上皮-间充质标志物在预测甲状腺乳头状癌转移中的作用:回顾性病例对照研究。

Q3 Medicine
Qatar Medical Journal Pub Date : 2025-06-30 eCollection Date: 2025-01-01 DOI:10.5339/qmj.2025.45
Iqbal Amer, Esraa Aldujaily, Ali Alfatlawi
{"title":"上皮-间充质标志物在预测甲状腺乳头状癌转移中的作用:回顾性病例对照研究。","authors":"Iqbal Amer, Esraa Aldujaily, Ali Alfatlawi","doi":"10.5339/qmj.2025.45","DOIUrl":null,"url":null,"abstract":"<p><strong>Background: </strong>Papillary thyroid carcinoma (PTC) accounts for 90% of thyroid malignancies, with lymph node metastasis being a critical prognostic factor. However, the mechanisms driving metastasis remain unclear. This study investigated the role of E-cadherin and zinc finger E-box-binding homeobox 1 in cancer progression among Iraqi PTC patients.</p><p><strong>Methods: </strong>The expression levels of E-cadherin and zinc finger E-box-binding homeobox 1 were analyzed in 50 Iraqi patients diagnosed with PTC without lymph node metastases, evaluated between January 2015 and December 2021. The Pearson correlation coefficient between these markers and the risk of lymph node metastasis, as well as their relationship to tumor grade and stage, was calculated. The area under the receiver operating characteristic (ROC) curve for both markers was performed. The Medical Ethics Committee of the Iraqi Ministry of Higher Education and Scientific Research (Reference No. 14) approved the study.</p><p><strong>Results: </strong>This study examined 50 PTC cases, revealing significant associations between E-cadherin and zinc finger E-box-binding homeobox 1 expression and lymph node metastasis, clinical stage, and tumor grade. Zinc finger E-box-binding homeobox 1 expression was higher in metastatic cases (92% vs. 16%), while E-cadherin was lower (24% vs. 84%). Zinc finger E-box-binding homeobox 1 positively correlated with lymph node metastasis (<i>r</i> = 0.68), stage (<i>r</i> = 0.72), and grade (<i>r</i> = 0.56), whereas E-cadherin showed negative correlations (<i>r</i> = -0.60, -0.59, and -0.52, respectively). ROC analysis showed areas under the curve of 0.88 zinc finger E-box-binding homeobox 1 and 0.82 (E-cadherin), suggesting their potential as biomarkers for metastasis prediction.</p><p><strong>Conclusions: </strong>The study concluded that E-cadherin and zinc finger E-box-binding homeobox 1 are key predictors of lymph node metastasis, tumor grade, and stage in PTC. Monitoring these markers could enhance clinical decision-making and patient management.</p>","PeriodicalId":53667,"journal":{"name":"Qatar Medical Journal","volume":"2025 2","pages":"45"},"PeriodicalIF":0.0000,"publicationDate":"2025-06-30","publicationTypes":"Journal Article","fieldsOfStudy":null,"isOpenAccess":false,"openAccessPdf":"https://www.ncbi.nlm.nih.gov/pmc/articles/PMC12332897/pdf/","citationCount":"0","resultStr":"{\"title\":\"Role of epithelial-mesenchymal markers in predicting metastasis of papillary thyroid carcinoma: A retrospective case-control study.