阿普米司特治疗肉芽肿、环状扁平苔藓1例。

IF 0.7 Q3 MEDICINE, GENERAL & INTERNAL
Case Reports in Medicine Pub Date : 2025-08-06 eCollection Date: 2025-01-01 DOI:10.1155/carm/6883705
Emre Sarıkaya, Meltem Türkmen, Selcen Kundak, Sümeyye Ekmekci
{"title":"阿普米司特治疗肉芽肿、环状扁平苔藓1例。","authors":"Emre Sarıkaya, Meltem Türkmen, Selcen Kundak, Sümeyye Ekmekci","doi":"10.1155/carm/6883705","DOIUrl":null,"url":null,"abstract":"<p><p>Granuloma annulare (GA) is an inflammatory and granulomatous dermatosis characterized by annular erythematous papules/plaques frequently localized in acral regions. Proinflammatory cytokines such as tumor necrosis factor-alpha (TNF-α) and interferon-gamma (IFN-γ), which are released by T helper 1 (Th1) lymphocytes inducing macrophages, are thought to play a role in its pathogenesis. Lichen planus (LP) is an inflammatory dermatosis characterized by pruritic scaly purple papules, often on the wrists and ankles, and can also affect mucosa, hair, and nails. T-cell-mediated proinflammatory cytokines such as IFN-γ and TNF-α, which are released by macrophages upon Th1 stimulation, have been implicated in the pathogenesis of LP, as in GA. A new treatment option is needed in the treatment of these diseases due to suboptimal results and adverse side-effect profiles with conventional treatments. Apremilast is a phosphodiesterase-4 (PDE4) inhibitor and inhibits the production of various inflammatory mediators such as IFN-γ, TNF-α, IL-2, IL-5, IL-8, IL-12, and leukotriene B4. This molecule has three Food and Drug Administration (FDA) approved indications: moderate to severe plaque psoriasis, psoriatic arthritis, and oral ulcers associated with Behcet's disease. Apremilast exhibits a favorable side-effect profile compared to conventional treatments and is a good treatment option with its ability to reduce cytokines implicated in the pathogenesis of GA and LP. Here, we report the case of a 55-year-old woman in whom apremilast treatment led to an almost complete resolution of her GA and LP.</p>","PeriodicalId":9627,"journal":{"name":"Case Reports in Medicine","volume":"2025 ","pages":"6883705"},"PeriodicalIF":0.7000,"publicationDate":"2025-08-06","publicationTypes":"Journal Article","fieldsOfStudy":null,"isOpenAccess":false,"openAccessPdf":"https://www.ncbi.nlm.nih.gov/pmc/articles/PMC12349983/pdf/","citationCount":"0","resultStr":"{\"title\":\"A Patient With Granuloma Annulare and Lichen Planus Treated With Apremilast: A Case Report.\",\"authors\":\"Emre Sarıkaya, Meltem Türkmen, Selcen Kundak, Sümeyye Ekmekci\",\"doi\":\"10.1155/carm/6883705\",\"DOIUrl\":null,\"url\":null,\"abstract\":\"<p><p>Granuloma annulare (GA) is an inflammatory and granulomatous dermatosis characterized by annular erythematous papules/plaques frequently localized in acral regions. Proinflammatory cytokines such as tumor necrosis factor-alpha (TNF-α) and interferon-gamma (IFN-γ), which are released by T helper 1 (Th1) lymphocytes inducing macrophages, are thought to play a role in its pathogenesis. Lichen planus (LP) is an inflammatory dermatosis characterized by pruritic scaly purple papules, often on the wrists and ankles, and can also affect mucosa, hair, and nails. T-cell-mediated proinflammatory cytokines such as IFN-γ and TNF-α, which are released by macrophages upon Th1 stimulation, have been implicated in the pathogenesis of LP, as in GA. A new treatment option is needed in the treatment of these diseases due to suboptimal results and adverse side-effect profiles with conventional treatments. Apremilast is a phosphodiesterase-4 (PDE4) inhibitor and inhibits the production of various inflammatory mediators such as IFN-γ, TNF-α, IL-2, IL-5, IL-8, IL-12, and leukotriene B4. This molecule has three Food and Drug Administration (FDA) approved indications: moderate to severe plaque psoriasis, psoriatic arthritis, and oral ulcers associated with Behcet's disease. Apremilast exhibits a favorable side-effect profile compared to conventional treatments and is a good treatment option with its ability to reduce cytokines implicated in the pathogenesis of GA and LP. Here, we report the case of a 55-year-old woman in whom apremilast treatment led to an almost complete resolution of her GA and LP.</p>\",\"PeriodicalId\":9627,\"journal\":{\"name\":\"Case Reports in Medicine\",\"volume\":\"2025 \",\"pages\":\"6883705\"},\"PeriodicalIF\":0.7000,\"publicationDate\":\"2025-08-06\",\"publicationTypes\":\"Journal Article\",\"fieldsOfStudy\":null,\"isOpenAccess\":false,\"openAccessPdf\":\"https://www.ncbi.nlm.nih.gov/pmc/articles/PMC12349983/pdf/\",\"citationCount\":\"0\",\"resultStr\":null,\"platform\":\"Semanticscholar\",\"paperid\":null,\"PeriodicalName\":\"Case Reports in Medicine\",\"FirstCategoryId\":\"1085\",\"ListUrlMain\":\"https://doi.org/10.1155/carm/6883705\",\"RegionNum\":0,\"RegionCategory\":null,\"ArticlePicture\":[],\"TitleCN\":null,\"AbstractTextCN\":null,\"PMCID\":null,\"EPubDate\":\"2025/1/1 0:00:00\",\"PubModel\":\"eCollection\",\"JCR\":\"Q3\",\"JCRName\":\"MEDICINE, GENERAL & INTERNAL\",\"Score\":null,\"Total\":0}","platform":"Semanticscholar","paperid":null,"PeriodicalName":"Case Reports in Medicine","FirstCategoryId":"1085","ListUrlMain":"https://doi.org/10.1155/carm/6883705","RegionNum":0,"RegionCategory":null,"ArticlePicture":[],"TitleCN":null,"AbstractTextCN":null,"PMCID":null,"EPubDate":"2025/1/1 0:00:00","PubModel":"eCollection","JCR":"Q3","JCRName":"MEDICINE, GENERAL & INTERNAL","Score":null,"Total":0}
引用次数: 0

