暴露于抗ox40单克隆抗体治疗后克罗恩病加重

IF 0.5 Q4 GASTROENTEROLOGY & HEPATOLOGY
ACG Case Reports Journal Pub Date : 2025-08-13 eCollection Date: 2025-08-01 DOI:10.14309/crj.0000000000001810
Scott MacKay, Suliman Alhaidari, Jared Cooper, Brendan Halloran, Michal Gozdzik
{"title":"暴露于抗ox40单克隆抗体治疗后克罗恩病加重","authors":"Scott MacKay, Suliman Alhaidari, Jared Cooper, Brendan Halloran, Michal Gozdzik","doi":"10.14309/crj.0000000000001810","DOIUrl":null,"url":null,"abstract":"<p><p>A 26-year-old man with Crohn's Disease (CD) presented to hospital with a CD flare after exposure to an anti-OX40 therapy (rocatinlimab) for eczema. This flare was characterized by upper gastrointestinal tract involvement and necrobiotic pulmonary nodules, a rare pulmonary manifestation of CD. Murine models have demonstrated mixed effects of anti-OX40 and anti-OX40 ligand therapies on colitis, and anti-OX40 therapy has been trialed in ulcerative colitis without significant clinical response seen. The impact of anti-OX40 therapies in patients with CD remains unclear, though this case suggests that caution may be required when using anti-OX40 therapies in this population.</p>","PeriodicalId":7394,"journal":{"name":"ACG Case Reports Journal","volume":"12 8","pages":"e01810"},"PeriodicalIF":0.5000,"publicationDate":"2025-08-13","publicationTypes":"Journal Article","fieldsOfStudy":null,"isOpenAccess":false,"openAccessPdf":"https://www.ncbi.nlm.nih.gov/pmc/articles/PMC12348397/pdf/","citationCount":"0","resultStr":"{\"title\":\"Exacerbation of Crohn's Disease Following Exposure to Anti-OX40 Monoclonal Antibody Therapy.\",\"authors\":\"Scott MacKay, Suliman Alhaidari, Jared Cooper, Brendan Halloran, Michal Gozdzik\",\"doi\":\"10.14309/crj.0000000000001810\",\"DOIUrl\":null,\"url\":null,\"abstract\":\"<p><p>A 26-year-old man with Crohn's Disease (CD) presented to hospital with a CD flare after exposure to an anti-OX40 therapy (rocatinlimab) for eczema. This flare was characterized by upper gastrointestinal tract involvement and necrobiotic pulmonary nodules, a rare pulmonary manifestation of CD. Murine models have demonstrated mixed effects of anti-OX40 and anti-OX40 ligand therapies on colitis, and anti-OX40 therapy has been trialed in ulcerative colitis without significant clinical response seen. The impact of anti-OX40 therapies in patients with CD remains unclear, though this case suggests that caution may be required when using anti-OX40 therapies in this population.</p>\",\"PeriodicalId\":7394,\"journal\":{\"name\":\"ACG Case Reports Journal\",\"volume\":\"12 8\",\"pages\":\"e01810\"},\"PeriodicalIF\":0.5000,\"publicationDate\":\"2025-08-13\",\"publicationTypes\":\"Journal Article\",\"fieldsOfStudy\":null,\"isOpenAccess\":false,\"openAccessPdf\":\"https://www.ncbi.nlm.nih.gov/pmc/articles/PMC12348397/pdf/\",\"citationCount\":\"0\",\"resultStr\":null,\"platform\":\"Semanticscholar\",\"paperid\":null,\"PeriodicalName\":\"ACG Case Reports Journal\",\"FirstCategoryId\":\"1085\",\"ListUrlMain\":\"https://doi.org/10.14309/crj.0000000000001810\",\"RegionNum\":0,\"RegionCategory\":null,\"ArticlePicture\":[],\"TitleCN\":null,\"AbstractTextCN\":null,\"PMCID\":null,\"EPubDate\":\"2025/8/1 0:00:00\",\"PubModel\":\"eCollection\",\"JCR\":\"Q4\",\"JCRName\":\"GASTROENTEROLOGY & HEPATOLOGY\",\"Score\":null,\"Total\":0}","platform":"Semanticscholar","paperid":null,"PeriodicalName":"ACG Case Reports Journal","FirstCategoryId":"1085","ListUrlMain":"https://doi.org/10.14309/crj.0000000000001810","RegionNum":0,"RegionCategory":null,"ArticlePicture":[],"TitleCN":null,"AbstractTextCN":null,"PMCID":null,"EPubDate":"2025/8/1 0:00:00","PubModel":"eCollection","JCR":"Q4","JCRName":"GASTROENTEROLOGY & HEPATOLOGY","Score":null,"Total":0}
引用次数: 0

