海洋绿藻Enteromorpha linza (Linnaeus) J. Agardh。在人肝癌Hep3B细胞中诱导活性氧依赖的生长阻滞和凋亡。

IF 1.5 4区 医学 Q3 NUTRITION & DIETETICS
Nutrition Research and Practice Pub Date : 2025-08-01 Epub Date: 2025-03-31 DOI:10.4162/nrp.2025.19.4.497
Eun Ok Choi, Gi-Young Kim, Hye-Jin Hwang, Yung Hyun Choi
{"title":"海洋绿藻Enteromorpha linza (Linnaeus) J. Agardh。在人肝癌Hep3B细胞中诱导活性氧依赖的生长阻滞和凋亡。","authors":"Eun Ok Choi, Gi-Young Kim, Hye-Jin Hwang, Yung Hyun Choi","doi":"10.4162/nrp.2025.19.4.497","DOIUrl":null,"url":null,"abstract":"<p><strong>Background/objectives: </strong>Although seaweed has recently been attracting attention as an important source for the control of numerous diseases including cancer, studies on the anti-cancer activity of the green alga <i>Enteromorpha linza</i> (Linnaeus) J. Agardh. are still insufficient. The purpose of this study was to investigate the anti-cancer activity of the green alga <i>E. linza</i> in human hepatocellular carcinoma Hep3B cells.</p><p><strong>Materials/methods: </strong>The effect of methyl alcohol extract of <i>E. linza</i> (MEEL) on cell viability and the induction of cell cycle arrest and apoptosis of Hep3B cells was investigated. To evaluate the anti-cancer activity mechanism of MEEL, the production of reactive oxygen species (ROS) and mitochondrial membrane potential were detected. We also investigated changes in the expression of key regulators of cell cycle and apoptosis.</p><p><strong>Results: </strong>Our results indicated that MEEL-induced inhibition of Hep3B cell proliferation was associated with G1 phase cell cycle arrest, along with the induction of cyclin-dependent kinase (Cdk) inhibitor p21 expression, suppression of cyclin D1 and E expression, and dephosphorylation of retinoblastoma protein (pRB). In addition, MEEL markedly enhanced the complex formation between p21 and Cdk4/6, as well as pRB and the transcription factor E2Fs, respectively. MEEL also induced apoptosis by activation of caspases. Moreover, MEEL interfered with mitochondrial integration by altering the level of Bcl-2 family proteins to increase cytoplasmic release of cytochrome <i>c</i>. Furthermore, MEEL significantly enhanced the generation of ROS, whereas ROS scavenger restored reduced viability by attenuating MEEL-mediated growth arrest and apoptosis.</p><p><strong>Conclusion: </strong>Collectively, the present findings demonstrate that the antiproliferative efficacy of MEEL in Hep3B cells can be achieved through ROS-dependent pathway.</p>","PeriodicalId":19232,"journal":{"name":"Nutrition Research and Practice","volume":"19 4","pages":"497-510"},"PeriodicalIF":1.5000,"publicationDate":"2025-08-01","publicationTypes":"Journal Article","fieldsOfStudy":null,"isOpenAccess":false,"openAccessPdf":"https://www.ncbi.nlm.nih.gov/pmc/articles/PMC12340100/pdf/","citationCount":"0","resultStr":"{\"title\":\"Methyl alcohol extract of marine green alga <i>Enteromorpha linza</i> (Linnaeus) J. Agardh. induces reactive oxygen species-dependent growth arrest and apoptosis in human hepatocellular carcinoma Hep3B cells.\",\"authors\":\"Eun Ok Choi, Gi-Young Kim, Hye-Jin Hwang, Yung Hyun Choi\",\"doi\":\"10.4162/nrp.2025.19.4.497\",\"DOIUrl\":null,\"url\":null,\"abstract\":\"<p><strong>Background/objectives: </strong>Although seaweed has recently been attracting attention as an important source for the control of numerous diseases including cancer, studies on the anti-cancer activity of the green alga <i>Enteromorpha linza</i> (Linnaeus) J. Agardh. are still insufficient. The purpose of this study was to investigate the anti-cancer activity of the green alga <i>E. linza</i> in human hepatocellular carcinoma Hep3B cells.</p><p><strong>Materials/methods: </strong>The effect of methyl alcohol extract of <i>E. linza</i> (MEEL) on cell viability and the induction of cell cycle arrest and apoptosis of Hep3B cells was investigated. To evaluate the anti-cancer activity mechanism of MEEL, the production of reactive oxygen species (ROS) and mitochondrial membrane potential were detected. We also investigated changes in the expression of key regulators of cell cycle and apoptosis.</p><p><strong>Results: </strong>Our results indicated that MEEL-induced inhibition of Hep3B cell proliferation was associated with G1 phase cell cycle arrest, along with the induction of cyclin-dependent kinase (Cdk) inhibitor p21 expression, suppression of cyclin D1 and E expression, and dephosphorylation of retinoblastoma protein (pRB). In addition, MEEL markedly enhanced the complex formation between p21 and Cdk4/6, as well as pRB and the transcription factor E2Fs, respectively. MEEL also induced apoptosis by activation of caspases. Moreover, MEEL interfered with mitochondrial integration by altering the level of Bcl-2 family proteins to increase cytoplasmic release of cytochrome <i>c</i>. Furthermore, MEEL significantly enhanced the generation of ROS, whereas ROS scavenger restored reduced viability by attenuating MEEL-mediated growth arrest and apoptosis.</p><p><strong>Conclusion: </strong>Collectively, the present findings demonstrate that the antiproliferative efficacy of MEEL in Hep3B cells can be achieved through ROS-dependent pathway.</p>\",\"PeriodicalId\":19232,\"journal\":{\"name\":\"Nutrition Research and Practice\",\"volume\":\"19 4\",\"pages\":\"497-510\"},\"PeriodicalIF\":1.5000,\"publicationDate\":\"2025-08-01\",\"publicationTypes\":\"Journal Article\",\"fieldsOfStudy\":null,\"isOpenAccess\":false,\"openAccessPdf\":\"https://www.ncbi.nlm.nih.gov/pmc/articles/PMC12340100/pdf/\",\"citationCount\":\"0\",\"resultStr\":null,\"platform\":\"Semanticscholar\",\"paperid\":null,\"PeriodicalName\":\"Nutrition Research and Practice\",\"FirstCategoryId\":\"3\",\"ListUrlMain\":\"https://doi.org/10.4162/nrp.2025.19.4.497\",\"RegionNum\":4,\"RegionCategory\":\"医学\",\"ArticlePicture\":[],\"TitleCN\":null,\"AbstractTextCN\":null,\"PMCID\":null,\"EPubDate\":\"2025/3/31 0:00:00\",\"PubModel\":\"Epub\",\"JCR\":\"Q3\",\"JCRName\":\"NUTRITION & DIETETICS\",\"Score\":null,\"Total\":0}","platform":"Semanticscholar","paperid":null,"PeriodicalName":"Nutrition Research and Practice","FirstCategoryId":"3","ListUrlMain":"https://doi.org/10.4162/nrp.2025.19.4.497","RegionNum":4,"RegionCategory":"医学","ArticlePicture":[],"TitleCN":null,"AbstractTextCN":null,"PMCID":null,"EPubDate":"2025/3/31 0:00:00","PubModel":"Epub","JCR":"Q3","JCRName":"NUTRITION & DIETETICS","Score":null,"Total":0}
引用次数: 0

