坏疽性脓皮病,作为系统性红斑狼疮的首发临床表现,报告1例并综合文献复习。

IF 1 Q3 MEDICINE, GENERAL & INTERNAL
Caspian Journal of Internal Medicine Pub Date : 2025-06-23 eCollection Date: 2025-01-01 DOI:10.22088/cjim.16.3.577
Shahrzad Rahmani, Azadeh Goodarzi, Amirhossein Akbarzadehpasha, Homa Abri, Amir Mohamad Sadeghian, Elham Behrangi, Azadeh Laali, Nasrin Shayanfar, Shiva Lotfi
{"title":"坏疽性脓皮病,作为系统性红斑狼疮的首发临床表现,报告1例并综合文献复习。","authors":"Shahrzad Rahmani, Azadeh Goodarzi, Amirhossein Akbarzadehpasha, Homa Abri, Amir Mohamad Sadeghian, Elham Behrangi, Azadeh Laali, Nasrin Shayanfar, Shiva Lotfi","doi":"10.22088/cjim.16.3.577","DOIUrl":null,"url":null,"abstract":"<p><strong>Background: </strong>Pyoderma gangrenosum (PG) can be related to a range of systemic and hematologic diseases. The relationship between systemic lupus erythematosus (SLE) and PG has rarely been discussed.</p><p><strong>Case presentation: </strong>In this case study, we report on an SLE patient who presented with PG. The patient is a 53-year-old woman with the chief complaint of developing painful erythematous pustules on her right flank 3 days after hysterectomy surgery. In the span of 3 months, the patient was treated with antibiotics and intra-lesional corticosteroids with no improvement. Meanwhile, she developed symptoms such as polyarthralgia, pleural effusion, hemolytic anemia, and thrombocytopenia, while anti-dsDNA came out positive.</p><p><strong>Result: </strong>Based on pathology results in combination with clinical and para-clinical findings according to the SLICC criteria for SLE 2012, our patient was diagnosed as an active case of SLE presenting with PG. We also searched for and gathered the latest articles on this issue (from 2017 until 2022) to present the most updated review study on the topic in this article.</p><p><strong>Conclusion: </strong>Considering the abundance of PG and SLE concomitance reported cases (more than 30), it might be time to pay more attention to SLE as the underlying cause of PG and keep in mind that any unhealing ulcer in patients with connective tissue disorders should be evaluated for PG. Considering the various treatment options for PG, it is essential that the treatment of choice should cover symptoms of both PG and the underlying disease.</p>","PeriodicalId":9646,"journal":{"name":"Caspian Journal of Internal Medicine","volume":"16 3","pages":"577-583"},"PeriodicalIF":1.0000,"publicationDate":"2025-06-23","publicationTypes":"Journal Article","fieldsOfStudy":null,"isOpenAccess":false,"openAccessPdf":"https://www.ncbi.nlm.nih.gov/pmc/articles/PMC12329354/pdf/","citationCount":"0","resultStr":"{\"title\":\"Pyoderma gangrenosum, as the first clinical presentation of systemic lupus erythematous, a case report and comprehensive literature review.\",\"authors\":\"Shahrzad Rahmani, Azadeh Goodarzi, Amirhossein Akbarzadehpasha, Homa Abri, Amir Mohamad Sadeghian, Elham Behrangi, Azadeh Laali, Nasrin Shayanfar, Shiva Lotfi\",\"doi\":\"10.22088/cjim.16.3.577\",\"DOIUrl\":null,\"url\":null,\"abstract\":\"<p><strong>Background: </strong>Pyoderma gangrenosum (PG) can be related to a range of systemic and hematologic diseases. The relationship between systemic lupus erythematosus (SLE) and PG has rarely been discussed.</p><p><strong>Case presentation: </strong>In this case study, we report on an SLE patient who presented with PG. The patient is a 53-year-old woman with the chief complaint of developing painful erythematous pustules on her right flank 3 days after hysterectomy surgery. In the span of 3 months, the patient was treated with antibiotics and intra-lesional corticosteroids with no improvement. Meanwhile, she developed symptoms such as polyarthralgia, pleural effusion, hemolytic anemia, and thrombocytopenia, while anti-dsDNA came out positive.</p><p><strong>Result: </strong>Based on pathology results in combination with clinical and para-clinical findings according to the SLICC criteria for SLE 2012, our patient was diagnosed as an active case of SLE presenting with PG. We also searched for and gathered the latest articles on this issue (from 2017 until 2022) to present the most updated review study on the topic in this article.</p><p><strong>Conclusion: </strong>Considering the abundance of PG and SLE concomitance reported cases (more than 30), it might be time to pay more attention to SLE as the underlying cause of PG and keep in mind that any unhealing ulcer in patients with connective tissue disorders should be evaluated for PG. Considering the various treatment options for PG, it is essential that the treatment of choice should cover symptoms of both PG and the underlying disease.</p>\",\"PeriodicalId\":9646,\"journal\":{\"name\":\"Caspian Journal of Internal Medicine\",\"volume\":\"16 3\",\"pages\":\"577-583\"},\"PeriodicalIF\":1.0000,\"publicationDate\":\"2025-06-23\",\"publicationTypes\":\"Journal Article\",\"fieldsOfStudy\":null,\"isOpenAccess\":false,\"openAccessPdf\":\"https://www.ncbi.nlm.nih.gov/pmc/articles/PMC12329354/pdf/\",\"citationCount\":\"0\",\"resultStr\":null,\"platform\":\"Semanticscholar\",\"paperid\":null,\"PeriodicalName\":\"Caspian Journal of Internal Medicine\",\"FirstCategoryId\":\"1085\",\"ListUrlMain\":\"https://doi.org/10.22088/cjim.16.3.577\",\"RegionNum\":0,\"RegionCategory\":null,\"ArticlePicture\":[],\"TitleCN\":null,\"AbstractTextCN\":null,\"PMCID\":null,\"EPubDate\":\"2025/1/1 0:00:00\",\"PubModel\":\"eCollection\",\"JCR\":\"Q3\",\"JCRName\":\"MEDICINE, GENERAL & INTERNAL\",\"Score\":null,\"Total\":0}","platform":"Semanticscholar","paperid":null,"PeriodicalName":"Caspian Journal of Internal Medicine","FirstCategoryId":"1085","ListUrlMain":"https://doi.org/10.22088/cjim.16.3.577","RegionNum":0,"RegionCategory":null,"ArticlePicture":[],"TitleCN":null,"AbstractTextCN":null,"PMCID":null,"EPubDate":"2025/1/1 0:00:00","PubModel":"eCollection","JCR":"Q3","JCRName":"MEDICINE, GENERAL & INTERNAL","Score":null,"Total":0}
引用次数: 0

