误诊为圆韧带痛的妊娠晚期阑尾炎的保守治疗。资源有限环境下的个案报告及文献回顾。

IF 2.6 4区 医学 Q2 OBSTETRICS & GYNECOLOGY
International Journal of Women's Health Pub Date : 2025-08-04 eCollection Date: 2025-01-01 DOI:10.2147/IJWH.S536394
Rayaan Abdirahman Hassan, Ismail A Ali, Abdullahi Hassan Elmi, Abdullahi Abdirahman Omar
{"title":"误诊为圆韧带痛的妊娠晚期阑尾炎的保守治疗。资源有限环境下的个案报告及文献回顾。","authors":"Rayaan Abdirahman Hassan, Ismail A Ali, Abdullahi Hassan Elmi, Abdullahi Abdirahman Omar","doi":"10.2147/IJWH.S536394","DOIUrl":null,"url":null,"abstract":"<p><strong>Introduction: </strong>Identifying acute appendicitis during pregnancy is particularly challenging, especially in the third trimester, as its symptoms may resemble typical gestational discomfort. While surgery remains the standard treatment, conservative treatment is being considered more often, especially when surgical intervention can pose risks to either the mother or the fetus.</p><p><strong>Case presentation: </strong>We report the case of a 30-year-old woman at 33 weeks of gestation who presented with right lower quadrant pain initially misattributed to round ligament strain. Her condition deteriorated over several days with worsening abdominal pain, fever, and leukocytosis. Imaging confirmed an acute uncomplicated appendicitis. After multidisciplinary evaluation and counseling, the patient declined surgery due to concerns over fetal safety. A conservative approach with intravenous antibiotics was initiated, resulting in complete clinical resolution. The patient delivered a healthy infant at term, without complications or recurrence.</p><p><strong>Conclusion: </strong>This case demonstrates that conservative management of appendicitis during the third trimester can be a safe and effective alternative for highly selected patients. This underscores the importance of individualized care, shared decision-making, and close clinical monitoring, particularly when standard surgical treatment has declined. As the conversation around non-operative strategies evolves, this case adds meaningful support for expanding tailored management options during pregnancy in resource-limited settings.</p>","PeriodicalId":14356,"journal":{"name":"International Journal of Women's Health","volume":"17 ","pages":"2413-2420"},"PeriodicalIF":2.6000,"publicationDate":"2025-08-04","publicationTypes":"Journal Article","fieldsOfStudy":null,"isOpenAccess":false,"openAccessPdf":"https://www.ncbi.nlm.nih.gov/pmc/articles/PMC12333643/pdf/","citationCount":"0","resultStr":"{\"title\":\"Conservative Treatment of Third Trimester Appendicitis Misdiagnosed as Round Ligament Pain. A Case Report and Review of the Literature in a Resource-Limited Setting.\",\"authors\":\"Rayaan Abdirahman Hassan, Ismail A Ali, Abdullahi Hassan Elmi, Abdullahi Abdirahman Omar\",\"doi\":\"10.2147/IJWH.S536394\",\"DOIUrl\":null,\"url\":null,\"abstract\":\"<p><strong>Introduction: </strong>Identifying acute appendicitis during pregnancy is particularly challenging, especially in the third trimester, as its symptoms may resemble typical gestational discomfort. While surgery remains the standard treatment, conservative treatment is being considered more often, especially when surgical intervention can pose risks to either the mother or the fetus.</p><p><strong>Case presentation: </strong>We report the case of a 30-year-old woman at 33 weeks of gestation who presented with right lower quadrant pain initially misattributed to round ligament strain. Her condition deteriorated over several days with worsening abdominal pain, fever, and leukocytosis. Imaging confirmed an acute uncomplicated appendicitis. After multidisciplinary evaluation and counseling, the patient declined surgery due to concerns over fetal safety. A conservative approach with intravenous antibiotics was initiated, resulting in complete clinical resolution. The patient delivered a healthy infant at term, without complications or recurrence.</p><p><strong>Conclusion: </strong>This case demonstrates that conservative management of appendicitis during the third trimester can be a safe and effective alternative for highly selected patients. This underscores the importance of individualized care, shared decision-making, and close clinical monitoring, particularly when standard surgical treatment has declined. As the conversation around non-operative strategies evolves, this case adds meaningful support for expanding tailored management options during pregnancy in resource-limited settings.</p>\",\"PeriodicalId\":14356,\"journal\":{\"name\":\"International Journal of Women's Health\",\"volume\":\"17 \",\"pages\":\"2413-2420\"},\"PeriodicalIF\":2.6000,\"publicationDate\":\"2025-08-04\",\"publicationTypes\":\"Journal Article\",\"fieldsOfStudy\":null,\"isOpenAccess\":false,\"openAccessPdf\":\"https://www.ncbi.nlm.nih.gov/pmc/articles/PMC12333643/pdf/\",\"citationCount\":\"0\",\"resultStr\":null,\"platform\":\"Semanticscholar\",\"paperid\":null,\"PeriodicalName\":\"International Journal of Women's Health\",\"FirstCategoryId\":\"3\",\"ListUrlMain\":\"https://doi.org/10.2147/IJWH.S536394\",\"RegionNum\":4,\"RegionCategory\":\"医学\",\"ArticlePicture\":[],\"TitleCN\":null,\"AbstractTextCN\":null,\"PMCID\":null,\"EPubDate\":\"2025/1/1 0:00:00\",\"PubModel\":\"eCollection\",\"JCR\":\"Q2\",\"JCRName\":\"OBSTETRICS & GYNECOLOGY\",\"Score\":null,\"Total\":0}","platform":"Semanticscholar","paperid":null,"PeriodicalName":"International Journal of Women's Health","FirstCategoryId":"3","ListUrlMain":"https://doi.org/10.2147/IJWH.S536394","RegionNum":4,"RegionCategory":"医学","ArticlePicture":[],"TitleCN":null,"AbstractTextCN":null,"PMCID":null,"EPubDate":"2025/1/1 0:00:00","PubModel":"eCollection","JCR":"Q2","JCRName":"OBSTETRICS & GYNECOLOGY","Score":null,"Total":0}
引用次数: 0

