脾切除术治疗原发性Sjögren综合征伴脾肿大2例报告。

IF 0.7 Q3 MEDICINE, GENERAL & INTERNAL
International Medical Case Reports Journal Pub Date : 2025-08-04 eCollection Date: 2025-01-01 DOI:10.2147/IMCRJ.S539313
Fang Gui, Li-Xuan Zhou, Xue-Mei Liu, Yong-Long He, Qi-Bin Yang
{"title":"脾切除术治疗原发性Sjögren综合征伴脾肿大2例报告。","authors":"Fang Gui, Li-Xuan Zhou, Xue-Mei Liu, Yong-Long He, Qi-Bin Yang","doi":"10.2147/IMCRJ.S539313","DOIUrl":null,"url":null,"abstract":"<p><strong>Background: </strong>Primary Sjögren's syndrome (pSS) is an autoimmune disease characterized by exocrine glands involving mainly the lacrimal and salivary glands. Splenomegaly from pSS is a rare clinical feature unless the pSS is complicated by lymphoma. Splenectomy could exclude malignant lymphoma, reduce the risk of spontaneous spleen rupture and remove hypersplenism to improve pancytopenia.</p><p><strong>Case presentation: </strong>We reported the case of a 49-year-old female patient who was diagnosed with pSS according to dry mouth, dry eyes, splenomegaly, multiple positive autoantibodies, positive Schirmer's test and biopsy of labial gland with decreased number of acini and focal lymphocytic infiltration. Due to hematological involvement and liver dysfunction repeatedly, the pSS patient was admitted to the hospital and treated with glucocorticoids, immunosuppressants and hepatoprotective drugs. However, the pancytopenia failed to improve. Considering pancytopenia of the pSS patient caused by massive splenomegaly, splenectomy was recommended to the patient. The hematological involvement was significantly improved after splenectomy. Besides, another 46-year-old woman with a similar clinical manifestation was diagnosed with pSS complicated by massive splenomegaly, however, the patient refused to undergo the splenectomy.</p><p><strong>Conclusion: </strong>Splenectomy may be an effective treatment of pSS complicated by massive splenomegaly resulting in hematological involvement.</p>","PeriodicalId":14337,"journal":{"name":"International Medical Case Reports Journal","volume":"18 ","pages":"963-968"},"PeriodicalIF":0.7000,"publicationDate":"2025-08-04","publicationTypes":"Journal Article","fieldsOfStudy":null,"isOpenAccess":false,"openAccessPdf":"https://www.ncbi.nlm.nih.gov/pmc/articles/PMC12333870/pdf/","citationCount":"0","resultStr":"{\"title\":\"Splenectomy for Primary Sjögren's Syndrome Associated with Massive Splenomegaly: Two Case Reports.\",\"authors\":\"Fang Gui, Li-Xuan Zhou, Xue-Mei Liu, Yong-Long He, Qi-Bin Yang\",\"doi\":\"10.2147/IMCRJ.S539313\",\"DOIUrl\":null,\"url\":null,\"abstract\":\"<p><strong>Background: </strong>Primary Sjögren's syndrome (pSS) is an autoimmune disease characterized by exocrine glands involving mainly the lacrimal and salivary glands. Splenomegaly from pSS is a rare clinical feature unless the pSS is complicated by lymphoma. Splenectomy could exclude malignant lymphoma, reduce the risk of spontaneous spleen rupture and remove hypersplenism to improve pancytopenia.</p><p><strong>Case presentation: </strong>We reported the case of a 49-year-old female patient who was diagnosed with pSS according to dry mouth, dry eyes, splenomegaly, multiple positive autoantibodies, positive Schirmer's test and biopsy of labial gland with decreased number of acini and focal lymphocytic infiltration. Due to hematological involvement and liver dysfunction repeatedly, the pSS patient was admitted to the hospital and treated with glucocorticoids, immunosuppressants and hepatoprotective drugs. However, the pancytopenia failed to improve. Considering pancytopenia of the pSS patient caused by massive splenomegaly, splenectomy was recommended to the patient. The hematological involvement was significantly improved after splenectomy. Besides, another 46-year-old woman with a similar clinical manifestation was diagnosed with pSS complicated by massive splenomegaly, however, the patient refused to undergo the splenectomy.</p><p><strong>Conclusion: </strong>Splenectomy may be an effective treatment of pSS complicated by massive splenomegaly resulting in hematological involvement.</p>\",\"PeriodicalId\":14337,\"journal\":{\"name\":\"International Medical Case Reports Journal\",\"volume\":\"18 \",\"pages\":\"963-968\"},\"PeriodicalIF\":0.7000,\"publicationDate\":\"2025-08-04\",\"publicationTypes\":\"Journal Article\",\"fieldsOfStudy\":null,\"isOpenAccess\":false,\"openAccessPdf\":\"https://www.ncbi.nlm.nih.gov/pmc/articles/PMC12333870/pdf/\",\"citationCount\":\"0\",\"resultStr\":null,\"platform\":\"Semanticscholar\",\"paperid\":null,\"PeriodicalName\":\"International Medical Case Reports Journal\",\"FirstCategoryId\":\"1085\",\"ListUrlMain\":\"https://doi.org/10.2147/IMCRJ.S539313\",\"RegionNum\":0,\"RegionCategory\":null,\"ArticlePicture\":[],\"TitleCN\":null,\"AbstractTextCN\":null,\"PMCID\":null,\"EPubDate\":\"2025/1/1 0:00:00\",\"PubModel\":\"eCollection\",\"JCR\":\"Q3\",\"JCRName\":\"MEDICINE, GENERAL & INTERNAL\",\"Score\":null,\"Total\":0}","platform":"Semanticscholar","paperid":null,"PeriodicalName":"International Medical Case Reports Journal","FirstCategoryId":"1085","ListUrlMain":"https://doi.org/10.2147/IMCRJ.S539313","RegionNum":0,"RegionCategory":null,"ArticlePicture":[],"TitleCN":null,"AbstractTextCN":null,"PMCID":null,"EPubDate":"2025/1/1 0:00:00","PubModel":"eCollection","JCR":"Q3","JCRName":"MEDICINE, GENERAL & INTERNAL","Score":null,"Total":0}
引用次数: 0

