关节镜下复位和经皮内固定与切开复位治疗儿童关节内骨骺踝关节骨折的比较。

IF 2 2区 医学 Q2 ORTHOPEDICS
Clinics in Orthopedic Surgery Pub Date : 2025-08-01 Epub Date: 2025-06-27 DOI:10.4055/cios24386
Gyeong Hoon Lim, Jae Won Kim, Sung Hyun Lee
{"title":"关节镜下复位和经皮内固定与切开复位治疗儿童关节内骨骺踝关节骨折的比较。","authors":"Gyeong Hoon Lim, Jae Won Kim, Sung Hyun Lee","doi":"10.4055/cios24386","DOIUrl":null,"url":null,"abstract":"<p><strong>Background: </strong>This study aimed to compare the clinical outcomes of arthroscopic reduction and percutaneous fixation with those of open reduction and internal fixation for intra-articular epiphyseal ankle fractures.</p><p><strong>Methods: </strong>We conducted a retrospective review of consecutive patients who underwent intra-articular epiphyseal ankle surgery between 2016 and 2021. A total of 88 patients were included and divided into 2 groups: the arthroscopic reduction group (AS group) and the conventional open reduction group (OR group). Fifteen patients were allocated to the AS group, and 30 were selected from the OR group using propensity score matching in a 1 : 2 ratio, considering demographics, fracture configuration, and follow-up period. The clinical outcomes were assessed using the Foot and Ankle Outcome Score (FAOS), while radiological evaluations were used to assess bone union and the congruence of the articular surface. We also analyzed complications such as infection, nonunion, angulation, leg length discrepancy, and posttraumatic osteoarthritis.</p><p><strong>Results: </strong>There was a significant difference in follow-up periods between the groups in terms of demographics (<i>p</i> = 0.04); however, successful propensity score matching eliminated any differences in demographic and fracture configuration variables between the groups (all <i>p</i> > 0.05). The etiology of trauma was similar across other variables (<i>p</i> > 0.05). Postoperative FAOS ranged from good to excellent in both groups, with no significant differences between them (all <i>p</i> > 0.05). Both groups achieved bone union without nonunion, with no significant differences in bone union time or joint congruency (all <i>p</i> > 0.05). Although there were more complications in the OR group than in the AS group (3 vs. 0 cases), this difference was not statistically significant (<i>p</i> = 0.083).</p><p><strong>Conclusions: </strong>Arthroscopic reduction and percutaneous fixation appear to be effective, minimally invasive options for the treatment of intra-articular epiphyseal ankle fractures, offering outcomes comparable to open reduction with a low rate of complications.</p>","PeriodicalId":47648,"journal":{"name":"Clinics in Orthopedic Surgery","volume":"17 4","pages":"688-695"},"PeriodicalIF":2.0000,"publicationDate":"2025-08-01","publicationTypes":"Journal Article","fieldsOfStudy":null,"isOpenAccess":false,"openAccessPdf":"https://www.ncbi.nlm.nih.gov/pmc/articles/PMC12328102/pdf/","citationCount":"0","resultStr":"{\"title\":\"Comparison of Arthroscopic Reduction and Percutaneous Fixation Versus Open Reduction for Pediatric Intra-articular Epiphyseal Ankle Fractures.\",\"authors\":\"Gyeong Hoon Lim, Jae Won Kim, Sung Hyun Lee\",\"doi\":\"10.4055/cios24386\",\"DOIUrl\":null,\"url\":null,\"abstract\":\"<p><strong>Background: </strong>This study aimed to compare the clinical outcomes of arthroscopic reduction and percutaneous fixation with those of open reduction and internal fixation for intra-articular epiphyseal ankle fractures.</p><p><strong>Methods: </strong>We conducted a retrospective review of consecutive patients who underwent intra-articular epiphyseal ankle surgery between 2016 and 2021. A total of 88 patients were included and divided into 2 groups: the arthroscopic reduction group (AS group) and the conventional open reduction group (OR group). Fifteen patients were allocated to the AS group, and 30 were selected from the OR group using propensity score matching in a 1 : 2 ratio, considering demographics, fracture configuration, and follow-up period. The clinical outcomes were assessed using the Foot and Ankle Outcome Score (FAOS), while radiological evaluations were used to assess bone union and the congruence of the articular surface. We also analyzed complications such as infection, nonunion, angulation, leg length discrepancy, and posttraumatic osteoarthritis.</p><p><strong>Results: </strong>There was a significant difference in follow-up periods between the groups in terms of demographics (<i>p</i> = 0.04); however, successful propensity score matching eliminated any differences in demographic and fracture configuration variables between the groups (all <i>p</i> > 0.05). The etiology of trauma was similar across other variables (<i>p</i> > 0.05). Postoperative FAOS ranged from good to excellent in both groups, with no significant differences between them (all <i>p</i> > 0.05). Both groups achieved bone union without nonunion, with no significant differences in bone union time or joint congruency (all <i>p</i> > 0.05). Although there were more complications in the OR group than in the AS group (3 vs. 0 cases), this difference was not statistically significant (<i>p</i> = 0.083).</p><p><strong>Conclusions: </strong>Arthroscopic reduction and percutaneous fixation appear to be effective, minimally invasive options for the treatment of intra-articular epiphyseal ankle fractures, offering outcomes comparable to open reduction with a low rate of complications.</p>\",\"PeriodicalId\":47648,\"journal\":{\"name\":\"Clinics in Orthopedic Surgery\",\"volume\":\"17 4\",\"pages\":\"688-695\"},\"PeriodicalIF\":2.0000,\"publicationDate\":\"2025-08-01\",\"publicationTypes\":\"Journal Article\",\"fieldsOfStudy\":null,\"isOpenAccess\":false,\"openAccessPdf\":\"https://www.ncbi.nlm.nih.gov/pmc/articles/PMC12328102/pdf/\",\"citationCount\":\"0\",\"resultStr\":null,\"platform\":\"Semanticscholar\",\"paperid\":null,\"PeriodicalName\":\"Clinics in Orthopedic Surgery\",\"FirstCategoryId\":\"3\",\"ListUrlMain\":\"https://doi.org/10.4055/cios24386\",\"RegionNum\":2,\"RegionCategory\":\"医学\",\"ArticlePicture\":[],\"TitleCN\":null,\"AbstractTextCN\":null,\"PMCID\":null,\"EPubDate\":\"2025/6/27 0:00:00\",\"PubModel\":\"Epub\",\"JCR\":\"Q2\",\"JCRName\":\"ORTHOPEDICS\",\"Score\":null,\"Total\":0}","platform":"Semanticscholar","paperid":null,"PeriodicalName":"Clinics in Orthopedic Surgery","FirstCategoryId":"3","ListUrlMain":"https://doi.org/10.4055/cios24386","RegionNum":2,"RegionCategory":"医学","ArticlePicture":[],"TitleCN":null,"AbstractTextCN":null,"PMCID":null,"EPubDate":"2025/6/27 0:00:00","PubModel":"Epub","JCR":"Q2","JCRName":"ORTHOPEDICS","Score":null,"Total":0}
引用次数: 0