摘要

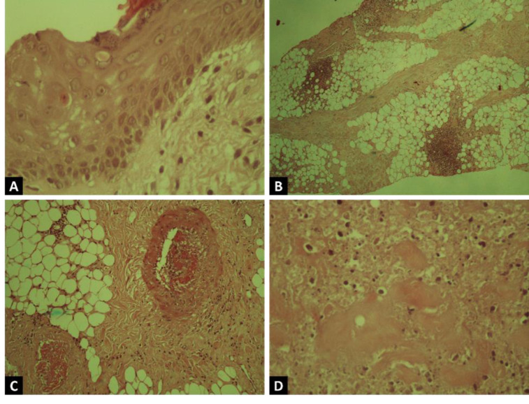
背景:坏疽性脓皮病(Pyoderma gangrenosum, PG)可与一系列全身和血液系统疾病相关。系统性红斑狼疮(SLE)与PG之间的关系很少被讨论。病例介绍:在本病例研究中,我们报告了一例以PG为表现的SLE患者。患者是一名53岁的女性,主诉为子宫切除术后3天右侧出现疼痛的红斑脓疱。在3个月的时间里,患者接受了抗生素和病灶内皮质类固醇治疗,没有任何改善。同时出现多关节痛、胸腔积液、溶血性贫血、血小板减少症等症状,抗dsdna阳性。结果:根据SLE 2012的SLICC标准,根据病理结果结合临床和临床旁表现,我们的患者被诊断为以PG为表现的SLE活动性病例。我们还检索并收集了有关该问题的最新文章(从2017年到2022年),以提供本文中关于该主题的最新综述研究。结论:考虑到PG和SLE合并报道病例的丰富程度(超过30例),可能是时候更多地关注SLE作为PG的潜在病因,并记住结缔组织疾病患者的任何未愈合溃疡都应评估PG。考虑到PG的各种治疗方案,选择治疗方案必须涵盖PG和潜在疾病的症状。
本文章由计算机程序翻译,如有差异,请以英文原文为准。