摘要

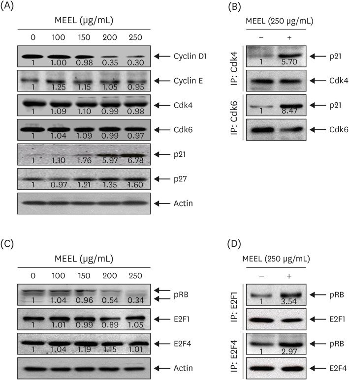
背景/目的:海藻作为控制包括癌症在内的许多疾病的重要来源近年来备受关注,但对绿藻Enteromorpha linza (Linnaeus) J. Agardh的抗癌活性的研究。仍然不够。本研究旨在探讨绿藻对人肝癌Hep3B细胞的抗癌作用。材料/方法:研究林芝甲醇提取物(MEEL)对Hep3B细胞活力的影响,以及对细胞周期阻滞和凋亡的诱导作用。为了评价MEEL的抗癌作用机制,我们检测了MEEL的活性氧(ROS)生成和线粒体膜电位。我们还研究了细胞周期和凋亡关键调控因子的表达变化。结果:我们的研究结果表明,meel诱导的Hep3B细胞增殖抑制与G1期细胞周期阻滞有关,同时诱导细胞周期蛋白依赖性激酶(Cdk)抑制剂p21的表达,抑制细胞周期蛋白D1和E的表达,以及视网膜母细胞瘤蛋白(pRB)的去磷酸化。此外,MEEL显著增强了p21与Cdk4/6之间的复合物形成,以及pRB和转录因子E2Fs之间的复合物形成。MEEL还通过激活半胱天冬酶诱导细胞凋亡。此外,MEEL通过改变Bcl-2家族蛋白的水平来干扰线粒体整合,从而增加细胞质中细胞色素c的释放。此外,MEEL显著增强ROS的产生,而ROS清除剂通过减弱MEEL介导的生长停滞和凋亡来恢复降低的活力。结论:综上所述,MEEL对Hep3B细胞的抗增殖作用可以通过ros依赖途径实现。
本文章由计算机程序翻译,如有差异,请以英文原文为准。

Methyl alcohol extract of marine green alga <i>Enteromorpha linza</i> (Linnaeus) J. Agardh. induces reactive oxygen species-dependent growth arrest and apoptosis in human hepatocellular carcinoma Hep3B cells.