摘要

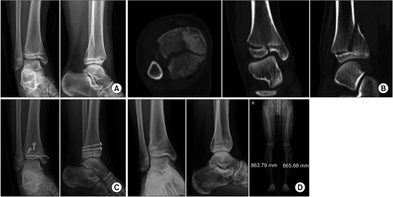
背景:本研究旨在比较关节镜下复位经皮内固定与切开复位内固定治疗踝关节内骺骨折的临床效果。方法:我们对2016年至2021年间连续接受关节内骨骺踝关节手术的患者进行了回顾性研究。共纳入88例患者,分为2组:关节镜复位组(AS组)和常规切开复位组(OR组)。15名患者被分配到AS组,30名患者从OR组中选择,考虑到人口统计学、骨折形态和随访时间,采用2:1的倾向评分匹配。临床结果采用足踝预后评分(FAOS)进行评估,而影像学评估用于评估骨愈合和关节面一致性。我们还分析了并发症,如感染、骨不连、成角、腿长差异和创伤后骨关节炎。结果:组间随访时间统计学差异有统计学意义(p = 0.04);然而,成功的倾向评分匹配消除了组间人口统计学和骨折配置变量的差异(均p < 0.05)。创伤的病因在其他变量上相似(p < 0.05)。两组术后FAOS均为良至优,两组间差异无统计学意义(p < 0.05)。两组均实现骨愈合,无骨不连,骨愈合时间和关节一致性无显著差异(p < 0.05)。虽然OR组并发症发生率高于AS组(3例vs. 0例),但差异无统计学意义(p = 0.083)。结论:关节镜复位和经皮内固定似乎是治疗关节内骨骺骨折的有效、微创选择,其结果与切开复位相当,并发症发生率低。
本文章由计算机程序翻译,如有差异,请以英文原文为准。

