雄激素受体与表皮生长因子受体的关系决定了皮肤基底细胞癌的侵袭行为。

IF 2.9 4区 综合性期刊 Q2 MULTIDISCIPLINARY SCIENCES
Science Progress Pub Date : 2025-07-01 Epub Date: 2025-08-12 DOI:10.1177/00368504251369587
Oya Nermin Sivrikoz, Tuğba Han Yılmaz, İncila Öztop, Salahattin M Sanal
{"title":"雄激素受体与表皮生长因子受体的关系决定了皮肤基底细胞癌的侵袭行为。","authors":"Oya Nermin Sivrikoz, Tuğba Han Yılmaz, İncila Öztop, Salahattin M Sanal","doi":"10.1177/00368504251369587","DOIUrl":null,"url":null,"abstract":"<p><p>ObjectiveCutaneous basal cell carcinoma (BCC) exhibits numerous variants, ranging from non-aggressive to aggressive behavior. Androgen receptor (AR) and epidermal growth factor receptor (EGFR) are both expressed by BCC. This study aims to analyze the differences between aggressive and non-aggressive variants concerning AR and EGFR expression, as well as their relationship with each other.MethodsBetween 2019 and 2024, we analyzed all archival tissue blocks of patients with a diagnosis of BCC who underwent excision. Fifty-three cases with a diagnosis of superficial, nodular, infiltrative, and micronodular BCC were included in the study. Histologically, the infiltrative and micronodular variants were classified as highly aggressive; nodular and superficial variants less aggressive. These characteristics were compared with other features with respect to their statistical significance.ResultWe found a statistically significant relationship between AR, EGFR expression, and tumor variants. While the AR expression was high in superficial and nodular variants, it was weak in the infiltrative type. Whereas the EGFR expression, contrary to AR, was strong in infiltrative and micronodular variants, it was weak in nodular and superficial variants. There was a statistically significant reverse correlation between AR and EGFR (p = 0.005).ConclusionsThe AR expression in BCC is consistent with low-degree malignancy; conversely, EGFR expression is consistent with aggressiveness. We hope our findings lead to further discoveries in employing topical agents that activate AR, next to anti-EGFR agents. Our study is the first and only one that investigated BCC concerning morphological variants and their relationship with AR and EGFR.</p>","PeriodicalId":56061,"journal":{"name":"Science Progress","volume":"108 3","pages":"368504251369587"},"PeriodicalIF":2.9000,"publicationDate":"2025-07-01","publicationTypes":"Journal Article","fieldsOfStudy":null,"isOpenAccess":false,"openAccessPdf":"https://www.ncbi.nlm.nih.gov/pmc/articles/PMC12344345/pdf/","citationCount":"0","resultStr":"{\"title\":\"Relationship between androgen receptor and epidermal growth factor receptor determines aggressive behavior of cutaneous basal cell carcinoma.\",\"authors\":\"Oya Nermin Sivrikoz, Tuğba Han Yılmaz, İncila Öztop, Salahattin M Sanal\",\"doi\":\"10.1177/00368504251369587\",\"DOIUrl\":null,\"url\":null,\"abstract\":\"<p><p>ObjectiveCutaneous basal cell carcinoma (BCC) exhibits numerous variants, ranging from non-aggressive to aggressive behavior. Androgen receptor (AR) and epidermal growth factor receptor (EGFR) are both expressed by BCC. This study aims to analyze the differences between aggressive and non-aggressive variants concerning AR and EGFR expression, as well as their relationship with each other.MethodsBetween 2019 and 2024, we analyzed all archival tissue blocks of patients with a diagnosis of BCC who underwent excision. Fifty-three cases with a diagnosis of superficial, nodular, infiltrative, and micronodular BCC were included in the study. Histologically, the infiltrative and micronodular variants were classified as highly aggressive; nodular and superficial variants less aggressive. These characteristics were compared with other features with respect to their statistical significance.ResultWe found a statistically significant relationship between AR, EGFR expression, and tumor variants. While the AR expression was high in superficial and nodular variants, it was weak in the infiltrative type. Whereas the EGFR expression, contrary to AR, was strong in infiltrative and micronodular variants, it was weak in nodular and superficial variants. There was a statistically significant reverse correlation between AR and EGFR (p = 0.005).ConclusionsThe AR expression in BCC is consistent with low-degree malignancy; conversely, EGFR expression is consistent with aggressiveness. We hope our findings lead to further discoveries in employing topical agents that activate AR, next to anti-EGFR agents. Our study is the first and only one that investigated BCC concerning morphological variants and their relationship with AR and EGFR.</p>\",\"PeriodicalId\":56061,\"journal\":{\"name\":\"Science Progress\",\"volume\":\"108 3\",\"pages\":\"368504251369587\"},\"PeriodicalIF\":2.9000,\"publicationDate\":\"2025-07-01\",\"publicationTypes\":\"Journal Article\",\"fieldsOfStudy\":null,\"isOpenAccess\":false,\"openAccessPdf\":\"https://www.ncbi.nlm.nih.gov/pmc/articles/PMC12344345/pdf/\",\"citationCount\":\"0\",\"resultStr\":null,\"platform\":\"Semanticscholar\",\"paperid\":null,\"PeriodicalName\":\"Science Progress\",\"FirstCategoryId\":\"103\",\"ListUrlMain\":\"https://doi.org/10.1177/00368504251369587\",\"RegionNum\":4,\"RegionCategory\":\"综合性期刊\",\"ArticlePicture\":[],\"TitleCN\":null,\"AbstractTextCN\":null,\"PMCID\":null,\"EPubDate\":\"2025/8/12 0:00:00\",\"PubModel\":\"Epub\",\"JCR\":\"Q2\",\"JCRName\":\"MULTIDISCIPLINARY SCIENCES\",\"Score\":null,\"Total\":0}","platform":"Semanticscholar","paperid":null,"PeriodicalName":"Science Progress","FirstCategoryId":"103","ListUrlMain":"https://doi.org/10.1177/00368504251369587","RegionNum":4,"RegionCategory":"综合性期刊","ArticlePicture":[],"TitleCN":null,"AbstractTextCN":null,"PMCID":null,"EPubDate":"2025/8/12 0:00:00","PubModel":"Epub","JCR":"Q2","JCRName":"MULTIDISCIPLINARY SCIENCES","Score":null,"Total":0}
引用次数: 0