Methyl alcohol extract of marine green alga <i>Enteromorpha linza</i> (Linnaeus) J. Agardh. induces reactive oxygen species-dependent growth arrest and apoptosis in human hepatocellular carcinoma Hep3B cells.

Methyl alcohol extract of marine green alga <i>Enteromorpha linza</i> (Linnaeus) J. Agardh. induces reactive oxygen species-dependent growth arrest and apoptosis in human hepatocellular carcinoma Hep3B cells.

Methyl alcohol extract of marine green alga Enteromorpha linza (Linnaeus) J. Agardh. induces reactive oxygen species-dependent growth arrest and apoptosis in human hepatocellular carcinoma Hep3B cells.

Background/objectives: Although seaweed has recently been attracting attention as an important source for the control of numerous diseases including cancer, studies on the anti-cancer activity of the green alga Enteromorpha linza (Linnaeus) J. Agardh. are still insufficient. The purpose of this study was to investigate the anti-cancer activity of the green alga E. linza in human hepatocellular carcinoma Hep3B cells.

Materials/methods: The effect of methyl alcohol extract of E. linza (MEEL) on cell viability and the induction of cell cycle arrest and apoptosis of Hep3B cells was investigated. To evaluate the anti-cancer activity mechanism of MEEL, the production of reactive oxygen species (ROS) and mitochondrial membrane potential were detected. We also investigated changes in the expression of key regulators of cell cycle and apoptosis.

Results: Our results indicated that MEEL-induced inhibition of Hep3B cell proliferation was associated with G1 phase cell cycle arrest, along with the induction of cyclin-dependent kinase (Cdk) inhibitor p21 expression, suppression of cyclin D1 and E expression, and dephosphorylation of retinoblastoma protein (pRB). In addition, MEEL markedly enhanced the complex formation between p21 and Cdk4/6, as well as pRB and the transcription factor E2Fs, respectively. MEEL also induced apoptosis by activation of caspases. Moreover, MEEL interfered with mitochondrial integration by altering the level of Bcl-2 family proteins to increase cytoplasmic release of cytochrome c. Furthermore, MEEL significantly enhanced the generation of ROS, whereas ROS scavenger restored reduced viability by attenuating MEEL-mediated growth arrest and apoptosis.

Conclusion: Collectively, the present findings demonstrate that the antiproliferative efficacy of MEEL in Hep3B cells can be achieved through ROS-dependent pathway.

求助全文
通过发布文献求助,成功后即可免费获取论文全文。 去求助
来源期刊
Nutrition Research and Practice
Nutrition Research and Practice NUTRITION & DIETETICS-
CiteScore
3.50
自引率
4.20%
发文量
62
审稿时长
6-12 weeks
期刊介绍: Nutrition Research and Practice (NRP) is an official journal, jointly published by the Korean Nutrition Society and the Korean Society of Community Nutrition since 2007. The journal had been published quarterly at the initial stage and has been published bimonthly since 2010. NRP aims to stimulate research and practice across diverse areas of human nutrition. The Journal publishes peer-reviewed original manuscripts on nutrition biochemistry and metabolism, community nutrition, nutrition and disease management, nutritional epidemiology, nutrition education, foodservice management in the following categories: Original Research Articles, Notes, Communications, and Reviews. Reviews will be received by the invitation of the editors only. Statements made and opinions expressed in the manuscripts published in this Journal represent the views of authors and do not necessarily reflect the opinion of the Societies.
×
引用
GB/T 7714-2015
复制
MLA
复制
APA
复制
导出至
BibTeX EndNote RefMan NoteFirst NoteExpress
×
提示
您的信息不完整,为了账户安全,请先补充。
现在去补充
×
提示
您因"违规操作"
具体请查看互助需知
我知道了
×
提示
确定
请完成安全验证×
copy
已复制链接
快去分享给好友吧!
我知道了
右上角分享
点击右上角分享
0
联系我们:info@booksci.cn Book学术提供免费学术资源搜索服务,方便国内外学者检索中英文文献。致力于提供最便捷和优质的服务体验。 Copyright © 2023 布克学术 All rights reserved.
京ICP备2023020795号-1
ghs 京公网安备 11010802042870号
Book学术文献互助
Book学术文献互助群
群 号:604180095
Book学术官方微信