体重指数低的青少年更容易发生儿童非移位性股骨颈骨折。

IF 2 2区 医学 Q2 ORTHOPEDICS
Clinics in Orthopedic Surgery Pub Date : 2025-08-01 Epub Date: 2025-07-15 DOI:10.4055/cios24177
Jong Wha Lee, Jae Ho Cho, Tae Hun Kim
{"title":"体重指数低的青少年更容易发生儿童非移位性股骨颈骨折。","authors":"Jong Wha Lee, Jae Ho Cho, Tae Hun Kim","doi":"10.4055/cios24177","DOIUrl":null,"url":null,"abstract":"<p><strong>Background: </strong>Femoral neck fracture is a rare condition among fractures in the pediatric population. However, its potential for grave complications such as avascular necrosis or severe limb length discrepancy warrants prompt diagnosis and management. Much effort has been made to assess fracture risk in young adolescents in relation to obesity, low vitamin D levels, or young age osteoporosis. However, to our knowledge, there has been no literature that highlights a higher incidence of femoral neck fracture in adolescents with low body mass index (BMI).</p><p><strong>Methods: </strong>At a level I trauma center, 22 early adolescents aged 10 years and older who had femoral neck fractures and underwent surgical treatment were included in the study. At the time of injury, BMI of each patient was stratified into 5 categories (underweight, normal weight, overweight, moderate obesity, and extreme obesity) based on BMI for age. Underweight was defined as a BMI below the 5th percentile, normal weight as between the 5th and 85th percentile, overweight as between the 85th and 95th percentile, and obese as above the 95th percentile. Then the patients were divided into 2 groups according to trauma degree: high-energy trauma and low-energy trauma. Low-energy fractures were defined as those caused by all types of trauma except for accidents involving motor vehicles, bicycles, or ski and all falls from greater than standing height. Independent samples <i>t</i>-tests and Pearson's chi-square tests were conducted between the 2 trauma groups.</p><p><strong>Results: </strong>Excluding 2 patients lost to follow-up, 4 of 13 patients (30.77%) in the low-energy fracture group were underweight, whereas none in the high-energy fracture group were underweight. Including valgus impacted femoral neck fractures, 7 femoral neck fractures were nondisplaced, while 13 were complicated with displacement and required closed reduction. Avascular necrosis was observed in 4 cases and limb length discrepancy in 3 cases. The mean BMI percentile differed statistically significantly between the 2 trauma groups (<i>p</i> < 0.05).</p><p><strong>Conclusions: </strong>Low-energy femoral neck fractures in adolescents appeared to be associated with low BMI. Future studies are required to clarify the relationship between low BMI and fracture risk.</p>","PeriodicalId":47648,"journal":{"name":"Clinics in Orthopedic Surgery","volume":"17 4","pages":"704-709"},"PeriodicalIF":2.0000,"publicationDate":"2025-08-01","publicationTypes":"Journal Article","fieldsOfStudy":null,"isOpenAccess":false,"openAccessPdf":"https://www.ncbi.nlm.nih.gov/pmc/articles/PMC12328114/pdf/","citationCount":"0","resultStr":"{\"title\":\"Adolescents with Low Body Mass Index Are More Vulnerable to Pediatric Nondisplaced Femoral Neck Fractures.\",\"authors\":\"Jong Wha Lee, Jae Ho Cho, Tae Hun Kim\",\"doi\":\"10.4055/cios24177\",\"DOIUrl\":null,\"url\":null,\"abstract\":\"<p><strong>Background: </strong>Femoral neck fracture is a rare condition among fractures in the pediatric population. However, its potential for grave complications such as avascular necrosis or severe limb length discrepancy warrants prompt diagnosis and management. Much effort has been made to assess fracture risk in young adolescents in relation to obesity, low vitamin D levels, or young age osteoporosis. However, to our knowledge, there has been no literature that highlights a higher incidence of femoral neck fracture in adolescents with low body mass index (BMI).</p><p><strong>Methods: </strong>At a level I trauma center, 22 early adolescents aged 10 years and older who had femoral neck fractures and underwent surgical treatment were included in the study. At the time of injury, BMI of each patient was stratified into 5 categories (underweight, normal weight, overweight, moderate obesity, and extreme obesity) based on BMI for age. Underweight was defined as a BMI below the 5th percentile, normal weight as between the 5th and 85th percentile, overweight as between the 85th and 95th percentile, and obese as above the 95th percentile. Then the patients were divided into 2 groups according to trauma degree: high-energy trauma and low-energy trauma. Low-energy fractures were defined as those caused by all types of trauma except for accidents involving motor vehicles, bicycles, or ski and all falls from greater than standing height. Independent samples <i>t</i>-tests and Pearson's chi-square tests were conducted between the 2 trauma groups.</p><p><strong>Results: </strong>Excluding 2 patients lost to follow-up, 4 of 13 patients (30.77%) in the low-energy fracture group were underweight, whereas none in the high-energy fracture group were underweight. Including valgus impacted femoral neck fractures, 7 femoral neck fractures were nondisplaced, while 13 were complicated with displacement and required closed reduction. Avascular necrosis was observed in 4 cases and limb length discrepancy in 3 cases. The mean BMI percentile differed statistically significantly between the 2 trauma groups (<i>p</i> < 0.05).</p><p><strong>Conclusions: </strong>Low-energy femoral neck fractures in adolescents appeared to be associated with low BMI. Future studies are required to clarify the relationship between low BMI and fracture risk.</p>\",\"PeriodicalId\":47648,\"journal\":{\"name\":\"Clinics in Orthopedic Surgery\",\"volume\":\"17 4\",\"pages\":\"704-709\"},\"PeriodicalIF\":2.0000,\"publicationDate\":\"2025-08-01\",\"publicationTypes\":\"Journal Article\",\"fieldsOfStudy\":null,\"isOpenAccess\":false,\"openAccessPdf\":\"https://www.ncbi.nlm.nih.gov/pmc/articles/PMC12328114/pdf/\",\"citationCount\":\"0\",\"resultStr\":null,\"platform\":\"Semanticscholar\",\"paperid\":null,\"PeriodicalName\":\"Clinics in Orthopedic Surgery\",\"FirstCategoryId\":\"3\",\"ListUrlMain\":\"https://doi.org/10.4055/cios24177\",\"RegionNum\":2,\"RegionCategory\":\"医学\",\"ArticlePicture\":[],\"TitleCN\":null,\"AbstractTextCN\":null,\"PMCID\":null,\"EPubDate\":\"2025/7/15 0:00:00\",\"PubModel\":\"Epub\",\"JCR\":\"Q2\",\"JCRName\":\"ORTHOPEDICS\",\"Score\":null,\"Total\":0}","platform":"Semanticscholar","paperid":null,"PeriodicalName":"Clinics in Orthopedic Surgery","FirstCategoryId":"3","ListUrlMain":"https://doi.org/10.4055/cios24177","RegionNum":2,"RegionCategory":"医学","ArticlePicture":[],"TitleCN":null,"AbstractTextCN":null,"PMCID":null,"EPubDate":"2025/7/15 0:00:00","PubModel":"Epub","JCR":"Q2","JCRName":"ORTHOPEDICS","Score":null,"Total":0}
引用次数: 0

