输尿管结石自发逆行迁移:罕见现象。

IF 1.6 Q2 MEDICINE, GENERAL & INTERNAL
Annals of Medicine and Surgery Pub Date : 2025-07-22 eCollection Date: 2025-08-01 DOI:10.1097/MS9.0000000000003606
Tayyaba Kauser, Zain Ul Abdin, Wishah Urwatil Wusqa, Munna William, Momena Rashid, Rejina Chhetri
{"title":"输尿管结石自发逆行迁移:罕见现象。","authors":"Tayyaba Kauser, Zain Ul Abdin, Wishah Urwatil Wusqa, Munna William, Momena Rashid, Rejina Chhetri","doi":"10.1097/MS9.0000000000003606","DOIUrl":null,"url":null,"abstract":"<p><strong>Introduction: </strong>While spontaneous anterograde passage of ureteric stones is well documented, retrograde migration-movement of the stone back towards the kidney is exceedingly rare. The mechanisms underlying this unusual migration pattern remain poorly understood, with only a few cases reported in the literature.</p><p><strong>Case presentation: </strong>A 23-year-old female presented with acute left flank pain, imaging for which revealed a calculus in the left proximal ureter. A repeat imaging after a few weeks of medical management revealed a calculus of the same dimension at the lower pole calyx of the left kidney, with no calculus present at the initial site, indicating retrograde migration of the calculus. The patient subsequently underwent extracorporeal shockwave lithotripsy with complete stone clearance.</p><p><strong>Discussion: </strong>Retrograde migration of ureteric calculi is a rare phenomenon. Proposed mechanisms include reverse ureteral peristalsis, proximal ureteral dilation, antiperistaltic waves due to irritant stimuli, and the effects of non-steroidal anti-inflammatory drugs (NSAIDs) on ureteric peristalsis. Awareness of this occurrence is important for appropriate diagnosis and management, as retrograde migration can affect treatment planning and outcomes.</p><p><strong>Conclusions: </strong>The case highlights an unusual presentation of urolithiasis that radiologists and urologists should be aware of as this can have significant implications for clinical management.</p>","PeriodicalId":8025,"journal":{"name":"Annals of Medicine and Surgery","volume":"87 8","pages":"5330-5332"},"PeriodicalIF":1.6000,"publicationDate":"2025-07-22","publicationTypes":"Journal Article","fieldsOfStudy":null,"isOpenAccess":false,"openAccessPdf":"https://www.ncbi.nlm.nih.gov/pmc/articles/PMC12333757/pdf/","citationCount":"0","resultStr":"{\"title\":\"Spontaneous retrograde migration of a ureteric calculus: a rare phenomenon.\",\"authors\":\"Tayyaba Kauser, Zain Ul Abdin, Wishah Urwatil Wusqa, Munna William, Momena Rashid, Rejina Chhetri\",\"doi\":\"10.1097/MS9.0000000000003606\",\"DOIUrl\":null,\"url\":null,\"abstract\":\"<p><strong>Introduction: </strong>While spontaneous anterograde passage of ureteric stones is well documented, retrograde migration-movement of the stone back towards the kidney is exceedingly rare. The mechanisms underlying this unusual migration pattern remain poorly understood, with only a few cases reported in the literature.</p><p><strong>Case presentation: </strong>A 23-year-old female presented with acute left flank pain, imaging for which revealed a calculus in the left proximal ureter. A repeat imaging after a few weeks of medical management revealed a calculus of the same dimension at the lower pole calyx of the left kidney, with no calculus present at the initial site, indicating retrograde migration of the calculus. The patient subsequently underwent extracorporeal shockwave lithotripsy with complete stone clearance.</p><p><strong>Discussion: </strong>Retrograde migration of ureteric calculi is a rare phenomenon. Proposed mechanisms include reverse ureteral peristalsis, proximal ureteral dilation, antiperistaltic waves due to irritant stimuli, and the effects of non-steroidal anti-inflammatory drugs (NSAIDs) on ureteric peristalsis. Awareness of this occurrence is important for appropriate diagnosis and management, as retrograde migration can affect treatment planning and outcomes.</p><p><strong>Conclusions: </strong>The case highlights an unusual presentation of urolithiasis that radiologists and urologists should be aware of as this can have significant implications for clinical management.</p>\",\"PeriodicalId\":8025,\"journal\":{\"name\":\"Annals of Medicine and Surgery\",\"volume\":\"87 8\",\"pages\":\"5330-5332\"},\"PeriodicalIF\":1.6000,\"publicationDate\":\"2025-07-22\",\"publicationTypes\":\"Journal Article\",\"fieldsOfStudy\":null,\"isOpenAccess\":false,\"openAccessPdf\":\"https://www.ncbi.nlm.nih.gov/pmc/articles/PMC12333757/pdf/\",\"citationCount\":\"0\",\"resultStr\":null,\"platform\":\"Semanticscholar\",\"paperid\":null,\"PeriodicalName\":\"Annals of Medicine and Surgery\",\"FirstCategoryId\":\"1085\",\"ListUrlMain\":\"https://doi.org/10.1097/MS9.0000000000003606\",\"RegionNum\":0,\"RegionCategory\":null,\"ArticlePicture\":[],\"TitleCN\":null,\"AbstractTextCN\":null,\"PMCID\":null,\"EPubDate\":\"2025/8/1 0:00:00\",\"PubModel\":\"eCollection\",\"JCR\":\"Q2\",\"JCRName\":\"MEDICINE, GENERAL & INTERNAL\",\"Score\":null,\"Total\":0}","platform":"Semanticscholar","paperid":null,"PeriodicalName":"Annals of Medicine and Surgery","FirstCategoryId":"1085","ListUrlMain":"https://doi.org/10.1097/MS9.0000000000003606","RegionNum":0,"RegionCategory":null,"ArticlePicture":[],"TitleCN":null,"AbstractTextCN":null,"PMCID":null,"EPubDate":"2025/8/1 0:00:00","PubModel":"eCollection","JCR":"Q2","JCRName":"MEDICINE, GENERAL & INTERNAL","Score":null,"Total":0}
引用次数: 0

