低级别子宫内膜间质肉瘤自发性破裂1例及影像学回顾。

IF 2.6 4区 医学 Q3 ONCOLOGY
Cancer Management and Research Pub Date : 2025-08-05 eCollection Date: 2025-01-01 DOI:10.2147/CMAR.S531483
Jiali Jin, Yangyang Liu, Haiyan Cheng
{"title":"低级别子宫内膜间质肉瘤自发性破裂1例及影像学回顾。","authors":"Jiali Jin, Yangyang Liu, Haiyan Cheng","doi":"10.2147/CMAR.S531483","DOIUrl":null,"url":null,"abstract":"<p><strong>Background: </strong>Endometrial stromal sarcoma (ESS) is a malignant tumor that develops from the mesenchymal tissue of the uterus. However, spontaneous rupture of ESS is uncommon. This case emphasizes the rarity of spontaneous rupture and the difficulties in preoperative diagnostic imaging, serving as a foundation for clinical diagnosis and prognosis.</p><p><strong>Case description: </strong>A 52-year-old woman presented at the clinic with right lower abdominal pain, persisting for over 5 days, significantly impacting her daily activities. Self-examination revealed a palpable abdominal mass. Ultrasonography identified an inhomogeneous echogenic mass within the uterus, initially suspected to be a uterine fibroid. Subsequent magnetic resonance imaging indicated uterine fibroids with tumor rupture and bleeding. The pathological assessment confirmed low-grade ESS. The patient underwent a total hysterectomy and double adnexectomy and is now 4 months postoperative and surviving well.</p><p><strong>Conclusion: </strong>This case highlights the significance of diagnosing spontaneous rupture of ESS and emphasizes the need for increased awareness and additional research on this uncommon condition. Our results enhance comprehension of spontaneous ESS rupture and underscore the critical need for further investigation into optimal treatment approaches.</p>","PeriodicalId":9479,"journal":{"name":"Cancer Management and Research","volume":"17 ","pages":"1555-1561"},"PeriodicalIF":2.6000,"publicationDate":"2025-08-05","publicationTypes":"Journal Article","fieldsOfStudy":null,"isOpenAccess":false,"openAccessPdf":"https://www.ncbi.nlm.nih.gov/pmc/articles/PMC12335269/pdf/","citationCount":"0","resultStr":"{\"title\":\"Spontaneous Rupture of a Low-Grade Endometrial Stromal Sarcoma: A Case Report and Review of Imaging.\",\"authors\":\"Jiali Jin, Yangyang Liu, Haiyan Cheng\",\"doi\":\"10.2147/CMAR.S531483\",\"DOIUrl\":null,\"url\":null,\"abstract\":\"<p><strong>Background: </strong>Endometrial stromal sarcoma (ESS) is a malignant tumor that develops from the mesenchymal tissue of the uterus. However, spontaneous rupture of ESS is uncommon. This case emphasizes the rarity of spontaneous rupture and the difficulties in preoperative diagnostic imaging, serving as a foundation for clinical diagnosis and prognosis.</p><p><strong>Case description: </strong>A 52-year-old woman presented at the clinic with right lower abdominal pain, persisting for over 5 days, significantly impacting her daily activities. Self-examination revealed a palpable abdominal mass. Ultrasonography identified an inhomogeneous echogenic mass within the uterus, initially suspected to be a uterine fibroid. Subsequent magnetic resonance imaging indicated uterine fibroids with tumor rupture and bleeding. The pathological assessment confirmed low-grade ESS. The patient underwent a total hysterectomy and double adnexectomy and is now 4 months postoperative and surviving well.</p><p><strong>Conclusion: </strong>This case highlights the significance of diagnosing spontaneous rupture of ESS and emphasizes the need for increased awareness and additional research on this uncommon condition. Our results enhance comprehension of spontaneous ESS rupture and underscore the critical need for further investigation into optimal treatment approaches.</p>\",\"PeriodicalId\":9479,\"journal\":{\"name\":\"Cancer Management and Research\",\"volume\":\"17 \",\"pages\":\"1555-1561\"},\"PeriodicalIF\":2.6000,\"publicationDate\":\"2025-08-05\",\"publicationTypes\":\"Journal Article\",\"fieldsOfStudy\":null,\"isOpenAccess\":false,\"openAccessPdf\":\"https://www.ncbi.nlm.nih.gov/pmc/articles/PMC12335269/pdf/\",\"citationCount\":\"0\",\"resultStr\":null,\"platform\":\"Semanticscholar\",\"paperid\":null,\"PeriodicalName\":\"Cancer Management and Research\",\"FirstCategoryId\":\"3\",\"ListUrlMain\":\"https://doi.org/10.2147/CMAR.S531483\",\"RegionNum\":4,\"RegionCategory\":\"医学\",\"ArticlePicture\":[],\"TitleCN\":null,\"AbstractTextCN\":null,\"PMCID\":null,\"EPubDate\":\"2025/1/1 0:00:00\",\"PubModel\":\"eCollection\",\"JCR\":\"Q3\",\"JCRName\":\"ONCOLOGY\",\"Score\":null,\"Total\":0}","platform":"Semanticscholar","paperid":null,"PeriodicalName":"Cancer Management and Research","FirstCategoryId":"3","ListUrlMain":"https://doi.org/10.2147/CMAR.S531483","RegionNum":4,"RegionCategory":"医学","ArticlePicture":[],"TitleCN":null,"AbstractTextCN":null,"PMCID":null,"EPubDate":"2025/1/1 0:00:00","PubModel":"eCollection","JCR":"Q3","JCRName":"ONCOLOGY","Score":null,"Total":0}
引用次数: 0

