宫腔镜下子宫肌瘤切除术治疗HIFU联合米非司酮治疗2型粘膜下肌瘤1例报告并文献复习。

IF 2.6 4区 医学 Q2 OBSTETRICS & GYNECOLOGY
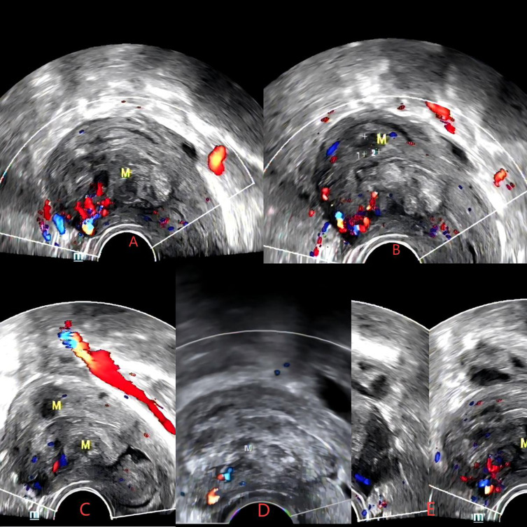
International Journal of Women's Health Pub Date : 2025-08-04 eCollection Date: 2025-01-01 DOI:10.2147/IJWH.S530879
Junjie Li, Leilei Yang, Yan Wang, Min He, Hongqiu Zhu, Yefang Huang
{"title":"宫腔镜下子宫肌瘤切除术治疗HIFU联合米非司酮治疗2型粘膜下肌瘤1例报告并文献复习。","authors":"Junjie Li, Leilei Yang, Yan Wang, Min He, Hongqiu Zhu, Yefang Huang","doi":"10.2147/IJWH.S530879","DOIUrl":null,"url":null,"abstract":"<p><p>Hysteroscopic myomectomy is the first-line treatment for the removal of submucosal myoma in women facing fertility requirements. However, in the face of large diameter type 2 submucosal myoma, patients are at greater risk of complications such as uterine perforation and fluid overload during hysteroscopy. When the diameter of type 2 submucous myoma is greater than 4cm, the three-phase treatment of high intensity focused ultrasound (HIFU), drugs and hysteroscopy is effective and safe. We shared a case of a 30-year-old non-pregnant woman, who had a history of uterine submucous myoma for more than 4 years with symptoms of heavy menstruation, prolonged menstruation and secondary severe anemia. The patient's initial pelvic magnetic resonance results suggested a type 2 uterine submucous myoma with a diameter of more than 4cm. We first performed HIFU on the patient, followed by the patient's oral intake of mifepristone tablets for 3 months, and prior to hysteroscopic surgery, the patient's fibroid type was shifted to type 0, and finally successfully completed hysteroscopic myomectomy (HM). Finally, we conclude that when the diameter of type 2 submucosal myoma exceeds 4 cm, preoperative application of HIFU combined with drug treatment should be considered to maximize the reduction of fibroids, improve symptoms such as anemia and dysmenorrhea, reduce the time required for hysteroscopic surgery, and improve the safety of surgery.</p>","PeriodicalId":14356,"journal":{"name":"International Journal of Women's Health","volume":"17 ","pages":"2401-2412"},"PeriodicalIF":2.6000,"publicationDate":"2025-08-04","publicationTypes":"Journal Article","fieldsOfStudy":null,"isOpenAccess":false,"openAccessPdf":"https://www.ncbi.nlm.nih.gov/pmc/articles/PMC12333630/pdf/","citationCount":"0","resultStr":"{\"title\":\"Hysteroscopic Myomectomy for Type 2 Submucosal Myoma Pretreated by HIFU and Mifepristone Treatment: A Case Report and Literature Review.\",\"authors\":\"Junjie Li, Leilei Yang, Yan Wang, Min He, Hongqiu Zhu, Yefang Huang\",\"doi\":\"10.2147/IJWH.S530879\",\"DOIUrl\":null,\"url\":null,\"abstract\":\"<p><p>Hysteroscopic myomectomy is the first-line treatment for the removal of submucosal myoma in women facing fertility requirements. However, in the face of large diameter type 2 submucosal myoma, patients are at greater risk of complications such as uterine perforation and fluid overload during hysteroscopy. When the diameter of type 2 submucous myoma is greater than 4cm, the three-phase treatment of high intensity focused ultrasound (HIFU), drugs and hysteroscopy is effective and safe. We shared a case of a 30-year-old non-pregnant woman, who had a history of uterine submucous myoma for more than 4 years with symptoms of heavy menstruation, prolonged menstruation and secondary severe anemia. The patient's initial pelvic magnetic resonance results suggested a type 2 uterine submucous myoma with a diameter of more than 4cm. We first performed HIFU on the patient, followed by the patient's oral intake of mifepristone tablets for 3 months, and prior to hysteroscopic surgery, the patient's fibroid type was shifted to type 0, and finally successfully completed hysteroscopic myomectomy (HM). Finally, we conclude that when the diameter of type 2 submucosal myoma exceeds 4 cm, preoperative application of HIFU combined with drug treatment should be considered to maximize the reduction of fibroids, improve symptoms such as anemia and dysmenorrhea, reduce the time required for hysteroscopic surgery, and improve the safety of surgery.</p>\",\"PeriodicalId\":14356,\"journal\":{\"name\":\"International Journal of Women's Health\",\"volume\":\"17 \",\"pages\":\"2401-2412\"},\"PeriodicalIF\":2.6000,\"publicationDate\":\"2025-08-04\",\"publicationTypes\":\"Journal Article\",\"fieldsOfStudy\":null,\"isOpenAccess\":false,\"openAccessPdf\":\"https://www.ncbi.nlm.nih.gov/pmc/articles/PMC12333630/pdf/\",\"citationCount\":\"0\",\"resultStr\":null,\"platform\":\"Semanticscholar\",\"paperid\":null,\"PeriodicalName\":\"International Journal of Women's Health\",\"FirstCategoryId\":\"3\",\"ListUrlMain\":\"https://doi.org/10.2147/IJWH.S530879\",\"RegionNum\":4,\"RegionCategory\":\"医学\",\"ArticlePicture\":[],\"TitleCN\":null,\"AbstractTextCN\":null,\"PMCID\":null,\"EPubDate\":\"2025/1/1 0:00:00\",\"PubModel\":\"eCollection\",\"JCR\":\"Q2\",\"JCRName\":\"OBSTETRICS & GYNECOLOGY\",\"Score\":null,\"Total\":0}","platform":"Semanticscholar","paperid":null,"PeriodicalName":"International Journal of Women's Health","FirstCategoryId":"3","ListUrlMain":"https://doi.org/10.2147/IJWH.S530879","RegionNum":4,"RegionCategory":"医学","ArticlePicture":[],"TitleCN":null,"AbstractTextCN":null,"PMCID":null,"EPubDate":"2025/1/1 0:00:00","PubModel":"eCollection","JCR":"Q2","JCRName":"OBSTETRICS & GYNECOLOGY","Score":null,"Total":0}
引用次数: 0