摘要

导读:虽然输尿管结石的自发顺行通过有很好的文献记载,但结石向肾脏的逆行迁移是极其罕见的。这种不寻常的迁移模式背后的机制仍然知之甚少,文献中只有少数病例报道。病例介绍:一位23岁的女性表现为急性左侧疼痛,影像学显示左侧输尿管近端有结石。医学治疗几周后复查成像显示左肾下极肾盏有相同尺寸的结石,初始部位未见结石,提示结石逆行迁移。患者随后接受体外冲击波碎石术,结石完全清除。讨论:输尿管结石逆行迁移是一种罕见的现象。提出的机制包括输尿管反向蠕动、输尿管近端扩张、刺激引起的抗蠕动波以及非甾体抗炎药(NSAIDs)对输尿管蠕动的影响。意识到这种情况的发生对于适当的诊断和管理很重要,因为逆行迁移会影响治疗计划和结果。结论:该病例突出了一个不寻常的尿石症的表现,放射科医生和泌尿科医生应该意识到,因为这可能对临床管理有重要意义。
本文章由计算机程序翻译,如有差异,请以英文原文为准。

Spontaneous retrograde migration of a ureteric calculus: a rare phenomenon.

Spontaneous retrograde migration of a ureteric calculus: a rare phenomenon.

Spontaneous retrograde migration of a ureteric calculus: a rare phenomenon.

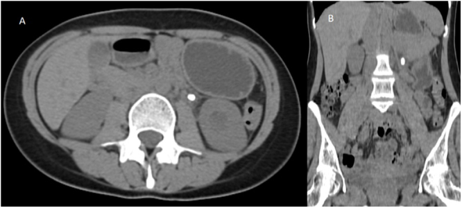
Introduction: While spontaneous anterograde passage of ureteric stones is well documented, retrograde migration-movement of the stone back towards the kidney is exceedingly rare. The mechanisms underlying this unusual migration pattern remain poorly understood, with only a few cases reported in the literature.

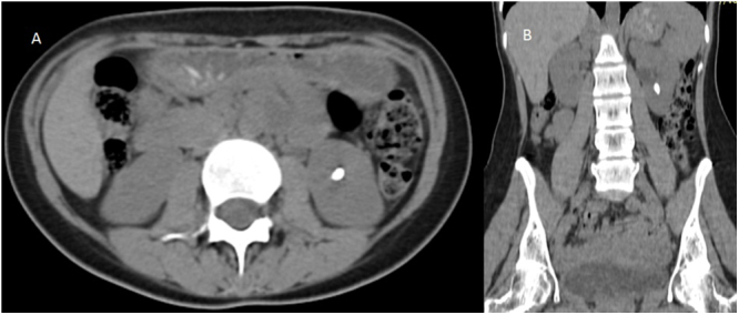
Case presentation: A 23-year-old female presented with acute left flank pain, imaging for which revealed a calculus in the left proximal ureter. A repeat imaging after a few weeks of medical management revealed a calculus of the same dimension at the lower pole calyx of the left kidney, with no calculus present at the initial site, indicating retrograde migration of the calculus. The patient subsequently underwent extracorporeal shockwave lithotripsy with complete stone clearance.

Discussion: Retrograde migration of ureteric calculi is a rare phenomenon. Proposed mechanisms include reverse ureteral peristalsis, proximal ureteral dilation, antiperistaltic waves due to irritant stimuli, and the effects of non-steroidal anti-inflammatory drugs (NSAIDs) on ureteric peristalsis. Awareness of this occurrence is important for appropriate diagnosis and management, as retrograde migration can affect treatment planning and outcomes.

Conclusions: The case highlights an unusual presentation of urolithiasis that radiologists and urologists should be aware of as this can have significant implications for clinical management.

求助全文
通过发布文献求助,成功后即可免费获取论文全文。 去求助
来源期刊
Annals of Medicine and Surgery
Annals of Medicine and Surgery MEDICINE, GENERAL & INTERNAL-
自引率
5.90%
发文量
1665
×
引用
GB/T 7714-2015
复制
MLA
复制
APA
复制
导出至
BibTeX EndNote RefMan NoteFirst NoteExpress
×
提示
您的信息不完整,为了账户安全,请先补充。
现在去补充
×
提示
您因"违规操作"
具体请查看互助需知
我知道了
×
提示
确定
请完成安全验证×
copy
已复制链接
快去分享给好友吧!
我知道了
右上角分享
点击右上角分享
0
联系我们:info@booksci.cn Book学术提供免费学术资源搜索服务,方便国内外学者检索中英文文献。致力于提供最便捷和优质的服务体验。 Copyright © 2023 布克学术 All rights reserved.
京ICP备2023020795号-1
ghs 京公网安备 11010802042870号
Book学术文献互助
Book学术文献互助群
群 号:604180095
Book学术官方微信