皮肤纤维瘤:重新评估和更新综述。

IF 2.2 4区 医学 Q3 DERMATOLOGY
Clinical, Cosmetic and Investigational Dermatology Pub Date : 2025-08-04 eCollection Date: 2025-01-01 DOI:10.2147/CCID.S526191
Leo Wan, Aileen Park, Lanah Almatroud, Amor Khachemoune
{"title":"皮肤纤维瘤:重新评估和更新综述。","authors":"Leo Wan, Aileen Park, Lanah Almatroud, Amor Khachemoune","doi":"10.2147/CCID.S526191","DOIUrl":null,"url":null,"abstract":"<p><p>Dermatofibromas (DF), also known as fibrous histiocytomas, are common benign cutaneous lesions characterized histologically by dermal proliferation of spindle-shaped fibrocytes, with the overlying epidermis often demonstrating hyperplasia with acanthosis, basal layer hyperpigmentation, and a characteristic \"collarette\" of epidermal hyperplasia surrounding the lesion. The etiology of DF remains debated, with theories ranging from reactive processes triggered by local trauma, such as insect bites, to spontaneous development. DF typically presents as a hyperkeratotic nodule or plaque, most often on the lower extremities, and can exhibit a wide spectrum of clinical appearances. Variants such as hemosiderotic, epithelioid, aneurysmal, and cellular DF show distinct clinical and histopathological features that may sometimes mimic malignant lesions. Dermoscopic findings can aid in diagnosis, although biopsy is often required for definitive classification. Discrepancies in the literature persist regarding the pathogenesis and classification of DF, and while DF is generally benign, rare cases of metastasizing DF have been reported. This review aims to provide an examination of DF, including its clinical manifestations, etiology, subtypes, histological features, and differential diagnoses. It also discusses dermoscopic findings, controversies in the literature, and current treatment options. A clearer understanding of its diverse presentations, along with refined diagnostic criteria, will enhance clinical management and treatment strategies.</p>","PeriodicalId":10447,"journal":{"name":"Clinical, Cosmetic and Investigational Dermatology","volume":"18 ","pages":"1873-1887"},"PeriodicalIF":2.2000,"publicationDate":"2025-08-04","publicationTypes":"Journal Article","fieldsOfStudy":null,"isOpenAccess":false,"openAccessPdf":"https://www.ncbi.nlm.nih.gov/pmc/articles/PMC12333637/pdf/","citationCount":"0","resultStr":"{\"title\":\"Dermatofibroma: Reappraisal and Updated Review.\",\"authors\":\"Leo Wan, Aileen Park, Lanah Almatroud, Amor Khachemoune\",\"doi\":\"10.2147/CCID.S526191\",\"DOIUrl\":null,\"url\":null,\"abstract\":\"<p><p>Dermatofibromas (DF), also known as fibrous histiocytomas, are common benign cutaneous lesions characterized histologically by dermal proliferation of spindle-shaped fibrocytes, with the overlying epidermis often demonstrating hyperplasia with acanthosis, basal layer hyperpigmentation, and a characteristic \\\"collarette\\\" of epidermal hyperplasia surrounding the lesion. The etiology of DF remains debated, with theories ranging from reactive processes triggered by local trauma, such as insect bites, to spontaneous development. DF typically presents as a hyperkeratotic nodule or plaque, most often on the lower extremities, and can exhibit a wide spectrum of clinical appearances. Variants such as hemosiderotic, epithelioid, aneurysmal, and cellular DF show distinct clinical and histopathological features that may sometimes mimic malignant lesions. Dermoscopic findings can aid in diagnosis, although biopsy is often required for definitive classification. Discrepancies in the literature persist regarding the pathogenesis and classification of DF, and while DF is generally benign, rare cases of metastasizing DF have been reported. This review aims to provide an examination of DF, including its clinical manifestations, etiology, subtypes, histological features, and differential diagnoses. It also discusses dermoscopic findings, controversies in the literature, and current treatment options. A clearer understanding of its diverse presentations, along with refined diagnostic criteria, will enhance clinical management and treatment strategies.</p>\",\"PeriodicalId\":10447,\"journal\":{\"name\":\"Clinical, Cosmetic and Investigational Dermatology\",\"volume\":\"18 \",\"pages\":\"1873-1887\"},\"PeriodicalIF\":2.2000,\"publicationDate\":\"2025-08-04\",\"publicationTypes\":\"Journal Article\",\"fieldsOfStudy\":null,\"isOpenAccess\":false,\"openAccessPdf\":\"https://www.ncbi.nlm.nih.gov/pmc/articles/PMC12333637/pdf/\",\"citationCount\":\"0\",\"resultStr\":null,\"platform\":\"Semanticscholar\",\"paperid\":null,\"PeriodicalName\":\"Clinical, Cosmetic and Investigational Dermatology\",\"FirstCategoryId\":\"3\",\"ListUrlMain\":\"https://doi.org/10.2147/CCID.S526191\",\"RegionNum\":4,\"RegionCategory\":\"医学\",\"ArticlePicture\":[],\"TitleCN\":null,\"AbstractTextCN\":null,\"PMCID\":null,\"EPubDate\":\"2025/1/1 0:00:00\",\"PubModel\":\"eCollection\",\"JCR\":\"Q3\",\"JCRName\":\"DERMATOLOGY\",\"Score\":null,\"Total\":0}","platform":"Semanticscholar","paperid":null,"PeriodicalName":"Clinical, Cosmetic and Investigational Dermatology","FirstCategoryId":"3","ListUrlMain":"https://doi.org/10.2147/CCID.S526191","RegionNum":4,"RegionCategory":"医学","ArticlePicture":[],"TitleCN":null,"AbstractTextCN":null,"PMCID":null,"EPubDate":"2025/1/1 0:00:00","PubModel":"eCollection","JCR":"Q3","JCRName":"DERMATOLOGY","Score":null,"Total":0}
引用次数: 0

