伪装成黑色素瘤的良性苔藓样角化病的皮肤镜及紫外线反射镜检查。

IF 2 Q3 DERMATOLOGY
Indian Dermatology Online Journal Pub Date : 2025-09-01 Epub Date: 2025-08-13 DOI:10.4103/idoj.idoj_1087_24
Aravind Baskar Murthy, Kallepu Rishika Sagar, Varshini Neelathalli Ramchandraiah, Murali Narasimhan
{"title":"伪装成黑色素瘤的良性苔藓样角化病的皮肤镜及紫外线反射镜检查。","authors":"Aravind Baskar Murthy, Kallepu Rishika Sagar, Varshini Neelathalli Ramchandraiah, Murali Narasimhan","doi":"10.4103/idoj.idoj_1087_24","DOIUrl":null,"url":null,"abstract":"<p><strong>Abstract: </strong>Benign lichenoid keratosis (BLK), also known as lichen planus-like keratosis, is a benign cutaneous lesion of unknown etiology with overlapping clinical and dermoscopic features with malignant lesions. A 52-year-old female presented with a 10- years history of a single asymptomatic lesion on the left gluteal region not associated with loss of weight, loss of appetite, or other systemic symptoms. Clinical examination revealed a single well-defined violaceous to hyperpigmented plaque of approximately 4 cm × 3 cm in size, on the lateral aspect of the left gluteal region. Dermoscopic examination showed overlapping features of BLK and melanoma. Ultraviolet (UV)dermoscopy showed 'dermoscopic UV blink sign' and areas of blue, yellowish-green, and red fluorescence. Histopathological examination showed features suggestive of BLK with no cellular atypia. The patient was started on 5% imiquimod cream 5 days a week and advised to follow up. This case emphasizes the importance of clinical, dermoscopic, UV reflectance dermoscopic, and histopathological correlation in establishing the diagnosis of BLK masquerading as melanoma with regression, thus aiding in the avoidance of unnecessary surgeries.</p>","PeriodicalId":13335,"journal":{"name":"Indian Dermatology Online Journal","volume":" ","pages":"778-781"},"PeriodicalIF":2.0000,"publicationDate":"2025-09-01","publicationTypes":"Journal Article","fieldsOfStudy":null,"isOpenAccess":false,"openAccessPdf":"https://www.ncbi.nlm.nih.gov/pmc/articles/PMC12419738/pdf/","citationCount":"0","resultStr":"{\"title\":\"Dermoscopy and Ultraviolet Reflectance Dermoscopy of Benign Lichenoid Keratosis Masquerading as Melanoma.\",\"authors\":\"Aravind Baskar Murthy, Kallepu Rishika Sagar, Varshini Neelathalli Ramchandraiah, Murali Narasimhan\",\"doi\":\"10.4103/idoj.idoj_1087_24\",\"DOIUrl\":null,\"url\":null,\"abstract\":\"<p><strong>Abstract: </strong>Benign lichenoid keratosis (BLK), also known as lichen planus-like keratosis, is a benign cutaneous lesion of unknown etiology with overlapping clinical and dermoscopic features with malignant lesions. A 52-year-old female presented with a 10- years history of a single asymptomatic lesion on the left gluteal region not associated with loss of weight, loss of appetite, or other systemic symptoms. Clinical examination revealed a single well-defined violaceous to hyperpigmented plaque of approximately 4 cm × 3 cm in size, on the lateral aspect of the left gluteal region. Dermoscopic examination showed overlapping features of BLK and melanoma. Ultraviolet (UV)dermoscopy showed 'dermoscopic UV blink sign' and areas of blue, yellowish-green, and red fluorescence. Histopathological examination showed features suggestive of BLK with no cellular atypia. The patient was started on 5% imiquimod cream 5 days a week and advised to follow up. This case emphasizes the importance of clinical, dermoscopic, UV reflectance dermoscopic, and histopathological correlation in establishing the diagnosis of BLK masquerading as melanoma with regression, thus aiding in the avoidance of unnecessary surgeries.</p>\",\"PeriodicalId\":13335,\"journal\":{\"name\":\"Indian Dermatology Online Journal\",\"volume\":\" \",\"pages\":\"778-781\"},\"PeriodicalIF\":2.0000,\"publicationDate\":\"2025-09-01\",\"publicationTypes\":\"Journal Article\",\"fieldsOfStudy\":null,\"isOpenAccess\":false,\"openAccessPdf\":\"https://www.ncbi.nlm.nih.gov/pmc/articles/PMC12419738/pdf/\",\"citationCount\":\"0\",\"resultStr\":null,\"platform\":\"Semanticscholar\",\"paperid\":null,\"PeriodicalName\":\"Indian Dermatology Online Journal\",\"FirstCategoryId\":\"1085\",\"ListUrlMain\":\"https://doi.org/10.4103/idoj.idoj_1087_24\",\"RegionNum\":0,\"RegionCategory\":null,\"ArticlePicture\":[],\"TitleCN\":null,\"AbstractTextCN\":null,\"PMCID\":null,\"EPubDate\":\"2025/8/13 0:00:00\",\"PubModel\":\"Epub\",\"JCR\":\"Q3\",\"JCRName\":\"DERMATOLOGY\",\"Score\":null,\"Total\":0}","platform":"Semanticscholar","paperid":null,"PeriodicalName":"Indian Dermatology Online Journal","FirstCategoryId":"1085","ListUrlMain":"https://doi.org/10.4103/idoj.idoj_1087_24","RegionNum":0,"RegionCategory":null,"ArticlePicture":[],"TitleCN":null,"AbstractTextCN":null,"PMCID":null,"EPubDate":"2025/8/13 0:00:00","PubModel":"Epub","JCR":"Q3","JCRName":"DERMATOLOGY","Score":null,"Total":0}
引用次数: 0

