乳腺隆突性皮肤纤维肉瘤。

IF 1.7 Q4 ONCOLOGY
Ramita Mukherjee, Rachana Meena, Brijesh Kumar Singh
{"title":"乳腺隆突性皮肤纤维肉瘤。","authors":"Ramita Mukherjee, Rachana Meena, Brijesh Kumar Singh","doi":"10.4274/ejbh.galenos.2025.2025-3-13","DOIUrl":null,"url":null,"abstract":"<p><p>Dermatofibrosarcoma protuberans (DFSP) is a rare, low-grade, fibroblastic mesenchymal tumor derived from the dermis. Breast is an uncommon site with an incidence of only 0.8-4.5% and an overall population incidence at any site of 4.2-4.5 per million. Surgical excision with 2-3 cm margin is the gold standard treatment. Selected cases are subjected to radiotherapy or systemic therapy with Imatinib. Due to the rare presentation, we report a similar case of DFSP on the left breast in a 42-year-old woman, who was initially diagnosed with benign phyllodes tumor of the left breast and final histopathology report of the wide local excision specimen diagnosed DFSP of the breast.</p>","PeriodicalId":93996,"journal":{"name":"European journal of breast health","volume":" ","pages":"389-391"},"PeriodicalIF":1.7000,"publicationDate":"2025-09-25","publicationTypes":"Journal Article","fieldsOfStudy":null,"isOpenAccess":false,"openAccessPdf":"https://www.ncbi.nlm.nih.gov/pmc/articles/PMC12462728/pdf/","citationCount":"0","resultStr":"{\"title\":\"Dermatofibrosarcoma Protuberans of the Breast.\",\"authors\":\"Ramita Mukherjee, Rachana Meena, Brijesh Kumar Singh\",\"doi\":\"10.4274/ejbh.galenos.2025.2025-3-13\",\"DOIUrl\":null,\"url\":null,\"abstract\":\"<p><p>Dermatofibrosarcoma protuberans (DFSP) is a rare, low-grade, fibroblastic mesenchymal tumor derived from the dermis. Breast is an uncommon site with an incidence of only 0.8-4.5% and an overall population incidence at any site of 4.2-4.5 per million. Surgical excision with 2-3 cm margin is the gold standard treatment. Selected cases are subjected to radiotherapy or systemic therapy with Imatinib. Due to the rare presentation, we report a similar case of DFSP on the left breast in a 42-year-old woman, who was initially diagnosed with benign phyllodes tumor of the left breast and final histopathology report of the wide local excision specimen diagnosed DFSP of the breast.</p>\",\"PeriodicalId\":93996,\"journal\":{\"name\":\"European journal of breast health\",\"volume\":\" \",\"pages\":\"389-391\"},\"PeriodicalIF\":1.7000,\"publicationDate\":\"2025-09-25\",\"publicationTypes\":\"Journal Article\",\"fieldsOfStudy\":null,\"isOpenAccess\":false,\"openAccessPdf\":\"https://www.ncbi.nlm.nih.gov/pmc/articles/PMC12462728/pdf/\",\"citationCount\":\"0\",\"resultStr\":null,\"platform\":\"Semanticscholar\",\"paperid\":null,\"PeriodicalName\":\"European journal of breast health\",\"FirstCategoryId\":\"1085\",\"ListUrlMain\":\"https://doi.org/10.4274/ejbh.galenos.2025.2025-3-13\",\"RegionNum\":0,\"RegionCategory\":null,\"ArticlePicture\":[],\"TitleCN\":null,\"AbstractTextCN\":null,\"PMCID\":null,\"EPubDate\":\"2025/8/12 0:00:00\",\"PubModel\":\"Epub\",\"JCR\":\"Q4\",\"JCRName\":\"ONCOLOGY\",\"Score\":null,\"Total\":0}","platform":"Semanticscholar","paperid":null,"PeriodicalName":"European journal of breast health","FirstCategoryId":"1085","ListUrlMain":"https://doi.org/10.4274/ejbh.galenos.2025.2025-3-13","RegionNum":0,"RegionCategory":null,"ArticlePicture":[],"TitleCN":null,"AbstractTextCN":null,"PMCID":null,"EPubDate":"2025/8/12 0:00:00","PubModel":"Epub","JCR":"Q4","JCRName":"ONCOLOGY","Score":null,"Total":0}
引用次数: 0

摘要

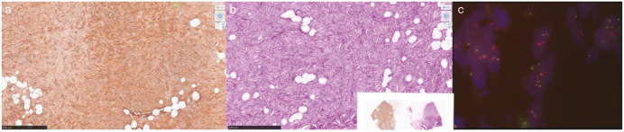
摘要隆突性皮肤纤维肉瘤(DFSP)是一种罕见、低级别、源自真皮层的纤维母细胞间充质肿瘤。乳房是一个罕见的部位,发病率仅为0.8-4.5%,在任何部位的总体发病率为4.2-4.5 /百万人。手术切除2-3厘米的边缘是金标准治疗。选定的病例接受放疗或伊马替尼全身治疗。由于罕见的表现,我们报告一例类似的左乳DFSP病例,患者为42岁女性,她最初被诊断为左乳良性叶状瘤,最终的组织病理学报告显示广泛的局部切除标本诊断为乳腺DFSP。
本文章由计算机程序翻译,如有差异,请以英文原文为准。

Dermatofibrosarcoma Protuberans of the Breast.

Dermatofibrosarcoma Protuberans of the Breast.

Dermatofibrosarcoma Protuberans of the Breast.

Dermatofibrosarcoma Protuberans of the Breast.

Dermatofibrosarcoma protuberans (DFSP) is a rare, low-grade, fibroblastic mesenchymal tumor derived from the dermis. Breast is an uncommon site with an incidence of only 0.8-4.5% and an overall population incidence at any site of 4.2-4.5 per million. Surgical excision with 2-3 cm margin is the gold standard treatment. Selected cases are subjected to radiotherapy or systemic therapy with Imatinib. Due to the rare presentation, we report a similar case of DFSP on the left breast in a 42-year-old woman, who was initially diagnosed with benign phyllodes tumor of the left breast and final histopathology report of the wide local excision specimen diagnosed DFSP of the breast.

求助全文
通过发布文献求助,成功后即可免费获取论文全文。 去求助
来源期刊
CiteScore
2.60
自引率
0.00%
发文量
0
×
引用
GB/T 7714-2015
复制
MLA
复制
APA
复制
导出至
BibTeX EndNote RefMan NoteFirst NoteExpress
×
提示
您的信息不完整,为了账户安全,请先补充。
现在去补充
×
提示
您因"违规操作"
具体请查看互助需知
我知道了
×
提示
确定
请完成安全验证×
copy
已复制链接
快去分享给好友吧!
我知道了
右上角分享
点击右上角分享
0
联系我们:info@booksci.cn Book学术提供免费学术资源搜索服务,方便国内外学者检索中英文文献。致力于提供最便捷和优质的服务体验。 Copyright © 2023 布克学术 All rights reserved.
京ICP备2023020795号-1
ghs 京公网安备 11010802042870号
Book学术文献互助
Book学术文献互助群
群 号:604180095
Book学术官方微信