发现三重肿瘤:来自68Ga PSMA PET-CT的见解。

IF 1.1 Q4 RADIOLOGY, NUCLEAR MEDICINE & MEDICAL IMAGING
Sana Munir Gill, Aamna Hassan, Waqas Ahmad, Islah Ud Din
{"title":"发现三重肿瘤:来自68Ga PSMA PET-CT的见解。","authors":"Sana Munir Gill, Aamna Hassan, Waqas Ahmad, Islah Ud Din","doi":"10.4274/mirt.galenos.2025.15870","DOIUrl":null,"url":null,"abstract":"<p><p>Galium-68 prostate-specific membrane antigen positron emission tomography combined with computed tomography (<sup>68</sup>Ga PSMA PET-CT) is receptor specific imaging, which has increasingly been used in the staging and restaging of prostate carcinoma (PCa). PSMA is type II transmembrane glycoprotein expressed in cytosol of normal prostatic tissue with 100-1000-fold over expression in PCa. It is also expressed in the endothelium of tumor-associated neo vasculature of non-prostatic solid tumor such as transitional cell and renal cell carcinoma, hepatocellular, thyroid, and brain cancers. We hereby present a case where PSMA PET scan showed three tumors proved on follow up imaging.</p>","PeriodicalId":44681,"journal":{"name":"Molecular Imaging and Radionuclide Therapy","volume":" ","pages":"224-227"},"PeriodicalIF":1.1000,"publicationDate":"2025-10-08","publicationTypes":"Journal Article","fieldsOfStudy":null,"isOpenAccess":false,"openAccessPdf":"https://www.ncbi.nlm.nih.gov/pmc/articles/PMC12505184/pdf/","citationCount":"0","resultStr":"{\"title\":\"Triple Tumors Uncovered: Insights from <sup>68</sup>Ga PSMA PET-CT.\",\"authors\":\"Sana Munir Gill, Aamna Hassan, Waqas Ahmad, Islah Ud Din\",\"doi\":\"10.4274/mirt.galenos.2025.15870\",\"DOIUrl\":null,\"url\":null,\"abstract\":\"<p><p>Galium-68 prostate-specific membrane antigen positron emission tomography combined with computed tomography (<sup>68</sup>Ga PSMA PET-CT) is receptor specific imaging, which has increasingly been used in the staging and restaging of prostate carcinoma (PCa). PSMA is type II transmembrane glycoprotein expressed in cytosol of normal prostatic tissue with 100-1000-fold over expression in PCa. It is also expressed in the endothelium of tumor-associated neo vasculature of non-prostatic solid tumor such as transitional cell and renal cell carcinoma, hepatocellular, thyroid, and brain cancers. We hereby present a case where PSMA PET scan showed three tumors proved on follow up imaging.</p>\",\"PeriodicalId\":44681,\"journal\":{\"name\":\"Molecular Imaging and Radionuclide Therapy\",\"volume\":\" \",\"pages\":\"224-227\"},\"PeriodicalIF\":1.1000,\"publicationDate\":\"2025-10-08\",\"publicationTypes\":\"Journal Article\",\"fieldsOfStudy\":null,\"isOpenAccess\":false,\"openAccessPdf\":\"https://www.ncbi.nlm.nih.gov/pmc/articles/PMC12505184/pdf/\",\"citationCount\":\"0\",\"resultStr\":null,\"platform\":\"Semanticscholar\",\"paperid\":null,\"PeriodicalName\":\"Molecular Imaging and Radionuclide Therapy\",\"FirstCategoryId\":\"1085\",\"ListUrlMain\":\"https://doi.org/10.4274/mirt.galenos.2025.15870\",\"RegionNum\":0,\"RegionCategory\":null,\"ArticlePicture\":[],\"TitleCN\":null,\"AbstractTextCN\":null,\"PMCID\":null,\"EPubDate\":\"2025/8/12 0:00:00\",\"PubModel\":\"Epub\",\"JCR\":\"Q4\",\"JCRName\":\"RADIOLOGY, NUCLEAR MEDICINE & MEDICAL IMAGING\",\"Score\":null,\"Total\":0}","platform":"Semanticscholar","paperid":null,"PeriodicalName":"Molecular Imaging and Radionuclide Therapy","FirstCategoryId":"1085","ListUrlMain":"https://doi.org/10.4274/mirt.galenos.2025.15870","RegionNum":0,"RegionCategory":null,"ArticlePicture":[],"TitleCN":null,"AbstractTextCN":null,"PMCID":null,"EPubDate":"2025/8/12 0:00:00","PubModel":"Epub","JCR":"Q4","JCRName":"RADIOLOGY, NUCLEAR MEDICINE & MEDICAL IMAGING","Score":null,"Total":0}
引用次数: 0