摘要

宫腔镜子宫肌瘤切除术是有生育需求的妇女切除粘膜下肌瘤的一线治疗方法。然而,面对大直径的2型粘膜下肌瘤,患者在宫腔镜检查时出现子宫穿孔、液体超载等并发症的风险更大。当2型粘膜下肌瘤直径大于4cm时,采用高强度聚焦超声(HIFU)、药物、宫腔镜三期治疗是有效且安全的。我们报告了一例30岁的未怀孕女性,她有子宫粘膜下肌瘤病史4年多,以月经量大、月经延长和继发严重贫血为主要症状。患者最初的盆腔磁共振结果提示2型子宫黏膜下肌瘤,直径大于4cm。我们首先对患者行HIFU,随后患者口服米非司酮片3个月,在宫腔镜手术前将患者的肌瘤类型转为0型,最终成功完成宫腔镜子宫肌瘤切除术(HM)。最后,我们得出结论,当2型粘膜下肌瘤直径超过4cm时,术前应考虑应用HIFU联合药物治疗,以最大限度地缩小肌瘤,改善贫血、痛经等症状,减少宫腔镜手术所需时间,提高手术安全性。
本文章由计算机程序翻译,如有差异,请以英文原文为准。

Hysteroscopic Myomectomy for Type 2 Submucosal Myoma Pretreated by HIFU and Mifepristone Treatment: A Case Report and Literature Review.

