罕见头颈部肌炎伴可逆性骨髓增生异常综合征:首次报道狼疮表现为初始症状。

Q3 Medicine
Qatar Medical Journal Pub Date : 2025-06-30 eCollection Date: 2025-01-01 DOI:10.5339/qmj.2025.65
Ayu Paramaiswari, Muhammad Fakhrur Rozi, Gede Perdana Putera, Kartika Widayati
{"title":"罕见头颈部肌炎伴可逆性骨髓增生异常综合征:首次报道狼疮表现为初始症状。","authors":"Ayu Paramaiswari, Muhammad Fakhrur Rozi, Gede Perdana Putera, Kartika Widayati","doi":"10.5339/qmj.2025.65","DOIUrl":null,"url":null,"abstract":"<p><strong>Introduction: </strong>Systemic lupus erythematosus (SLE) is a systemic autoimmune disease characterized by a dysregulated immune response against self-antigen, leading to multi-organ involvement. Myositis, as an initial manifestation of SLE, is a rare clinical entity, particularly in newly diagnosed patients.</p><p><strong>Case presentation: </strong>A 27-year-old male presented with massive head and neck swelling, initially suspected to be superior vena cava syndrome (SVCS). Other symptoms included non-scarring alopecia, prolonged fever, oral ulcers, a history of hyperpigmented skin lesions, and progressive lower extremity weakness with edema. Hematological findings revealed persistent pancytopenia (anemia, leukopenia, and thrombocytopenia). Laboratory investigations demonstrated elevated muscle injury markers, including aspartate aminotransferase predominance and elevated creatine kinase. Immunological analysis showed a negative antinuclear antibody by indirect immunofluorescence, high anti-dsDNA titers, and normal complement levels. Bone marrow biopsy revealed trilineage dysplasia with macrophage activation, suggesting underlying hematologic involvement. Contrast-enhanced head and neck computed tomography ruled out SVCS, showing only diffuse muscle and subcutaneous edema. Based on the constellation of clinical, hematological, and imaging findings, the patient was diagnosed with myositis-associated SLE. The therapeutic approach included total plasma exchange (TPE), high-dose corticosteroid pulse therapy, and immunosuppressive induction therapy. Within 1 month of hospitalization, the patient demonstrated significant clinical and laboratory improvement and was subsequently transitioned to maintenance therapy with hydroxychloroquine (200 mg once daily), methylprednisolone (8 mg daily in a tapering regimen), and mycophenolate mofetil (500 mg twice daily). The patient achieved a lupus low disease activity state at follow-up.</p><p><strong>Discussion: </strong>This case represents a unique presentation of head and neck myositis in a newly diagnosed SLE patient, a manifestation not previously described in the literature. While orbital myositis in SLE has been reported, extensive myositis involving the head and neck as an initial SLE manifestation remains undocumented. Combining TPE, high-dose corticosteroids, and immunosuppressants was critical in disease control. Early recognition and aggressive immunomodulatory therapy are essential in managing such rare and severe SLE presentations.</p><p><strong>Conclusion: </strong>This case highlights an uncommon initial manifestation of SLE, emphasizing the importance of early clinical suspicion, comprehensive immunological and hematological evaluation, and prompt intervention. A multimodal therapeutic approach, including steroid pulse therapy, induction immunosuppression, and TPE, can lead to favorable clinical outcomes in severe and atypical SLE presentations.</p>","PeriodicalId":53667,"journal":{"name":"Qatar Medical Journal","volume":"2025 2","pages":"65"},"PeriodicalIF":0.0000,"publicationDate":"2025-06-30","publicationTypes":"Journal Article","fieldsOfStudy":null,"isOpenAccess":false,"openAccessPdf":"https://www.ncbi.nlm.nih.gov/pmc/articles/PMC12332898/pdf/","citationCount":"0","resultStr":"{\"title\":\"Rare head and neck myositis with reversible myelodysplastic syndrome: The first reported lupus manifestation as an initial symptom.\",\"authors\":\"Ayu Paramaiswari, Muhammad Fakhrur Rozi, Gede Perdana Putera, Kartika Widayati\",\"doi\":\"10.5339/qmj.2025.65\",\"DOIUrl\":null,\"url\":null,\"abstract\":\"<p><strong>Introduction: </strong>Systemic lupus erythematosus (SLE) is a systemic autoimmune disease characterized by a dysregulated immune response against self-antigen, leading to multi-organ involvement. Myositis, as an initial manifestation of SLE, is a rare clinical entity, particularly in newly diagnosed patients.</p><p><strong>Case presentation: </strong>A 27-year-old male presented with massive head and neck swelling, initially suspected to be superior vena cava syndrome (SVCS). Other symptoms included non-scarring alopecia, prolonged fever, oral ulcers, a history of hyperpigmented skin lesions, and progressive lower extremity weakness with edema. Hematological findings revealed persistent pancytopenia (anemia, leukopenia, and thrombocytopenia). Laboratory investigations demonstrated elevated muscle injury markers, including aspartate aminotransferase predominance and elevated creatine kinase. Immunological analysis showed a negative antinuclear antibody by indirect immunofluorescence, high anti-dsDNA titers, and normal complement levels. Bone marrow biopsy revealed trilineage dysplasia with macrophage activation, suggesting underlying hematologic involvement. Contrast-enhanced head and neck computed tomography ruled out SVCS, showing only diffuse muscle and subcutaneous edema. Based on the constellation of clinical, hematological, and imaging findings, the patient was diagnosed with myositis-associated SLE. The therapeutic approach included total plasma exchange (TPE), high-dose corticosteroid pulse therapy, and immunosuppressive induction therapy. Within 1 month of hospitalization, the patient demonstrated significant clinical and laboratory improvement and was subsequently transitioned to maintenance therapy with hydroxychloroquine (200 mg once daily), methylprednisolone (8 mg daily in a tapering regimen), and mycophenolate mofetil (500 mg twice daily). The patient achieved a lupus low disease activity state at follow-up.</p><p><strong>Discussion: </strong>This case represents a unique presentation of head and neck myositis in a newly diagnosed SLE patient, a manifestation not previously described in the literature. While orbital myositis in SLE has been reported, extensive myositis involving the head and neck as an initial SLE manifestation remains undocumented. Combining TPE, high-dose corticosteroids, and immunosuppressants was critical in disease control. Early recognition and aggressive immunomodulatory therapy are essential in managing such rare and severe SLE presentations.</p><p><strong>Conclusion: </strong>This case highlights an uncommon initial manifestation of SLE, emphasizing the importance of early clinical suspicion, comprehensive immunological and hematological evaluation, and prompt intervention. A multimodal therapeutic approach, including steroid pulse therapy, induction immunosuppression, and TPE, can lead to favorable clinical outcomes in severe and atypical SLE presentations.</p>\",\"PeriodicalId\":53667,\"journal\":{\"name\":\"Qatar Medical Journal\",\"volume\":\"2025 2\",\"pages\":\"65\"},\"PeriodicalIF\":0.0000,\"publicationDate\":\"2025-06-30\",\"publicationTypes\":\"Journal Article\",\"fieldsOfStudy\":null,\"isOpenAccess\":false,\"openAccessPdf\":\"https://www.ncbi.nlm.nih.gov/pmc/articles/PMC12332898/pdf/\",\"citationCount\":\"0\",\"resultStr\":null,\"platform\":\"Semanticscholar\",\"paperid\":null,\"PeriodicalName\":\"Qatar Medical Journal\",\"FirstCategoryId\":\"1085\",\"ListUrlMain\":\"https://doi.org/10.5339/qmj.2025.65\",\"RegionNum\":0,\"RegionCategory\":null,\"ArticlePicture\":[],\"TitleCN\":null,\"AbstractTextCN\":null,\"PMCID\":null,\"EPubDate\":\"2025/1/1 0:00:00\",\"PubModel\":\"eCollection\",\"JCR\":\"Q3\",\"JCRName\":\"Medicine\",\"Score\":null,\"Total\":0}","platform":"Semanticscholar","paperid":null,"PeriodicalName":"Qatar Medical Journal","FirstCategoryId":"1085","ListUrlMain":"https://doi.org/10.5339/qmj.2025.65","RegionNum":0,"RegionCategory":null,"ArticlePicture":[],"TitleCN":null,"AbstractTextCN":null,"PMCID":null,"EPubDate":"2025/1/1 0:00:00","PubModel":"eCollection","JCR":"Q3","JCRName":"Medicine","Score":null,"Total":0}
引用次数: 0