摘要

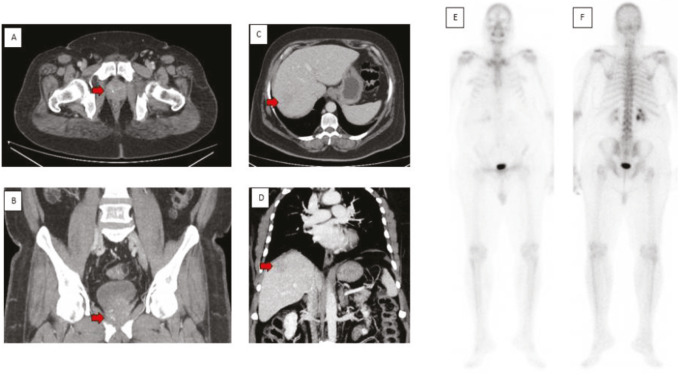
镓-68前列腺特异性膜抗原正电子发射断层扫描联合计算机断层扫描(68Ga PSMA PET-CT)是一种受体特异性成像,越来越多地用于前列腺癌(PCa)的分期和再分期。PSMA是在正常前列腺组织细胞质中表达的II型跨膜糖蛋白,在前列腺癌中超表达100-1000倍。它也在移行细胞癌、肾细胞癌、肝细胞癌、甲状腺癌和脑癌等非前列腺实体瘤的肿瘤相关新血管内皮中表达。我们在此提出一个病例,PSMA PET扫描显示三个肿瘤证实在随访成像。
本文章由计算机程序翻译,如有差异,请以英文原文为准。

Triple Tumors Uncovered: Insights from <sup>68</sup>Ga PSMA PET-CT.

Triple Tumors Uncovered: Insights from <sup>68</sup>Ga PSMA PET-CT.

Triple Tumors Uncovered: Insights from 68Ga PSMA PET-CT.

Galium-68 prostate-specific membrane antigen positron emission tomography combined with computed tomography (68Ga PSMA PET-CT) is receptor specific imaging, which has increasingly been used in the staging and restaging of prostate carcinoma (PCa). PSMA is type II transmembrane glycoprotein expressed in cytosol of normal prostatic tissue with 100-1000-fold over expression in PCa. It is also expressed in the endothelium of tumor-associated neo vasculature of non-prostatic solid tumor such as transitional cell and renal cell carcinoma, hepatocellular, thyroid, and brain cancers. We hereby present a case where PSMA PET scan showed three tumors proved on follow up imaging.

求助全文
通过发布文献求助,成功后即可免费获取论文全文。 去求助
来源期刊
Molecular Imaging and Radionuclide Therapy
Molecular Imaging and Radionuclide Therapy RADIOLOGY, NUCLEAR MEDICINE & MEDICAL IMAGING-
CiteScore
1.30
自引率
0.00%
发文量
50
期刊介绍: Molecular Imaging and Radionuclide Therapy (Mol Imaging Radionucl Ther, MIRT) is publishes original research articles, invited reviews, editorials, short communications, letters, consensus statements, guidelines and case reports with a literature review on the topic, in the field of molecular imaging, multimodality imaging, nuclear medicine, radionuclide therapy, radiopharmacy, medical physics, dosimetry and radiobiology.
×
引用
GB/T 7714-2015
复制
MLA
复制
APA
复制
导出至
BibTeX EndNote RefMan NoteFirst NoteExpress
×
提示
您的信息不完整,为了账户安全,请先补充。
现在去补充
×
提示
您因"违规操作"
具体请查看互助需知
我知道了
×
提示
确定
请完成安全验证×
copy
已复制链接
快去分享给好友吧!
我知道了
右上角分享
点击右上角分享
0
联系我们:info@booksci.cn Book学术提供免费学术资源搜索服务,方便国内外学者检索中英文文献。致力于提供最便捷和优质的服务体验。 Copyright © 2023 布克学术 All rights reserved.
京ICP备2023020795号-1
ghs 京公网安备 11010802042870号
Book学术文献互助
Book学术文献互助群
群 号:604180095
Book学术官方微信