摘要

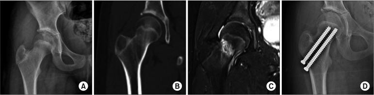
背景:股骨颈骨折在小儿骨折中是一种罕见的情况。然而,其潜在的严重并发症,如无血管坏死或严重的肢体长度差异,需要及时诊断和处理。很多人都在努力评估青少年骨折风险与肥胖、低维生素D水平或年轻骨质疏松症之间的关系。然而,据我们所知,没有文献强调低体重指数(BMI)的青少年股骨颈骨折的发生率更高。方法:选取某一级创伤中心22例10岁及以上的早期青少年股骨颈骨折手术治疗患者作为研究对象。损伤时,根据年龄BMI将患者BMI分为体重过轻、体重正常、超重、中度肥胖、极度肥胖5类。体重不足被定义为BMI低于第5个百分位数,正常体重在第5到85个百分位数之间,超重在第85到95个百分位数之间,肥胖在第95个百分位数以上。然后根据创伤程度将患者分为两组:高能创伤和低能创伤。低能骨折被定义为除机动车、自行车或滑雪事故外的所有类型的创伤以及所有从高于站立高度的跌落造成的骨折。两组创伤患者间进行独立样本t检验和Pearson卡方检验。结果:除2例失访外,低能骨折组13例患者中有4例(30.77%)体重过轻,高能骨折组无体重过轻。包括外翻影响股骨颈骨折在内,7例股骨颈骨折未移位,13例合并移位需要闭合复位。无血管坏死4例,肢体长度不一致3例。两组患者BMI百分位数差异有统计学意义(p < 0.05)。结论:青少年低能量股骨颈骨折似乎与低BMI有关。未来的研究需要明确低BMI与骨折风险之间的关系。
本文章由计算机程序翻译,如有差异,请以英文原文为准。

