再生根管治疗后未成熟坏死恒牙的牙根发育:病例系列。

Q2 Dentistry
Dental Research Journal Pub Date : 2025-07-24 eCollection Date: 2025-01-01 DOI:10.4103/drj.drj_1_25
Abbasali Khademi, Pedram Iranmanesh, Ali Akhavan, Movahed Ghassem Yeganeh, Samira Khalifezade Esfahani
{"title":"再生根管治疗后未成熟坏死恒牙的牙根发育:病例系列。","authors":"Abbasali Khademi, Pedram Iranmanesh, Ali Akhavan, Movahed Ghassem Yeganeh, Samira Khalifezade Esfahani","doi":"10.4103/drj.drj_1_25","DOIUrl":null,"url":null,"abstract":"<p><p>Regenerative endodontics is an expedient therapeutic strategy for necrotic teeth with open apex. The promising result of clinical research in the regenerative endodontic treatment field is published. The main goal of this case series is to present the radiographic and clinical findings of the regenerative endodontic procedure.</p>","PeriodicalId":11016,"journal":{"name":"Dental Research Journal","volume":"22 ","pages":"28"},"PeriodicalIF":0.0000,"publicationDate":"2025-07-24","publicationTypes":"Journal Article","fieldsOfStudy":null,"isOpenAccess":false,"openAccessPdf":"https://www.ncbi.nlm.nih.gov/pmc/articles/PMC12334101/pdf/","citationCount":"0","resultStr":"{\"title\":\"Root development of immature necrotic permanent teeth following regenerative endodontic process: Case series.\",\"authors\":\"Abbasali Khademi, Pedram Iranmanesh, Ali Akhavan, Movahed Ghassem Yeganeh, Samira Khalifezade Esfahani\",\"doi\":\"10.4103/drj.drj_1_25\",\"DOIUrl\":null,\"url\":null,\"abstract\":\"<p><p>Regenerative endodontics is an expedient therapeutic strategy for necrotic teeth with open apex. The promising result of clinical research in the regenerative endodontic treatment field is published. The main goal of this case series is to present the radiographic and clinical findings of the regenerative endodontic procedure.</p>\",\"PeriodicalId\":11016,\"journal\":{\"name\":\"Dental Research Journal\",\"volume\":\"22 \",\"pages\":\"28\"},\"PeriodicalIF\":0.0000,\"publicationDate\":\"2025-07-24\",\"publicationTypes\":\"Journal Article\",\"fieldsOfStudy\":null,\"isOpenAccess\":false,\"openAccessPdf\":\"https://www.ncbi.nlm.nih.gov/pmc/articles/PMC12334101/pdf/\",\"citationCount\":\"0\",\"resultStr\":null,\"platform\":\"Semanticscholar\",\"paperid\":null,\"PeriodicalName\":\"Dental Research Journal\",\"FirstCategoryId\":\"1085\",\"ListUrlMain\":\"https://doi.org/10.4103/drj.drj_1_25\",\"RegionNum\":0,\"RegionCategory\":null,\"ArticlePicture\":[],\"TitleCN\":null,\"AbstractTextCN\":null,\"PMCID\":null,\"EPubDate\":\"2025/1/1 0:00:00\",\"PubModel\":\"eCollection\",\"JCR\":\"Q2\",\"JCRName\":\"Dentistry\",\"Score\":null,\"Total\":0}","platform":"Semanticscholar","paperid":null,"PeriodicalName":"Dental Research Journal","FirstCategoryId":"1085","ListUrlMain":"https://doi.org/10.4103/drj.drj_1_25","RegionNum":0,"RegionCategory":null,"ArticlePicture":[],"TitleCN":null,"AbstractTextCN":null,"PMCID":null,"EPubDate":"2025/1/1 0:00:00","PubModel":"eCollection","JCR":"Q2","JCRName":"Dentistry","Score":null,"Total":0}
引用次数: 0

摘要

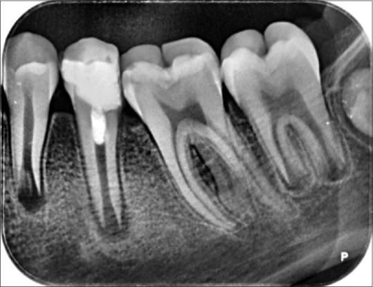
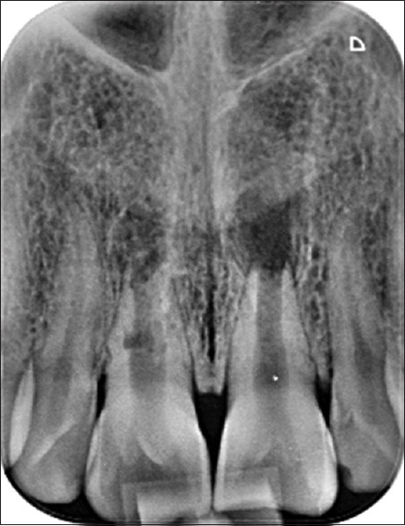
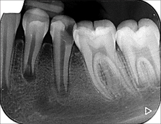
再生牙髓治疗是治疗牙尖开放坏死的一种权宜之计。再生牙髓治疗领域的临床研究取得了可喜的成果。本病例系列的主要目的是介绍再生牙髓治疗的影像学和临床表现。
本文章由计算机程序翻译,如有差异,请以英文原文为准。

Root development of immature necrotic permanent teeth following regenerative endodontic process: Case series.

Root development of immature necrotic permanent teeth following regenerative endodontic process: Case series.

Root development of immature necrotic permanent teeth following regenerative endodontic process: Case series.

Root development of immature necrotic permanent teeth following regenerative endodontic process: Case series.

Regenerative endodontics is an expedient therapeutic strategy for necrotic teeth with open apex. The promising result of clinical research in the regenerative endodontic treatment field is published. The main goal of this case series is to present the radiographic and clinical findings of the regenerative endodontic procedure.

求助全文
通过发布文献求助,成功后即可免费获取论文全文。 去求助
来源期刊
Dental Research Journal
Dental Research Journal Dentistry-Dentistry (all)
CiteScore
1.70
自引率
0.00%
发文量
70
审稿时长
52 weeks
期刊介绍: Dental Research Journal, a publication of Isfahan University of Medical Sciences, is a peer-reviewed online journal with Bimonthly print on demand compilation of issues published. The journal’s full text is available online at http://www.drjjournal.net. The journal allows free access (Open Access) to its contents and permits authors to self-archive final accepted version of the articles on any OAI-compliant institutional / subject-based repository. The journal will cover technical and clinical studies related to health, ethical and social issues in field of Dentistry. Articles with clinical interest and implications will be given preference.
×
引用
GB/T 7714-2015
复制
MLA
复制
APA
复制
导出至
BibTeX EndNote RefMan NoteFirst NoteExpress
×
提示
您的信息不完整,为了账户安全,请先补充。
现在去补充
×
提示
您因"违规操作"
具体请查看互助需知
我知道了
×
提示
确定
请完成安全验证×
copy
已复制链接
快去分享给好友吧!
我知道了
右上角分享
点击右上角分享
0
联系我们:info@booksci.cn Book学术提供免费学术资源搜索服务,方便国内外学者检索中英文文献。致力于提供最便捷和优质的服务体验。 Copyright © 2023 布克学术 All rights reserved.
京ICP备2023020795号-1
ghs 京公网安备 11010802042870号
Book学术文献互助
Book学术文献互助群
群 号:604180095
Book学术官方微信