摘要

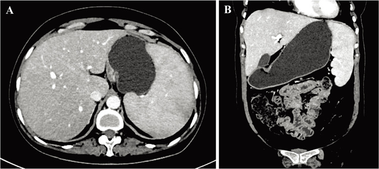
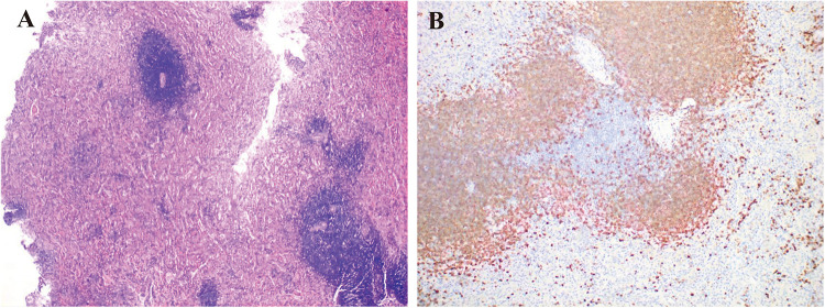
背景:原发性Sjögren综合征(pSS)是一种以外分泌腺为特征的自身免疫性疾病,主要累及泪腺和唾液腺。脾肿大是一种罕见的临床特征,除非脾肿大并发淋巴瘤。脾切除术可以排除恶性淋巴瘤,降低自发性脾破裂的风险,消除脾功能亢进,改善全血细胞减少症。病例介绍:我们报告了一例49岁的女性患者,根据口干、眼干、脾肿大、多种自身抗体阳性、Schirmer试验阳性和唇腺活检,腺泡数量减少和局灶性淋巴细胞浸润,诊断为pSS。pSS患者因血液学受累,反复出现肝功能障碍,入院接受糖皮质激素、免疫抑制剂及保肝药物治疗。然而,全血细胞减少症未能改善。考虑到pSS患者脾肿大导致全血细胞减少,建议患者行脾切除术。脾切除术后血液学受累明显改善。另一名46岁女性,临床表现相似,诊断为pSS合并脾肿大,但患者拒绝行脾切除术。结论:脾切除术可能是治疗pSS合并大量脾肿大导致血液学受累的有效方法。
本文章由计算机程序翻译,如有差异,请以英文原文为准。

