脑淀粉样血管病相关炎症:临床特点及治疗体会

IF 3.7 3区 医学 Q2 GERIATRICS & GERONTOLOGY
Clinical Interventions in Aging Pub Date : 2025-08-07 eCollection Date: 2025-01-01 DOI:10.2147/CIA.S513320
Xue Wang, Jiaqi Li, Qichang Fu, Honglin Zheng, Suying Duan, Yuan Gao, Haiyang Luo, Yuming Xu
{"title":"脑淀粉样血管病相关炎症:临床特点及治疗体会","authors":"Xue Wang, Jiaqi Li, Qichang Fu, Honglin Zheng, Suying Duan, Yuan Gao, Haiyang Luo, Yuming Xu","doi":"10.2147/CIA.S513320","DOIUrl":null,"url":null,"abstract":"<p><strong>Objective: </strong>The present study aims to analyze the clinical manifestations, laboratory results, neuroimaging features, treatment interventions, and outcomes in a cohort of patients with cerebral amyloid angiopathy-related inflammation (CAA-ri), providing a deeper understanding of this rare subtype of CAA and enhancing diagnostic precision in clinical practice.</p><p><strong>Methods: </strong>We conducted a systematic retrospective review of clinical records from 13 consecutive patients who met the diagnostic criteria for probable CAA-ri and were evaluated at the First Affiliated Hospital of Zhengzhou University between January 2021 and August 2024.</p><p><strong>Results: </strong>The study cohort comprised 13 patients (7 males, 6 females; mean age 65.2 years, range 42-81), predominantly presenting with subacute onset (53.8%, n=7). Cognitive impairment (61.5%, n=8) emerged as the most frequent clinical manifestation, followed by headache (46.2%, n=6), epileptic seizures (30.8%, n=4), and focal neurological deficits (23.1%, n=3). Neuroimaging findings across all patients demonstrated asymmetric white matter hyperintensities in conjunction with cortical-subcortical cerebral microbleeds. A subset of patients exhibited cortical superficial siderosis lobar hemorrhage, and/or punctate acute infarction. Among the nine patients who underwent lumbar puncture, five showed elevated cerebrospinal fluid (CSF) pressure and protein levels. All four patients assessed for CSF Alzheimer's disease biomarkers showed reduced Aβ42 and Aβ40 levels, alongside elevated total tau and phosphorylated tau levels. Furthermore, over 70% of the patients who treated with immunosuppressive therapy achieved favorable clinical outcomes.</p><p><strong>Conclusion: </strong>Clinical manifestations and neuroimaging abnormalities serve as pivotal non-invasive criteria for guiding clinicians in the diagnosis of CAA-ri. Timely initiation of immunosuppressive therapy in CAA-ri patients can lead to favorable outcomes.</p>","PeriodicalId":48841,"journal":{"name":"Clinical Interventions in Aging","volume":"20 ","pages":"1181-1190"},"PeriodicalIF":3.7000,"publicationDate":"2025-08-07","publicationTypes":"Journal Article","fieldsOfStudy":null,"isOpenAccess":false,"openAccessPdf":"https://www.ncbi.nlm.nih.gov/pmc/articles/PMC12338093/pdf/","citationCount":"0","resultStr":"{\"title\":\"Cerebral Amyloid Angiopathy-Related Inflammation: Clinical Characteristics and Treatment Experience.\",\"authors\":\"Xue Wang, Jiaqi Li, Qichang Fu, Honglin Zheng, Suying Duan, Yuan Gao, Haiyang Luo, Yuming Xu\",\"doi\":\"10.2147/CIA.S513320\",\"DOIUrl\":null,\"url\":null,\"abstract\":\"<p><strong>Objective: </strong>The present study aims to analyze the clinical manifestations, laboratory results, neuroimaging features, treatment interventions, and outcomes in a cohort of patients with cerebral amyloid angiopathy-related inflammation (CAA-ri), providing a deeper understanding of this rare subtype of CAA and enhancing diagnostic precision in clinical practice.</p><p><strong>Methods: </strong>We conducted a systematic retrospective review of clinical records from 13 consecutive patients who met the diagnostic criteria for probable CAA-ri and were evaluated at the First Affiliated Hospital of Zhengzhou University between January 2021 and August 2024.</p><p><strong>Results: </strong>The study cohort comprised 13 patients (7 males, 6 females; mean age 65.2 years, range 42-81), predominantly presenting with subacute onset (53.8%, n=7). Cognitive impairment (61.5%, n=8) emerged as the most frequent clinical manifestation, followed by headache (46.2%, n=6), epileptic seizures (30.8%, n=4), and focal neurological deficits (23.1%, n=3). Neuroimaging findings across all patients demonstrated asymmetric white matter hyperintensities in conjunction with cortical-subcortical cerebral microbleeds. A subset of patients exhibited cortical superficial siderosis lobar hemorrhage, and/or punctate acute infarction. Among the nine patients who underwent lumbar puncture, five showed elevated cerebrospinal fluid (CSF) pressure and protein levels. All four patients assessed for CSF Alzheimer's disease biomarkers showed reduced Aβ42 and Aβ40 levels, alongside elevated total tau and phosphorylated tau levels. Furthermore, over 70% of the patients who treated with immunosuppressive therapy achieved favorable clinical outcomes.</p><p><strong>Conclusion: </strong>Clinical manifestations and neuroimaging abnormalities serve as pivotal non-invasive criteria for guiding clinicians in the diagnosis of CAA-ri. Timely initiation of immunosuppressive therapy in CAA-ri patients can lead to favorable outcomes.</p>\",\"PeriodicalId\":48841,\"journal\":{\"name\":\"Clinical Interventions in Aging\",\"volume\":\"20 \",\"pages\":\"1181-1190\"},\"PeriodicalIF\":3.7000,\"publicationDate\":\"2025-08-07\",\"publicationTypes\":\"Journal Article\",\"fieldsOfStudy\":null,\"isOpenAccess\":false,\"openAccessPdf\":\"https://www.ncbi.nlm.nih.gov/pmc/articles/PMC12338093/pdf/\",\"citationCount\":\"0\",\"resultStr\":null,\"platform\":\"Semanticscholar\",\"paperid\":null,\"PeriodicalName\":\"Clinical Interventions in Aging\",\"FirstCategoryId\":\"3\",\"ListUrlMain\":\"https://doi.org/10.2147/CIA.S513320\",\"RegionNum\":3,\"RegionCategory\":\"医学\",\"ArticlePicture\":[],\"TitleCN\":null,\"AbstractTextCN\":null,\"PMCID\":null,\"EPubDate\":\"2025/1/1 0:00:00\",\"PubModel\":\"eCollection\",\"JCR\":\"Q2\",\"JCRName\":\"GERIATRICS & GERONTOLOGY\",\"Score\":null,\"Total\":0}","platform":"Semanticscholar","paperid":null,"PeriodicalName":"Clinical Interventions in Aging","FirstCategoryId":"3","ListUrlMain":"https://doi.org/10.2147/CIA.S513320","RegionNum":3,"RegionCategory":"医学","ArticlePicture":[],"TitleCN":null,"AbstractTextCN":null,"PMCID":null,"EPubDate":"2025/1/1 0:00:00","PubModel":"eCollection","JCR":"Q2","JCRName":"GERIATRICS & GERONTOLOGY","Score":null,"Total":0}
引用次数: 0

