通过瘤内和瘤周放射组学预测高级别浆液性卵巢癌患者术前淋巴结转移:一项回顾性队列研究。

IF 3.2 3区 医学 Q2 RADIOLOGY, NUCLEAR MEDICINE & MEDICAL IMAGING
Silin Nie, Yumin Jiang, Huixiang Ji, Xiaohui Liu, Lanxing Lyu, Chun Wang, Yuping Shan, Aiping Chen
{"title":"通过瘤内和瘤周放射组学预测高级别浆液性卵巢癌患者术前淋巴结转移:一项回顾性队列研究。","authors":"Silin Nie, Yumin Jiang, Huixiang Ji, Xiaohui Liu, Lanxing Lyu, Chun Wang, Yuping Shan, Aiping Chen","doi":"10.1186/s12880-025-01868-x","DOIUrl":null,"url":null,"abstract":"<p><strong>Background: </strong>Ovarian cancer (OC) carries the worst prognosis among gynecologic cancers, with high-grade serous ovarian cancer (HGSOC) as its most common subtype. Cytoreductive surgery (tumor resection) is the cornerstone of OC treatment. However, controversy remains regarding whether lymphadenectomy should be performed during surgery; more than 30% of patients with OC undergo unnecessary lymphadenectomy, increasing surgical risks and prolonging postoperative recovery. By analyzing multidimensional imaging features, such as tumor morphology, texture, and density, radiomics can accurately quantify the biological characteristics of tumors. However, its application in OC needs to be explored further. This study aimed to explore radiomics' role in predicting lymph node metastasis risk in HGSOC.</p><p><strong>Methods: </strong>This retrospective cohort analysis involved 273 participants from Qingdao University Affiliated Hospital and Rizhao People's Hospital, and they were categorized into the training, testing, and external validation groups. Imaging characteristics were derived from the tumor region of interest and its surrounding areas (1-5 mm), and radiomics scores were calculated for each region. This approach was employed for assessing the diagnostic performance of different regions and identify the optimal one. We constructed a risk prediction model that integrated imaging features of the optimal region with independent clinical risk factors.</p><p><strong>Results: </strong>The radiomic features of the tumor and its surrounding 3-mm extension region yielded area under the curve (AUC) values of 0.957 and 0.793 in the training and testing sets, respectively. After integrating the radiomic features of the tumor and its surrounding 3-mm extension region with clinical features, the AUC values in the training set, testing set, and external validation set were 0.971, 0.811, and 0.869, respectively, demonstrating strong predictive ability.</p><p><strong>Conclusions: </strong>This study developed a model to assess lymph node metastasis likelihood in HGSOC patients. In the test and external validation cohorts, the model demonstrated excellent predictive performance. We believe the model can assist clinicians in identifying patients who are suitable for lymph node resection, thereby optimizing treatment decisions.</p><p><strong>Clinical trial number: </strong>Not applicable.</p>","PeriodicalId":9020,"journal":{"name":"BMC Medical Imaging","volume":"25 1","pages":"323"},"PeriodicalIF":3.2000,"publicationDate":"2025-08-12","publicationTypes":"Journal Article","fieldsOfStudy":null,"isOpenAccess":false,"openAccessPdf":"https://www.ncbi.nlm.nih.gov/pmc/articles/PMC12341290/pdf/","citationCount":"0","resultStr":"{\"title\":\"Predicting preoperative lymph node metastasis in patients with high-grade serous ovarian cancer by using intratumoral and peritumoral radiomics: a retrospective cohort study.\",\"authors\":\"Silin Nie, Yumin Jiang, Huixiang Ji, Xiaohui Liu, Lanxing Lyu, Chun Wang, Yuping Shan, Aiping Chen\",\"doi\":\"10.1186/s12880-025-01868-x\",\"DOIUrl\":null,\"url\":null,\"abstract\":\"<p><strong>Background: </strong>Ovarian cancer (OC) carries the worst prognosis among gynecologic cancers, with high-grade serous ovarian cancer (HGSOC) as its most common subtype. Cytoreductive surgery (tumor resection) is the cornerstone of OC treatment. However, controversy remains regarding whether lymphadenectomy should be performed during surgery; more than 30% of patients with OC undergo unnecessary lymphadenectomy, increasing surgical risks and prolonging postoperative recovery. By analyzing multidimensional imaging features, such as tumor morphology, texture, and density, radiomics can accurately quantify the biological characteristics of tumors. However, its application in OC needs to be explored further. This study aimed to explore radiomics' role in predicting lymph node metastasis risk in HGSOC.</p><p><strong>Methods: </strong>This retrospective cohort analysis involved 273 participants from Qingdao University Affiliated Hospital and Rizhao People's Hospital, and they were categorized into the training, testing, and external validation groups. Imaging characteristics were derived from the tumor region of interest and its surrounding areas (1-5 mm), and radiomics scores were calculated for each region. This approach was employed for assessing the diagnostic performance of different regions and identify the optimal one. We constructed a risk prediction model that integrated imaging features of the optimal region with independent clinical risk factors.</p><p><strong>Results: </strong>The radiomic features of the tumor and its surrounding 3-mm extension region yielded area under the curve (AUC) values of 0.957 and 0.793 in the training and testing sets, respectively. After integrating the radiomic features of the tumor and its surrounding 3-mm extension region with clinical features, the AUC values in the training set, testing set, and external validation set were 0.971, 0.811, and 0.869, respectively, demonstrating strong predictive ability.</p><p><strong>Conclusions: </strong>This study developed a model to assess lymph node metastasis likelihood in HGSOC patients. In the test and external validation cohorts, the model demonstrated excellent predictive performance. We believe the model can assist clinicians in identifying patients who are suitable for lymph node resection, thereby optimizing treatment decisions.</p><p><strong>Clinical trial number: </strong>Not applicable.</p>\",\"PeriodicalId\":9020,\"journal\":{\"name\":\"BMC Medical Imaging\",\"volume\":\"25 1\",\"pages\":\"323\"},\"PeriodicalIF\":3.2000,\"publicationDate\":\"2025-08-12\",\"publicationTypes\":\"Journal Article\",\"fieldsOfStudy\":null,\"isOpenAccess\":false,\"openAccessPdf\":\"https://www.ncbi.nlm.nih.gov/pmc/articles/PMC12341290/pdf/\",\"citationCount\":\"0\",\"resultStr\":null,\"platform\":\"Semanticscholar\",\"paperid\":null,\"PeriodicalName\":\"BMC Medical Imaging\",\"FirstCategoryId\":\"3\",\"ListUrlMain\":\"https://doi.org/10.1186/s12880-025-01868-x\",\"RegionNum\":3,\"RegionCategory\":\"医学\",\"ArticlePicture\":[],\"TitleCN\":null,\"AbstractTextCN\":null,\"PMCID\":null,\"EPubDate\":\"\",\"PubModel\":\"\",\"JCR\":\"Q2\",\"JCRName\":\"RADIOLOGY, NUCLEAR MEDICINE & MEDICAL IMAGING\",\"Score\":null,\"Total\":0}","platform":"Semanticscholar","paperid":null,"PeriodicalName":"BMC Medical Imaging","FirstCategoryId":"3","ListUrlMain":"https://doi.org/10.1186/s12880-025-01868-x","RegionNum":3,"RegionCategory":"医学","ArticlePicture":[],"TitleCN":null,"AbstractTextCN":null,"PMCID":null,"EPubDate":"","PubModel":"","JCR":"Q2","JCRName":"RADIOLOGY, NUCLEAR MEDICINE & MEDICAL IMAGING","Score":null,"Total":0}
引用次数: 0

