儿童泪囊异位骨化1例。

IF 1.5 Q3 OPHTHALMOLOGY
Journal of Ophthalmic & Vision Research Pub Date : 2025-07-30 eCollection Date: 2025-01-01 DOI:10.18502/jovr.v20.16581
Behzad Khademi, Mehdi Moallem, Mahsa Kohandel-Shirazi
{"title":"儿童泪囊异位骨化1例。","authors":"Behzad Khademi, Mehdi Moallem, Mahsa Kohandel-Shirazi","doi":"10.18502/jovr.v20.16581","DOIUrl":null,"url":null,"abstract":"<p><strong>Purpose: </strong>We present a case of hemolacria, which emerged as an unusual mass in the lacrimal sac.</p><p><strong>Case report: </strong>A nine-year-old girl presented with intermittent unilateral hemolacria and episodes of dacryocystitis with no further remarkable medical or surgical history. CT scan indicated the presence of well-defined calcified tissue enclosed within the lacrimal sac. Following external dacryocystorhinostomy, well-formed firm tissue resembling bony tissue was extracted and sent for pathological evaluation, along with biopsies from the lacrimal sac. Histopathological analysis revealed heterotopic bone formation with nonspecific inflammation of the lacrimal sac. No underlying cause was discernible in the complementary assessment, and no recurrence was noted at one-year follow-up.</p><p><strong>Conclusion: </strong>A child with hemolacria was found to have heterotopic ossification in the lacrimal sac with no discernible underlying cause.</p>","PeriodicalId":16586,"journal":{"name":"Journal of Ophthalmic & Vision Research","volume":"20 ","pages":""},"PeriodicalIF":1.5000,"publicationDate":"2025-07-30","publicationTypes":"Journal Article","fieldsOfStudy":null,"isOpenAccess":false,"openAccessPdf":"https://www.ncbi.nlm.nih.gov/pmc/articles/PMC12322506/pdf/","citationCount":"0","resultStr":"{\"title\":\"Heterotopic Ossification Originating from the Lacrimal Sac of a Child: A Case Report.\",\"authors\":\"Behzad Khademi, Mehdi Moallem, Mahsa Kohandel-Shirazi\",\"doi\":\"10.18502/jovr.v20.16581\",\"DOIUrl\":null,\"url\":null,\"abstract\":\"<p><strong>Purpose: </strong>We present a case of hemolacria, which emerged as an unusual mass in the lacrimal sac.</p><p><strong>Case report: </strong>A nine-year-old girl presented with intermittent unilateral hemolacria and episodes of dacryocystitis with no further remarkable medical or surgical history. CT scan indicated the presence of well-defined calcified tissue enclosed within the lacrimal sac. Following external dacryocystorhinostomy, well-formed firm tissue resembling bony tissue was extracted and sent for pathological evaluation, along with biopsies from the lacrimal sac. Histopathological analysis revealed heterotopic bone formation with nonspecific inflammation of the lacrimal sac. No underlying cause was discernible in the complementary assessment, and no recurrence was noted at one-year follow-up.</p><p><strong>Conclusion: </strong>A child with hemolacria was found to have heterotopic ossification in the lacrimal sac with no discernible underlying cause.</p>\",\"PeriodicalId\":16586,\"journal\":{\"name\":\"Journal of Ophthalmic & Vision Research\",\"volume\":\"20 \",\"pages\":\"\"},\"PeriodicalIF\":1.5000,\"publicationDate\":\"2025-07-30\",\"publicationTypes\":\"Journal Article\",\"fieldsOfStudy\":null,\"isOpenAccess\":false,\"openAccessPdf\":\"https://www.ncbi.nlm.nih.gov/pmc/articles/PMC12322506/pdf/\",\"citationCount\":\"0\",\"resultStr\":null,\"platform\":\"Semanticscholar\",\"paperid\":null,\"PeriodicalName\":\"Journal of Ophthalmic & Vision Research\",\"FirstCategoryId\":\"1085\",\"ListUrlMain\":\"https://doi.org/10.18502/jovr.v20.16581\",\"RegionNum\":0,\"RegionCategory\":null,\"ArticlePicture\":[],\"TitleCN\":null,\"AbstractTextCN\":null,\"PMCID\":null,\"EPubDate\":\"2025/1/1 0:00:00\",\"PubModel\":\"eCollection\",\"JCR\":\"Q3\",\"JCRName\":\"OPHTHALMOLOGY\",\"Score\":null,\"Total\":0}","platform":"Semanticscholar","paperid":null,"PeriodicalName":"Journal of Ophthalmic & Vision Research","FirstCategoryId":"1085","ListUrlMain":"https://doi.org/10.18502/jovr.v20.16581","RegionNum":0,"RegionCategory":null,"ArticlePicture":[],"TitleCN":null,"AbstractTextCN":null,"PMCID":null,"EPubDate":"2025/1/1 0:00:00","PubModel":"eCollection","JCR":"Q3","JCRName":"OPHTHALMOLOGY","Score":null,"Total":0}
引用次数: 0

