同染色体Xq患者双侧条纹卵巢:特纳综合征变异1例报告。

IF 0.7 Q3 MEDICINE, GENERAL & INTERNAL
International Medical Case Reports Journal Pub Date : 2025-08-04 eCollection Date: 2025-01-01 DOI:10.2147/IMCRJ.S529460
Amadea Ivana Hartanto, Ruswana Anwar, Mirza Ismail, Erick Caesarrani Asmara, Putri Nadhira Adinda Adriansyah
{"title":"同染色体Xq患者双侧条纹卵巢:特纳综合征变异1例报告。","authors":"Amadea Ivana Hartanto, Ruswana Anwar, Mirza Ismail, Erick Caesarrani Asmara, Putri Nadhira Adinda Adriansyah","doi":"10.2147/IMCRJ.S529460","DOIUrl":null,"url":null,"abstract":"<p><strong>Introduction: </strong>Turner syndrome (TS) is a chromosomal disorder characterized by complete or partial loss of one X chromosome. One structural variant, isochromosome Xq [46,X,i(Xq)], results in duplication of the long arm and loss of the short arm of the X chromosome (Xp), which contains genes essential for normal ovarian development and function. This chromosomal imbalance leads to accelerated germ cell apoptosis and subsequent ovarian dysfunction. In this case, a 33-year-old woman with chronic anovulation and uterine hypoplasia was diagnosed with 46,X,i(Xq) karyotype without evidence of mosaicism.</p><p><strong>Case illustration: </strong>A 33-year-old woman with a history of irregular menstruation since adolescence was referred for evaluation of uterine hypoplasia and chronic anovulation. Clinical findings included short stature, but no webbed neck or congenital heart defects, making this an atypical presentation of Turner syndrome. Transvaginal ultrasound revealed a small uterus and bilateral streak ovaries. Hormonal evaluation showed elevated FSH levels consistent with hypergonadotropic hypogonadism. Diagnostic laparoscopy confirmed bilateral streak ovaries with normal appearing uterus and fallopian tubes. Chromosomal analysis using G-banding revealed a 46,X,i(Xq) karyotype, indicating an isochromosome Xq abnormality, a recognized variant of Turner syndrome. This genetic alteration explains her ovarian dysfunction and infertility, highlighting the importance of chromosomal evaluation in cases of primary ovarian insufficiency.</p><p><strong>Conclusion: </strong>This case highlights a structurally abnormal but nonmosaic 46,X,i(Xq) karyotype variant of Turner syndrome presenting primarily with ovarian insufficiency. Despite the absence of classic phenotypic features such as webbed neck or congenital heart defects, a high index of suspicion led to the correct diagnosis. This case underscores the need to consider Turner syndrome variants in women with unexplained ovarian insufficiency, even in the absence of overt clinical stigmata, to guide appropriate genetic counseling and fertility planning.</p>","PeriodicalId":14337,"journal":{"name":"International Medical Case Reports Journal","volume":"18 ","pages":"953-961"},"PeriodicalIF":0.7000,"publicationDate":"2025-08-04","publicationTypes":"Journal Article","fieldsOfStudy":null,"isOpenAccess":false,"openAccessPdf":"https://www.ncbi.nlm.nih.gov/pmc/articles/PMC12333654/pdf/","citationCount":"0","resultStr":"{\"title\":\"Bilateral Streak Ovaries in a Patient with Isochromosome Xq: A Case Report of a Turner Syndrome Variant.\",\"authors\":\"Amadea Ivana Hartanto, Ruswana Anwar, Mirza Ismail, Erick Caesarrani Asmara, Putri Nadhira Adinda Adriansyah\",\"doi\":\"10.2147/IMCRJ.S529460\",\"DOIUrl\":null,\"url\":null,\"abstract\":\"<p><strong>Introduction: </strong>Turner syndrome (TS) is a chromosomal disorder characterized by complete or partial loss of one X chromosome. One structural variant, isochromosome Xq [46,X,i(Xq)], results in duplication of the long arm and loss of the short arm of the X chromosome (Xp), which contains genes essential for normal ovarian development and function. This chromosomal imbalance leads to accelerated germ cell apoptosis and subsequent ovarian dysfunction. In this case, a 33-year-old woman with chronic anovulation and uterine hypoplasia was diagnosed with 46,X,i(Xq) karyotype without evidence of mosaicism.</p><p><strong>Case illustration: </strong>A 33-year-old woman with a history of irregular menstruation since adolescence was referred for evaluation of uterine hypoplasia and chronic anovulation. Clinical findings included short stature, but no webbed neck or congenital heart defects, making this an atypical presentation of Turner syndrome. Transvaginal ultrasound revealed a small uterus and bilateral streak ovaries. Hormonal evaluation showed elevated FSH levels consistent with hypergonadotropic hypogonadism. Diagnostic laparoscopy confirmed bilateral streak ovaries with normal appearing uterus and fallopian tubes. Chromosomal analysis using G-banding revealed a 46,X,i(Xq) karyotype, indicating an isochromosome Xq abnormality, a recognized variant of Turner syndrome. This genetic alteration explains her ovarian dysfunction and infertility, highlighting the importance of chromosomal evaluation in cases of primary ovarian insufficiency.</p><p><strong>Conclusion: </strong>This case highlights a structurally abnormal but nonmosaic 46,X,i(Xq) karyotype variant of Turner syndrome presenting primarily with ovarian insufficiency. Despite the absence of classic phenotypic features such as webbed neck or congenital heart defects, a high index of suspicion led to the correct diagnosis. This case underscores the need to consider Turner syndrome variants in women with unexplained ovarian insufficiency, even in the absence of overt clinical stigmata, to guide appropriate genetic counseling and fertility planning.</p>\",\"PeriodicalId\":14337,\"journal\":{\"name\":\"International Medical Case Reports Journal\",\"volume\":\"18 \",\"pages\":\"953-961\"},\"PeriodicalIF\":0.7000,\"publicationDate\":\"2025-08-04\",\"publicationTypes\":\"Journal Article\",\"fieldsOfStudy\":null,\"isOpenAccess\":false,\"openAccessPdf\":\"https://www.ncbi.nlm.nih.gov/pmc/articles/PMC12333654/pdf/\",\"citationCount\":\"0\",\"resultStr\":null,\"platform\":\"Semanticscholar\",\"paperid\":null,\"PeriodicalName\":\"International Medical Case Reports Journal\",\"FirstCategoryId\":\"1085\",\"ListUrlMain\":\"https://doi.org/10.2147/IMCRJ.S529460\",\"RegionNum\":0,\"RegionCategory\":null,\"ArticlePicture\":[],\"TitleCN\":null,\"AbstractTextCN\":null,\"PMCID\":null,\"EPubDate\":\"2025/1/1 0:00:00\",\"PubModel\":\"eCollection\",\"JCR\":\"Q3\",\"JCRName\":\"MEDICINE, GENERAL & INTERNAL\",\"Score\":null,\"Total\":0}","platform":"Semanticscholar","paperid":null,"PeriodicalName":"International Medical Case Reports Journal","FirstCategoryId":"1085","ListUrlMain":"https://doi.org/10.2147/IMCRJ.S529460","RegionNum":0,"RegionCategory":null,"ArticlePicture":[],"TitleCN":null,"AbstractTextCN":null,"PMCID":null,"EPubDate":"2025/1/1 0:00:00","PubModel":"eCollection","JCR":"Q3","JCRName":"MEDICINE, GENERAL & INTERNAL","Score":null,"Total":0}
引用次数: 0

