乙状窦切迹累及对桡骨远端骨折预后的影响:至少5年随访后的影像学和临床评估。

IF 2 2区 医学 Q2 ORTHOPEDICS
Clinics in Orthopedic Surgery Pub Date : 2025-08-01 Epub Date: 2025-07-15 DOI:10.4055/cios24102
Yu-Seok Kim, Jun-Hyuk Lim, Myung-Sun Kim
{"title":"乙状窦切迹累及对桡骨远端骨折预后的影响:至少5年随访后的影像学和临床评估。","authors":"Yu-Seok Kim, Jun-Hyuk Lim, Myung-Sun Kim","doi":"10.4055/cios24102","DOIUrl":null,"url":null,"abstract":"<p><strong>Background: </strong>Posttraumatic osteoarthritis (OA) is one of the complications of distal radius fractures (DRFs). Involvement of the sigmoid notch (SN) is a risk factor, but there are few studies that support this. In this study, we hypothesized that SN involvement can affect the radiological and clinical outcomes of surgically treated DRFs and that there would be differences based on the degree of SN involvement.</p><p><strong>Methods: </strong>The authors reviewed patients who underwent surgical treatment for DRF at our institution and were followed up for over 5 years. The patients were divided into 2 groups based on SN involvement. All patients underwent postoperative plain radiographs at the last follow-up to evaluate posttraumatic OA at the distal radioulnar joint (DRUJ). On computed tomography (CT) scans of the SN involvement group, articular step-off and gap distance were measured. Posttraumatic OA was graded using the Knirk and Jupiter radiographic criteria. For clinical evaluation, grip strength, wrist range of motion, pain visual analog scale score, Disabilities of the Arm, Shoulder, and Hand questionnaires, and Modified Mayo Wrist Score were assessed.</p><p><strong>Results: </strong>Radiologically, the DRUJ OA grades were significantly higher in the SN involvement group. The step-off and gap distance measured on CT scans revealed no significant correlation with the grades. Clinical outcomes were not significantly different between the 2 groups.</p><p><strong>Conclusions: </strong>SN involvement did not affect clinical outcomes in DRF patients with a minimum of 5 years of follow-up. However, radiologically, the OA grades were significantly higher in the SN involvement group. Therefore, in cases of DRF with SN involvement, there is no significant difference in clinical outcome, but it is necessary to explain to patients that posttraumatic DRUJ arthritis may occur in the future.</p>","PeriodicalId":47648,"journal":{"name":"Clinics in Orthopedic Surgery","volume":"17 4","pages":"568-574"},"PeriodicalIF":2.0000,"publicationDate":"2025-08-01","publicationTypes":"Journal Article","fieldsOfStudy":null,"isOpenAccess":false,"openAccessPdf":"https://www.ncbi.nlm.nih.gov/pmc/articles/PMC12328106/pdf/","citationCount":"0","resultStr":"{\"title\":\"The Impact of Sigmoid Notch Involvement on the Outcomes of Distal Radius Fractures: Radiological and Clinical Assessments after a Minimum of 5 Years of Follow-up.\",\"authors\":\"Yu-Seok Kim, Jun-Hyuk Lim, Myung-Sun Kim\",\"doi\":\"10.4055/cios24102\",\"DOIUrl\":null,\"url\":null,\"abstract\":\"<p><strong>Background: </strong>Posttraumatic osteoarthritis (OA) is one of the complications of distal radius fractures (DRFs). Involvement of the sigmoid notch (SN) is a risk factor, but there are few studies that support this. In this study, we hypothesized that SN involvement can affect the radiological and clinical outcomes of surgically treated DRFs and that there would be differences based on the degree of SN involvement.</p><p><strong>Methods: </strong>The authors reviewed patients who underwent surgical treatment for DRF at our institution and were followed up for over 5 years. The patients were divided into 2 groups based on SN involvement. All patients underwent postoperative plain radiographs at the last follow-up to evaluate posttraumatic OA at the distal radioulnar joint (DRUJ). On computed tomography (CT) scans of the SN involvement group, articular step-off and gap distance were measured. Posttraumatic OA was graded using the Knirk and Jupiter radiographic criteria. For clinical evaluation, grip strength, wrist range of motion, pain visual analog scale score, Disabilities of the Arm, Shoulder, and Hand questionnaires, and Modified Mayo Wrist Score were assessed.</p><p><strong>Results: </strong>Radiologically, the DRUJ OA grades were significantly higher in the SN involvement group. The step-off and gap distance measured on CT scans revealed no significant correlation with the grades. Clinical outcomes were not significantly different between the 2 groups.</p><p><strong>Conclusions: </strong>SN involvement did not affect clinical outcomes in DRF patients with a minimum of 5 years of follow-up. However, radiologically, the OA grades were significantly higher in the SN involvement group. Therefore, in cases of DRF with SN involvement, there is no significant difference in clinical outcome, but it is necessary to explain to patients that posttraumatic DRUJ arthritis may occur in the future.</p>\",\"PeriodicalId\":47648,\"journal\":{\"name\":\"Clinics in Orthopedic Surgery\",\"volume\":\"17 4\",\"pages\":\"568-574\"},\"PeriodicalIF\":2.0000,\"publicationDate\":\"2025-08-01\",\"publicationTypes\":\"Journal Article\",\"fieldsOfStudy\":null,\"isOpenAccess\":false,\"openAccessPdf\":\"https://www.ncbi.nlm.nih.gov/pmc/articles/PMC12328106/pdf/\",\"citationCount\":\"0\",\"resultStr\":null,\"platform\":\"Semanticscholar\",\"paperid\":null,\"PeriodicalName\":\"Clinics in Orthopedic Surgery\",\"FirstCategoryId\":\"3\",\"ListUrlMain\":\"https://doi.org/10.4055/cios24102\",\"RegionNum\":2,\"RegionCategory\":\"医学\",\"ArticlePicture\":[],\"TitleCN\":null,\"AbstractTextCN\":null,\"PMCID\":null,\"EPubDate\":\"2025/7/15 0:00:00\",\"PubModel\":\"Epub\",\"JCR\":\"Q2\",\"JCRName\":\"ORTHOPEDICS\",\"Score\":null,\"Total\":0}","platform":"Semanticscholar","paperid":null,"PeriodicalName":"Clinics in Orthopedic Surgery","FirstCategoryId":"3","ListUrlMain":"https://doi.org/10.4055/cios24102","RegionNum":2,"RegionCategory":"医学","ArticlePicture":[],"TitleCN":null,"AbstractTextCN":null,"PMCID":null,"EPubDate":"2025/7/15 0:00:00","PubModel":"Epub","JCR":"Q2","JCRName":"ORTHOPEDICS","Score":null,"Total":0}
引用次数: 0