摘要

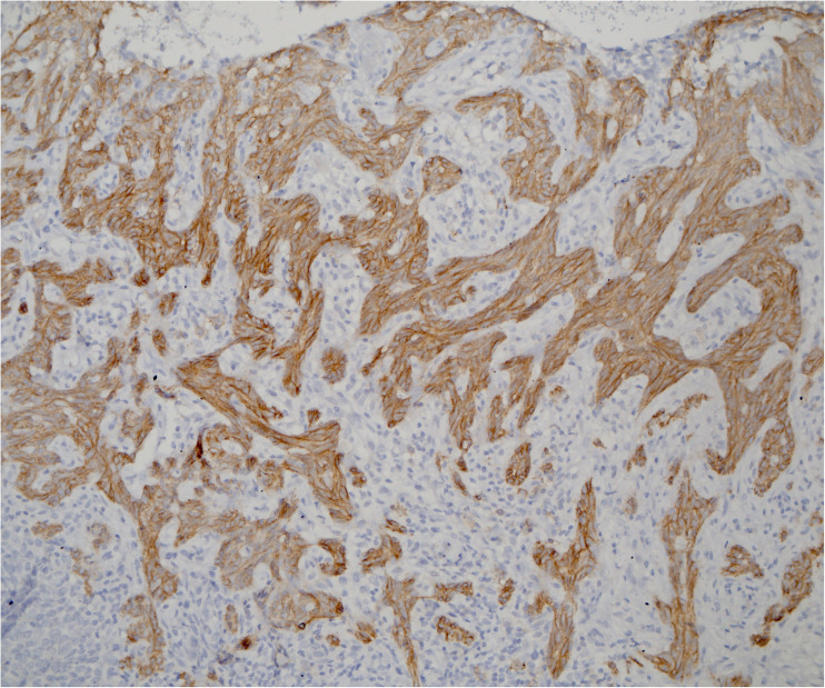
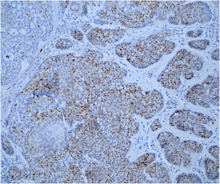
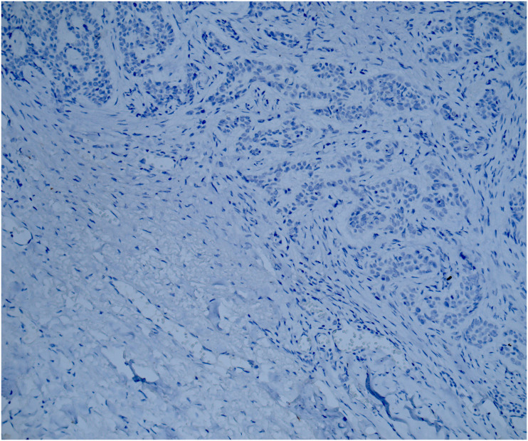
目的皮肤基底细胞癌(BCC)表现出多种变异,从非侵袭性到侵袭性不等。雄激素受体(AR)和表皮生长因子受体(EGFR)均在BCC中表达。本研究旨在分析AR和EGFR表达的侵袭性和非侵袭性变异之间的差异,以及它们之间的关系。方法:在2019年至2024年期间,我们分析了所有诊断为BCC并接受切除术的患者的档案组织块。53例诊断为浅表性、结节性、浸润性和微结节性的BCC被纳入研究。组织学上,浸润性和微结节性变异被归类为高度侵袭性;结节状和浅表变异体侵袭性较小。将这些特征与其他特征进行统计学显著性比较。结果我们发现AR、EGFR表达与肿瘤变异有统计学意义。AR在浅表型和结节型中表达较高,而在浸润型中表达较弱。与AR相反,EGFR在浸润性和微结节性变异中表达较强,而在结节性和浅表性变异中表达较弱。AR与EGFR呈显著负相关(p = 0.005)。结论AR在BCC中的表达与低程度恶性肿瘤一致;相反,EGFR的表达与侵袭性一致。我们希望我们的研究结果能在使用局部激活AR的药物方面有进一步的发现,仅次于抗egfr药物。我们的研究是第一个也是唯一一个研究BCC的形态学变异及其与AR和EGFR的关系的研究。
本文章由计算机程序翻译,如有差异,请以英文原文为准。

