前列腺癌患者与阿帕替尼相关的肠系膜动脉夹层动脉瘤一例报告及文献复习。

IF 2.7 Q2 UROLOGY & NEPHROLOGY
Research and Reports in Urology Pub Date : 2025-08-06 eCollection Date: 2025-01-01 DOI:10.2147/RRU.S523768
Tiejun Ren, Jinjin Gu, Dingyi Wang, Lijuan Zhao
{"title":"前列腺癌患者与阿帕替尼相关的肠系膜动脉夹层动脉瘤一例报告及文献复习。","authors":"Tiejun Ren, Jinjin Gu, Dingyi Wang, Lijuan Zhao","doi":"10.2147/RRU.S523768","DOIUrl":null,"url":null,"abstract":"<p><strong>Background: </strong>Apatinib mesylate, a VEGFR2 tyrosine kinase inhibitor, is approved for advanced liver, esophageal, gastric and other malignant tumors, but its adverse effects require attention. We report a 79-year-old male with prostatic adenocarcinoma who developed superior mesenteric artery dissecting aneurysm after combined apatinib and chemotherapy. Apatinib, an anti-angiogenic agent, synergizes with chemotherapy. After informed consent, the combination regimen was initiated. Two cycles later, the patient had tolerable intermittent abdominal pain, and CT confirmed the aneurysm. Due to progressive tumor and poor physical status, no further treatment was given as the aneurysm did not affect the disease course. This case report aims to provide insights into the safe application of apatinib in clinical practice.</p><p><strong>Materials and methods: </strong>The materials for the literature review were gathered through a comprehensive search conducted on PubMed. Which yielded VEGFR2 treated for prostate cancer.</p><p><strong>Case report: </strong>In this case report, a 79-year-old male with a height of 172 cms and a weight of 67 kgs who had been diagnosed with prostate adenocarcinoma for over three years. MRI scan indicated that bone metastases increased and enlarged compared with prior test. No significant abnormalities were observed in both physical and blood examinations. The pelvic MRI scan showed a prostatectomy changes, multiple abnormal signals in the bilateral ilium, acetabulum, femur, ischiatic bone, pubis, sacral vertebrae, and part of the lumbar vertebrae.</p><p><strong>Conclusion: </strong>Antiangiogenic agents are being increasingly utilized in clinical practice. As clinicians, it is imperative to remain vigilant against potential complications such as arterial dissection and aneurysm, while conducting meticulous evaluations of associated risks. Notably, this article serves solely as a reference and does not advocate for the adjustment of treatment protocols on this basis.</p>","PeriodicalId":21008,"journal":{"name":"Research and Reports in Urology","volume":"17 ","pages":"263-270"},"PeriodicalIF":2.7000,"publicationDate":"2025-08-06","publicationTypes":"Journal Article","fieldsOfStudy":null,"isOpenAccess":false,"openAccessPdf":"https://www.ncbi.nlm.nih.gov/pmc/articles/PMC12335841/pdf/","citationCount":"0","resultStr":"{\"title\":\"Mesenteric Artery Dissection Aneurysm Associated with Apatinib in a Prostate Cancer Patient: A Case Report and Literature Review.\",\"authors\":\"Tiejun Ren, Jinjin Gu, Dingyi Wang, Lijuan Zhao\",\"doi\":\"10.2147/RRU.S523768\",\"DOIUrl\":null,\"url\":null,\"abstract\":\"<p><strong>Background: </strong>Apatinib mesylate, a VEGFR2 tyrosine kinase inhibitor, is approved for advanced liver, esophageal, gastric and other malignant tumors, but its adverse effects require attention. We report a 79-year-old male with prostatic adenocarcinoma who developed superior mesenteric artery dissecting aneurysm after combined apatinib and chemotherapy. Apatinib, an anti-angiogenic agent, synergizes with chemotherapy. After informed consent, the combination regimen was initiated. Two cycles later, the patient had tolerable intermittent abdominal pain, and CT confirmed the aneurysm. Due to progressive tumor and poor physical status, no further treatment was given as the aneurysm did not affect the disease course. This case report aims to provide insights into the safe application of apatinib in clinical practice.</p><p><strong>Materials and methods: </strong>The materials for the literature review were gathered through a comprehensive search conducted on PubMed. Which yielded VEGFR2 treated for prostate cancer.</p><p><strong>Case report: </strong>In this case report, a 79-year-old male with a height of 172 cms and a weight of 67 kgs who had been diagnosed with prostate adenocarcinoma for over three years. MRI scan indicated that bone metastases increased and enlarged compared with prior test. No significant abnormalities were observed in both physical and blood examinations. The pelvic MRI scan showed a prostatectomy changes, multiple abnormal signals in the bilateral ilium, acetabulum, femur, ischiatic bone, pubis, sacral vertebrae, and part of the lumbar vertebrae.</p><p><strong>Conclusion: </strong>Antiangiogenic agents are being increasingly utilized in clinical practice. As clinicians, it is imperative to remain vigilant against potential complications such as arterial dissection and aneurysm, while conducting meticulous evaluations of associated risks. Notably, this article serves solely as a reference and does not advocate for the adjustment of treatment protocols on this basis.</p>\",\"PeriodicalId\":21008,\"journal\":{\"name\":\"Research and Reports in Urology\",\"volume\":\"17 \",\"pages\":\"263-270\"},\"PeriodicalIF\":2.7000,\"publicationDate\":\"2025-08-06\",\"publicationTypes\":\"Journal Article\",\"fieldsOfStudy\":null,\"isOpenAccess\":false,\"openAccessPdf\":\"https://www.ncbi.nlm.nih.gov/pmc/articles/PMC12335841/pdf/\",\"citationCount\":\"0\",\"resultStr\":null,\"platform\":\"Semanticscholar\",\"paperid\":null,\"PeriodicalName\":\"Research and Reports in Urology\",\"FirstCategoryId\":\"1085\",\"ListUrlMain\":\"https://doi.org/10.2147/RRU.S523768\",\"RegionNum\":0,\"RegionCategory\":null,\"ArticlePicture\":[],\"TitleCN\":null,\"AbstractTextCN\":null,\"PMCID\":null,\"EPubDate\":\"2025/1/1 0:00:00\",\"PubModel\":\"eCollection\",\"JCR\":\"Q2\",\"JCRName\":\"UROLOGY & NEPHROLOGY\",\"Score\":null,\"Total\":0}","platform":"Semanticscholar","paperid":null,"PeriodicalName":"Research and Reports in Urology","FirstCategoryId":"1085","ListUrlMain":"https://doi.org/10.2147/RRU.S523768","RegionNum":0,"RegionCategory":null,"ArticlePicture":[],"TitleCN":null,"AbstractTextCN":null,"PMCID":null,"EPubDate":"2025/1/1 0:00:00","PubModel":"eCollection","JCR":"Q2","JCRName":"UROLOGY & NEPHROLOGY","Score":null,"Total":0}
引用次数: 0

