多形腺癌:文献回顾和一个不常见解剖区域的病例介绍。

Q2 Medicine
Medicine and Pharmacy Reports Pub Date : 2025-07-01 Epub Date: 2025-07-30 DOI:10.15386/mpr-2882
Bogdan Andrei Bumbu, Mădălina Anca Moldovan, Iuliu George Moldovan, Alexandru Iosif Precup, Raluca Ortensia Iurcov
{"title":"多形腺癌:文献回顾和一个不常见解剖区域的病例介绍。","authors":"Bogdan Andrei Bumbu, Mădălina Anca Moldovan, Iuliu George Moldovan, Alexandru Iosif Precup, Raluca Ortensia Iurcov","doi":"10.15386/mpr-2882","DOIUrl":null,"url":null,"abstract":"<p><strong>Background: </strong>Polymorphous adenocarcinoma (PAC) is a type of salivary gland tumor that is rare and diverse in morphology. It is typically found in the minor salivary glands, with the palate being the most common location. However, this tumor is often misunderstood, underdiagnosed, and controversial in nomenclature. Its low-grade behavior may be unpredictable, making it challenging to manage.</p><p><strong>Case report: </strong>In this paper, we detail a case of PAC that developed in the buccal mucosa, which is a less common anatomical location. We discuss the patient's clinical presentation, imaging findings, histological examination results, as well as the surgical treatment and follow-up outcomes. We also examine relevant literature related to the topic to provide a comprehensive understanding of this rare case.</p><p><strong>Conclusions: </strong>Although complete surgical excision is the primary management for PAC, there is no gold standard treatment for it. It is crucial to follow up on patients with PAC in the long term, as recurrences, lymph nodes, and distant metastasis, even rare, may impair the prognosis in certain patients.</p>","PeriodicalId":18438,"journal":{"name":"Medicine and Pharmacy Reports","volume":"98 3","pages":"403-408"},"PeriodicalIF":0.0000,"publicationDate":"2025-07-01","publicationTypes":"Journal Article","fieldsOfStudy":null,"isOpenAccess":false,"openAccessPdf":"https://www.ncbi.nlm.nih.gov/pmc/articles/PMC12334239/pdf/","citationCount":"0","resultStr":"{\"title\":\"Polymorphous adenocarcinoma: a review of the literature and presentation of a case in an uncommon anatomical area.\",\"authors\":\"Bogdan Andrei Bumbu, Mădălina Anca Moldovan, Iuliu George Moldovan, Alexandru Iosif Precup, Raluca Ortensia Iurcov\",\"doi\":\"10.15386/mpr-2882\",\"DOIUrl\":null,\"url\":null,\"abstract\":\"<p><strong>Background: </strong>Polymorphous adenocarcinoma (PAC) is a type of salivary gland tumor that is rare and diverse in morphology. It is typically found in the minor salivary glands, with the palate being the most common location. However, this tumor is often misunderstood, underdiagnosed, and controversial in nomenclature. Its low-grade behavior may be unpredictable, making it challenging to manage.</p><p><strong>Case report: </strong>In this paper, we detail a case of PAC that developed in the buccal mucosa, which is a less common anatomical location. We discuss the patient's clinical presentation, imaging findings, histological examination results, as well as the surgical treatment and follow-up outcomes. We also examine relevant literature related to the topic to provide a comprehensive understanding of this rare case.</p><p><strong>Conclusions: </strong>Although complete surgical excision is the primary management for PAC, there is no gold standard treatment for it. It is crucial to follow up on patients with PAC in the long term, as recurrences, lymph nodes, and distant metastasis, even rare, may impair the prognosis in certain patients.</p>\",\"PeriodicalId\":18438,\"journal\":{\"name\":\"Medicine and Pharmacy Reports\",\"volume\":\"98 3\",\"pages\":\"403-408\"},\"PeriodicalIF\":0.0000,\"publicationDate\":\"2025-07-01\",\"publicationTypes\":\"Journal Article\",\"fieldsOfStudy\":null,\"isOpenAccess\":false,\"openAccessPdf\":\"https://www.ncbi.nlm.nih.gov/pmc/articles/PMC12334239/pdf/\",\"citationCount\":\"0\",\"resultStr\":null,\"platform\":\"Semanticscholar\",\"paperid\":null,\"PeriodicalName\":\"Medicine and Pharmacy Reports\",\"FirstCategoryId\":\"1085\",\"ListUrlMain\":\"https://doi.org/10.15386/mpr-2882\",\"RegionNum\":0,\"RegionCategory\":null,\"ArticlePicture\":[],\"TitleCN\":null,\"AbstractTextCN\":null,\"PMCID\":null,\"EPubDate\":\"2025/7/30 0:00:00\",\"PubModel\":\"Epub\",\"JCR\":\"Q2\",\"JCRName\":\"Medicine\",\"Score\":null,\"Total\":0}","platform":"Semanticscholar","paperid":null,"PeriodicalName":"Medicine and Pharmacy Reports","FirstCategoryId":"1085","ListUrlMain":"https://doi.org/10.15386/mpr-2882","RegionNum":0,"RegionCategory":null,"ArticlePicture":[],"TitleCN":null,"AbstractTextCN":null,"PMCID":null,"EPubDate":"2025/7/30 0:00:00","PubModel":"Epub","JCR":"Q2","JCRName":"Medicine","Score":null,"Total":0}
引用次数: 0