摘要

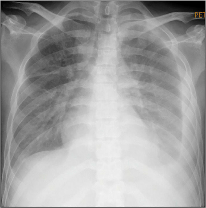
系统性红斑狼疮(SLE)是一种系统性自身免疫性疾病,其特征是对自身抗原的免疫反应失调,导致多器官受累。肌炎,作为SLE的初始表现,是一个罕见的临床实体,特别是在新诊断的患者。病例介绍:一名27岁男性,头部和颈部肿胀,最初怀疑为上腔静脉综合征(SVCS)。其他症状包括无瘢痕性脱发、持续发热、口腔溃疡、色素沉着皮肤病变史、进行性下肢无力伴水肿。血液学结果显示持续性全血细胞减少(贫血、白细胞减少和血小板减少)。实验室调查显示肌肉损伤标志物升高,包括天冬氨酸转氨酶优势和肌酸激酶升高。免疫分析显示间接免疫荧光抗核抗体阴性,抗dsdna滴度高,补体水平正常。骨髓活检显示三龄发育不良伴巨噬细胞活化,提示潜在的血液学受累。增强头部和颈部计算机断层扫描排除SVCS,仅显示弥漫性肌肉和皮下水肿。根据临床、血液学和影像学的综合检查结果,该患者被诊断为肌炎相关SLE。治疗方法包括全血浆置换(TPE)、大剂量皮质类固醇脉冲治疗和免疫抑制诱导治疗。住院1个月内,患者表现出显著的临床和实验室改善,随后转入维持治疗,包括羟氯喹(200mg每日一次)、甲基强的松龙(减量治疗方案中8mg每日一次)和霉酚酸酯(500mg每日两次)。患者在随访时达到狼疮低疾病活动状态。讨论:这个病例代表了一个新诊断的SLE患者头颈部肌炎的独特表现,这种表现在以前的文献中没有描述过。虽然SLE中有眼眶肌炎的报道,但作为SLE初始表现的广泛性肌炎累及头部和颈部仍未见报道。联合TPE、大剂量皮质类固醇和免疫抑制剂对疾病控制至关重要。早期识别和积极的免疫调节治疗对于治疗这种罕见和严重的SLE表现至关重要。结论:本病例突出了SLE罕见的首发表现,强调临床早期怀疑、综合免疫及血液学评价、及时干预的重要性。多模式治疗方法,包括类固醇脉冲治疗、诱导免疫抑制和TPE,可以在严重和非典型SLE表现中获得良好的临床结果。
本文章由计算机程序翻译,如有差异,请以英文原文为准。

