宫颈腔内近距离放疗中牵开器插入与纱布填充直肠及膀胱剂量的比较。

IF 2 4区 医学 Q2 BIOLOGY
Noriko Osaki, Takashi Soyano, Shinya Sutani, Hideki Matsumoto, Atsuya Takeda, Atsunori Yorozu
{"title":"宫颈腔内近距离放疗中牵开器插入与纱布填充直肠及膀胱剂量的比较。","authors":"Noriko Osaki, Takashi Soyano, Shinya Sutani, Hideki Matsumoto, Atsuya Takeda, Atsunori Yorozu","doi":"10.1093/jrr/rraf042","DOIUrl":null,"url":null,"abstract":"<p><p>This study aimed to compare and verify the rectal and bladder doses of intracavitary brachytherapy (ICBT) using both rectal retractor (RR) and gauze packing (GP) in the same patients. A total of 37 patients who underwent ICBT using RR and GP for cervical cancer were included in this study. Rectal and bladder dose and volume data were compared with the RR and GP treatments in the same patients and the confounding factors were examined. When comparing RR and GP, the median and interquartile ranges for rectal D2cc were 2.8 (2.5-3.7) Gy with RR and 3.2 (2.7-3.8) Gy with GP. The median bladder D2cc was 4.9 (4.5-6.3) Gy with RR and 4.8 (3.9-5.4) Gy with GP. The Wilcoxon signed-rank test revealed that rectal doses were significantly lower with RR (P = 0.02), whereas bladder doses were significantly higher with RR (P < 0.001). Analysis of the correlation between the number of gauze pieces and the difference in rectal D2cc between GP and RR using Pearson's distribution revealed no significant correlation (R = -0.20, P = 0.22), as well as bladder D2cc between GP and RR also revealed no significant correlation (R = -0.20, P = 0.22). The number of gauze pieces did not necessarily correlate with a reduction in the rectal and bladder dose. In conclusion, rectal D2cc was lower with RR in image-guided brachytherapy for cervical cancer, whereas bladder D2cc was higher with RR than with GP.</p>","PeriodicalId":16922,"journal":{"name":"Journal of Radiation Research","volume":" ","pages":"528-534"},"PeriodicalIF":2.0000,"publicationDate":"2025-09-23","publicationTypes":"Journal Article","fieldsOfStudy":null,"isOpenAccess":false,"openAccessPdf":"https://www.ncbi.nlm.nih.gov/pmc/articles/PMC12460046/pdf/","citationCount":"0","resultStr":"{\"title\":\"Comparison of rectal and bladder dose between retractor insertion and gauze packing in intracavitary brachytherapy for cervical cancer.\",\"authors\":\"Noriko Osaki, Takashi Soyano, Shinya Sutani, Hideki Matsumoto, Atsuya Takeda, Atsunori Yorozu\",\"doi\":\"10.1093/jrr/rraf042\",\"DOIUrl\":null,\"url\":null,\"abstract\":\"<p><p>This study aimed to compare and verify the rectal and bladder doses of intracavitary brachytherapy (ICBT) using both rectal retractor (RR) and gauze packing (GP) in the same patients. A total of 37 patients who underwent ICBT using RR and GP for cervical cancer were included in this study. Rectal and bladder dose and volume data were compared with the RR and GP treatments in the same patients and the confounding factors were examined. When comparing RR and GP, the median and interquartile ranges for rectal D2cc were 2.8 (2.5-3.7) Gy with RR and 3.2 (2.7-3.8) Gy with GP. The median bladder D2cc was 4.9 (4.5-6.3) Gy with RR and 4.8 (3.9-5.4) Gy with GP. The Wilcoxon signed-rank test revealed that rectal doses were significantly lower with RR (P = 0.02), whereas bladder doses were significantly higher with RR (P < 0.001). Analysis of the correlation between the number of gauze pieces and the difference in rectal D2cc between GP and RR using Pearson's distribution revealed no significant correlation (R = -0.20, P = 0.22), as well as bladder D2cc between GP and RR also revealed no significant correlation (R = -0.20, P = 0.22). The number of gauze pieces did not necessarily correlate with a reduction in the rectal and bladder dose. In conclusion, rectal D2cc was lower with RR in image-guided brachytherapy for cervical cancer, whereas bladder D2cc was higher with RR than with GP.</p>\",\"PeriodicalId\":16922,\"journal\":{\"name\":\"Journal of Radiation Research\",\"volume\":\" \",\"pages\":\"528-534\"},\"PeriodicalIF\":2.0000,\"publicationDate\":\"2025-09-23\",\"publicationTypes\":\"Journal Article\",\"fieldsOfStudy\":null,\"isOpenAccess\":false,\"openAccessPdf\":\"https://www.ncbi.nlm.nih.gov/pmc/articles/PMC12460046/pdf/\",\"citationCount\":\"0\",\"resultStr\":null,\"platform\":\"Semanticscholar\",\"paperid\":null,\"PeriodicalName\":\"Journal of Radiation Research\",\"FirstCategoryId\":\"3\",\"ListUrlMain\":\"https://doi.org/10.1093/jrr/rraf042\",\"RegionNum\":4,\"RegionCategory\":\"医学\",\"ArticlePicture\":[],\"TitleCN\":null,\"AbstractTextCN\":null,\"PMCID\":null,\"EPubDate\":\"\",\"PubModel\":\"\",\"JCR\":\"Q2\",\"JCRName\":\"BIOLOGY\",\"Score\":null,\"Total\":0}","platform":"Semanticscholar","paperid":null,"PeriodicalName":"Journal of Radiation Research","FirstCategoryId":"3","ListUrlMain":"https://doi.org/10.1093/jrr/rraf042","RegionNum":4,"RegionCategory":"医学","ArticlePicture":[],"TitleCN":null,"AbstractTextCN":null,"PMCID":null,"EPubDate":"","PubModel":"","JCR":"Q2","JCRName":"BIOLOGY","Score":null,"Total":0}
引用次数: 0