\",\"authors\":\"Iqbal Amer, Esraa Aldujaily, Ali Alfatlawi\",\"doi\":\"10.5339/qmj.2025.45\",\"DOIUrl\":null,\"url\":null,\"abstract\":\"<p><strong>Background: </strong>Papillary thyroid carcinoma (PTC) accounts for 90% of thyroid malignancies, with lymph node metastasis being a critical prognostic factor. However, the mechanisms driving metastasis remain unclear. This study investigated the role of E-cadherin and zinc finger E-box-binding homeobox 1 in cancer progression among Iraqi PTC patients.</p><p><strong>Methods: </strong>The expression levels of E-cadherin and zinc finger E-box-binding homeobox 1 were analyzed in 50 Iraqi patients diagnosed with PTC without lymph node metastases, evaluated between January 2015 and December 2021. The Pearson correlation coefficient between these markers and the risk of lymph node metastasis, as well as their relationship to tumor grade and stage, was calculated. The area under the receiver operating characteristic (ROC) curve for both markers was performed. The Medical Ethics Committee of the Iraqi Ministry of Higher Education and Scientific Research (Reference No. 14) approved the study.</p><p><strong>Results: </strong>This study examined 50 PTC cases, revealing significant associations between E-cadherin and zinc finger E-box-binding homeobox 1 expression and lymph node metastasis, clinical stage, and tumor grade. Zinc finger E-box-binding homeobox 1 expression was higher in metastatic cases (92% vs. 16%), while E-cadherin was lower (24% vs. 84%). Zinc finger E-box-binding homeobox 1 positively correlated with lymph node metastasis (<i>r</i> = 0.68), stage (<i>r</i> = 0.72), and grade (<i>r</i> = 0.56), whereas E-cadherin showed negative correlations (<i>r</i> = -0.60, -0.59, and -0.52, respectively). ROC analysis showed areas under the curve of 0.88 zinc finger E-box-binding homeobox 1 and 0.82 (E-cadherin), suggesting their potential as biomarkers for metastasis prediction.</p><p><strong>Conclusions: </strong>The study concluded that E-cadherin and zinc finger E-box-binding homeobox 1 are key predictors of lymph node metastasis, tumor grade, and stage in PTC. Monitoring these markers could enhance clinical decision-making and patient management.</p>\",\"PeriodicalId\":53667,\"journal\":{\"name\":\"Qatar Medical Journal\",\"volume\":\"2025 2\",\"pages\":\"45\"},\"PeriodicalIF\":0.0000,\"publicationDate\":\"2025-06-30\",\"publicationTypes\":\"Journal Article\",\"fieldsOfStudy\":null,\"isOpenAccess\":false,\"openAccessPdf\":\"https://www.ncbi.nlm.nih.gov/pmc/articles/PMC12332897/pdf/\",\"citationCount\":\"0\",\"resultStr\":null,\"platform\":\"Semanticscholar\",\"paperid\":null,\"PeriodicalName\":\"Qatar Medical Journal\",\"FirstCategoryId\":\"1085\",\"ListUrlMain\":\"https://doi.org/10.5339/qmj.2025.45\",\"RegionNum\":0,\"RegionCategory\":null,\"ArticlePicture\":[],\"TitleCN\":null,\"AbstractTextCN\":null,\"PMCID\":null,\"EPubDate\":\"2025/1/1 0:00:00\",\"PubModel\":\"eCollection\",\"JCR\":\"Q3\",\"JCRName\":\"Medicine\",\"Score\":null,\"Total\":0}","platform":"Semanticscholar","paperid":null,"PeriodicalName":"Qatar Medical Journal","FirstCategoryId":"1085","ListUrlMain":"https://doi.org/10.5339/qmj.2025.45","RegionNum":0,"RegionCategory":null,"ArticlePicture":[],"TitleCN":null,"AbstractTextCN":null,"PMCID":null,"EPubDate":"2025/1/1 0:00:00","PubModel":"eCollection","JCR":"Q3","JCRName":"Medicine","Score":null,"Total":0}
引用次数: 0

