免疫活性宿主的光念珠菌无结石性胆囊炎。

IF 0.5 Q4 GASTROENTEROLOGY & HEPATOLOGY
ACG Case Reports Journal Pub Date : 2025-08-11 eCollection Date: 2025-08-01 DOI:10.14309/crj.0000000000001802
Abdulazeez Swaiti, Jinye Liu, Hassam Ali, Zarak Khan, Rahul Pamarthy, Khaled Elhusseiny, Danielle Hoo-Fatt
{"title":"免疫活性宿主的光念珠菌无结石性胆囊炎。","authors":"Abdulazeez Swaiti, Jinye Liu, Hassam Ali, Zarak Khan, Rahul Pamarthy, Khaled Elhusseiny, Danielle Hoo-Fatt","doi":"10.14309/crj.0000000000001802","DOIUrl":null,"url":null,"abstract":"<p><p>Acalculous cholecystitis (AC) is an inflammatory condition of the gallbladder without the presence of gallstones. Although far less common than calculus cholecystitis, AC is associated with a mortality rate 10 times higher than that of calculus cholecystitis. While normally due to bacterial pathogens, opportunistic ones such as the fungi <i>Candida</i> species (spp) can be rare causative agents of AC, typically observed in those with underlying malignancy or immunosuppression. In this study, we present an unusual case of an immunocompetent patient who was afflicted by fluconazole-resistant <i>Candida glabrata</i> AC. Our case highlights the complexity of this diagnosis and the challenges providers may encounter while treating the underlying infection.</p>","PeriodicalId":7394,"journal":{"name":"ACG Case Reports Journal","volume":"12 8","pages":"e01802"},"PeriodicalIF":0.5000,"publicationDate":"2025-08-11","publicationTypes":"Journal Article","fieldsOfStudy":null,"isOpenAccess":false,"openAccessPdf":"https://www.ncbi.nlm.nih.gov/pmc/articles/PMC12338181/pdf/","citationCount":"0","resultStr":"{\"title\":\"<i>Candida glabrata</i> Acalculous Cholecystitis in an Immunocompetent Host.\",\"authors\":\"Abdulazeez Swaiti, Jinye Liu, Hassam Ali, Zarak Khan, Rahul Pamarthy, Khaled Elhusseiny, Danielle Hoo-Fatt\",\"doi\":\"10.14309/crj.0000000000001802\",\"DOIUrl\":null,\"url\":null,\"abstract\":\"<p><p>Acalculous cholecystitis (AC) is an inflammatory condition of the gallbladder without the presence of gallstones. Although far less common than calculus cholecystitis, AC is associated with a mortality rate 10 times higher than that of calculus cholecystitis. While normally due to bacterial pathogens, opportunistic ones such as the fungi <i>Candida</i> species (spp) can be rare causative agents of AC, typically observed in those with underlying malignancy or immunosuppression. In this study, we present an unusual case of an immunocompetent patient who was afflicted by fluconazole-resistant <i>Candida glabrata</i> AC. Our case highlights the complexity of this diagnosis and the challenges providers may encounter while treating the underlying infection.</p>\",\"PeriodicalId\":7394,\"journal\":{\"name\":\"ACG Case Reports Journal\",\"volume\":\"12 8\",\"pages\":\"e01802\"},\"PeriodicalIF\":0.5000,\"publicationDate\":\"2025-08-11\",\"publicationTypes\":\"Journal Article\",\"fieldsOfStudy\":null,\"isOpenAccess\":false,\"openAccessPdf\":\"https://www.ncbi.nlm.nih.gov/pmc/articles/PMC12338181/pdf/\",\"citationCount\":\"0\",\"resultStr\":null,\"platform\":\"Semanticscholar\",\"paperid\":null,\"PeriodicalName\":\"ACG Case Reports Journal\",\"FirstCategoryId\":\"1085\",\"ListUrlMain\":\"https://doi.org/10.14309/crj.0000000000001802\",\"RegionNum\":0,\"RegionCategory\":null,\"ArticlePicture\":[],\"TitleCN\":null,\"AbstractTextCN\":null,\"PMCID\":null,\"EPubDate\":\"2025/8/1 0:00:00\",\"PubModel\":\"eCollection\",\"JCR\":\"Q4\",\"JCRName\":\"GASTROENTEROLOGY & HEPATOLOGY\",\"Score\":null,\"Total\":0}","platform":"Semanticscholar","paperid":null,"PeriodicalName":"ACG Case Reports Journal","FirstCategoryId":"1085","ListUrlMain":"https://doi.org/10.14309/crj.0000000000001802","RegionNum":0,"RegionCategory":null,"ArticlePicture":[],"TitleCN":null,"AbstractTextCN":null,"PMCID":null,"EPubDate":"2025/8/1 0:00:00","PubModel":"eCollection","JCR":"Q4","JCRName":"GASTROENTEROLOGY & HEPATOLOGY","Score":null,"Total":0}
引用次数: 0