摘要

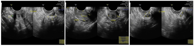
特纳综合征(TS)是一种以一条X染色体完全或部分缺失为特征的染色体疾病。一种结构变异,同染色体Xq [46,X,i(Xq)],导致X染色体(Xp)长臂的重复和短臂的缺失,其中包含正常卵巢发育和功能所必需的基因。这种染色体失衡导致生殖细胞加速凋亡和随后的卵巢功能障碍。在本病例中,一名患有慢性无排卵和子宫发育不全的33岁女性被诊断为46,X,i(Xq)核型,没有嵌合体的证据。病例说明:一名33岁女性,自青春期以来月经不调,被转介评估子宫发育不全和慢性无排卵。临床表现包括身材矮小,但没有颈蹼或先天性心脏缺陷,使其成为特纳综合征的非典型表现。经阴道超声显示小子宫和双侧条纹卵巢。激素评估显示促性腺激素水平升高与促性腺功能亢进症一致。诊断性腹腔镜检查证实双侧条纹卵巢,子宫和输卵管外观正常。染色体g带分析显示46x,i(Xq)核型,提示同染色体Xq异常,是Turner综合征的一种已知变体。这种基因改变解释了她的卵巢功能障碍和不孕症,强调了染色体评估在原发性卵巢功能不全病例中的重要性。结论:本病例为Turner综合征的46,X,i(Xq)核型变异,主要表现为卵巢功能不全。尽管缺乏典型的表型特征,如网状颈部或先天性心脏缺陷,但高怀疑指数导致正确的诊断。本病例强调了在不明原因卵巢功能不全的妇女中考虑特纳综合征变异的必要性,即使在没有明显的临床耻辱的情况下,也要指导适当的遗传咨询和生育计划。
本文章由计算机程序翻译,如有差异,请以英文原文为准。

