Klippel-Trenaunay综合征孤立性结肠受累:一例广泛血管畸形。

IF 0.7 Q3 MEDICINE, GENERAL & INTERNAL
International Medical Case Reports Journal Pub Date : 2025-08-07 eCollection Date: 2025-01-01 DOI:10.2147/IMCRJ.S535985
Nurbek Ilyassov, Yerzhan Shayakhmetov, Anuar Abdikarimov, Erlan Nurgaliev, Saken Saberbekov, Rakymzhan Aralbayev, Aiman Tokusheva, Vitaliy Kalina
{"title":"Klippel-Trenaunay综合征孤立性结肠受累:一例广泛血管畸形。","authors":"Nurbek Ilyassov, Yerzhan Shayakhmetov, Anuar Abdikarimov, Erlan Nurgaliev, Saken Saberbekov, Rakymzhan Aralbayev, Aiman Tokusheva, Vitaliy Kalina","doi":"10.2147/IMCRJ.S535985","DOIUrl":null,"url":null,"abstract":"<p><strong>Background: </strong>Rectal vascular malformations associated with Klippel-Trenaunay syndrome are exceedingly rare. While their diagnosis may be straightforward when characteristic features are present, such cases remain of significant educational value due to their unusual presentation and potential for misdiagnosis.</p><p><strong>Case presentation: </strong>Our study aimed to describe a clinical case of a 45-year old female patient. There were complaints of pain in the perianal area and periodic bleeding during/after defecation, prolapse of hemorrhoids, general weakness. Colonoscopy revealed varicose veins of the rectum, hemangioma of the rectal mucosa, and chronic internal hemorrhoids. Multislice computed tomography of the pelvic organs with intravenous bolus contrast was performed. The preliminary clinical diagnosis was hemangioma of the rectal mucosa, and vascular malformation of the rectum was considered operable. In our clinic, the patient underwent several-stage surgery: (1) implantation of a temporary vena cava filter into the inferior vena cava, (2) two weeks later laparoscopic-assisted anterior resection of the rectum with preventive transverse colostomy and demucosation of the rectal mucosa, (3) after 7 months following discharge, the closure of transverse colostomy. Pathological examination of the gross specimen revealed that mucous membrane of the colon in a section extending 12.0 cm up to the distal edge of the resection is compacted, coarsely lumpy, grayish-bluish in color, with multiple blood-filled cavities. The postoperative period proceeded smoothly. Oral nutrition and patient's activity began on the 1st day. Primary healing of postoperative wounds was occurred. The patient was discharged in satisfactory condition on the 6th day post-surgery.</p><p><strong>Conclusion: </strong>This clinical case is a case-of-interest due to its rare localization, asymptomatic course for a long time with a fairly large size of an excessively vascularized abnormal vascular formation. The appropriate approach to this pathology is laparoscopic surgery, which can be useful for both diagnostic and radical treatment of vascular malformations of the rectum.</p>","PeriodicalId":14337,"journal":{"name":"International Medical Case Reports Journal","volume":"18 ","pages":"997-1002"},"PeriodicalIF":0.7000,"publicationDate":"2025-08-07","publicationTypes":"Journal Article","fieldsOfStudy":null,"isOpenAccess":false,"openAccessPdf":"https://www.ncbi.nlm.nih.gov/pmc/articles/PMC12339189/pdf/","citationCount":"0","resultStr":"{\"title\":\"Isolated Colorectal Involvement in Klippel-Trenaunay Syndrome: A Case of Extensive Vascular Malformation.\",\"authors\":\"Nurbek Ilyassov, Yerzhan Shayakhmetov, Anuar Abdikarimov, Erlan Nurgaliev, Saken Saberbekov, Rakymzhan Aralbayev, Aiman Tokusheva, Vitaliy Kalina\",\"doi\":\"10.2147/IMCRJ.S535985\",\"DOIUrl\":null,\"url\":null,\"abstract\":\"<p><strong>Background: </strong>Rectal vascular malformations associated with Klippel-Trenaunay syndrome are exceedingly rare. While their diagnosis may be straightforward when characteristic features are present, such cases remain of significant educational value due to their unusual presentation and potential for misdiagnosis.</p><p><strong>Case presentation: </strong>Our study aimed to describe a clinical case of a 45-year old female patient. There were complaints of pain in the perianal area and periodic bleeding during/after defecation, prolapse of hemorrhoids, general weakness. Colonoscopy revealed varicose veins of the rectum, hemangioma of the rectal mucosa, and chronic internal hemorrhoids. Multislice computed tomography of the pelvic organs with intravenous bolus contrast was performed. The preliminary clinical diagnosis was hemangioma of the rectal mucosa, and vascular malformation of the rectum was considered operable. In our clinic, the patient underwent several-stage surgery: (1) implantation of a temporary vena cava filter into the inferior vena cava, (2) two weeks later laparoscopic-assisted anterior resection of the rectum with preventive transverse colostomy and demucosation of the rectal mucosa, (3) after 7 months following discharge, the closure of transverse colostomy. Pathological examination of the gross specimen revealed that mucous membrane of the colon in a section extending 12.0 cm up to the distal edge of the resection is compacted, coarsely lumpy, grayish-bluish in color, with multiple blood-filled cavities. The postoperative period proceeded smoothly. Oral nutrition and patient's activity began on the 1st day. Primary healing of postoperative wounds was occurred. The patient was discharged in satisfactory condition on the 6th day post-surgery.</p><p><strong>Conclusion: </strong>This clinical case is a case-of-interest due to its rare localization, asymptomatic course for a long time with a fairly large size of an excessively vascularized abnormal vascular formation. The appropriate approach to this pathology is laparoscopic surgery, which can be useful for both diagnostic and radical treatment of vascular malformations of the rectum.</p>\",\"PeriodicalId\":14337,\"journal\":{\"name\":\"International Medical Case Reports Journal\",\"volume\":\"18 \",\"pages\":\"997-1002\"},\"PeriodicalIF\":0.7000,\"publicationDate\":\"2025-08-07\",\"publicationTypes\":\"Journal Article\",\"fieldsOfStudy\":null,\"isOpenAccess\":false,\"openAccessPdf\":\"https://www.ncbi.nlm.nih.gov/pmc/articles/PMC12339189/pdf/\",\"citationCount\":\"0\",\"resultStr\":null,\"platform\":\"Semanticscholar\",\"paperid\":null,\"PeriodicalName\":\"International Medical Case Reports Journal\",\"FirstCategoryId\":\"1085\",\"ListUrlMain\":\"https://doi.org/10.2147/IMCRJ.S535985\",\"RegionNum\":0,\"RegionCategory\":null,\"ArticlePicture\":[],\"TitleCN\":null,\"AbstractTextCN\":null,\"PMCID\":null,\"EPubDate\":\"2025/1/1 0:00:00\",\"PubModel\":\"eCollection\",\"JCR\":\"Q3\",\"JCRName\":\"MEDICINE, GENERAL & INTERNAL\",\"Score\":null,\"Total\":0}","platform":"Semanticscholar","paperid":null,"PeriodicalName":"International Medical Case Reports Journal","FirstCategoryId":"1085","ListUrlMain":"https://doi.org/10.2147/IMCRJ.S535985","RegionNum":0,"RegionCategory":null,"ArticlePicture":[],"TitleCN":null,"AbstractTextCN":null,"PMCID":null,"EPubDate":"2025/1/1 0:00:00","PubModel":"eCollection","JCR":"Q3","JCRName":"MEDICINE, GENERAL & INTERNAL","Score":null,"Total":0}
引用次数: 0