摘要

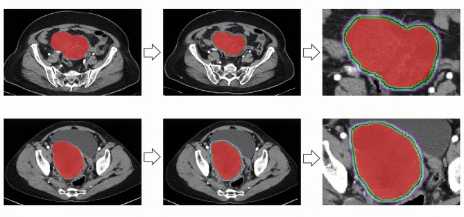
背景:卵巢癌(OC)在妇科癌症中预后最差,其中高级别浆液性卵巢癌(HGSOC)是其最常见的亚型。细胞减缩手术(肿瘤切除)是卵巢癌治疗的基石。然而,关于是否应在手术中进行淋巴结切除术仍存在争议;超过30%的OC患者进行了不必要的淋巴结切除术,增加了手术风险,延长了术后恢复时间。放射组学通过对肿瘤形态、质地、密度等多维影像特征的分析,可以准确量化肿瘤的生物学特征。然而,其在OC中的应用还有待进一步探索。本研究旨在探讨放射组学在预测HGSOC患者淋巴结转移风险中的作用。方法:采用回顾性队列分析方法,将青岛大学附属医院和日照市人民医院的273名受试者分为训练组、测试组和外部验证组。影像学特征来源于感兴趣的肿瘤区域及其周围区域(1-5 mm),并计算每个区域的放射组学评分。该方法用于评估不同区域的诊断性能,并确定最优区域。我们构建了将最佳区域的影像学特征与独立的临床危险因素相结合的风险预测模型。结果:肿瘤放射学特征及其周围3mm延伸区在训练集和测试集的曲线下面积(AUC)分别为0.957和0.793。将肿瘤及其周围3mm延伸区域的放射学特征与临床特征相结合,训练集、测试集和外部验证集的AUC值分别为0.971、0.811和0.869,具有较强的预测能力。结论:本研究建立了一个评估HGSOC患者淋巴结转移可能性的模型。在测试和外部验证队列中,该模型显示出出色的预测性能。我们相信该模型可以帮助临床医生识别适合淋巴结切除术的患者,从而优化治疗决策。临床试验号:不适用。
本文章由计算机程序翻译,如有差异,请以英文原文为准。