Bilateral Streak Ovaries in a Patient with Isochromosome Xq: A Case Report of a Turner Syndrome Variant.

Bilateral Streak Ovaries in a Patient with Isochromosome Xq: A Case Report of a Turner Syndrome Variant.

Bilateral Streak Ovaries in a Patient with Isochromosome Xq: A Case Report of a Turner Syndrome Variant.

Bilateral Streak Ovaries in a Patient with Isochromosome Xq: A Case Report of a Turner Syndrome Variant.

Introduction: Turner syndrome (TS) is a chromosomal disorder characterized by complete or partial loss of one X chromosome. One structural variant, isochromosome Xq [46,X,i(Xq)], results in duplication of the long arm and loss of the short arm of the X chromosome (Xp), which contains genes essential for normal ovarian development and function. This chromosomal imbalance leads to accelerated germ cell apoptosis and subsequent ovarian dysfunction. In this case, a 33-year-old woman with chronic anovulation and uterine hypoplasia was diagnosed with 46,X,i(Xq) karyotype without evidence of mosaicism.

Case illustration: A 33-year-old woman with a history of irregular menstruation since adolescence was referred for evaluation of uterine hypoplasia and chronic anovulation. Clinical findings included short stature, but no webbed neck or congenital heart defects, making this an atypical presentation of Turner syndrome. Transvaginal ultrasound revealed a small uterus and bilateral streak ovaries. Hormonal evaluation showed elevated FSH levels consistent with hypergonadotropic hypogonadism. Diagnostic laparoscopy confirmed bilateral streak ovaries with normal appearing uterus and fallopian tubes. Chromosomal analysis using G-banding revealed a 46,X,i(Xq) karyotype, indicating an isochromosome Xq abnormality, a recognized variant of Turner syndrome. This genetic alteration explains her ovarian dysfunction and infertility, highlighting the importance of chromosomal evaluation in cases of primary ovarian insufficiency.

Conclusion: This case highlights a structurally abnormal but nonmosaic 46,X,i(Xq) karyotype variant of Turner syndrome presenting primarily with ovarian insufficiency. Despite the absence of classic phenotypic features such as webbed neck or congenital heart defects, a high index of suspicion led to the correct diagnosis. This case underscores the need to consider Turner syndrome variants in women with unexplained ovarian insufficiency, even in the absence of overt clinical stigmata, to guide appropriate genetic counseling and fertility planning.

求助全文
通过发布文献求助,成功后即可免费获取论文全文。 去求助
来源期刊
International Medical Case Reports Journal
International Medical Case Reports Journal MEDICINE, GENERAL & INTERNAL-
CiteScore
1.40
自引率
0.00%
发文量
135
审稿时长
16 weeks
期刊介绍: International Medical Case Reports Journal is an international, peer-reviewed, open access, online journal publishing original case reports from all medical specialties. Submissions should not normally exceed 3,000 words or 4 published pages including figures, diagrams and references. As of 1st April 2019, the International Medical Case Reports Journal will no longer consider meta-analyses for publication.
×
引用
GB/T 7714-2015
复制
MLA
复制
APA
复制
导出至
BibTeX EndNote RefMan NoteFirst NoteExpress
×
提示
您的信息不完整,为了账户安全,请先补充。
现在去补充
×
提示
您因"违规操作"
具体请查看互助需知
我知道了
×
提示
确定
请完成安全验证×
copy
已复制链接
快去分享给好友吧!
我知道了
右上角分享
点击右上角分享
0
联系我们:info@booksci.cn Book学术提供免费学术资源搜索服务,方便国内外学者检索中英文文献。致力于提供最便捷和优质的服务体验。 Copyright © 2023 布克学术 All rights reserved.
京ICP备2023020795号-1
ghs 京公网安备 11010802042870号
Book学术文献互助
Book学术文献互助群
群 号:604180095
Book学术官方微信