Pyoderma gangrenosum, as the first clinical presentation of systemic lupus erythematous, a case report and comprehensive literature review.

Pyoderma gangrenosum, as the first clinical presentation of systemic lupus erythematous, a case report and comprehensive literature review.

Pyoderma gangrenosum, as the first clinical presentation of systemic lupus erythematous, a case report and comprehensive literature review.

Pyoderma gangrenosum, as the first clinical presentation of systemic lupus erythematous, a case report and comprehensive literature review.

Background: Pyoderma gangrenosum (PG) can be related to a range of systemic and hematologic diseases. The relationship between systemic lupus erythematosus (SLE) and PG has rarely been discussed.

Case presentation: In this case study, we report on an SLE patient who presented with PG. The patient is a 53-year-old woman with the chief complaint of developing painful erythematous pustules on her right flank 3 days after hysterectomy surgery. In the span of 3 months, the patient was treated with antibiotics and intra-lesional corticosteroids with no improvement. Meanwhile, she developed symptoms such as polyarthralgia, pleural effusion, hemolytic anemia, and thrombocytopenia, while anti-dsDNA came out positive.

Result: Based on pathology results in combination with clinical and para-clinical findings according to the SLICC criteria for SLE 2012, our patient was diagnosed as an active case of SLE presenting with PG. We also searched for and gathered the latest articles on this issue (from 2017 until 2022) to present the most updated review study on the topic in this article.

Conclusion: Considering the abundance of PG and SLE concomitance reported cases (more than 30), it might be time to pay more attention to SLE as the underlying cause of PG and keep in mind that any unhealing ulcer in patients with connective tissue disorders should be evaluated for PG. Considering the various treatment options for PG, it is essential that the treatment of choice should cover symptoms of both PG and the underlying disease.

求助全文
通过发布文献求助,成功后即可免费获取论文全文。 去求助
来源期刊
Caspian Journal of Internal Medicine
Caspian Journal of Internal Medicine MEDICINE, GENERAL & INTERNAL-
CiteScore
1.90
自引率
7.10%
发文量
90
审稿时长
20 weeks
×
引用
GB/T 7714-2015
复制
MLA
复制
APA
复制
导出至
BibTeX EndNote RefMan NoteFirst NoteExpress
×
提示
您的信息不完整,为了账户安全,请先补充。
现在去补充
×
提示
您因"违规操作"
具体请查看互助需知
我知道了
×
提示
确定
请完成安全验证×
copy
已复制链接
快去分享给好友吧!
我知道了
右上角分享
点击右上角分享
0
联系我们:info@booksci.cn Book学术提供免费学术资源搜索服务,方便国内外学者检索中英文文献。致力于提供最便捷和优质的服务体验。 Copyright © 2023 布克学术 All rights reserved.
京ICP备2023020795号-1
ghs 京公网安备 11010802042870号
Book学术文献互助
Book学术文献互助群
群 号:604180095
Book学术官方微信