摘要

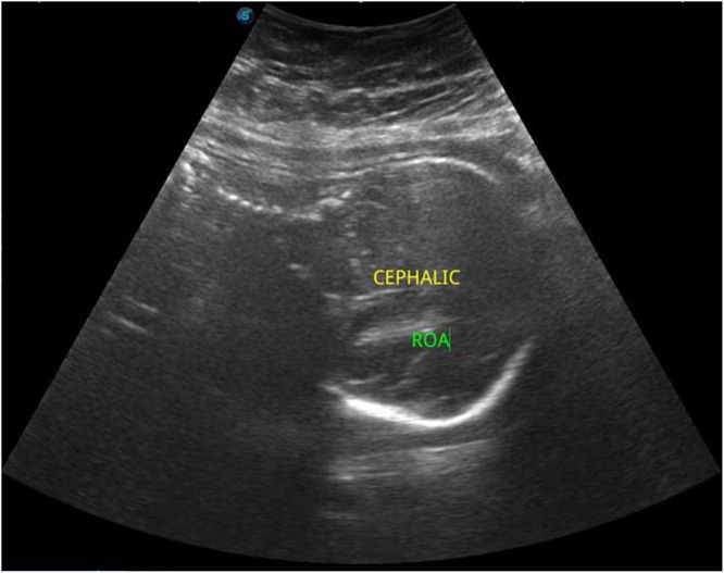
在妊娠期间识别急性阑尾炎尤其具有挑战性,特别是在妊娠晚期,因为其症状可能类似于典型的妊娠不适。虽然手术仍然是标准的治疗方法,但保守治疗更常被考虑,特别是当手术干预可能对母亲或胎儿构成风险时。病例介绍:我们报告一例30岁的妇女在妊娠33周谁提出了右下腹疼痛最初被误认为是圆形韧带劳损。她的病情在几天内恶化,腹痛、发烧和白细胞增多。影像学证实为急性无并发症阑尾炎。在多学科评估和咨询后,由于担心胎儿安全,患者拒绝手术。开始了静脉注射抗生素的保守方法,导致完全的临床解决。患者足月生下健康婴儿,无并发症或复发。结论:本病例表明,在妊娠晚期对阑尾炎进行保守治疗是一种安全有效的选择。这强调了个性化护理、共同决策和密切临床监测的重要性,特别是在标准手术治疗减少的情况下。随着围绕非手术策略的讨论的发展,本病例为在资源有限的情况下扩展量身定制的妊娠管理选择提供了有意义的支持。
本文章由计算机程序翻译,如有差异,请以英文原文为准。

Conservative Treatment of Third Trimester Appendicitis Misdiagnosed as Round Ligament Pain. A Case Report and Review of the Literature in a Resource-Limited Setting.

