10岁女童爆发前冠状内吸收一例:回顾与病例报告。

IF 3.1 Q1 DENTISTRY, ORAL SURGERY & MEDICINE
Frontiers in oral health Pub Date : 2025-07-24 eCollection Date: 2025-01-01 DOI:10.3389/froh.2025.1624190
Laresh Naresh Mistry, Shreyas Neelkanthan, Anusree Basu
{"title":"10岁女童爆发前冠状内吸收一例:回顾与病例报告。","authors":"Laresh Naresh Mistry, Shreyas Neelkanthan, Anusree Basu","doi":"10.3389/froh.2025.1624190","DOIUrl":null,"url":null,"abstract":"<p><p>Pre-Eruptive Intracoronal Resorption (PEIR) is a pathological condition characterized by the resorption of dental tissues within the crown of an unerupted tooth. It is typically asymptomatic and is most often identified incidentally during radiographic examinations. The exact etiology of PEIR remains unclear, although various theories have been proposed, including developmental disturbances, trauma, and genetic factors. This article aims to provide a comprehensive review of PEIR, following the Case Report (CARE) checklist, to enhance understanding and awareness of this dental anomaly.</p>","PeriodicalId":94016,"journal":{"name":"Frontiers in oral health","volume":"6 ","pages":"1624190"},"PeriodicalIF":3.1000,"publicationDate":"2025-07-24","publicationTypes":"Journal Article","fieldsOfStudy":null,"isOpenAccess":false,"openAccessPdf":"https://www.ncbi.nlm.nih.gov/pmc/articles/PMC12328390/pdf/","citationCount":"0","resultStr":"{\"title\":\"Pre-eruptive intracoronal resorption in a 10-year-old girl: a review and case report.\",\"authors\":\"Laresh Naresh Mistry, Shreyas Neelkanthan, Anusree Basu\",\"doi\":\"10.3389/froh.2025.1624190\",\"DOIUrl\":null,\"url\":null,\"abstract\":\"<p><p>Pre-Eruptive Intracoronal Resorption (PEIR) is a pathological condition characterized by the resorption of dental tissues within the crown of an unerupted tooth. It is typically asymptomatic and is most often identified incidentally during radiographic examinations. The exact etiology of PEIR remains unclear, although various theories have been proposed, including developmental disturbances, trauma, and genetic factors. This article aims to provide a comprehensive review of PEIR, following the Case Report (CARE) checklist, to enhance understanding and awareness of this dental anomaly.</p>\",\"PeriodicalId\":94016,\"journal\":{\"name\":\"Frontiers in oral health\",\"volume\":\"6 \",\"pages\":\"1624190\"},\"PeriodicalIF\":3.1000,\"publicationDate\":\"2025-07-24\",\"publicationTypes\":\"Journal Article\",\"fieldsOfStudy\":null,\"isOpenAccess\":false,\"openAccessPdf\":\"https://www.ncbi.nlm.nih.gov/pmc/articles/PMC12328390/pdf/\",\"citationCount\":\"0\",\"resultStr\":null,\"platform\":\"Semanticscholar\",\"paperid\":null,\"PeriodicalName\":\"Frontiers in oral health\",\"FirstCategoryId\":\"1085\",\"ListUrlMain\":\"https://doi.org/10.3389/froh.2025.1624190\",\"RegionNum\":0,\"RegionCategory\":null,\"ArticlePicture\":[],\"TitleCN\":null,\"AbstractTextCN\":null,\"PMCID\":null,\"EPubDate\":\"2025/1/1 0:00:00\",\"PubModel\":\"eCollection\",\"JCR\":\"Q1\",\"JCRName\":\"DENTISTRY, ORAL SURGERY & MEDICINE\",\"Score\":null,\"Total\":0}","platform":"Semanticscholar","paperid":null,"PeriodicalName":"Frontiers in oral health","FirstCategoryId":"1085","ListUrlMain":"https://doi.org/10.3389/froh.2025.1624190","RegionNum":0,"RegionCategory":null,"ArticlePicture":[],"TitleCN":null,"AbstractTextCN":null,"PMCID":null,"EPubDate":"2025/1/1 0:00:00","PubModel":"eCollection","JCR":"Q1","JCRName":"DENTISTRY, ORAL SURGERY & MEDICINE","Score":null,"Total":0}
引用次数: 0