摘要

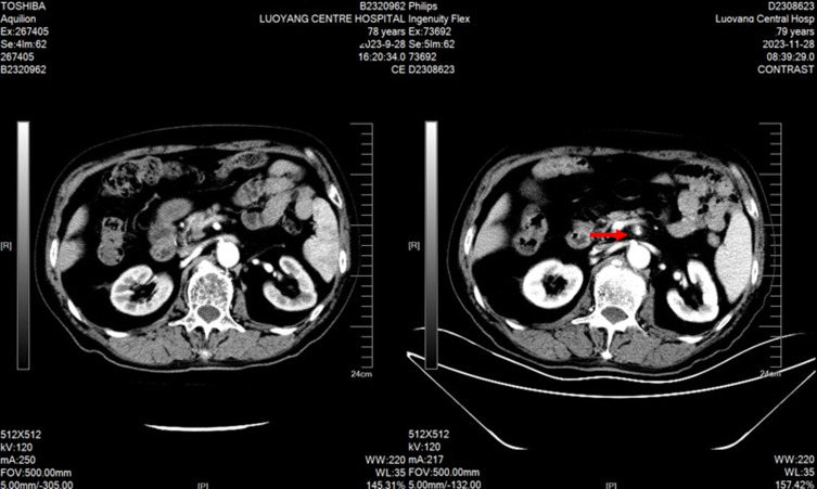
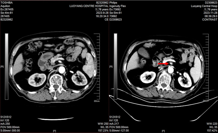
背景:甲磺酸阿帕替尼(Apatinib mesylate)是一种VEGFR2酪氨酸激酶抑制剂,已被批准用于晚期肝、食管、胃等恶性肿瘤,但其不良反应需要引起注意。我们报告一位79岁男性前列腺癌患者在联合阿帕替尼和化疗后发生肠系膜上动脉夹层动脉瘤。阿帕替尼,一种抗血管生成药物,与化疗协同作用。知情同意后,开始联合治疗方案。两个周期后,患者出现可忍受的间歇性腹痛,CT证实为动脉瘤。由于肿瘤进展和身体状况不佳,动脉瘤不影响病程,未给予进一步治疗。本病例报告旨在为临床实践中阿帕替尼的安全应用提供见解。材料和方法:文献综述的材料是通过在PubMed上进行综合检索收集的。产生了用于治疗前列腺癌的VEGFR2。病例报告:在这个病例报告中,一个79岁的男性,身高172厘米,体重67公斤,被诊断患有前列腺癌超过三年。MRI扫描显示骨转移灶增加、扩大。体格和血液检查均未见明显异常。骨盆MRI扫描显示前列腺切除术改变,双侧髂骨、髋臼、股骨、坐骨、耻骨、骶骨和部分腰椎多发异常信号。结论:抗血管生成药物在临床中的应用越来越广泛。作为临床医生,必须对动脉夹层和动脉瘤等潜在并发症保持警惕,同时对相关风险进行细致的评估。值得注意的是,本文仅作为参考,并不主张在此基础上调整治疗方案。
本文章由计算机程序翻译,如有差异,请以英文原文为准。