Comparison of Arthroscopic Reduction and Percutaneous Fixation Versus Open Reduction for Pediatric Intra-articular Epiphyseal Ankle Fractures.

Comparison of Arthroscopic Reduction and Percutaneous Fixation Versus Open Reduction for Pediatric Intra-articular Epiphyseal Ankle Fractures.

Comparison of Arthroscopic Reduction and Percutaneous Fixation Versus Open Reduction for Pediatric Intra-articular Epiphyseal Ankle Fractures.

Comparison of Arthroscopic Reduction and Percutaneous Fixation Versus Open Reduction for Pediatric Intra-articular Epiphyseal Ankle Fractures.

Background: This study aimed to compare the clinical outcomes of arthroscopic reduction and percutaneous fixation with those of open reduction and internal fixation for intra-articular epiphyseal ankle fractures.

Methods: We conducted a retrospective review of consecutive patients who underwent intra-articular epiphyseal ankle surgery between 2016 and 2021. A total of 88 patients were included and divided into 2 groups: the arthroscopic reduction group (AS group) and the conventional open reduction group (OR group). Fifteen patients were allocated to the AS group, and 30 were selected from the OR group using propensity score matching in a 1 : 2 ratio, considering demographics, fracture configuration, and follow-up period. The clinical outcomes were assessed using the Foot and Ankle Outcome Score (FAOS), while radiological evaluations were used to assess bone union and the congruence of the articular surface. We also analyzed complications such as infection, nonunion, angulation, leg length discrepancy, and posttraumatic osteoarthritis.

Results: There was a significant difference in follow-up periods between the groups in terms of demographics (p = 0.04); however, successful propensity score matching eliminated any differences in demographic and fracture configuration variables between the groups (all p > 0.05). The etiology of trauma was similar across other variables (p > 0.05). Postoperative FAOS ranged from good to excellent in both groups, with no significant differences between them (all p > 0.05). Both groups achieved bone union without nonunion, with no significant differences in bone union time or joint congruency (all p > 0.05). Although there were more complications in the OR group than in the AS group (3 vs. 0 cases), this difference was not statistically significant (p = 0.083).

Conclusions: Arthroscopic reduction and percutaneous fixation appear to be effective, minimally invasive options for the treatment of intra-articular epiphyseal ankle fractures, offering outcomes comparable to open reduction with a low rate of complications.

求助全文
通过发布文献求助,成功后即可免费获取论文全文。 去求助
来源期刊
CiteScore
3.50
自引率
4.00%
发文量
85
审稿时长
36 weeks
×
引用
GB/T 7714-2015
复制
MLA
复制
APA
复制
导出至
BibTeX EndNote RefMan NoteFirst NoteExpress
×
提示
您的信息不完整,为了账户安全,请先补充。
现在去补充
×
提示
您因"违规操作"
具体请查看互助需知
我知道了
×
提示
确定
请完成安全验证×
copy
已复制链接
快去分享给好友吧!
我知道了
右上角分享
点击右上角分享
0
联系我们:info@booksci.cn Book学术提供免费学术资源搜索服务,方便国内外学者检索中英文文献。致力于提供最便捷和优质的服务体验。 Copyright © 2023 布克学术 All rights reserved.
京ICP备2023020795号-1
ghs 京公网安备 11010802042870号
Book学术文献互助
Book学术文献互助群
群 号:604180095
Book学术官方微信