摘要

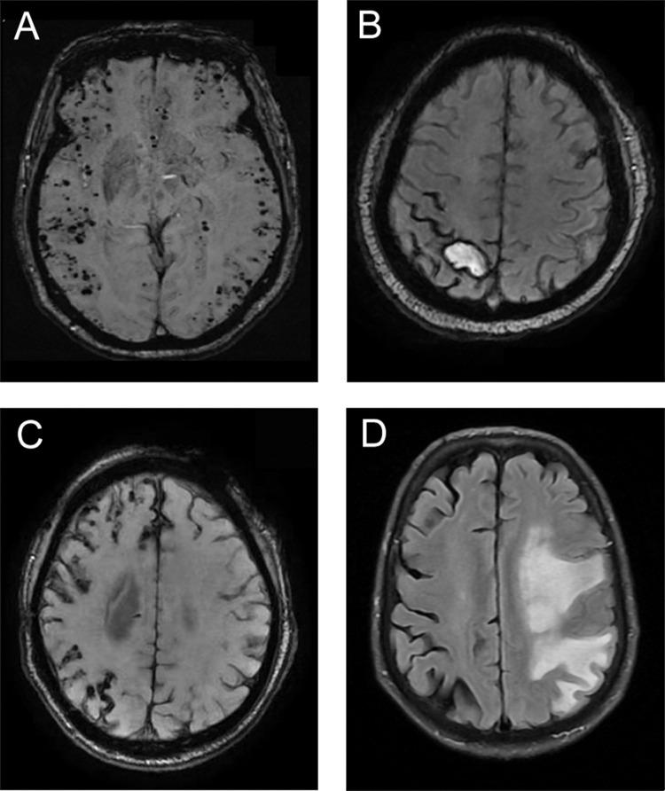
目的:本研究旨在分析一组脑淀粉样血管病相关炎症(CAA-ri)患者的临床表现、实验室结果、神经影像学特征、治疗干预及转归,以加深对这一罕见亚型CAA的认识,提高临床诊断的准确性。方法:对2021年1月至2024年8月郑州大学第一附属医院连续13例符合可能CAA-ri诊断标准并进行评估的患者的临床记录进行系统回顾性分析。结果:研究队列包括13例患者(男性7例,女性6例;平均年龄65.2岁(42 ~ 81岁),主要表现为亚急性发病(53.8%,n=7)。最常见的临床表现是认知障碍(61.5%,n=8),其次是头痛(46.2%,n=6)、癫痫发作(30.8%,n=4)和局灶性神经功能障碍(23.1%,n=3)。所有患者的神经影像学结果均显示不对称白质高信号并伴有皮质-皮质下脑微出血。一部分患者表现为皮质浅表性铁沉着、大叶出血和/或点状急性梗死。在接受腰椎穿刺的9例患者中,5例脑脊液(CSF)压力和蛋白水平升高。所有4例脑脊液阿尔茨海默病生物标志物评估的患者均显示Aβ42和Aβ40水平降低,同时总tau蛋白和磷酸化tau蛋白水平升高。此外,超过70%接受免疫抑制治疗的患者获得了良好的临床结果。结论:临床表现和神经影像学异常是指导临床医生诊断CAA-ri的关键非侵入性标准。CAA-ri患者及时开始免疫抑制治疗可导致良好的结果。
本文章由计算机程序翻译,如有差异,请以英文原文为准。

