胸腔镜左下肺叶切除术术中出血的预防不必要的肺动脉和肺静脉阻塞。

IF 2.3 4区 医学 Q3 CARDIAC & CARDIOVASCULAR SYSTEMS
Annals of Thoracic Medicine Pub Date : 2025-07-01 Epub Date: 2025-06-16 DOI:10.4103/atm.atm_183_24
Dario Amore, Marcellino Cicalese, Umberto Caterino, Dino Casazza, Pasquale Imitazione, Cristiano Cesaro
{"title":"胸腔镜左下肺叶切除术术中出血的预防不必要的肺动脉和肺静脉阻塞。","authors":"Dario Amore, Marcellino Cicalese, Umberto Caterino, Dino Casazza, Pasquale Imitazione, Cristiano Cesaro","doi":"10.4103/atm.atm_183_24","DOIUrl":null,"url":null,"abstract":"<p><p>Complicated hilar anatomy may be technically challenging for thoracic surgeons, especially during video-assisted thoracic surgery lobectomy. In such instances, to prevent hemorrhagic complications and conversion to open thoracotomy, several methods of proximal and distal vascular control have been proposed. Here, we present a technique of unnecessary occlusion of the main pulmonary artery and preserved pulmonary vein during a challenging thoracoscopic left lower lobectomy in patient with lung cancer and interlobar lymphadenopathy.</p>","PeriodicalId":50760,"journal":{"name":"Annals of Thoracic Medicine","volume":"20 3","pages":"191-193"},"PeriodicalIF":2.3000,"publicationDate":"2025-07-01","publicationTypes":"Journal Article","fieldsOfStudy":null,"isOpenAccess":false,"openAccessPdf":"https://www.ncbi.nlm.nih.gov/pmc/articles/PMC12333960/pdf/","citationCount":"0","resultStr":"{\"title\":\"Prevention of intraoperative bleeding during thoracoscopic left lower lobectomy; an unnecessary occlusion of pulmonary artery and vein.\",\"authors\":\"Dario Amore, Marcellino Cicalese, Umberto Caterino, Dino Casazza, Pasquale Imitazione, Cristiano Cesaro\",\"doi\":\"10.4103/atm.atm_183_24\",\"DOIUrl\":null,\"url\":null,\"abstract\":\"<p><p>Complicated hilar anatomy may be technically challenging for thoracic surgeons, especially during video-assisted thoracic surgery lobectomy. In such instances, to prevent hemorrhagic complications and conversion to open thoracotomy, several methods of proximal and distal vascular control have been proposed. Here, we present a technique of unnecessary occlusion of the main pulmonary artery and preserved pulmonary vein during a challenging thoracoscopic left lower lobectomy in patient with lung cancer and interlobar lymphadenopathy.</p>\",\"PeriodicalId\":50760,\"journal\":{\"name\":\"Annals of Thoracic Medicine\",\"volume\":\"20 3\",\"pages\":\"191-193\"},\"PeriodicalIF\":2.3000,\"publicationDate\":\"2025-07-01\",\"publicationTypes\":\"Journal Article\",\"fieldsOfStudy\":null,\"isOpenAccess\":false,\"openAccessPdf\":\"https://www.ncbi.nlm.nih.gov/pmc/articles/PMC12333960/pdf/\",\"citationCount\":\"0\",\"resultStr\":null,\"platform\":\"Semanticscholar\",\"paperid\":null,\"PeriodicalName\":\"Annals of Thoracic Medicine\",\"FirstCategoryId\":\"3\",\"ListUrlMain\":\"https://doi.org/10.4103/atm.atm_183_24\",\"RegionNum\":4,\"RegionCategory\":\"医学\",\"ArticlePicture\":[],\"TitleCN\":null,\"AbstractTextCN\":null,\"PMCID\":null,\"EPubDate\":\"2025/6/16 0:00:00\",\"PubModel\":\"Epub\",\"JCR\":\"Q3\",\"JCRName\":\"CARDIAC & CARDIOVASCULAR SYSTEMS\",\"Score\":null,\"Total\":0}","platform":"Semanticscholar","paperid":null,"PeriodicalName":"Annals of Thoracic Medicine","FirstCategoryId":"3","ListUrlMain":"https://doi.org/10.4103/atm.atm_183_24","RegionNum":4,"RegionCategory":"医学","ArticlePicture":[],"TitleCN":null,"AbstractTextCN":null,"PMCID":null,"EPubDate":"2025/6/16 0:00:00","PubModel":"Epub","JCR":"Q3","JCRName":"CARDIAC & CARDIOVASCULAR SYSTEMS","Score":null,"Total":0}
引用次数: 0