摘要

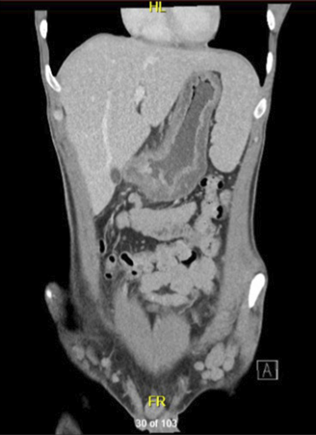
一名患有克罗恩病(CD)的26岁男子在接受抗ox40治疗(罗卡替利单抗)治疗湿疹后出现CD耀斑。这种病变的特征是上胃肠道受累和坏死性肺结节,这是CD的一种罕见的肺部表现。小鼠模型显示抗ox40和抗ox40配体治疗结肠炎的混合效果,抗ox40治疗已在溃疡性结肠炎中进行了试验,但未见明显的临床反应。抗ox40治疗对乳糜泻患者的影响尚不清楚,尽管本病例提示在该人群中使用抗ox40治疗时可能需要谨慎。
本文章由计算机程序翻译,如有差异,请以英文原文为准。

Exacerbation of Crohn's Disease Following Exposure to Anti-OX40 Monoclonal Antibody Therapy.

Exacerbation of Crohn's Disease Following Exposure to Anti-OX40 Monoclonal Antibody Therapy.

Exacerbation of Crohn's Disease Following Exposure to Anti-OX40 Monoclonal Antibody Therapy.

Exacerbation of Crohn's Disease Following Exposure to Anti-OX40 Monoclonal Antibody Therapy.

A 26-year-old man with Crohn's Disease (CD) presented to hospital with a CD flare after exposure to an anti-OX40 therapy (rocatinlimab) for eczema. This flare was characterized by upper gastrointestinal tract involvement and necrobiotic pulmonary nodules, a rare pulmonary manifestation of CD. Murine models have demonstrated mixed effects of anti-OX40 and anti-OX40 ligand therapies on colitis, and anti-OX40 therapy has been trialed in ulcerative colitis without significant clinical response seen. The impact of anti-OX40 therapies in patients with CD remains unclear, though this case suggests that caution may be required when using anti-OX40 therapies in this population.

求助全文
通过发布文献求助,成功后即可免费获取论文全文。 去求助
来源期刊
ACG Case Reports Journal
ACG Case Reports Journal GASTROENTEROLOGY & HEPATOLOGY-
自引率
14.30%
发文量
170
审稿时长
12 weeks
期刊介绍: ACG Case Reports Journal is a peer-reviewed, open-access publication that provides GI and hepatology fellows, private practice clinicians, and other healthcare providers an opportunity to share interesting case reports with their peers and with leaders in the field. ACG Case Reports Journal publishes case reports, images, videos and letters to the editor in all topics of gastroenterology and hepatology, including: Biliary Colon Endoscopy Esophagus Functional Bowel Disorders Inflammatory Bowel Disease Liver Nutrition and Obesity Pancreas Pathology Pediatric Small Bowel Stomach.
×
引用
GB/T 7714-2015
复制
MLA
复制
APA
复制
导出至
BibTeX EndNote RefMan NoteFirst NoteExpress
×
提示
您的信息不完整,为了账户安全,请先补充。
现在去补充
×
提示
您因"违规操作"
具体请查看互助需知
我知道了
×
提示
确定
请完成安全验证×
copy
已复制链接
快去分享给好友吧!
我知道了
右上角分享
点击右上角分享
0
联系我们:info@booksci.cn Book学术提供免费学术资源搜索服务,方便国内外学者检索中英文文献。致力于提供最便捷和优质的服务体验。 Copyright © 2023 布克学术 All rights reserved.
京ICP备2023020795号-1
ghs 京公网安备 11010802042870号
Book学术文献互助
Book学术文献互助群
群 号:604180095
Book学术官方微信