摘要

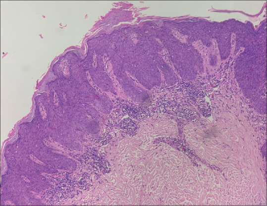
摘要:良性扁平苔藓样角化病(BLK)又称扁平苔藓样角化病,是一种病因不明的良性皮肤病变,临床和皮肤镜特征与恶性病变重叠。一名52岁女性,有10年的左臀区单一无症状病变病史,无体重减轻、食欲不振或其他全身性症状。临床检查显示左侧臀区外侧有一个单一的、轮廓清晰的紫色到色素沉着的斑块,大小约为4厘米× 3厘米。皮肤镜检查显示BLK和黑色素瘤重叠。紫外线(UV)皮肤镜检查显示“皮肤镜紫外线闪烁标志”和蓝色、黄绿色和红色荧光区域。组织病理学检查显示提示BLK的特征,无细胞异型性。患者开始使用5%咪喹莫特乳膏,每周5天,建议随访。本病例强调临床,皮肤镜,紫外线反射皮肤镜和组织病理学相关性在确定BLK伪装为黑色素瘤并消退的诊断中的重要性,从而有助于避免不必要的手术。
本文章由计算机程序翻译,如有差异,请以英文原文为准。

Dermoscopy and Ultraviolet Reflectance Dermoscopy of Benign Lichenoid Keratosis Masquerading as Melanoma.

Dermoscopy and Ultraviolet Reflectance Dermoscopy of Benign Lichenoid Keratosis Masquerading as Melanoma.

Dermoscopy and Ultraviolet Reflectance Dermoscopy of Benign Lichenoid Keratosis Masquerading as Melanoma.

Dermoscopy and Ultraviolet Reflectance Dermoscopy of Benign Lichenoid Keratosis Masquerading as Melanoma.

Abstract: Benign lichenoid keratosis (BLK), also known as lichen planus-like keratosis, is a benign cutaneous lesion of unknown etiology with overlapping clinical and dermoscopic features with malignant lesions. A 52-year-old female presented with a 10- years history of a single asymptomatic lesion on the left gluteal region not associated with loss of weight, loss of appetite, or other systemic symptoms. Clinical examination revealed a single well-defined violaceous to hyperpigmented plaque of approximately 4 cm × 3 cm in size, on the lateral aspect of the left gluteal region. Dermoscopic examination showed overlapping features of BLK and melanoma. Ultraviolet (UV)dermoscopy showed 'dermoscopic UV blink sign' and areas of blue, yellowish-green, and red fluorescence. Histopathological examination showed features suggestive of BLK with no cellular atypia. The patient was started on 5% imiquimod cream 5 days a week and advised to follow up. This case emphasizes the importance of clinical, dermoscopic, UV reflectance dermoscopic, and histopathological correlation in establishing the diagnosis of BLK masquerading as melanoma with regression, thus aiding in the avoidance of unnecessary surgeries.

求助全文
通过发布文献求助,成功后即可免费获取论文全文。 去求助
来源期刊
CiteScore
2.00
自引率
11.80%
发文量
201
审稿时长
49 weeks
×
引用
GB/T 7714-2015
复制
MLA
复制
APA
复制
导出至
BibTeX EndNote RefMan NoteFirst NoteExpress
×
提示
您的信息不完整,为了账户安全,请先补充。
现在去补充
×
提示
您因"违规操作"
具体请查看互助需知
我知道了
×
提示
确定
请完成安全验证×
copy
已复制链接
快去分享给好友吧!
我知道了
右上角分享
点击右上角分享
0
联系我们:info@booksci.cn Book学术提供免费学术资源搜索服务,方便国内外学者检索中英文文献。致力于提供最便捷和优质的服务体验。 Copyright © 2023 布克学术 All rights reserved.
京ICP备2023020795号-1
ghs 京公网安备 11010802042870号
Book学术文献互助
Book学术文献互助群
群 号:604180095
Book学术官方微信