摘要

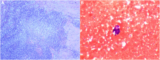
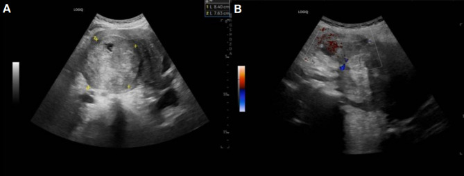
背景:子宫内膜间质肉瘤(ESS)是一种发生于子宫间质组织的恶性肿瘤。然而,ESS自发性破裂并不常见。本病例强调自发性破裂的罕见性和术前影像学诊断的困难,是临床诊断和预后的基础。病例描述:52岁女性,因右下腹痛就诊,持续5天以上,严重影响日常活动。自检发现腹部可触及肿块。超声检查发现子宫内不均匀回声肿块,最初怀疑为子宫肌瘤。随后的磁共振成像显示子宫肌瘤伴肿瘤破裂和出血。病理检查证实为低级别ESS。患者接受了全子宫切除术和双附件切除术,术后4个月存活良好。结论:本病例强调了诊断ESS自发性破裂的重要性,并强调了对这种罕见疾病提高认识和进一步研究的必要性。我们的结果增强了对自发性ESS破裂的理解,并强调了进一步研究最佳治疗方法的迫切需要。
本文章由计算机程序翻译,如有差异,请以英文原文为准。

Spontaneous Rupture of a Low-Grade Endometrial Stromal Sarcoma: A Case Report and Review of Imaging.

Spontaneous Rupture of a Low-Grade Endometrial Stromal Sarcoma: A Case Report and Review of Imaging.

Spontaneous Rupture of a Low-Grade Endometrial Stromal Sarcoma: A Case Report and Review of Imaging.

Spontaneous Rupture of a Low-Grade Endometrial Stromal Sarcoma: A Case Report and Review of Imaging.

Background: Endometrial stromal sarcoma (ESS) is a malignant tumor that develops from the mesenchymal tissue of the uterus. However, spontaneous rupture of ESS is uncommon. This case emphasizes the rarity of spontaneous rupture and the difficulties in preoperative diagnostic imaging, serving as a foundation for clinical diagnosis and prognosis.

Case description: A 52-year-old woman presented at the clinic with right lower abdominal pain, persisting for over 5 days, significantly impacting her daily activities. Self-examination revealed a palpable abdominal mass. Ultrasonography identified an inhomogeneous echogenic mass within the uterus, initially suspected to be a uterine fibroid. Subsequent magnetic resonance imaging indicated uterine fibroids with tumor rupture and bleeding. The pathological assessment confirmed low-grade ESS. The patient underwent a total hysterectomy and double adnexectomy and is now 4 months postoperative and surviving well.

Conclusion: This case highlights the significance of diagnosing spontaneous rupture of ESS and emphasizes the need for increased awareness and additional research on this uncommon condition. Our results enhance comprehension of spontaneous ESS rupture and underscore the critical need for further investigation into optimal treatment approaches.

求助全文
通过发布文献求助,成功后即可免费获取论文全文。 去求助
来源期刊
Cancer Management and Research
Cancer Management and Research Medicine-Oncology
CiteScore
7.40
自引率
0.00%
发文量
448
审稿时长
16 weeks
期刊介绍: Cancer Management and Research is an international, peer reviewed, open access journal focusing on cancer research and the optimal use of preventative and integrated treatment interventions to achieve improved outcomes, enhanced survival, and quality of life for cancer patients. Specific topics covered in the journal include: ◦Epidemiology, detection and screening ◦Cellular research and biomarkers ◦Identification of biotargets and agents with novel mechanisms of action ◦Optimal clinical use of existing anticancer agents, including combination therapies ◦Radiation and surgery ◦Palliative care ◦Patient adherence, quality of life, satisfaction The journal welcomes submitted papers covering original research, basic science, clinical & epidemiological studies, reviews & evaluations, guidelines, expert opinion and commentary, and case series that shed novel insights on a disease or disease subtype.
×
引用
GB/T 7714-2015
复制
MLA
复制
APA
复制
导出至
BibTeX EndNote RefMan NoteFirst NoteExpress
×
提示
您的信息不完整,为了账户安全,请先补充。
现在去补充
×
提示
您因"违规操作"
具体请查看互助需知
我知道了
×
提示
确定
请完成安全验证×
copy
已复制链接
快去分享给好友吧!
我知道了
右上角分享
点击右上角分享
0
联系我们:info@booksci.cn Book学术提供免费学术资源搜索服务,方便国内外学者检索中英文文献。致力于提供最便捷和优质的服务体验。 Copyright © 2023 布克学术 All rights reserved.
京ICP备2023020795号-1
ghs 京公网安备 11010802042870号
Book学术文献互助
Book学术文献互助群
群 号:604180095
Book学术官方微信