摘要

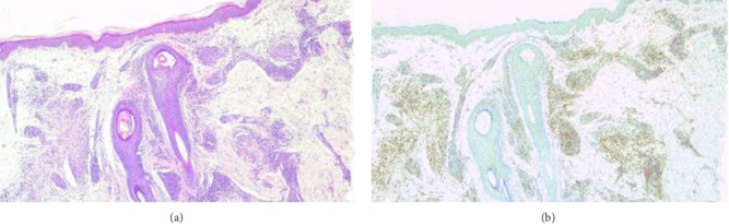
环状肉芽肿(GA)是一种炎症性和肉芽肿性皮肤病,其特征是环形红斑丘疹/斑块,通常局限于肢端区域。促炎因子如肿瘤坏死因子-α (TNF-α)和干扰素-γ (IFN-γ),由T辅助1 (Th1)淋巴细胞诱导巨噬细胞释放,被认为在其发病机制中发挥作用。扁平苔藓(Lichen planus, LP)是一种炎症性皮肤病,以瘙痒性、鳞状、紫色丘疹为特征,常见于手腕和脚踝,也可影响粘膜、头发和指甲。t细胞介导的促炎细胞因子,如IFN-γ和TNF-α,在Th1刺激下由巨噬细胞释放,与LP的发病机制有关,如GA。由于常规治疗的效果欠佳和不良副作用,需要一种新的治疗方案来治疗这些疾病。Apremilast是一种磷酸二酯酶-4 (PDE4)抑制剂,可抑制多种炎症介质如IFN-γ、TNF-α、IL-2、IL-5、IL-8、IL-12和白三烯B4的产生。该分子具有美国食品和药物管理局(FDA)批准的三种适应症:中度至重度斑块性银屑病、银屑病关节炎和与白塞病相关的口腔溃疡。与常规治疗相比,Apremilast具有良好的副作用,并且能够减少GA和LP发病机制中涉及的细胞因子,是一种良好的治疗选择。在这里,我们报告一名55岁女性的病例,阿普雷米司特治疗导致她的GA和LP几乎完全解决。
本文章由计算机程序翻译,如有差异,请以英文原文为准。