摘要

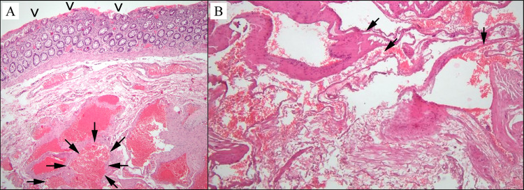
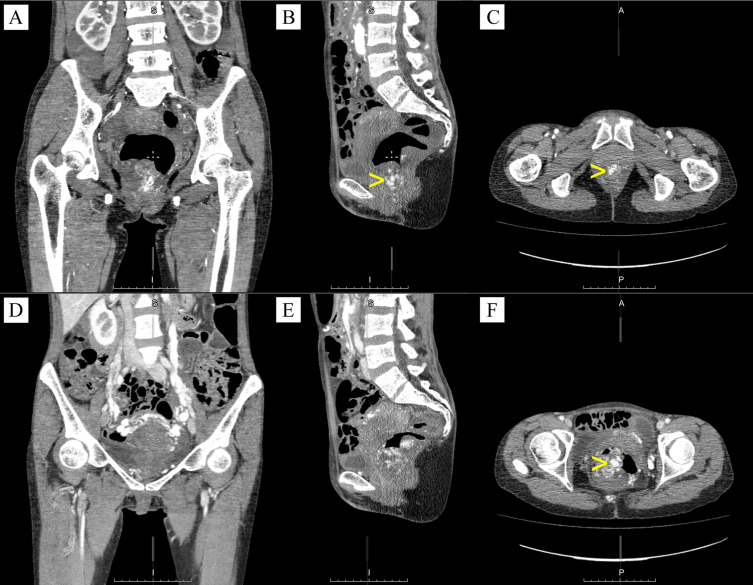
背景:直肠血管畸形与Klippel-Trenaunay综合征是非常罕见的。虽然他们的诊断可能是直截了当的特征,但由于其不寻常的表现和误诊的可能性,这些病例仍然具有重要的教育价值。病例介绍:我们的研究旨在描述一个45岁女性患者的临床病例。主诉有肛周疼痛,排便时/排便后周期性出血,痔疮脱垂,全身乏力。结肠镜检查显示直肠静脉曲张、直肠黏膜血管瘤和慢性内痔。对盆腔器官进行多层计算机断层扫描并静脉注射造影剂。临床初步诊断为直肠黏膜血管瘤,认为直肠血管畸形可手术。在我们的临床中,患者接受了几个阶段的手术:(1)在下腔静脉植入临时腔静脉过滤器,(2)两周后腹腔镜辅助直肠前切除术,预防性横结肠造口术和直肠粘膜脱粘术,(3)出院后7个月,关闭横结肠造口术。大体标本的病理检查显示,在切除远端延伸12.0 cm的部分,结肠粘膜致密,粗块状,颜色灰蓝色,有多个充血腔。术后进展顺利。第1天开始口腔营养和患者活动。术后创面初步愈合。患者于术后第6天顺利出院。结论:该病例定位罕见,病程长时间无症状,且有相当大的血管化过度的异常血管形成,值得关注。这种病理的合适方法是腹腔镜手术,这对于直肠血管畸形的诊断和根治性治疗都是有用的。
本文章由计算机程序翻译,如有差异,请以英文原文为准。

