盆腔脾植入道格拉斯袋模拟假子宫内膜异位症的症状:一个病例报告研究。

IF 1.6 Q2 MEDICINE, GENERAL & INTERNAL
Annals of Medicine and Surgery Pub Date : 2025-07-22 eCollection Date: 2025-08-01 DOI:10.1097/MS9.0000000000003486
Azamosadat Mousavi, Farzaneh Golfam, Aghdas Ebadi Jamkhane, Soheila Sarmadi
{"title":"盆腔脾植入道格拉斯袋模拟假子宫内膜异位症的症状:一个病例报告研究。","authors":"Azamosadat Mousavi, Farzaneh Golfam, Aghdas Ebadi Jamkhane, Soheila Sarmadi","doi":"10.1097/MS9.0000000000003486","DOIUrl":null,"url":null,"abstract":"<p><strong>Introduction and importance: </strong>Pelvic splenosis is characterized by the autotransplantation of spleen fragments following tissue rupture. Since the fragments are mostly implanted into the Douglas pouch, endometriosis-like symptoms are developed, clinically. Thus, this case report demonstrated a successful surgical procedure for pelvic splenosis management.</p><p><strong>Clinical presentation: </strong>A 43-year-old woman with chronic pelvic pain was admitted to hospital. Medical history showed a car accident (at the age of 5 years) and severe spleen trauma followed by splenectomy. Patient assessment and sonography procedure revealed the presence of retrouterine mass with primary endometriosis diagnosis. Exploratory laparotomy was applied and total hysterectomy and bilateral salpingo-oophorectomy were conducted. The mass was excised and histopathologic assessment revealed the splenosis with pseudo-endometriosis symptoms.</p><p><strong>Clinical discussion: </strong>Severe spleen trauma followed by rupture can potentially lead to displaced splenic fragments. Since these tissue segments implant in Douglas pouch, anatomical relations can lead to chronic pelvic symptoms misdiagnosed with endometriosis.</p><p><strong>Conclusion: </strong>Thus, to prevent misdiagnosis and ineffective interventions, it is recommended for clinicians to consider the presence of pelvic splenosis in women with a history of acute splenic trauma and subsequent splenectomy.</p>","PeriodicalId":8025,"journal":{"name":"Annals of Medicine and Surgery","volume":"87 8","pages":"5234-5237"},"PeriodicalIF":1.6000,"publicationDate":"2025-07-22","publicationTypes":"Journal Article","fieldsOfStudy":null,"isOpenAccess":false,"openAccessPdf":"https://www.ncbi.nlm.nih.gov/pmc/articles/PMC12333705/pdf/","citationCount":"0","resultStr":"{\"title\":\"Pelvic splenosis implanted in Douglas pouch mimics pseudo-endometriosis symptoms: a case report study.\",\"authors\":\"Azamosadat Mousavi, Farzaneh Golfam, Aghdas Ebadi Jamkhane, Soheila Sarmadi\",\"doi\":\"10.1097/MS9.0000000000003486\",\"DOIUrl\":null,\"url\":null,\"abstract\":\"<p><strong>Introduction and importance: </strong>Pelvic splenosis is characterized by the autotransplantation of spleen fragments following tissue rupture. Since the fragments are mostly implanted into the Douglas pouch, endometriosis-like symptoms are developed, clinically. Thus, this case report demonstrated a successful surgical procedure for pelvic splenosis management.</p><p><strong>Clinical presentation: </strong>A 43-year-old woman with chronic pelvic pain was admitted to hospital. Medical history showed a car accident (at the age of 5 years) and severe spleen trauma followed by splenectomy. Patient assessment and sonography procedure revealed the presence of retrouterine mass with primary endometriosis diagnosis. Exploratory laparotomy was applied and total hysterectomy and bilateral salpingo-oophorectomy were conducted. The mass was excised and histopathologic assessment revealed the splenosis with pseudo-endometriosis symptoms.</p><p><strong>Clinical discussion: </strong>Severe spleen trauma followed by rupture can potentially lead to displaced splenic fragments. Since these tissue segments implant in Douglas pouch, anatomical relations can lead to chronic pelvic symptoms misdiagnosed with endometriosis.</p><p><strong>Conclusion: </strong>Thus, to prevent misdiagnosis and ineffective interventions, it is recommended for clinicians to consider the presence of pelvic splenosis in women with a history of acute splenic trauma and subsequent splenectomy.</p>\",\"PeriodicalId\":8025,\"journal\":{\"name\":\"Annals of Medicine and Surgery\",\"volume\":\"87 8\",\"pages\":\"5234-5237\"},\"PeriodicalIF\":1.6000,\"publicationDate\":\"2025-07-22\",\"publicationTypes\":\"Journal Article\",\"fieldsOfStudy\":null,\"isOpenAccess\":false,\"openAccessPdf\":\"https://www.ncbi.nlm.nih.gov/pmc/articles/PMC12333705/pdf/\",\"citationCount\":\"0\",\"resultStr\":null,\"platform\":\"Semanticscholar\",\"paperid\":null,\"PeriodicalName\":\"Annals of Medicine and Surgery\",\"FirstCategoryId\":\"1085\",\"ListUrlMain\":\"https://doi.org/10.1097/MS9.0000000000003486\",\"RegionNum\":0,\"RegionCategory\":null,\"ArticlePicture\":[],\"TitleCN\":null,\"AbstractTextCN\":null,\"PMCID\":null,\"EPubDate\":\"2025/8/1 0:00:00\",\"PubModel\":\"eCollection\",\"JCR\":\"Q2\",\"JCRName\":\"MEDICINE, GENERAL & INTERNAL\",\"Score\":null,\"Total\":0}","platform":"Semanticscholar","paperid":null,"PeriodicalName":"Annals of Medicine and Surgery","FirstCategoryId":"1085","ListUrlMain":"https://doi.org/10.1097/MS9.0000000000003486","RegionNum":0,"RegionCategory":null,"ArticlePicture":[],"TitleCN":null,"AbstractTextCN":null,"PMCID":null,"EPubDate":"2025/8/1 0:00:00","PubModel":"eCollection","JCR":"Q2","JCRName":"MEDICINE, GENERAL & INTERNAL","Score":null,"Total":0}
引用次数: 0