A Patient With Granuloma Annulare and Lichen Planus Treated With Apremilast: A Case Report.

A Patient With Granuloma Annulare and Lichen Planus Treated With Apremilast: A Case Report.

A Patient With Granuloma Annulare and Lichen Planus Treated With Apremilast: A Case Report.

A Patient With Granuloma Annulare and Lichen Planus Treated With Apremilast: A Case Report.

Granuloma annulare (GA) is an inflammatory and granulomatous dermatosis characterized by annular erythematous papules/plaques frequently localized in acral regions. Proinflammatory cytokines such as tumor necrosis factor-alpha (TNF-α) and interferon-gamma (IFN-γ), which are released by T helper 1 (Th1) lymphocytes inducing macrophages, are thought to play a role in its pathogenesis. Lichen planus (LP) is an inflammatory dermatosis characterized by pruritic scaly purple papules, often on the wrists and ankles, and can also affect mucosa, hair, and nails. T-cell-mediated proinflammatory cytokines such as IFN-γ and TNF-α, which are released by macrophages upon Th1 stimulation, have been implicated in the pathogenesis of LP, as in GA. A new treatment option is needed in the treatment of these diseases due to suboptimal results and adverse side-effect profiles with conventional treatments. Apremilast is a phosphodiesterase-4 (PDE4) inhibitor and inhibits the production of various inflammatory mediators such as IFN-γ, TNF-α, IL-2, IL-5, IL-8, IL-12, and leukotriene B4. This molecule has three Food and Drug Administration (FDA) approved indications: moderate to severe plaque psoriasis, psoriatic arthritis, and oral ulcers associated with Behcet's disease. Apremilast exhibits a favorable side-effect profile compared to conventional treatments and is a good treatment option with its ability to reduce cytokines implicated in the pathogenesis of GA and LP. Here, we report the case of a 55-year-old woman in whom apremilast treatment led to an almost complete resolution of her GA and LP.

求助全文
通过发布文献求助,成功后即可免费获取论文全文。 去求助
来源期刊
Case Reports in Medicine
Case Reports in Medicine MEDICINE, GENERAL & INTERNAL-
CiteScore
1.70
自引率
0.00%
发文量
53
审稿时长
13 weeks
×
引用
GB/T 7714-2015
复制
MLA
复制
APA
复制
导出至
BibTeX EndNote RefMan NoteFirst NoteExpress
×
提示
您的信息不完整,为了账户安全,请先补充。
现在去补充
×
提示
您因"违规操作"
具体请查看互助需知
我知道了
×
提示
确定
请完成安全验证×
copy
已复制链接
快去分享给好友吧!
我知道了
右上角分享
点击右上角分享
0
联系我们:info@booksci.cn Book学术提供免费学术资源搜索服务,方便国内外学者检索中英文文献。致力于提供最便捷和优质的服务体验。 Copyright © 2023 布克学术 All rights reserved.
京ICP备2023020795号-1
ghs 京公网安备 11010802042870号
Book学术文献互助
Book学术文献互助群
群 号:604180095
Book学术官方微信