群 号:604180095
Book学术官方微信