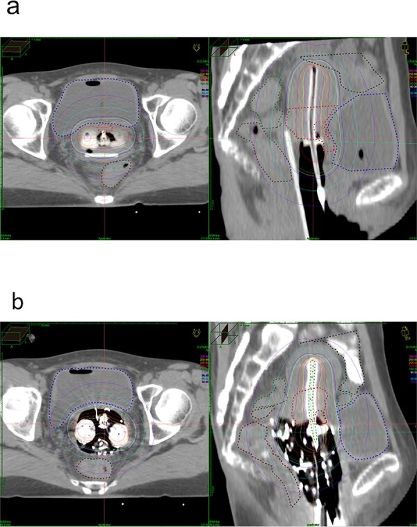
摘要

本研究旨在比较和验证使用直肠牵引器(RR)和纱布填塞(GP)的腔内近距离放射治疗(ICBT)在同一患者中的直肠和膀胱剂量。本研究共纳入37例使用RR和GP治疗宫颈癌的ICBT患者。将直肠和膀胱剂量和体积数据与同一患者的RR和GP治疗进行比较,并检查混杂因素。当比较RR和GP时,直肠D2cc的中位数和四分位数范围分别为RR组2.8 (2.5-3.7)Gy和GP组3.2 (2.7-3.8)Gy。RR组膀胱D2cc中位数为4.9 (4.5-6.3)Gy, GP组为4.8 (3.9-5.4)Gy。Wilcoxon符号秩检验显示直肠剂量显著低于RR (P = 0.02),而膀胱剂量显著高于RR (P = 0.02)
本文章由计算机程序翻译,如有差异,请以英文原文为准。

Comparison of rectal and bladder dose between retractor insertion and gauze packing in intracavitary brachytherapy for cervical cancer.

Comparison of rectal and bladder dose between retractor insertion and gauze packing in intracavitary brachytherapy for cervical cancer.

Comparison of rectal and bladder dose between retractor insertion and gauze packing in intracavitary brachytherapy for cervical cancer.

Comparison of rectal and bladder dose between retractor insertion and gauze packing in intracavitary brachytherapy for cervical cancer.

This study aimed to compare and verify the rectal and bladder doses of intracavitary brachytherapy (ICBT) using both rectal retractor (RR) and gauze packing (GP) in the same patients. A total of 37 patients who underwent ICBT using RR and GP for cervical cancer were included in this study. Rectal and bladder dose and volume data were compared with the RR and GP treatments in the same patients and the confounding factors were examined. When comparing RR and GP, the median and interquartile ranges for rectal D2cc were 2.8 (2.5-3.7) Gy with RR and 3.2 (2.7-3.8) Gy with GP. The median bladder D2cc was 4.9 (4.5-6.3) Gy with RR and 4.8 (3.9-5.4) Gy with GP. The Wilcoxon signed-rank test revealed that rectal doses were significantly lower with RR (P = 0.02), whereas bladder doses were significantly higher with RR (P < 0.001). Analysis of the correlation between the number of gauze pieces and the difference in rectal D2cc between GP and RR using Pearson's distribution revealed no significant correlation (R = -0.20, P = 0.22), as well as bladder D2cc between GP and RR also revealed no significant correlation (R = -0.20, P = 0.22). The number of gauze pieces did not necessarily correlate with a reduction in the rectal and bladder dose. In conclusion, rectal D2cc was lower with RR in image-guided brachytherapy for cervical cancer, whereas bladder D2cc was higher with RR than with GP.

求助全文
通过发布文献求助,成功后即可免费获取论文全文。 去求助
来源期刊
CiteScore
3.60
自引率
5.00%
发文量
86
审稿时长
4-8 weeks
期刊介绍: The Journal of Radiation Research (JRR) is an official journal of The Japanese Radiation Research Society (JRRS), and the Japanese Society for Radiation Oncology (JASTRO). Since its launch in 1960 as the official journal of the JRRS, the journal has published scientific articles in radiation science in biology, chemistry, physics, epidemiology, and environmental sciences. JRR broadened its scope to include oncology in 2009, when JASTRO partnered with the JRRS to publish the journal. Articles considered fall into two broad categories: Oncology & Medicine - including all aspects of research with patients that impacts on the treatment of cancer using radiation. Papers which cover related radiation therapies, radiation dosimetry, and those describing the basis for treatment methods including techniques, are also welcomed. Clinical case reports are not acceptable. Radiation Research - basic science studies of radiation effects on livings in the area of physics, chemistry, biology, epidemiology and environmental sciences. Please be advised that JRR does not accept any papers of pure physics or chemistry. The journal is bimonthly, and is edited and published by the JRR Editorial Committee.
×
引用
GB/T 7714-2015
复制
MLA
复制
APA
复制
导出至
BibTeX EndNote RefMan NoteFirst NoteExpress
×
提示
您的信息不完整,为了账户安全,请先补充。
现在去补充
×
提示
您因"违规操作"
具体请查看互助需知
我知道了
×
提示
确定
请完成安全验证×
copy
已复制链接
快去分享给好友吧!
我知道了
右上角分享
点击右上角分享
0
联系我们:info@booksci.cn Book学术提供免费学术资源搜索服务,方便国内外学者检索中英文文献。致力于提供最便捷和优质的服务体验。 Copyright © 2023 布克学术 All rights reserved.
京ICP备2023020795号-1
ghs 京公网安备 11010802042870号
Book学术文献互助
Book学术文献互助群
群 号:604180095
Book学术官方微信