摘要

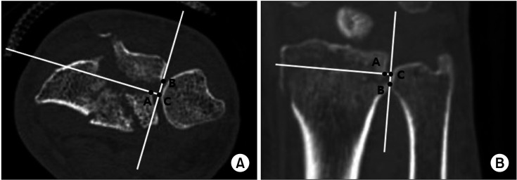
背景:创伤后骨关节炎(OA)是桡骨远端骨折(DRFs)的并发症之一。累及乙状窦切迹(SN)是一个危险因素,但很少有研究支持这一点。在本研究中,我们假设SN受累会影响手术治疗的DRFs的放射学和临床结果,并且根据SN受累程度的不同会有差异。方法:作者回顾了在我院接受手术治疗的DRF患者,并进行了超过5年的随访。根据SN受累情况将患者分为两组。所有患者在最后一次随访时均接受术后x线平片检查,以评估远端尺桡关节(DRUJ)创伤后骨性关节炎。在SN受累组的计算机断层扫描(CT)上,测量关节台阶和间隙距离。使用Knirk和Jupiter放射学标准对创伤后骨关节炎进行分级。临床评估方法包括握力、手腕活动度、疼痛视觉模拟量表评分、手臂、肩部和手部残疾问卷以及改良梅奥手腕评分。结果:放射学上,SN受累组的DRUJ OA评分明显更高。CT扫描测量的台阶距离和间隙距离显示与分级无显著相关性。两组临床结果无显著差异。结论:在至少5年的随访中,SN受累对DRF患者的临床结果没有影响。然而,放射学上,骨性关节炎分级明显高于SN受累组。因此,在伴有SN累及的DRF病例中,临床结局无明显差异,但有必要向患者说明,未来可能发生创伤后DRUJ关节炎。
本文章由计算机程序翻译,如有差异,请以英文原文为准。