摘要

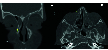
目的:我们报告一个在泪囊内出现异常肿块的泪漏病例。病例报告:一名九岁女孩,表现为间歇性单侧出血和泪囊炎发作,没有进一步的显著医学或手术史。CT扫描显示泪囊内有清晰的钙化组织。在外部泪囊鼻腔造口术后,从泪囊中取出形状良好的类似骨组织的坚硬组织并进行病理评估和活检。组织病理学分析显示异位骨形成伴泪囊非特异性炎症。在补充评估中没有发现潜在的原因,在一年的随访中没有发现复发。结论:1例儿童泪囊异位骨化,原因不明。
本文章由计算机程序翻译,如有差异,请以英文原文为准。

Heterotopic Ossification Originating from the Lacrimal Sac of a Child: A Case Report.

Heterotopic Ossification Originating from the Lacrimal Sac of a Child: A Case Report.

Heterotopic Ossification Originating from the Lacrimal Sac of a Child: A Case Report.

Purpose: We present a case of hemolacria, which emerged as an unusual mass in the lacrimal sac.

Case report: A nine-year-old girl presented with intermittent unilateral hemolacria and episodes of dacryocystitis with no further remarkable medical or surgical history. CT scan indicated the presence of well-defined calcified tissue enclosed within the lacrimal sac. Following external dacryocystorhinostomy, well-formed firm tissue resembling bony tissue was extracted and sent for pathological evaluation, along with biopsies from the lacrimal sac. Histopathological analysis revealed heterotopic bone formation with nonspecific inflammation of the lacrimal sac. No underlying cause was discernible in the complementary assessment, and no recurrence was noted at one-year follow-up.

Conclusion: A child with hemolacria was found to have heterotopic ossification in the lacrimal sac with no discernible underlying cause.

求助全文
通过发布文献求助,成功后即可免费获取论文全文。 去求助
来源期刊
CiteScore
3.60
自引率
0.00%
发文量
63
审稿时长
30 weeks
×
引用
GB/T 7714-2015
复制
MLA
复制
APA
复制
导出至
BibTeX EndNote RefMan NoteFirst NoteExpress
×
提示
您的信息不完整,为了账户安全,请先补充。
现在去补充
×
提示
您因"违规操作"
具体请查看互助需知
我知道了
×
提示
确定
请完成安全验证×
copy
已复制链接
快去分享给好友吧!
我知道了
右上角分享
点击右上角分享
0
联系我们:info@booksci.cn Book学术提供免费学术资源搜索服务,方便国内外学者检索中英文文献。致力于提供最便捷和优质的服务体验。 Copyright © 2023 布克学术 All rights reserved.
京ICP备2023020795号-1
ghs 京公网安备 11010802042870号
Book学术文献互助
Book学术文献互助群
群 号:604180095
Book学术官方微信