摘要

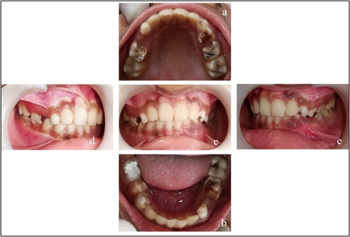
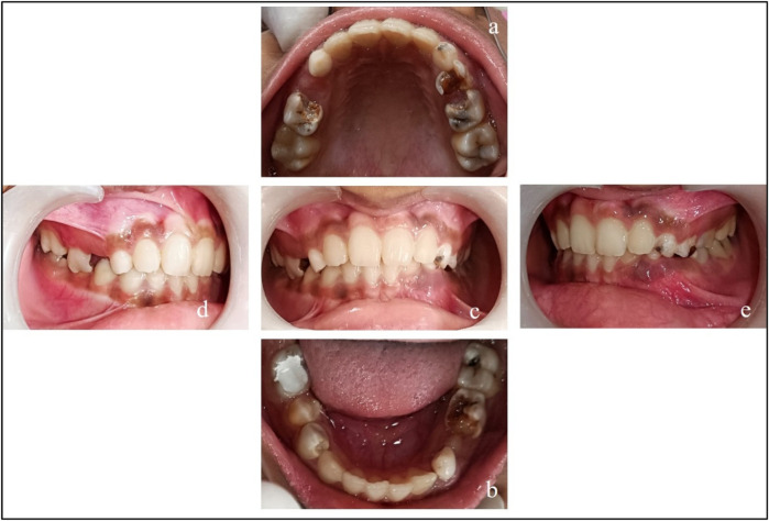
爆发前冠状内吸收(PEIR)是一种病理状况,其特征是牙冠内的牙齿组织的吸收。它通常是无症状的,通常在放射检查中偶然发现。PEIR的确切病因尚不清楚,尽管提出了各种理论,包括发育障碍、创伤和遗传因素。本文旨在根据病例报告(CARE)清单,对PEIR进行全面的回顾,以提高对这种牙齿异常的理解和认识。
本文章由计算机程序翻译,如有差异,请以英文原文为准。

Pre-eruptive intracoronal resorption in a 10-year-old girl: a review and case report.

Pre-eruptive intracoronal resorption in a 10-year-old girl: a review and case report.

Pre-eruptive intracoronal resorption in a 10-year-old girl: a review and case report.

Pre-eruptive intracoronal resorption in a 10-year-old girl: a review and case report.

Pre-eruptive intracoronal resorption in a 10-year-old girl: a review and case report.

Pre-eruptive intracoronal resorption in a 10-year-old girl: a review and case report.

Pre-eruptive intracoronal resorption in a 10-year-old girl: a review and case report.

Pre-Eruptive Intracoronal Resorption (PEIR) is a pathological condition characterized by the resorption of dental tissues within the crown of an unerupted tooth. It is typically asymptomatic and is most often identified incidentally during radiographic examinations. The exact etiology of PEIR remains unclear, although various theories have been proposed, including developmental disturbances, trauma, and genetic factors. This article aims to provide a comprehensive review of PEIR, following the Case Report (CARE) checklist, to enhance understanding and awareness of this dental anomaly.

求助全文
通过发布文献求助,成功后即可免费获取论文全文。 去求助
来源期刊
CiteScore
3.30
自引率
0.00%
发文量
0
审稿时长
13 weeks
×
引用
GB/T 7714-2015
复制
MLA
复制
APA
复制
导出至
BibTeX EndNote RefMan NoteFirst NoteExpress
×
提示
您的信息不完整,为了账户安全,请先补充。
现在去补充
×
提示
您因"违规操作"
具体请查看互助需知
我知道了
×
提示
确定
请完成安全验证×
copy
已复制链接
快去分享给好友吧!
我知道了
右上角分享
点击右上角分享
0
联系我们:info@booksci.cn Book学术提供免费学术资源搜索服务,方便国内外学者检索中英文文献。致力于提供最便捷和优质的服务体验。 Copyright © 2023 布克学术 All rights reserved.
京ICP备2023020795号-1
ghs 京公网安备 11010802042870号
Book学术文献互助
Book学术文献互助群
群 号:604180095
Book学术官方微信