低级别纤维黏液样肉瘤,罕见部位的罕见肿瘤:病例报告及文献复习。

Discoveries (Craiova, Romania) Pub Date : 2025-06-30 eCollection Date: 2025-04-01 DOI:10.15190/d.2025.8
Rasheeda Mohamedali, Nilay Nishith, Rahul Raj, Aishwarya Sharma, Puneet Kaur Somal, Ravikiran N Pawar, Sankalp Sancheti, Deepander Singh Rathore
{"title":"低级别纤维黏液样肉瘤,罕见部位的罕见肿瘤:病例报告及文献复习。","authors":"Rasheeda Mohamedali, Nilay Nishith, Rahul Raj, Aishwarya Sharma, Puneet Kaur Somal, Ravikiran N Pawar, Sankalp Sancheti, Deepander Singh Rathore","doi":"10.15190/d.2025.8","DOIUrl":null,"url":null,"abstract":"<p><p>Low-grade fibromyxoid sarcoma (LGFMS) is a rare fibroblastic neoplasm with an indolent clinical course. It is a distinctive subclass of soft tissue sarcoma with metastasizing potential and sometimes a long interval between tumor presentation and metastasis. This case report describes a 60-year-old female with an unresectable pleural LGFMS initially misdiagnosed as malignant mesothelioma. Pleural LGFMS remains exceedingly rare, with only four prior cases reported. Given its histologically benign appearance, LGFMS poses diagnostic challenges and risks of local recurrence or metastasis. This case underscores the importance of accurate diagnosis using MUC4 and it explores endocrine therapy as a promising palliative option for unresectable LGFMS, contributing valuable insights into management strategies for this rare entity.</p>","PeriodicalId":72829,"journal":{"name":"Discoveries (Craiova, Romania)","volume":"13 1","pages":"e209"},"PeriodicalIF":0.0000,"publicationDate":"2025-06-30","publicationTypes":"Journal Article","fieldsOfStudy":null,"isOpenAccess":false,"openAccessPdf":"https://www.ncbi.nlm.nih.gov/pmc/articles/PMC12330965/pdf/","citationCount":"0","resultStr":"{\"title\":\"Low-grade fibromyxoid sarcoma, a rare tumor at an unusual site: Case report and review of literature.\",\"authors\":\"Rasheeda Mohamedali, Nilay Nishith, Rahul Raj, Aishwarya Sharma, Puneet Kaur Somal, Ravikiran N Pawar, Sankalp Sancheti, Deepander Singh Rathore\",\"doi\":\"10.15190/d.2025.8\",\"DOIUrl\":null,\"url\":null,\"abstract\":\"<p><p>Low-grade fibromyxoid sarcoma (LGFMS) is a rare fibroblastic neoplasm with an indolent clinical course. It is a distinctive subclass of soft tissue sarcoma with metastasizing potential and sometimes a long interval between tumor presentation and metastasis. This case report describes a 60-year-old female with an unresectable pleural LGFMS initially misdiagnosed as malignant mesothelioma. Pleural LGFMS remains exceedingly rare, with only four prior cases reported. Given its histologically benign appearance, LGFMS poses diagnostic challenges and risks of local recurrence or metastasis. This case underscores the importance of accurate diagnosis using MUC4 and it explores endocrine therapy as a promising palliative option for unresectable LGFMS, contributing valuable insights into management strategies for this rare entity.</p>\",\"PeriodicalId\":72829,\"journal\":{\"name\":\"Discoveries (Craiova, Romania)\",\"volume\":\"13 1\",\"pages\":\"e209\"},\"PeriodicalIF\":0.0000,\"publicationDate\":\"2025-06-30\",\"publicationTypes\":\"Journal Article\",\"fieldsOfStudy\":null,\"isOpenAccess\":false,\"openAccessPdf\":\"https://www.ncbi.nlm.nih.gov/pmc/articles/PMC12330965/pdf/\",\"citationCount\":\"0\",\"resultStr\":null,\"platform\":\"Semanticscholar\",\"paperid\":null,\"PeriodicalName\":\"Discoveries (Craiova, Romania)\",\"FirstCategoryId\":\"1085\",\"ListUrlMain\":\"https://doi.org/10.15190/d.2025.8\",\"RegionNum\":0,\"RegionCategory\":null,\"ArticlePicture\":[],\"TitleCN\":null,\"AbstractTextCN\":null,\"PMCID\":null,\"EPubDate\":\"2025/4/1 0:00:00\",\"PubModel\":\"eCollection\",\"JCR\":\"\",\"JCRName\":\"\",\"Score\":null,\"Total\":0}","platform":"Semanticscholar","paperid":null,"PeriodicalName":"Discoveries (Craiova, Romania)","FirstCategoryId":"1085","ListUrlMain":"https://doi.org/10.15190/d.2025.8","RegionNum":0,"RegionCategory":null,"ArticlePicture":[],"TitleCN":null,"AbstractTextCN":null,"PMCID":null,"EPubDate":"2025/4/1 0:00:00","PubModel":"eCollection","JCR":"","JCRName":"","Score":null,"Total":0}
引用次数: 0