摘要

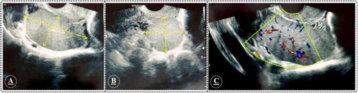
盆腔脾病的特点是在组织破裂后自体移植脾脏碎片。由于碎片大多植入道格拉斯育袋,临床上出现子宫内膜异位症样症状。因此,这个病例报告展示了一个成功的手术治疗盆腔脾症。临床表现:一名43岁女性因慢性盆腔疼痛入院。病史显示车祸(5岁)和严重脾脏损伤,随后脾切除术。患者评估及超声检查显示子宫内膜肿块,诊断为原发性子宫内膜异位症。行剖腹探查术,全子宫切除术和双侧输卵管-卵巢切除术。切除肿物后病理检查显示为假性子宫内膜异位症。临床讨论:严重的脾损伤后破裂可能导致脾碎片移位。由于这些组织段植入道格拉斯袋,解剖关系可导致慢性盆腔症状误诊为子宫内膜异位症。结论:因此,为了防止误诊和无效的干预,建议临床医生在有急性脾外伤和脾切除术的女性中考虑盆腔脾萎缩的存在。
本文章由计算机程序翻译,如有差异,请以英文原文为准。

Pelvic splenosis implanted in Douglas pouch mimics pseudo-endometriosis symptoms: a case report study.

Pelvic splenosis implanted in Douglas pouch mimics pseudo-endometriosis symptoms: a case report study.

Pelvic splenosis implanted in Douglas pouch mimics pseudo-endometriosis symptoms: a case report study.

Pelvic splenosis implanted in Douglas pouch mimics pseudo-endometriosis symptoms: a case report study.

Introduction and importance: Pelvic splenosis is characterized by the autotransplantation of spleen fragments following tissue rupture. Since the fragments are mostly implanted into the Douglas pouch, endometriosis-like symptoms are developed, clinically. Thus, this case report demonstrated a successful surgical procedure for pelvic splenosis management.

Clinical presentation: A 43-year-old woman with chronic pelvic pain was admitted to hospital. Medical history showed a car accident (at the age of 5 years) and severe spleen trauma followed by splenectomy. Patient assessment and sonography procedure revealed the presence of retrouterine mass with primary endometriosis diagnosis. Exploratory laparotomy was applied and total hysterectomy and bilateral salpingo-oophorectomy were conducted. The mass was excised and histopathologic assessment revealed the splenosis with pseudo-endometriosis symptoms.

Clinical discussion: Severe spleen trauma followed by rupture can potentially lead to displaced splenic fragments. Since these tissue segments implant in Douglas pouch, anatomical relations can lead to chronic pelvic symptoms misdiagnosed with endometriosis.

Conclusion: Thus, to prevent misdiagnosis and ineffective interventions, it is recommended for clinicians to consider the presence of pelvic splenosis in women with a history of acute splenic trauma and subsequent splenectomy.

求助全文
通过发布文献求助,成功后即可免费获取论文全文。 去求助
来源期刊
Annals of Medicine and Surgery
Annals of Medicine and Surgery MEDICINE, GENERAL & INTERNAL-
自引率
5.90%
发文量
1665
×
引用
GB/T 7714-2015
复制
MLA
复制
APA
复制
导出至
BibTeX EndNote RefMan NoteFirst NoteExpress
×
提示
您的信息不完整,为了账户安全,请先补充。
现在去补充
×
提示
您因"违规操作"
具体请查看互助需知
我知道了
×
提示
确定
请完成安全验证×
copy
已复制链接
快去分享给好友吧!
我知道了
右上角分享
点击右上角分享
0
联系我们:info@booksci.cn Book学术提供免费学术资源搜索服务,方便国内外学者检索中英文文献。致力于提供最便捷和优质的服务体验。 Copyright © 2023 布克学术 All rights reserved.
京ICP备2023020795号-1
ghs 京公网安备 11010802042870号
Book学术文献互助
Book学术文献互助群
群 号:604180095
Book学术官方微信