Relationship between androgen receptor and epidermal growth factor receptor determines aggressive behavior of cutaneous basal cell carcinoma.

Relationship between androgen receptor and epidermal growth factor receptor determines aggressive behavior of cutaneous basal cell carcinoma.

Relationship between androgen receptor and epidermal growth factor receptor determines aggressive behavior of cutaneous basal cell carcinoma.

Relationship between androgen receptor and epidermal growth factor receptor determines aggressive behavior of cutaneous basal cell carcinoma.

ObjectiveCutaneous basal cell carcinoma (BCC) exhibits numerous variants, ranging from non-aggressive to aggressive behavior. Androgen receptor (AR) and epidermal growth factor receptor (EGFR) are both expressed by BCC. This study aims to analyze the differences between aggressive and non-aggressive variants concerning AR and EGFR expression, as well as their relationship with each other.MethodsBetween 2019 and 2024, we analyzed all archival tissue blocks of patients with a diagnosis of BCC who underwent excision. Fifty-three cases with a diagnosis of superficial, nodular, infiltrative, and micronodular BCC were included in the study. Histologically, the infiltrative and micronodular variants were classified as highly aggressive; nodular and superficial variants less aggressive. These characteristics were compared with other features with respect to their statistical significance.ResultWe found a statistically significant relationship between AR, EGFR expression, and tumor variants. While the AR expression was high in superficial and nodular variants, it was weak in the infiltrative type. Whereas the EGFR expression, contrary to AR, was strong in infiltrative and micronodular variants, it was weak in nodular and superficial variants. There was a statistically significant reverse correlation between AR and EGFR (p = 0.005).ConclusionsThe AR expression in BCC is consistent with low-degree malignancy; conversely, EGFR expression is consistent with aggressiveness. We hope our findings lead to further discoveries in employing topical agents that activate AR, next to anti-EGFR agents. Our study is the first and only one that investigated BCC concerning morphological variants and their relationship with AR and EGFR.

求助全文
通过发布文献求助,成功后即可免费获取论文全文。 去求助
来源期刊
Science Progress
Science Progress Multidisciplinary-Multidisciplinary
CiteScore
3.80
自引率
0.00%
发文量
119
期刊介绍: Science Progress has for over 100 years been a highly regarded review publication in science, technology and medicine. Its objective is to excite the readers'' interest in areas with which they may not be fully familiar but which could facilitate their interest, or even activity, in a cognate field.
×
引用
GB/T 7714-2015
复制
MLA
复制
APA
复制
导出至
BibTeX EndNote RefMan NoteFirst NoteExpress
×
提示
您的信息不完整,为了账户安全,请先补充。
现在去补充
×
提示
您因"违规操作"
具体请查看互助需知
我知道了
×
提示
确定
请完成安全验证×
copy
已复制链接
快去分享给好友吧!
我知道了
右上角分享
点击右上角分享
0
联系我们:info@booksci.cn Book学术提供免费学术资源搜索服务,方便国内外学者检索中英文文献。致力于提供最便捷和优质的服务体验。 Copyright © 2023 布克学术 All rights reserved.
京ICP备2023020795号-1
ghs 京公网安备 11010802042870号
Book学术文献互助
Book学术文献互助群
群 号:604180095
Book学术官方微信