摘要

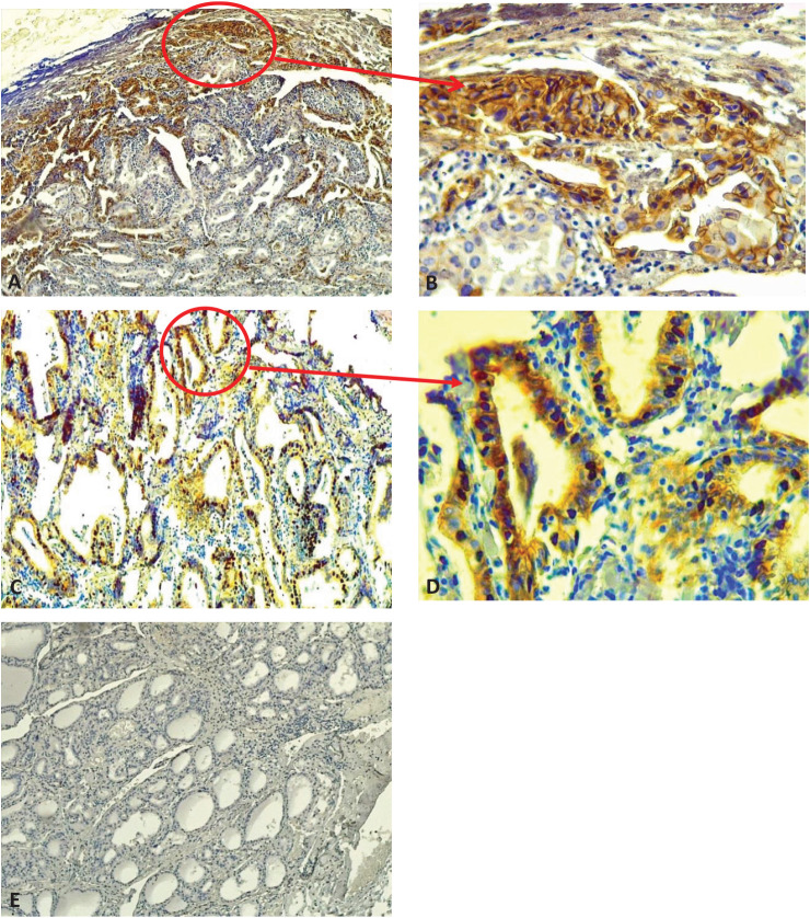
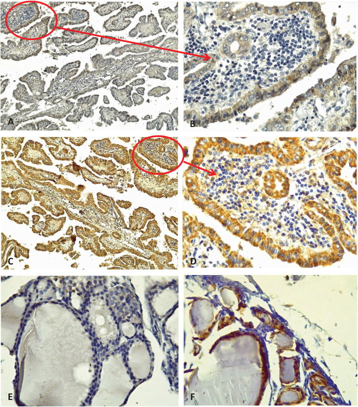
背景:甲状腺乳头状癌(PTC)占甲状腺恶性肿瘤的90%,淋巴结转移是一个关键的预后因素。然而,驱动转移的机制仍不清楚。本研究探讨了E-cadherin和锌指E-box-binding homeobox 1在伊拉克PTC患者癌症进展中的作用。方法:对2015年1月至2021年12月诊断为PTC且无淋巴结转移的50例伊拉克患者进行E-cadherin和锌指E-box-binding homeobox 1的表达水平进行分析。计算这些标志物与淋巴结转移风险之间的Pearson相关系数,以及它们与肿瘤分级和分期的关系。测量两种指标的受试者工作特征(ROC)曲线下面积。伊拉克高等教育和科学研究部医学伦理委员会(参考文献第14号)批准了这项研究。结果:本研究检查了50例PTC病例,揭示了E-cadherin和锌指E-box-binding homeobox 1表达与淋巴结转移、临床分期和肿瘤分级之间的显著相关性。锌指E-box-binding homeobox - 1在转移病例中的表达较高(92%比16%),而E-cadherin的表达较低(24%比84%)。锌指E-box-binding homeobox 1与淋巴结转移(r = 0.68)、分期(r = 0.72)、分级(r = 0.56)呈正相关,而E-cadherin呈负相关(r分别为-0.60、-0.59、-0.52)。ROC分析显示,锌指E-box-binding homeobox 1曲线下面积为0.88,E-cadherin曲线下面积为0.82,提示它们有可能作为转移预测的生物标志物。结论:E-cadherin和锌指E-box-binding homeobox 1是PTC淋巴结转移、肿瘤分级和分期的关键预测因子。监测这些标志物可以提高临床决策和患者管理。
本文章由计算机程序翻译,如有差异,请以英文原文为准。

Role of epithelial-mesenchymal markers in predicting metastasis of papillary thyroid carcinoma: A retrospective case-control study.

