塞尔维亚新冠肺炎后毛霉菌病病例系列/鼻-眶-脑型:外科和内科治疗

IF 0.8 Q4 INFECTIOUS DISEASES
Case Reports in Infectious Diseases Pub Date : 2025-08-04 eCollection Date: 2025-01-01 DOI:10.1155/crdi/8385268
Nikola Mikovic, Ana Durkovic, Novica Boricic, Marko Lazic, Zoran Jezdic, Vitomir Konstantinovic
{"title":"塞尔维亚新冠肺炎后毛霉菌病病例系列/鼻-眶-脑型:外科和内科治疗","authors":"Nikola Mikovic, Ana Durkovic, Novica Boricic, Marko Lazic, Zoran Jezdic, Vitomir Konstantinovic","doi":"10.1155/crdi/8385268","DOIUrl":null,"url":null,"abstract":"<p><p><b>Introduction:</b> Mucormycosis is a rare but serious infection caused by fungi called mucormycetes. It is life-threatening, highly aggressive angioinvasive infection, which mainly affects immunocompromised people. <b>Methods and Results:</b> During 2021-early 2023, at the Clinic for Maxillofacial Surgery, Faculty of Dental Medicine, University of Belgrade, Serbia (the \"Clinic\"), medical team (the \"Team\") treated five patients, with a rhino-orbital-cerebral form of mucormycosis. All five patients had recently recovered from COVID-19 infection prior to detection of mucormycosis. All of them spent a considerable amount of time (on average 1 month of hospitalization) at COVID-19 specialized hospitals. The Team treated these patients following the guidelines for screening diagnosis and management of mucormycosis at the time of the COVID-19 pandemic (COVID-19 patient guidelines/Indian Council of Medical Research, published in May 2021 approved by WHO). Treatment included several phases, out of which the Team was responsible for and carried out early diagnosis and surgical intervention phase, while colleagues from other clinics assisted in other phases of treatment/management of mucormycosis. <b>Conclusion:</b> The goal of this paper is to present five patients diagnosed with mucormycosis, with a special focus on two patients who, due to their condition, received surgical intervention as part of their antifungal treatment.</p>","PeriodicalId":9608,"journal":{"name":"Case Reports in Infectious Diseases","volume":"2025 ","pages":"8385268"},"PeriodicalIF":0.8000,"publicationDate":"2025-08-04","publicationTypes":"Journal Article","fieldsOfStudy":null,"isOpenAccess":false,"openAccessPdf":"https://www.ncbi.nlm.nih.gov/pmc/articles/PMC12339159/pdf/","citationCount":"0","resultStr":"{\"title\":\"Case Series of Post-COVID-19 Mucormycosis in Serbia/Rhino-Orbital-Cerebral Form: Surgical and Medical Treatment.\",\"authors\":\"Nikola Mikovic, Ana Durkovic, Novica Boricic, Marko Lazic, Zoran Jezdic, Vitomir Konstantinovic\",\"doi\":\"10.1155/crdi/8385268\",\"DOIUrl\":null,\"url\":null,\"abstract\":\"<p><p><b>Introduction:</b> Mucormycosis is a rare but serious infection caused by fungi called mucormycetes. It is life-threatening, highly aggressive angioinvasive infection, which mainly affects immunocompromised people. <b>Methods and Results:</b> During 2021-early 2023, at the Clinic for Maxillofacial Surgery, Faculty of Dental Medicine, University of Belgrade, Serbia (the \\\"Clinic\\\"), medical team (the \\\"Team\\\") treated five patients, with a rhino-orbital-cerebral form of mucormycosis. All five patients had recently recovered from COVID-19 infection prior to detection of mucormycosis. All of them spent a considerable amount of time (on average 1 month of hospitalization) at COVID-19 specialized hospitals. The Team treated these patients following the guidelines for screening diagnosis and management of mucormycosis at the time of the COVID-19 pandemic (COVID-19 patient guidelines/Indian Council of Medical Research, published in May 2021 approved by WHO). Treatment included several phases, out of which the Team was responsible for and carried out early diagnosis and surgical intervention phase, while colleagues from other clinics assisted in other phases of treatment/management of mucormycosis. <b>Conclusion:</b> The goal of this paper is to present five patients diagnosed with mucormycosis, with a special focus on two patients who, due to their condition, received surgical intervention as part of their antifungal treatment.</p>\",\"PeriodicalId\":9608,\"journal\":{\"name\":\"Case Reports in Infectious Diseases\",\"volume\":\"2025 \",\"pages\":\"8385268\"},\"PeriodicalIF\":0.8000,\"publicationDate\":\"2025-08-04\",\"publicationTypes\":\"Journal Article\",\"fieldsOfStudy\":null,\"isOpenAccess\":false,\"openAccessPdf\":\"https://www.ncbi.nlm.nih.gov/pmc/articles/PMC12339159/pdf/\",\"citationCount\":\"0\",\"resultStr\":null,\"platform\":\"Semanticscholar\",\"paperid\":null,\"PeriodicalName\":\"Case Reports in Infectious Diseases\",\"FirstCategoryId\":\"1085\",\"ListUrlMain\":\"https://doi.org/10.1155/crdi/8385268\",\"RegionNum\":0,\"RegionCategory\":null,\"ArticlePicture\":[],\"TitleCN\":null,\"AbstractTextCN\":null,\"PMCID\":null,\"EPubDate\":\"2025/1/1 0:00:00\",\"PubModel\":\"eCollection\",\"JCR\":\"Q4\",\"JCRName\":\"INFECTIOUS DISEASES\",\"Score\":null,\"Total\":0}","platform":"Semanticscholar","paperid":null,"PeriodicalName":"Case Reports in Infectious Diseases","FirstCategoryId":"1085","ListUrlMain":"https://doi.org/10.1155/crdi/8385268","RegionNum":0,"RegionCategory":null,"ArticlePicture":[],"TitleCN":null,"AbstractTextCN":null,"PMCID":null,"EPubDate":"2025/1/1 0:00:00","PubModel":"eCollection","JCR":"Q4","JCRName":"INFECTIOUS DISEASES","Score":null,"Total":0}
引用次数: 0