Splenectomy for Primary Sjögren's Syndrome Associated with Massive Splenomegaly: Two Case Reports.

Splenectomy for Primary Sjögren's Syndrome Associated with Massive Splenomegaly: Two Case Reports.

Splenectomy for Primary Sjögren's Syndrome Associated with Massive Splenomegaly: Two Case Reports.

Splenectomy for Primary Sjögren's Syndrome Associated with Massive Splenomegaly: Two Case Reports.

Background: Primary Sjögren's syndrome (pSS) is an autoimmune disease characterized by exocrine glands involving mainly the lacrimal and salivary glands. Splenomegaly from pSS is a rare clinical feature unless the pSS is complicated by lymphoma. Splenectomy could exclude malignant lymphoma, reduce the risk of spontaneous spleen rupture and remove hypersplenism to improve pancytopenia.

Case presentation: We reported the case of a 49-year-old female patient who was diagnosed with pSS according to dry mouth, dry eyes, splenomegaly, multiple positive autoantibodies, positive Schirmer's test and biopsy of labial gland with decreased number of acini and focal lymphocytic infiltration. Due to hematological involvement and liver dysfunction repeatedly, the pSS patient was admitted to the hospital and treated with glucocorticoids, immunosuppressants and hepatoprotective drugs. However, the pancytopenia failed to improve. Considering pancytopenia of the pSS patient caused by massive splenomegaly, splenectomy was recommended to the patient. The hematological involvement was significantly improved after splenectomy. Besides, another 46-year-old woman with a similar clinical manifestation was diagnosed with pSS complicated by massive splenomegaly, however, the patient refused to undergo the splenectomy.

Conclusion: Splenectomy may be an effective treatment of pSS complicated by massive splenomegaly resulting in hematological involvement.

求助全文
通过发布文献求助,成功后即可免费获取论文全文。 去求助
来源期刊
International Medical Case Reports Journal
International Medical Case Reports Journal MEDICINE, GENERAL & INTERNAL-
CiteScore
1.40
自引率
0.00%
发文量
135
审稿时长
16 weeks
期刊介绍: International Medical Case Reports Journal is an international, peer-reviewed, open access, online journal publishing original case reports from all medical specialties. Submissions should not normally exceed 3,000 words or 4 published pages including figures, diagrams and references. As of 1st April 2019, the International Medical Case Reports Journal will no longer consider meta-analyses for publication.
×
引用
GB/T 7714-2015
复制
MLA
复制
APA
复制
导出至
BibTeX EndNote RefMan NoteFirst NoteExpress
×
提示
您的信息不完整,为了账户安全,请先补充。
现在去补充
×
提示
您因"违规操作"
具体请查看互助需知
我知道了
×
提示
确定
请完成安全验证×
copy
已复制链接
快去分享给好友吧!
我知道了
右上角分享
点击右上角分享
0
联系我们:info@booksci.cn Book学术提供免费学术资源搜索服务,方便国内外学者检索中英文文献。致力于提供最便捷和优质的服务体验。 Copyright © 2023 布克学术 All rights reserved.
京ICP备2023020795号-1
ghs 京公网安备 11010802042870号
Book学术文献互助
Book学术文献互助群
群 号:604180095
Book学术官方微信