摘要

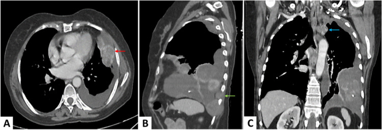
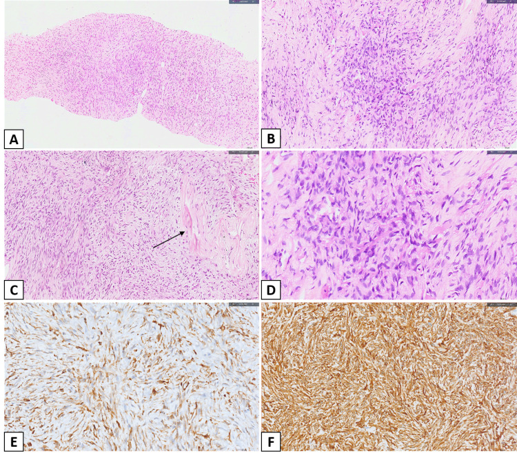
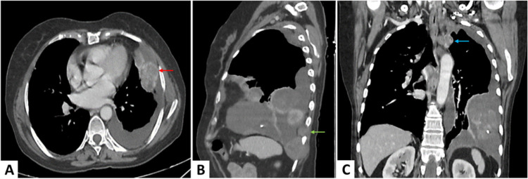
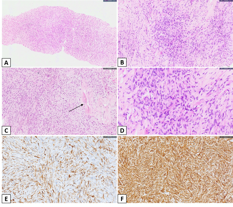
摘要低级别纤维黏液样肉瘤(LGFMS)是一种罕见的纤维母细胞肿瘤,临床病程缓慢。它是一种独特的软组织肉瘤亚类,具有转移潜力,有时肿瘤出现和转移之间有很长的间隔。本病例报告描述了一名60岁女性,患有不可切除的胸膜LGFMS,最初被误诊为恶性间皮瘤。胸膜LGFMS非常罕见,仅报道过4例。鉴于其组织学上的良性外观,LGFMS带来了诊断挑战和局部复发或转移的风险。该病例强调了使用MUC4准确诊断的重要性,并探讨了内分泌治疗作为不可切除的LGFMS的一种有希望的姑息治疗选择,为这种罕见的实体的管理策略提供了有价值的见解。
本文章由计算机程序翻译,如有差异,请以英文原文为准。

Low-grade fibromyxoid sarcoma, a rare tumor at an unusual site: Case report and review of literature.

Low-grade fibromyxoid sarcoma, a rare tumor at an unusual site: Case report and review of literature.

Low-grade fibromyxoid sarcoma, a rare tumor at an unusual site: Case report and review of literature.

Low-grade fibromyxoid sarcoma, a rare tumor at an unusual site: Case report and review of literature.

Low-grade fibromyxoid sarcoma, a rare tumor at an unusual site: Case report and review of literature.

Low-grade fibromyxoid sarcoma (LGFMS) is a rare fibroblastic neoplasm with an indolent clinical course. It is a distinctive subclass of soft tissue sarcoma with metastasizing potential and sometimes a long interval between tumor presentation and metastasis. This case report describes a 60-year-old female with an unresectable pleural LGFMS initially misdiagnosed as malignant mesothelioma. Pleural LGFMS remains exceedingly rare, with only four prior cases reported. Given its histologically benign appearance, LGFMS poses diagnostic challenges and risks of local recurrence or metastasis. This case underscores the importance of accurate diagnosis using MUC4 and it explores endocrine therapy as a promising palliative option for unresectable LGFMS, contributing valuable insights into management strategies for this rare entity.

求助全文
通过发布文献求助,成功后即可免费获取论文全文。 去求助
来源期刊
自引率
0.00%
发文量
0
×
引用
GB/T 7714-2015
复制
MLA
复制
APA
复制
导出至
BibTeX EndNote RefMan NoteFirst NoteExpress
×
提示
您的信息不完整,为了账户安全,请先补充。
现在去补充
×
提示
您因"违规操作"
具体请查看互助需知
我知道了
×
提示
确定
请完成安全验证×
copy
已复制链接
快去分享给好友吧!
我知道了
右上角分享
点击右上角分享
0
联系我们:info@booksci.cn Book学术提供免费学术资源搜索服务,方便国内外学者检索中英文文献。致力于提供最便捷和优质的服务体验。 Copyright © 2023 布克学术 All rights reserved.
京ICP备2023020795号-1
ghs 京公网安备 11010802042870号
Book学术文献互助
Book学术文献互助群
群 号:604180095
Book学术官方微信