Hysteroscopic Myomectomy for Type 2 Submucosal Myoma Pretreated by HIFU and Mifepristone Treatment: A Case Report and Literature Review.

Hysteroscopic Myomectomy for Type 2 Submucosal Myoma Pretreated by HIFU and Mifepristone Treatment: A Case Report and Literature Review.

Hysteroscopic Myomectomy for Type 2 Submucosal Myoma Pretreated by HIFU and Mifepristone Treatment: A Case Report and Literature Review.

Hysteroscopic myomectomy is the first-line treatment for the removal of submucosal myoma in women facing fertility requirements. However, in the face of large diameter type 2 submucosal myoma, patients are at greater risk of complications such as uterine perforation and fluid overload during hysteroscopy. When the diameter of type 2 submucous myoma is greater than 4cm, the three-phase treatment of high intensity focused ultrasound (HIFU), drugs and hysteroscopy is effective and safe. We shared a case of a 30-year-old non-pregnant woman, who had a history of uterine submucous myoma for more than 4 years with symptoms of heavy menstruation, prolonged menstruation and secondary severe anemia. The patient's initial pelvic magnetic resonance results suggested a type 2 uterine submucous myoma with a diameter of more than 4cm. We first performed HIFU on the patient, followed by the patient's oral intake of mifepristone tablets for 3 months, and prior to hysteroscopic surgery, the patient's fibroid type was shifted to type 0, and finally successfully completed hysteroscopic myomectomy (HM). Finally, we conclude that when the diameter of type 2 submucosal myoma exceeds 4 cm, preoperative application of HIFU combined with drug treatment should be considered to maximize the reduction of fibroids, improve symptoms such as anemia and dysmenorrhea, reduce the time required for hysteroscopic surgery, and improve the safety of surgery.

求助全文
通过发布文献求助,成功后即可免费获取论文全文。 去求助
来源期刊
International Journal of Women's Health
International Journal of Women's Health OBSTETRICS & GYNECOLOGY-
CiteScore
3.70
自引率
0.00%
发文量
194
审稿时长
16 weeks
期刊介绍: International Journal of Women''s Health is an international, peer-reviewed, open access, online journal. Publishing original research, reports, editorials, reviews and commentaries on all aspects of women''s healthcare including gynecology, obstetrics, and breast cancer. Subject areas include: Chronic conditions including cancers of various organs specific and not specific to women Migraine, headaches, arthritis, osteoporosis Endocrine and autoimmune syndromes - asthma, multiple sclerosis, lupus, diabetes Sexual and reproductive health including fertility patterns and emerging technologies to address infertility Infectious disease with chronic sequelae including HIV/AIDS, HPV, PID, and other STDs Psychological and psychosocial conditions - depression across the life span, substance abuse, domestic violence Health maintenance among aging females - factors affecting the quality of life including physical, social and mental issues Avenues for health promotion and disease prevention across the life span Male vs female incidence comparisons for conditions that affect both genders.
×
引用
GB/T 7714-2015
复制
MLA
复制
APA
复制
导出至
BibTeX EndNote RefMan NoteFirst NoteExpress
×
提示
您的信息不完整,为了账户安全,请先补充。
现在去补充
×
提示
您因"违规操作"
具体请查看互助需知
我知道了
×
提示
确定
请完成安全验证×
copy
已复制链接
快去分享给好友吧!
我知道了
右上角分享
点击右上角分享
0
联系我们:info@booksci.cn Book学术提供免费学术资源搜索服务,方便国内外学者检索中英文文献。致力于提供最便捷和优质的服务体验。 Copyright © 2023 布克学术 All rights reserved.
京ICP备2023020795号-1
ghs 京公网安备 11010802042870号
Book学术文献互助
Book学术文献互助群
群 号:604180095
Book学术官方微信