摘要

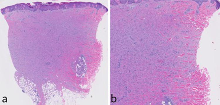
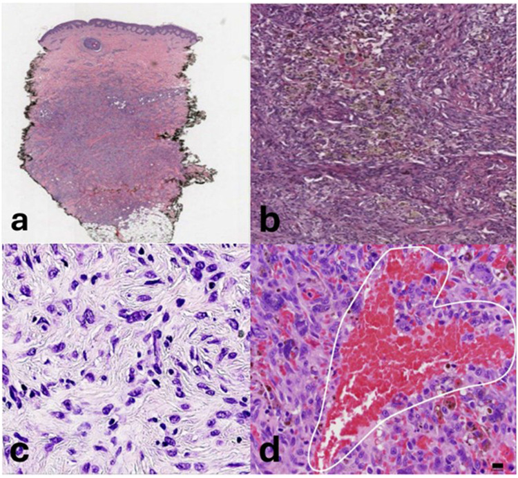
皮肤纤维瘤(DF),也被称为纤维组织细胞瘤,是一种常见的良性皮肤病变,其组织学特征为梭形纤维细胞的真皮增生,其覆盖的表皮常表现为棘层增生,基底层色素沉着,以及病变周围表皮增生的特征性“结缔组织”。DF的病因仍有争议,理论范围从局部创伤(如昆虫叮咬)引发的反应过程到自发发展。DF通常表现为角化结节或斑块,最常见于下肢,并可表现出广泛的临床表现。含铁血黄素样、上皮样、动脉瘤样和细胞性DF表现出不同的临床和组织病理学特征,有时可能类似恶性病变。皮肤镜检查结果可以帮助诊断,尽管活检通常需要明确的分类。关于DF的发病机制和分类,文献中仍然存在差异,虽然DF通常是良性的,但已经报道了罕见的转移性DF病例。本文旨在介绍DF的临床表现、病因、亚型、组织学特征和鉴别诊断。它还讨论了皮肤镜检查结果,在文献中的争议,和目前的治疗方案。更清楚地了解其不同的表现,以及完善的诊断标准,将加强临床管理和治疗策略。
本文章由计算机程序翻译,如有差异,请以英文原文为准。

Dermatofibroma: Reappraisal and Updated Review.

Dermatofibroma: Reappraisal and Updated Review.

Dermatofibroma: Reappraisal and Updated Review.

Dermatofibroma: Reappraisal and Updated Review.

Dermatofibromas (DF), also known as fibrous histiocytomas, are common benign cutaneous lesions characterized histologically by dermal proliferation of spindle-shaped fibrocytes, with the overlying epidermis often demonstrating hyperplasia with acanthosis, basal layer hyperpigmentation, and a characteristic "collarette" of epidermal hyperplasia surrounding the lesion. The etiology of DF remains debated, with theories ranging from reactive processes triggered by local trauma, such as insect bites, to spontaneous development. DF typically presents as a hyperkeratotic nodule or plaque, most often on the lower extremities, and can exhibit a wide spectrum of clinical appearances. Variants such as hemosiderotic, epithelioid, aneurysmal, and cellular DF show distinct clinical and histopathological features that may sometimes mimic malignant lesions. Dermoscopic findings can aid in diagnosis, although biopsy is often required for definitive classification. Discrepancies in the literature persist regarding the pathogenesis and classification of DF, and while DF is generally benign, rare cases of metastasizing DF have been reported. This review aims to provide an examination of DF, including its clinical manifestations, etiology, subtypes, histological features, and differential diagnoses. It also discusses dermoscopic findings, controversies in the literature, and current treatment options. A clearer understanding of its diverse presentations, along with refined diagnostic criteria, will enhance clinical management and treatment strategies.

求助全文
通过发布文献求助,成功后即可免费获取论文全文。 去求助
来源期刊
CiteScore
2.80
自引率
4.30%
发文量
353
审稿时长
16 weeks
期刊介绍: Clinical, Cosmetic and Investigational Dermatology is an international, peer-reviewed, open access journal that focuses on the latest clinical and experimental research in all aspects of skin disease and cosmetic interventions. Normal and pathological processes in skin development and aging, their modification and treatment, as well as basic research into histology of dermal and dermal structures that provide clinical insights and potential treatment options are key topics for the journal. Patient satisfaction, preference, quality of life, compliance, persistence and their role in developing new management options to optimize outcomes for target conditions constitute major areas of interest. The journal is characterized by the rapid reporting of clinical studies, reviews and original research in skin research and skin care. All areas of dermatology will be covered; contributions will be welcomed from all clinicians and basic science researchers globally.
×
引用
GB/T 7714-2015
复制
MLA
复制
APA
复制
导出至
BibTeX EndNote RefMan NoteFirst NoteExpress
×
提示
您的信息不完整,为了账户安全,请先补充。
现在去补充
×
提示
您因"违规操作"
具体请查看互助需知
我知道了
×
提示
确定
请完成安全验证×
copy
已复制链接
快去分享给好友吧!
我知道了
右上角分享
点击右上角分享
0
联系我们:info@booksci.cn Book学术提供免费学术资源搜索服务,方便国内外学者检索中英文文献。致力于提供最便捷和优质的服务体验。 Copyright © 2023 布克学术 All rights reserved.
京ICP备2023020795号-1
ghs 京公网安备 11010802042870号
Book学术文献互助
Book学术文献互助群
群 号:604180095
Book学术官方微信