Mesenteric Artery Dissection Aneurysm Associated with Apatinib in a Prostate Cancer Patient: A Case Report and Literature Review.

Mesenteric Artery Dissection Aneurysm Associated with Apatinib in a Prostate Cancer Patient: A Case Report and Literature Review.

Mesenteric Artery Dissection Aneurysm Associated with Apatinib in a Prostate Cancer Patient: A Case Report and Literature Review.

Mesenteric Artery Dissection Aneurysm Associated with Apatinib in a Prostate Cancer Patient: A Case Report and Literature Review.

Background: Apatinib mesylate, a VEGFR2 tyrosine kinase inhibitor, is approved for advanced liver, esophageal, gastric and other malignant tumors, but its adverse effects require attention. We report a 79-year-old male with prostatic adenocarcinoma who developed superior mesenteric artery dissecting aneurysm after combined apatinib and chemotherapy. Apatinib, an anti-angiogenic agent, synergizes with chemotherapy. After informed consent, the combination regimen was initiated. Two cycles later, the patient had tolerable intermittent abdominal pain, and CT confirmed the aneurysm. Due to progressive tumor and poor physical status, no further treatment was given as the aneurysm did not affect the disease course. This case report aims to provide insights into the safe application of apatinib in clinical practice.

Materials and methods: The materials for the literature review were gathered through a comprehensive search conducted on PubMed. Which yielded VEGFR2 treated for prostate cancer.

Case report: In this case report, a 79-year-old male with a height of 172 cms and a weight of 67 kgs who had been diagnosed with prostate adenocarcinoma for over three years. MRI scan indicated that bone metastases increased and enlarged compared with prior test. No significant abnormalities were observed in both physical and blood examinations. The pelvic MRI scan showed a prostatectomy changes, multiple abnormal signals in the bilateral ilium, acetabulum, femur, ischiatic bone, pubis, sacral vertebrae, and part of the lumbar vertebrae.

Conclusion: Antiangiogenic agents are being increasingly utilized in clinical practice. As clinicians, it is imperative to remain vigilant against potential complications such as arterial dissection and aneurysm, while conducting meticulous evaluations of associated risks. Notably, this article serves solely as a reference and does not advocate for the adjustment of treatment protocols on this basis.

求助全文
通过发布文献求助,成功后即可免费获取论文全文。 去求助
来源期刊
Research and Reports in Urology
Research and Reports in Urology UROLOGY & NEPHROLOGY-
CiteScore
3.40
自引率
0.00%
发文量
60
审稿时长
16 weeks
期刊介绍: Research and Reports in Urology is an international, peer-reviewed, open access, online journal. Publishing original research, reports, editorials, reviews and commentaries on all aspects of adult and pediatric urology in the clinic and laboratory including the following topics: Pathology, pathophysiology of urological disease Investigation and treatment of urological disease Pharmacology of drugs used for the treatment of urological disease Although the main focus of the journal is to publish research and clinical results in humans; preclinical, animal and in vitro studies will be published where they will shed light on disease processes and potential new therapies. Issues of patient safety and quality of care will also be considered.
×
引用
GB/T 7714-2015
复制
MLA
复制
APA
复制
导出至
BibTeX EndNote RefMan NoteFirst NoteExpress
×
提示
您的信息不完整,为了账户安全,请先补充。
现在去补充
×
提示
您因"违规操作"
具体请查看互助需知
我知道了
×
提示
确定
请完成安全验证×
copy
已复制链接
快去分享给好友吧!
我知道了
右上角分享
点击右上角分享
0
联系我们:info@booksci.cn Book学术提供免费学术资源搜索服务,方便国内外学者检索中英文文献。致力于提供最便捷和优质的服务体验。 Copyright © 2023 布克学术 All rights reserved.
京ICP备2023020795号-1
ghs 京公网安备 11010802042870号
Book学术文献互助
Book学术文献互助群
群 号:604180095
Book学术官方微信