Cerebral Amyloid Angiopathy-Related Inflammation: Clinical Characteristics and Treatment Experience.

Cerebral Amyloid Angiopathy-Related Inflammation: Clinical Characteristics and Treatment Experience.

Cerebral Amyloid Angiopathy-Related Inflammation: Clinical Characteristics and Treatment Experience.

Objective: The present study aims to analyze the clinical manifestations, laboratory results, neuroimaging features, treatment interventions, and outcomes in a cohort of patients with cerebral amyloid angiopathy-related inflammation (CAA-ri), providing a deeper understanding of this rare subtype of CAA and enhancing diagnostic precision in clinical practice.

Methods: We conducted a systematic retrospective review of clinical records from 13 consecutive patients who met the diagnostic criteria for probable CAA-ri and were evaluated at the First Affiliated Hospital of Zhengzhou University between January 2021 and August 2024.

Results: The study cohort comprised 13 patients (7 males, 6 females; mean age 65.2 years, range 42-81), predominantly presenting with subacute onset (53.8%, n=7). Cognitive impairment (61.5%, n=8) emerged as the most frequent clinical manifestation, followed by headache (46.2%, n=6), epileptic seizures (30.8%, n=4), and focal neurological deficits (23.1%, n=3). Neuroimaging findings across all patients demonstrated asymmetric white matter hyperintensities in conjunction with cortical-subcortical cerebral microbleeds. A subset of patients exhibited cortical superficial siderosis lobar hemorrhage, and/or punctate acute infarction. Among the nine patients who underwent lumbar puncture, five showed elevated cerebrospinal fluid (CSF) pressure and protein levels. All four patients assessed for CSF Alzheimer's disease biomarkers showed reduced Aβ42 and Aβ40 levels, alongside elevated total tau and phosphorylated tau levels. Furthermore, over 70% of the patients who treated with immunosuppressive therapy achieved favorable clinical outcomes.

Conclusion: Clinical manifestations and neuroimaging abnormalities serve as pivotal non-invasive criteria for guiding clinicians in the diagnosis of CAA-ri. Timely initiation of immunosuppressive therapy in CAA-ri patients can lead to favorable outcomes.

求助全文
通过发布文献求助,成功后即可免费获取论文全文。 去求助
来源期刊
Clinical Interventions in Aging
Clinical Interventions in Aging GERIATRICS & GERONTOLOGY-
CiteScore
6.80
自引率
2.80%
发文量
193
审稿时长
6-12 weeks
期刊介绍: Clinical Interventions in Aging, is an online, peer reviewed, open access journal focusing on concise rapid reporting of original research and reviews in aging. Special attention will be given to papers reporting on actual or potential clinical applications leading to improved prevention or treatment of disease or a greater understanding of pathological processes that result from maladaptive changes in the body associated with aging. This journal is directed at a wide array of scientists, engineers, pharmacists, pharmacologists and clinical specialists wishing to maintain an up to date knowledge of this exciting and emerging field.
×
引用
GB/T 7714-2015
复制
MLA
复制
APA
复制
导出至
BibTeX EndNote RefMan NoteFirst NoteExpress
×
提示
您的信息不完整,为了账户安全,请先补充。
现在去补充
×
提示
您因"违规操作"
具体请查看互助需知
我知道了
×
提示
确定
请完成安全验证×
copy
已复制链接
快去分享给好友吧!
我知道了
右上角分享
点击右上角分享
0
联系我们:info@booksci.cn Book学术提供免费学术资源搜索服务,方便国内外学者检索中英文文献。致力于提供最便捷和优质的服务体验。 Copyright © 2023 布克学术 All rights reserved.
京ICP备2023020795号-1
ghs 京公网安备 11010802042870号
Book学术文献互助
Book学术文献互助群
群 号:604180095
Book学术官方微信