摘要

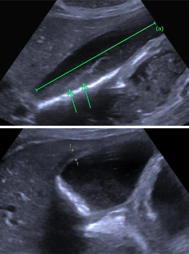
无结石性胆囊炎(AC)是一种没有胆结石的胆囊炎症。虽然远不如结石性胆囊炎常见,但AC的死亡率比结石性胆囊炎高10倍。虽然通常是由于细菌病原体,机会性病原体,如真菌念珠菌(spp)可能是罕见的AC病原体,通常在那些潜在的恶性肿瘤或免疫抑制患者中观察到。在这项研究中,我们提出了一个不寻常的病例,免疫功能正常的患者被氟康唑耐药秃念珠菌AC所困扰。我们的病例突出了这种诊断的复杂性和提供者在治疗潜在感染时可能遇到的挑战。
本文章由计算机程序翻译,如有差异,请以英文原文为准。

<i>Candida glabrata</i> Acalculous Cholecystitis in an Immunocompetent Host.

Candida glabrata Acalculous Cholecystitis in an Immunocompetent Host.

Acalculous cholecystitis (AC) is an inflammatory condition of the gallbladder without the presence of gallstones. Although far less common than calculus cholecystitis, AC is associated with a mortality rate 10 times higher than that of calculus cholecystitis. While normally due to bacterial pathogens, opportunistic ones such as the fungi Candida species (spp) can be rare causative agents of AC, typically observed in those with underlying malignancy or immunosuppression. In this study, we present an unusual case of an immunocompetent patient who was afflicted by fluconazole-resistant Candida glabrata AC. Our case highlights the complexity of this diagnosis and the challenges providers may encounter while treating the underlying infection.

求助全文
通过发布文献求助,成功后即可免费获取论文全文。 去求助
来源期刊
ACG Case Reports Journal
ACG Case Reports Journal GASTROENTEROLOGY & HEPATOLOGY-
自引率
14.30%
发文量
170
审稿时长
12 weeks
期刊介绍: ACG Case Reports Journal is a peer-reviewed, open-access publication that provides GI and hepatology fellows, private practice clinicians, and other healthcare providers an opportunity to share interesting case reports with their peers and with leaders in the field. ACG Case Reports Journal publishes case reports, images, videos and letters to the editor in all topics of gastroenterology and hepatology, including: Biliary Colon Endoscopy Esophagus Functional Bowel Disorders Inflammatory Bowel Disease Liver Nutrition and Obesity Pancreas Pathology Pediatric Small Bowel Stomach.
×
引用
GB/T 7714-2015
复制
MLA
复制
APA
复制
导出至
BibTeX EndNote RefMan NoteFirst NoteExpress
×
提示
您的信息不完整,为了账户安全,请先补充。
现在去补充
×
提示
您因"违规操作"
具体请查看互助需知
我知道了
×
提示
确定
请完成安全验证×
copy
已复制链接
快去分享给好友吧!
我知道了
右上角分享
点击右上角分享
0
联系我们:info@booksci.cn Book学术提供免费学术资源搜索服务,方便国内外学者检索中英文文献。致力于提供最便捷和优质的服务体验。 Copyright © 2023 布克学术 All rights reserved.
京ICP备2023020795号-1
ghs 京公网安备 11010802042870号
Book学术文献互助
Book学术文献互助群
群 号:604180095
Book学术官方微信