The Impact of Sigmoid Notch Involvement on the Outcomes of Distal Radius Fractures: Radiological and Clinical Assessments after a Minimum of 5 Years of Follow-up.

The Impact of Sigmoid Notch Involvement on the Outcomes of Distal Radius Fractures: Radiological and Clinical Assessments after a Minimum of 5 Years of Follow-up.

The Impact of Sigmoid Notch Involvement on the Outcomes of Distal Radius Fractures: Radiological and Clinical Assessments after a Minimum of 5 Years of Follow-up.

The Impact of Sigmoid Notch Involvement on the Outcomes of Distal Radius Fractures: Radiological and Clinical Assessments after a Minimum of 5 Years of Follow-up.

Background: Posttraumatic osteoarthritis (OA) is one of the complications of distal radius fractures (DRFs). Involvement of the sigmoid notch (SN) is a risk factor, but there are few studies that support this. In this study, we hypothesized that SN involvement can affect the radiological and clinical outcomes of surgically treated DRFs and that there would be differences based on the degree of SN involvement.

Methods: The authors reviewed patients who underwent surgical treatment for DRF at our institution and were followed up for over 5 years. The patients were divided into 2 groups based on SN involvement. All patients underwent postoperative plain radiographs at the last follow-up to evaluate posttraumatic OA at the distal radioulnar joint (DRUJ). On computed tomography (CT) scans of the SN involvement group, articular step-off and gap distance were measured. Posttraumatic OA was graded using the Knirk and Jupiter radiographic criteria. For clinical evaluation, grip strength, wrist range of motion, pain visual analog scale score, Disabilities of the Arm, Shoulder, and Hand questionnaires, and Modified Mayo Wrist Score were assessed.

Results: Radiologically, the DRUJ OA grades were significantly higher in the SN involvement group. The step-off and gap distance measured on CT scans revealed no significant correlation with the grades. Clinical outcomes were not significantly different between the 2 groups.

Conclusions: SN involvement did not affect clinical outcomes in DRF patients with a minimum of 5 years of follow-up. However, radiologically, the OA grades were significantly higher in the SN involvement group. Therefore, in cases of DRF with SN involvement, there is no significant difference in clinical outcome, but it is necessary to explain to patients that posttraumatic DRUJ arthritis may occur in the future.

求助全文
通过发布文献求助,成功后即可免费获取论文全文。 去求助
来源期刊
CiteScore
3.50
自引率
4.00%
发文量
85
审稿时长
36 weeks
×
引用
GB/T 7714-2015
复制
MLA
复制
APA
复制
导出至
BibTeX EndNote RefMan NoteFirst NoteExpress
×
提示
您的信息不完整,为了账户安全,请先补充。
现在去补充
×
提示
您因"违规操作"
具体请查看互助需知
我知道了
×
提示
确定
请完成安全验证×
copy
已复制链接
快去分享给好友吧!
我知道了
右上角分享
点击右上角分享
0
联系我们:info@booksci.cn Book学术提供免费学术资源搜索服务,方便国内外学者检索中英文文献。致力于提供最便捷和优质的服务体验。 Copyright © 2023 布克学术 All rights reserved.
京ICP备2023020795号-1
ghs 京公网安备 11010802042870号
Book学术文献互助
Book学术文献互助群
群 号:604180095
Book学术官方微信