Isolated Colorectal Involvement in Klippel-Trenaunay Syndrome: A Case of Extensive Vascular Malformation.

Isolated Colorectal Involvement in Klippel-Trenaunay Syndrome: A Case of Extensive Vascular Malformation.

Isolated Colorectal Involvement in Klippel-Trenaunay Syndrome: A Case of Extensive Vascular Malformation.

Isolated Colorectal Involvement in Klippel-Trenaunay Syndrome: A Case of Extensive Vascular Malformation.

Background: Rectal vascular malformations associated with Klippel-Trenaunay syndrome are exceedingly rare. While their diagnosis may be straightforward when characteristic features are present, such cases remain of significant educational value due to their unusual presentation and potential for misdiagnosis.

Case presentation: Our study aimed to describe a clinical case of a 45-year old female patient. There were complaints of pain in the perianal area and periodic bleeding during/after defecation, prolapse of hemorrhoids, general weakness. Colonoscopy revealed varicose veins of the rectum, hemangioma of the rectal mucosa, and chronic internal hemorrhoids. Multislice computed tomography of the pelvic organs with intravenous bolus contrast was performed. The preliminary clinical diagnosis was hemangioma of the rectal mucosa, and vascular malformation of the rectum was considered operable. In our clinic, the patient underwent several-stage surgery: (1) implantation of a temporary vena cava filter into the inferior vena cava, (2) two weeks later laparoscopic-assisted anterior resection of the rectum with preventive transverse colostomy and demucosation of the rectal mucosa, (3) after 7 months following discharge, the closure of transverse colostomy. Pathological examination of the gross specimen revealed that mucous membrane of the colon in a section extending 12.0 cm up to the distal edge of the resection is compacted, coarsely lumpy, grayish-bluish in color, with multiple blood-filled cavities. The postoperative period proceeded smoothly. Oral nutrition and patient's activity began on the 1st day. Primary healing of postoperative wounds was occurred. The patient was discharged in satisfactory condition on the 6th day post-surgery.

Conclusion: This clinical case is a case-of-interest due to its rare localization, asymptomatic course for a long time with a fairly large size of an excessively vascularized abnormal vascular formation. The appropriate approach to this pathology is laparoscopic surgery, which can be useful for both diagnostic and radical treatment of vascular malformations of the rectum.

求助全文
通过发布文献求助,成功后即可免费获取论文全文。 去求助
来源期刊
International Medical Case Reports Journal
International Medical Case Reports Journal MEDICINE, GENERAL & INTERNAL-
CiteScore
1.40
自引率
0.00%
发文量
135
审稿时长
16 weeks
期刊介绍: International Medical Case Reports Journal is an international, peer-reviewed, open access, online journal publishing original case reports from all medical specialties. Submissions should not normally exceed 3,000 words or 4 published pages including figures, diagrams and references. As of 1st April 2019, the International Medical Case Reports Journal will no longer consider meta-analyses for publication.
×
引用
GB/T 7714-2015
复制
MLA
复制
APA
复制
导出至
BibTeX EndNote RefMan NoteFirst NoteExpress
×
提示
您的信息不完整,为了账户安全,请先补充。
现在去补充
×
提示
您因"违规操作"
具体请查看互助需知
我知道了
×
提示
确定
请完成安全验证×
copy
已复制链接
快去分享给好友吧!
我知道了
右上角分享
点击右上角分享
0
联系我们:info@booksci.cn Book学术提供免费学术资源搜索服务,方便国内外学者检索中英文文献。致力于提供最便捷和优质的服务体验。 Copyright © 2023 布克学术 All rights reserved.
京ICP备2023020795号-1
ghs 京公网安备 11010802042870号
Book学术文献互助
Book学术文献互助群
群 号:604180095
Book学术官方微信