摘要

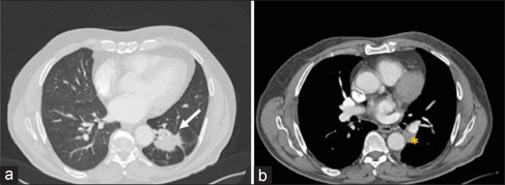
复杂的肺门解剖结构对胸外科医生来说可能是技术上的挑战,特别是在视频辅助胸外科肺叶切除术中。在这种情况下,为了防止出血并发症和转向开胸手术,提出了几种近端和远端血管控制方法。在此,我们提出了一种在具有挑战性的胸腔镜下左下叶切除术中对肺癌和叶间淋巴结病患者进行不必要的肺动脉阻塞和保留肺静脉的技术。
本文章由计算机程序翻译,如有差异,请以英文原文为准。

Prevention of intraoperative bleeding during thoracoscopic left lower lobectomy; an unnecessary occlusion of pulmonary artery and vein.

Prevention of intraoperative bleeding during thoracoscopic left lower lobectomy; an unnecessary occlusion of pulmonary artery and vein.

Prevention of intraoperative bleeding during thoracoscopic left lower lobectomy; an unnecessary occlusion of pulmonary artery and vein.

Prevention of intraoperative bleeding during thoracoscopic left lower lobectomy; an unnecessary occlusion of pulmonary artery and vein.

Complicated hilar anatomy may be technically challenging for thoracic surgeons, especially during video-assisted thoracic surgery lobectomy. In such instances, to prevent hemorrhagic complications and conversion to open thoracotomy, several methods of proximal and distal vascular control have been proposed. Here, we present a technique of unnecessary occlusion of the main pulmonary artery and preserved pulmonary vein during a challenging thoracoscopic left lower lobectomy in patient with lung cancer and interlobar lymphadenopathy.

求助全文
通过发布文献求助,成功后即可免费获取论文全文。 去求助
来源期刊
Annals of Thoracic Medicine
Annals of Thoracic Medicine CARDIAC & CARDIOVASCULAR SYSTEMS-RESPIRATORY SYSTEM
CiteScore
4.10
自引率
4.30%
发文量
19
审稿时长
>12 weeks
期刊介绍: The journal will cover studies related to multidisciplinary specialties of chest medicine, such as adult and pediatrics pulmonology, thoracic surgery, critical care medicine, respiratory care, transplantation, sleep medicine, related basic medical sciences, and more. The journal also features basic science, special reports, case reports, board review , and more. Editorials and communications to the editor that explore controversial issues and encourage further discussion by physicians dealing with chest medicine.
×
引用
GB/T 7714-2015
复制
MLA
复制
APA
复制
导出至
BibTeX EndNote RefMan NoteFirst NoteExpress
×
提示
您的信息不完整,为了账户安全,请先补充。
现在去补充
×
提示
您因"违规操作"
具体请查看互助需知
我知道了
×
提示
确定
请完成安全验证×
copy
已复制链接
快去分享给好友吧!
我知道了
右上角分享
点击右上角分享
0
联系我们:info@booksci.cn Book学术提供免费学术资源搜索服务,方便国内外学者检索中英文文献。致力于提供最便捷和优质的服务体验。 Copyright © 2023 布克学术 All rights reserved.
京ICP备2023020795号-1
ghs 京公网安备 11010802042870号
Book学术文献互助
Book学术文献互助群
群 号:604180095
Book学术官方微信