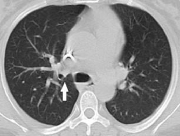
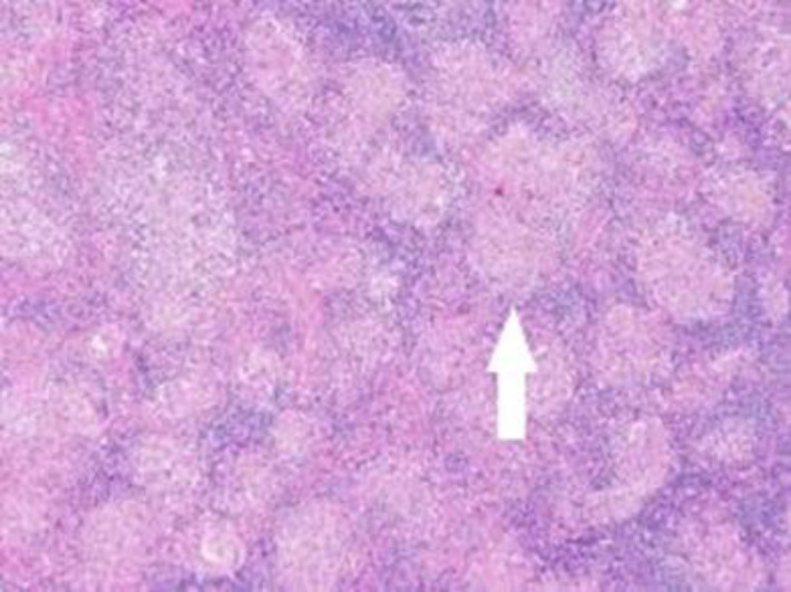
胃肠道结节病模拟恶性肿瘤:一个令人困惑的场景。

IF 1 Q3 MEDICINE, GENERAL & INTERNAL
Caspian Journal of Internal Medicine Pub Date : 2025-06-23 eCollection Date: 2025-01-01 DOI:10.22088/cjim.16.3.584
Dilara Bulut Gökten, Rıdvan Mercan
{"title":"胃肠道结节病模拟恶性肿瘤:一个令人困惑的场景。","authors":"Dilara Bulut Gökten, Rıdvan Mercan","doi":"10.22088/cjim.16.3.584","DOIUrl":null,"url":null,"abstract":"","PeriodicalId":9646,"journal":{"name":"Caspian Journal of Internal Medicine","volume":"16 3","pages":"584-587"},"PeriodicalIF":1.0000,"publicationDate":"2025-06-23","publicationTypes":"Journal Article","fieldsOfStudy":null,"isOpenAccess":false,"openAccessPdf":"https://www.ncbi.nlm.nih.gov/pmc/articles/PMC12329357/pdf/","citationCount":"0","resultStr":"{\"title\":\"Gastrointestinal sarcoidosis mimicking malignancy: A confusing scenario.\",\"authors\":\"Dilara Bulut Gökten, Rıdvan Mercan\",\"doi\":\"10.22088/cjim.16.3.584\",\"DOIUrl\":null,\"url\":null,\"abstract\":\"\",\"PeriodicalId\":9646,\"journal\":{\"name\":\"Caspian Journal of Internal Medicine\",\"volume\":\"16 3\",\"pages\":\"584-587\"},\"PeriodicalIF\":1.0000,\"publicationDate\":\"2025-06-23\",\"publicationTypes\":\"Journal Article\",\"fieldsOfStudy\":null,\"isOpenAccess\":false,\"openAccessPdf\":\"https://www.ncbi.nlm.nih.gov/pmc/articles/PMC12329357/pdf/\",\"citationCount\":\"0\",\"resultStr\":null,\"platform\":\"Semanticscholar\",\"paperid\":null,\"PeriodicalName\":\"Caspian Journal of Internal Medicine\",\"FirstCategoryId\":\"1085\",\"ListUrlMain\":\"https://doi.org/10.22088/cjim.16.3.584\",\"RegionNum\":0,\"RegionCategory\":null,\"ArticlePicture\":[],\"TitleCN\":null,\"AbstractTextCN\":null,\"PMCID\":null,\"EPubDate\":\"2025/1/1 0:00:00\",\"PubModel\":\"eCollection\",\"JCR\":\"Q3\",\"JCRName\":\"MEDICINE, GENERAL & INTERNAL\",\"Score\":null,\"Total\":0}","platform":"Semanticscholar","paperid":null,"PeriodicalName":"Caspian Journal of Internal Medicine","FirstCategoryId":"1085","ListUrlMain":"https://doi.org/10.22088/cjim.16.3.584","RegionNum":0,"RegionCategory":null,"ArticlePicture":[],"TitleCN":null,"AbstractTextCN":null,"PMCID":null,"EPubDate":"2025/1/1 0:00:00","PubModel":"eCollection","JCR":"Q3","JCRName":"MEDICINE, GENERAL & INTERNAL","Score":null,"Total":0}
引用次数: 0

摘要

本文章由计算机程序翻译,如有差异,请以英文原文为准。

Gastrointestinal sarcoidosis mimicking malignancy: A confusing scenario.

Gastrointestinal sarcoidosis mimicking malignancy: A confusing scenario.

Gastrointestinal sarcoidosis mimicking malignancy: A confusing scenario.
求助全文
通过发布文献求助,成功后即可免费获取论文全文。 去求助
来源期刊
Caspian Journal of Internal Medicine
Caspian Journal of Internal Medicine MEDICINE, GENERAL & INTERNAL-
CiteScore
1.90
自引率
7.10%
发文量
90
审稿时长
20 weeks
×
引用
GB/T 7714-2015
复制
MLA
复制
APA
复制
导出至
BibTeX EndNote RefMan NoteFirst NoteExpress
×
提示
您的信息不完整,为了账户安全,请先补充。
现在去补充
×
提示
您因"违规操作"
具体请查看互助需知
我知道了
×
提示
确定
请完成安全验证×
copy
已复制链接
快去分享给好友吧!
我知道了
右上角分享
点击右上角分享
0
联系我们:info@booksci.cn Book学术提供免费学术资源搜索服务,方便国内外学者检索中英文文献。致力于提供最便捷和优质的服务体验。 Copyright © 2023 布克学术 All rights reserved.
京ICP备2023020795号-1
ghs 京公网安备 11010802042870号
Book学术文献互助
Book学术文献互助群
群 号:604180095
Book学术官方微信