摘要

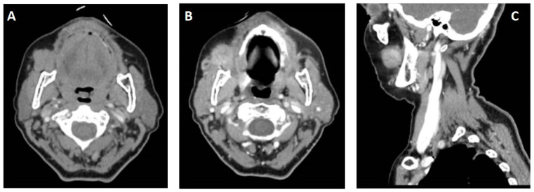
背景:多形态腺癌(PAC)是一种罕见且形态多样的唾液腺肿瘤。它通常在小唾液腺中发现,上颚是最常见的位置。然而,这种肿瘤经常被误解,诊断不足,并在命名上有争议。它的低级行为可能是不可预测的,使其难以管理。病例报告:在本文中,我们详细介绍了一个在口腔黏膜发展的PAC病例,这是一个不太常见的解剖位置。我们讨论患者的临床表现,影像学表现,组织学检查结果,以及手术治疗和随访结果。我们也检视相关的文献,以提供对这个罕见病例的全面了解。结论:虽然完全手术切除是PAC的主要治疗方法,但目前尚无金标准治疗方法。对PAC患者进行长期随访至关重要,因为复发,淋巴结和远处转移,即使罕见,也可能损害某些患者的预后。
本文章由计算机程序翻译,如有差异,请以英文原文为准。

Polymorphous adenocarcinoma: a review of the literature and presentation of a case in an uncommon anatomical area.

Polymorphous adenocarcinoma: a review of the literature and presentation of a case in an uncommon anatomical area.

Polymorphous adenocarcinoma: a review of the literature and presentation of a case in an uncommon anatomical area.

Polymorphous adenocarcinoma: a review of the literature and presentation of a case in an uncommon anatomical area.

Background: Polymorphous adenocarcinoma (PAC) is a type of salivary gland tumor that is rare and diverse in morphology. It is typically found in the minor salivary glands, with the palate being the most common location. However, this tumor is often misunderstood, underdiagnosed, and controversial in nomenclature. Its low-grade behavior may be unpredictable, making it challenging to manage.

Case report: In this paper, we detail a case of PAC that developed in the buccal mucosa, which is a less common anatomical location. We discuss the patient's clinical presentation, imaging findings, histological examination results, as well as the surgical treatment and follow-up outcomes. We also examine relevant literature related to the topic to provide a comprehensive understanding of this rare case.

Conclusions: Although complete surgical excision is the primary management for PAC, there is no gold standard treatment for it. It is crucial to follow up on patients with PAC in the long term, as recurrences, lymph nodes, and distant metastasis, even rare, may impair the prognosis in certain patients.

求助全文
通过发布文献求助,成功后即可免费获取论文全文。 去求助
来源期刊
Medicine and Pharmacy Reports
Medicine and Pharmacy Reports Medicine-Medicine (all)
CiteScore
3.10
自引率
0.00%
发文量
63
×
引用
GB/T 7714-2015
复制
MLA
复制
APA
复制
导出至
BibTeX EndNote RefMan NoteFirst NoteExpress
×
提示
您的信息不完整,为了账户安全,请先补充。
现在去补充
×
提示
您因"违规操作"
具体请查看互助需知
我知道了
×
提示
确定
请完成安全验证×
copy
已复制链接
快去分享给好友吧!
我知道了
右上角分享
点击右上角分享
0
联系我们:info@booksci.cn Book学术提供免费学术资源搜索服务,方便国内外学者检索中英文文献。致力于提供最便捷和优质的服务体验。 Copyright © 2023 布克学术 All rights reserved.
京ICP备2023020795号-1
ghs 京公网安备 11010802042870号
Book学术文献互助
Book学术文献互助群
群 号:604180095
Book学术官方微信