Role of epithelial-mesenchymal markers in predicting metastasis of papillary thyroid carcinoma: A retrospective case-control study.

Role of epithelial-mesenchymal markers in predicting metastasis of papillary thyroid carcinoma: A retrospective case-control study.

Role of epithelial-mesenchymal markers in predicting metastasis of papillary thyroid carcinoma: A retrospective case-control study.

Background: Papillary thyroid carcinoma (PTC) accounts for 90% of thyroid malignancies, with lymph node metastasis being a critical prognostic factor. However, the mechanisms driving metastasis remain unclear. This study investigated the role of E-cadherin and zinc finger E-box-binding homeobox 1 in cancer progression among Iraqi PTC patients.

Methods: The expression levels of E-cadherin and zinc finger E-box-binding homeobox 1 were analyzed in 50 Iraqi patients diagnosed with PTC without lymph node metastases, evaluated between January 2015 and December 2021. The Pearson correlation coefficient between these markers and the risk of lymph node metastasis, as well as their relationship to tumor grade and stage, was calculated. The area under the receiver operating characteristic (ROC) curve for both markers was performed. The Medical Ethics Committee of the Iraqi Ministry of Higher Education and Scientific Research (Reference No. 14) approved the study.

Results: This study examined 50 PTC cases, revealing significant associations between E-cadherin and zinc finger E-box-binding homeobox 1 expression and lymph node metastasis, clinical stage, and tumor grade. Zinc finger E-box-binding homeobox 1 expression was higher in metastatic cases (92% vs. 16%), while E-cadherin was lower (24% vs. 84%). Zinc finger E-box-binding homeobox 1 positively correlated with lymph node metastasis (r = 0.68), stage (r = 0.72), and grade (r = 0.56), whereas E-cadherin showed negative correlations (r = -0.60, -0.59, and -0.52, respectively). ROC analysis showed areas under the curve of 0.88 zinc finger E-box-binding homeobox 1 and 0.82 (E-cadherin), suggesting their potential as biomarkers for metastasis prediction.

Conclusions: The study concluded that E-cadherin and zinc finger E-box-binding homeobox 1 are key predictors of lymph node metastasis, tumor grade, and stage in PTC. Monitoring these markers could enhance clinical decision-making and patient management.

求助全文
通过发布文献求助,成功后即可免费获取论文全文。 去求助
来源期刊
Qatar Medical Journal
Qatar Medical Journal Medicine-Medicine (all)
CiteScore
1.80
自引率
0.00%
发文量
77
审稿时长
6 weeks
×
引用
GB/T 7714-2015
复制
MLA
复制
APA
复制
导出至
BibTeX EndNote RefMan NoteFirst NoteExpress
×
提示
您的信息不完整,为了账户安全,请先补充。
现在去补充
×
提示
您因"违规操作"
具体请查看互助需知
我知道了
×
提示
确定
请完成安全验证×
copy
已复制链接
快去分享给好友吧!
我知道了
右上角分享
点击右上角分享
0
联系我们:info@booksci.cn Book学术提供免费学术资源搜索服务,方便国内外学者检索中英文文献。致力于提供最便捷和优质的服务体验。 Copyright © 2023 布克学术 All rights reserved.
京ICP备2023020795号-1
ghs 京公网安备 11010802042870号
Book学术文献互助
Book学术文献互助群
群 号:604180095
Book学术官方微信