Rare head and neck myositis with reversible myelodysplastic syndrome: The first reported lupus manifestation as an initial symptom.

Rare head and neck myositis with reversible myelodysplastic syndrome: The first reported lupus manifestation as an initial symptom.

Rare head and neck myositis with reversible myelodysplastic syndrome: The first reported lupus manifestation as an initial symptom.

Rare head and neck myositis with reversible myelodysplastic syndrome: The first reported lupus manifestation as an initial symptom.

Introduction: Systemic lupus erythematosus (SLE) is a systemic autoimmune disease characterized by a dysregulated immune response against self-antigen, leading to multi-organ involvement. Myositis, as an initial manifestation of SLE, is a rare clinical entity, particularly in newly diagnosed patients.

Case presentation: A 27-year-old male presented with massive head and neck swelling, initially suspected to be superior vena cava syndrome (SVCS). Other symptoms included non-scarring alopecia, prolonged fever, oral ulcers, a history of hyperpigmented skin lesions, and progressive lower extremity weakness with edema. Hematological findings revealed persistent pancytopenia (anemia, leukopenia, and thrombocytopenia). Laboratory investigations demonstrated elevated muscle injury markers, including aspartate aminotransferase predominance and elevated creatine kinase. Immunological analysis showed a negative antinuclear antibody by indirect immunofluorescence, high anti-dsDNA titers, and normal complement levels. Bone marrow biopsy revealed trilineage dysplasia with macrophage activation, suggesting underlying hematologic involvement. Contrast-enhanced head and neck computed tomography ruled out SVCS, showing only diffuse muscle and subcutaneous edema. Based on the constellation of clinical, hematological, and imaging findings, the patient was diagnosed with myositis-associated SLE. The therapeutic approach included total plasma exchange (TPE), high-dose corticosteroid pulse therapy, and immunosuppressive induction therapy. Within 1 month of hospitalization, the patient demonstrated significant clinical and laboratory improvement and was subsequently transitioned to maintenance therapy with hydroxychloroquine (200 mg once daily), methylprednisolone (8 mg daily in a tapering regimen), and mycophenolate mofetil (500 mg twice daily). The patient achieved a lupus low disease activity state at follow-up.

Discussion: This case represents a unique presentation of head and neck myositis in a newly diagnosed SLE patient, a manifestation not previously described in the literature. While orbital myositis in SLE has been reported, extensive myositis involving the head and neck as an initial SLE manifestation remains undocumented. Combining TPE, high-dose corticosteroids, and immunosuppressants was critical in disease control. Early recognition and aggressive immunomodulatory therapy are essential in managing such rare and severe SLE presentations.

Conclusion: This case highlights an uncommon initial manifestation of SLE, emphasizing the importance of early clinical suspicion, comprehensive immunological and hematological evaluation, and prompt intervention. A multimodal therapeutic approach, including steroid pulse therapy, induction immunosuppression, and TPE, can lead to favorable clinical outcomes in severe and atypical SLE presentations.

求助全文
通过发布文献求助,成功后即可免费获取论文全文。 去求助
来源期刊
Qatar Medical Journal
Qatar Medical Journal Medicine-Medicine (all)
CiteScore
1.80
自引率
0.00%
发文量
77
审稿时长
6 weeks
×
引用
GB/T 7714-2015
复制
MLA
复制
APA
复制
导出至
BibTeX EndNote RefMan NoteFirst NoteExpress
×
提示
您的信息不完整,为了账户安全,请先补充。
现在去补充
×
提示
您因"违规操作"
具体请查看互助需知
我知道了
×
提示
确定
请完成安全验证×
copy
已复制链接
快去分享给好友吧!
我知道了
右上角分享
点击右上角分享
0
联系我们:info@booksci.cn Book学术提供免费学术资源搜索服务,方便国内外学者检索中英文文献。致力于提供最便捷和优质的服务体验。 Copyright © 2023 布克学术 All rights reserved.
京ICP备2023020795号-1
ghs 京公网安备 11010802042870号
Book学术文献互助
Book学术文献互助群
群 号:604180095
Book学术官方微信