Adolescents with Low Body Mass Index Are More Vulnerable to Pediatric Nondisplaced Femoral Neck Fractures.

Adolescents with Low Body Mass Index Are More Vulnerable to Pediatric Nondisplaced Femoral Neck Fractures.

Adolescents with Low Body Mass Index Are More Vulnerable to Pediatric Nondisplaced Femoral Neck Fractures.

Adolescents with Low Body Mass Index Are More Vulnerable to Pediatric Nondisplaced Femoral Neck Fractures.

Background: Femoral neck fracture is a rare condition among fractures in the pediatric population. However, its potential for grave complications such as avascular necrosis or severe limb length discrepancy warrants prompt diagnosis and management. Much effort has been made to assess fracture risk in young adolescents in relation to obesity, low vitamin D levels, or young age osteoporosis. However, to our knowledge, there has been no literature that highlights a higher incidence of femoral neck fracture in adolescents with low body mass index (BMI).

Methods: At a level I trauma center, 22 early adolescents aged 10 years and older who had femoral neck fractures and underwent surgical treatment were included in the study. At the time of injury, BMI of each patient was stratified into 5 categories (underweight, normal weight, overweight, moderate obesity, and extreme obesity) based on BMI for age. Underweight was defined as a BMI below the 5th percentile, normal weight as between the 5th and 85th percentile, overweight as between the 85th and 95th percentile, and obese as above the 95th percentile. Then the patients were divided into 2 groups according to trauma degree: high-energy trauma and low-energy trauma. Low-energy fractures were defined as those caused by all types of trauma except for accidents involving motor vehicles, bicycles, or ski and all falls from greater than standing height. Independent samples t-tests and Pearson's chi-square tests were conducted between the 2 trauma groups.

Results: Excluding 2 patients lost to follow-up, 4 of 13 patients (30.77%) in the low-energy fracture group were underweight, whereas none in the high-energy fracture group were underweight. Including valgus impacted femoral neck fractures, 7 femoral neck fractures were nondisplaced, while 13 were complicated with displacement and required closed reduction. Avascular necrosis was observed in 4 cases and limb length discrepancy in 3 cases. The mean BMI percentile differed statistically significantly between the 2 trauma groups (p < 0.05).

Conclusions: Low-energy femoral neck fractures in adolescents appeared to be associated with low BMI. Future studies are required to clarify the relationship between low BMI and fracture risk.

求助全文
通过发布文献求助,成功后即可免费获取论文全文。 去求助
来源期刊
CiteScore
3.50
自引率
4.00%
发文量
85
审稿时长
36 weeks
×
引用
GB/T 7714-2015
复制
MLA
复制
APA
复制
导出至
BibTeX EndNote RefMan NoteFirst NoteExpress
×
提示
您的信息不完整,为了账户安全,请先补充。
现在去补充
×
提示
您因"违规操作"
具体请查看互助需知
我知道了
×
提示
确定
请完成安全验证×
copy
已复制链接
快去分享给好友吧!
我知道了
右上角分享
点击右上角分享
0
联系我们:info@booksci.cn Book学术提供免费学术资源搜索服务,方便国内外学者检索中英文文献。致力于提供最便捷和优质的服务体验。 Copyright © 2023 布克学术 All rights reserved.
京ICP备2023020795号-1
ghs 京公网安备 11010802042870号
Book学术文献互助
Book学术文献互助群
群 号:604180095
Book学术官方微信