Conservative Treatment of Third Trimester Appendicitis Misdiagnosed as Round Ligament Pain. A Case Report and Review of the Literature in a Resource-Limited Setting.

Conservative Treatment of Third Trimester Appendicitis Misdiagnosed as Round Ligament Pain. A Case Report and Review of the Literature in a Resource-Limited Setting.

Conservative Treatment of Third Trimester Appendicitis Misdiagnosed as Round Ligament Pain. A Case Report and Review of the Literature in a Resource-Limited Setting.

Introduction: Identifying acute appendicitis during pregnancy is particularly challenging, especially in the third trimester, as its symptoms may resemble typical gestational discomfort. While surgery remains the standard treatment, conservative treatment is being considered more often, especially when surgical intervention can pose risks to either the mother or the fetus.

Case presentation: We report the case of a 30-year-old woman at 33 weeks of gestation who presented with right lower quadrant pain initially misattributed to round ligament strain. Her condition deteriorated over several days with worsening abdominal pain, fever, and leukocytosis. Imaging confirmed an acute uncomplicated appendicitis. After multidisciplinary evaluation and counseling, the patient declined surgery due to concerns over fetal safety. A conservative approach with intravenous antibiotics was initiated, resulting in complete clinical resolution. The patient delivered a healthy infant at term, without complications or recurrence.

Conclusion: This case demonstrates that conservative management of appendicitis during the third trimester can be a safe and effective alternative for highly selected patients. This underscores the importance of individualized care, shared decision-making, and close clinical monitoring, particularly when standard surgical treatment has declined. As the conversation around non-operative strategies evolves, this case adds meaningful support for expanding tailored management options during pregnancy in resource-limited settings.

求助全文
通过发布文献求助,成功后即可免费获取论文全文。 去求助
来源期刊
International Journal of Women's Health
International Journal of Women's Health OBSTETRICS & GYNECOLOGY-
CiteScore
3.70
自引率
0.00%
发文量
194
审稿时长
16 weeks
期刊介绍: International Journal of Women''s Health is an international, peer-reviewed, open access, online journal. Publishing original research, reports, editorials, reviews and commentaries on all aspects of women''s healthcare including gynecology, obstetrics, and breast cancer. Subject areas include: Chronic conditions including cancers of various organs specific and not specific to women Migraine, headaches, arthritis, osteoporosis Endocrine and autoimmune syndromes - asthma, multiple sclerosis, lupus, diabetes Sexual and reproductive health including fertility patterns and emerging technologies to address infertility Infectious disease with chronic sequelae including HIV/AIDS, HPV, PID, and other STDs Psychological and psychosocial conditions - depression across the life span, substance abuse, domestic violence Health maintenance among aging females - factors affecting the quality of life including physical, social and mental issues Avenues for health promotion and disease prevention across the life span Male vs female incidence comparisons for conditions that affect both genders.
×
引用
GB/T 7714-2015
复制
MLA
复制
APA
复制
导出至
BibTeX EndNote RefMan NoteFirst NoteExpress
×
提示
您的信息不完整,为了账户安全,请先补充。
现在去补充
×
提示
您因"违规操作"
具体请查看互助需知
我知道了
×
提示
确定
请完成安全验证×
copy
已复制链接
快去分享给好友吧!
我知道了
右上角分享
点击右上角分享
0
联系我们:info@booksci.cn Book学术提供免费学术资源搜索服务,方便国内外学者检索中英文文献。致力于提供最便捷和优质的服务体验。 Copyright © 2023 布克学术 All rights reserved.
京ICP备2023020795号-1
ghs 京公网安备 11010802042870号
Book学术文献互助
Book学术文献互助群
群 号:604180095
Book学术官方微信