Predicting preoperative lymph node metastasis in patients with high-grade serous ovarian cancer by using intratumoral and peritumoral radiomics: a retrospective cohort study.

Predicting preoperative lymph node metastasis in patients with high-grade serous ovarian cancer by using intratumoral and peritumoral radiomics: a retrospective cohort study.

Predicting preoperative lymph node metastasis in patients with high-grade serous ovarian cancer by using intratumoral and peritumoral radiomics: a retrospective cohort study.

Predicting preoperative lymph node metastasis in patients with high-grade serous ovarian cancer by using intratumoral and peritumoral radiomics: a retrospective cohort study.

Background: Ovarian cancer (OC) carries the worst prognosis among gynecologic cancers, with high-grade serous ovarian cancer (HGSOC) as its most common subtype. Cytoreductive surgery (tumor resection) is the cornerstone of OC treatment. However, controversy remains regarding whether lymphadenectomy should be performed during surgery; more than 30% of patients with OC undergo unnecessary lymphadenectomy, increasing surgical risks and prolonging postoperative recovery. By analyzing multidimensional imaging features, such as tumor morphology, texture, and density, radiomics can accurately quantify the biological characteristics of tumors. However, its application in OC needs to be explored further. This study aimed to explore radiomics' role in predicting lymph node metastasis risk in HGSOC.

Methods: This retrospective cohort analysis involved 273 participants from Qingdao University Affiliated Hospital and Rizhao People's Hospital, and they were categorized into the training, testing, and external validation groups. Imaging characteristics were derived from the tumor region of interest and its surrounding areas (1-5 mm), and radiomics scores were calculated for each region. This approach was employed for assessing the diagnostic performance of different regions and identify the optimal one. We constructed a risk prediction model that integrated imaging features of the optimal region with independent clinical risk factors.

Results: The radiomic features of the tumor and its surrounding 3-mm extension region yielded area under the curve (AUC) values of 0.957 and 0.793 in the training and testing sets, respectively. After integrating the radiomic features of the tumor and its surrounding 3-mm extension region with clinical features, the AUC values in the training set, testing set, and external validation set were 0.971, 0.811, and 0.869, respectively, demonstrating strong predictive ability.

Conclusions: This study developed a model to assess lymph node metastasis likelihood in HGSOC patients. In the test and external validation cohorts, the model demonstrated excellent predictive performance. We believe the model can assist clinicians in identifying patients who are suitable for lymph node resection, thereby optimizing treatment decisions.

Clinical trial number: Not applicable.

求助全文
通过发布文献求助,成功后即可免费获取论文全文。 去求助
来源期刊
BMC Medical Imaging
BMC Medical Imaging RADIOLOGY, NUCLEAR MEDICINE & MEDICAL IMAGING-
CiteScore
4.60
自引率
3.70%
发文量
198
审稿时长
27 weeks
期刊介绍: BMC Medical Imaging is an open access journal publishing original peer-reviewed research articles in the development, evaluation, and use of imaging techniques and image processing tools to diagnose and manage disease.
×
引用
GB/T 7714-2015
复制
MLA
复制
APA
复制
导出至
BibTeX EndNote RefMan NoteFirst NoteExpress
×
提示
您的信息不完整,为了账户安全,请先补充。
现在去补充
×
提示
您因"违规操作"
具体请查看互助需知
我知道了
×
提示
确定
请完成安全验证×
copy
已复制链接
快去分享给好友吧!
我知道了
右上角分享
点击右上角分享
0
联系我们:info@booksci.cn Book学术提供免费学术资源搜索服务,方便国内外学者检索中英文文献。致力于提供最便捷和优质的服务体验。 Copyright © 2023 布克学术 All rights reserved.
京ICP备2023020795号-1
ghs 京公网安备 11010802042870号
Book学术文献互助
Book学术文献互助群
群 号:604180095
Book学术官方微信