摘要

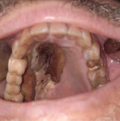
简介:毛霉病是一种罕见但严重的感染引起的真菌称为毛霉菌。它是一种危及生命的、高度侵袭性的血管侵入性感染,主要影响免疫功能低下的人群。方法和结果:2021年至2023年初,在塞尔维亚贝尔格莱德大学口腔医学院颌面外科诊所(“诊所”),医疗小组(“小组”)治疗了5名患有鼻-眶-脑型毛霉菌病的患者。在发现毛霉病之前,所有5名患者最近都已从COVID-19感染中康复。他们都在新冠肺炎专科医院度过了相当长的时间(平均住院1个月)。该小组根据2019冠状病毒病大流行时的毛霉病筛查诊断和管理指南(2019冠状病毒病患者指南/印度医学研究委员会,2021年5月出版,经世卫组织批准)对这些患者进行了治疗。治疗包括几个阶段,其中小组负责并开展早期诊断和手术干预阶段,而其他诊所的同事则协助进行毛霉病的其他治疗/管理阶段。结论:本文的目的是提出5例诊断为毛霉病的患者,特别关注两例因其病情接受手术干预作为抗真菌治疗的一部分的患者。
本文章由计算机程序翻译,如有差异,请以英文原文为准。

Case Series of Post-COVID-19 Mucormycosis in Serbia/Rhino-Orbital-Cerebral Form: Surgical and Medical Treatment.

Case Series of Post-COVID-19 Mucormycosis in Serbia/Rhino-Orbital-Cerebral Form: Surgical and Medical Treatment.

Case Series of Post-COVID-19 Mucormycosis in Serbia/Rhino-Orbital-Cerebral Form: Surgical and Medical Treatment.

Case Series of Post-COVID-19 Mucormycosis in Serbia/Rhino-Orbital-Cerebral Form: Surgical and Medical Treatment.

Introduction: Mucormycosis is a rare but serious infection caused by fungi called mucormycetes. It is life-threatening, highly aggressive angioinvasive infection, which mainly affects immunocompromised people. Methods and Results: During 2021-early 2023, at the Clinic for Maxillofacial Surgery, Faculty of Dental Medicine, University of Belgrade, Serbia (the "Clinic"), medical team (the "Team") treated five patients, with a rhino-orbital-cerebral form of mucormycosis. All five patients had recently recovered from COVID-19 infection prior to detection of mucormycosis. All of them spent a considerable amount of time (on average 1 month of hospitalization) at COVID-19 specialized hospitals. The Team treated these patients following the guidelines for screening diagnosis and management of mucormycosis at the time of the COVID-19 pandemic (COVID-19 patient guidelines/Indian Council of Medical Research, published in May 2021 approved by WHO). Treatment included several phases, out of which the Team was responsible for and carried out early diagnosis and surgical intervention phase, while colleagues from other clinics assisted in other phases of treatment/management of mucormycosis. Conclusion: The goal of this paper is to present five patients diagnosed with mucormycosis, with a special focus on two patients who, due to their condition, received surgical intervention as part of their antifungal treatment.

求助全文
通过发布文献求助,成功后即可免费获取论文全文。 去求助
来源期刊
自引率
0.00%
发文量
64
审稿时长
13 weeks
×
引用
GB/T 7714-2015
复制
MLA
复制
APA
复制
导出至
BibTeX EndNote RefMan NoteFirst NoteExpress
×
提示
您的信息不完整,为了账户安全,请先补充。
现在去补充
×
提示
您因"违规操作"
具体请查看互助需知
我知道了
×
提示
确定
请完成安全验证×
copy
已复制链接
快去分享给好友吧!
我知道了
右上角分享
点击右上角分享
0
联系我们:info@booksci.cn Book学术提供免费学术资源搜索服务,方便国内外学者检索中英文文献。致力于提供最便捷和优质的服务体验。 Copyright © 2023 布克学术 All rights reserved.
京ICP备2023020795号-1
ghs 京公网安备 11010802042870号
Book学术文献互助
Book学术文献互助群
群 号:604180095
Book学术官方微信