嗜铬细胞瘤所致Takotsubo心肌病1例。

IF 1 Q4 PUBLIC, ENVIRONMENTAL & OCCUPATIONAL HEALTH
Pan African Medical Journal Pub Date : 2025-06-10 eCollection Date: 2025-01-01 DOI:10.11604/pamj.2025.51.39.47439
Fatima Toulali, Afrah El Kaissi, Nada Ait Kassi, Hiba Kouira, Kaoutar Rifai, Hinde Iraqi, Mohammed El Hassan Gharbi
{"title":"嗜铬细胞瘤所致Takotsubo心肌病1例。","authors":"Fatima Toulali, Afrah El Kaissi, Nada Ait Kassi, Hiba Kouira, Kaoutar Rifai, Hinde Iraqi, Mohammed El Hassan Gharbi","doi":"10.11604/pamj.2025.51.39.47439","DOIUrl":null,"url":null,"abstract":"<p><p>Takotsubo cardiomyopathy is typically triggered by severe adrenergic surges secondary to various stress factors. In rare cases, excessive catecholamine secretion due to a pheochromocytoma may be the cause. It is typically manifested by dyskinesia of the apex of the left ventricle. In this case report, we describe an atypical case of takotsubo cardiomyopathy, characterized by hypokinesia of the apical and mid-segments of the inferior wall of the left ventricle, which led to the discovery of an underlying pheochromocytoma. Although this association is rare, it is crucial to consider it, especially in atypical forms, as once the tumor is resected, the phenomenon becomes reversible.</p>","PeriodicalId":48190,"journal":{"name":"Pan African Medical Journal","volume":"51 ","pages":"39"},"PeriodicalIF":1.0000,"publicationDate":"2025-06-10","publicationTypes":"Journal Article","fieldsOfStudy":null,"isOpenAccess":false,"openAccessPdf":"https://www.ncbi.nlm.nih.gov/pmc/articles/PMC12329457/pdf/","citationCount":"0","resultStr":"{\"title\":\"Takotsubo cardiomyopathy due to a pheochromocytoma: a case report.\",\"authors\":\"Fatima Toulali, Afrah El Kaissi, Nada Ait Kassi, Hiba Kouira, Kaoutar Rifai, Hinde Iraqi, Mohammed El Hassan Gharbi\",\"doi\":\"10.11604/pamj.2025.51.39.47439\",\"DOIUrl\":null,\"url\":null,\"abstract\":\"<p><p>Takotsubo cardiomyopathy is typically triggered by severe adrenergic surges secondary to various stress factors. In rare cases, excessive catecholamine secretion due to a pheochromocytoma may be the cause. It is typically manifested by dyskinesia of the apex of the left ventricle. In this case report, we describe an atypical case of takotsubo cardiomyopathy, characterized by hypokinesia of the apical and mid-segments of the inferior wall of the left ventricle, which led to the discovery of an underlying pheochromocytoma. Although this association is rare, it is crucial to consider it, especially in atypical forms, as once the tumor is resected, the phenomenon becomes reversible.</p>\",\"PeriodicalId\":48190,\"journal\":{\"name\":\"Pan African Medical Journal\",\"volume\":\"51 \",\"pages\":\"39\"},\"PeriodicalIF\":1.0000,\"publicationDate\":\"2025-06-10\",\"publicationTypes\":\"Journal Article\",\"fieldsOfStudy\":null,\"isOpenAccess\":false,\"openAccessPdf\":\"https://www.ncbi.nlm.nih.gov/pmc/articles/PMC12329457/pdf/\",\"citationCount\":\"0\",\"resultStr\":null,\"platform\":\"Semanticscholar\",\"paperid\":null,\"PeriodicalName\":\"Pan African Medical Journal\",\"FirstCategoryId\":\"1085\",\"ListUrlMain\":\"https://doi.org/10.11604/pamj.2025.51.39.47439\",\"RegionNum\":0,\"RegionCategory\":null,\"ArticlePicture\":[],\"TitleCN\":null,\"AbstractTextCN\":null,\"PMCID\":null,\"EPubDate\":\"2025/1/1 0:00:00\",\"PubModel\":\"eCollection\",\"JCR\":\"Q4\",\"JCRName\":\"PUBLIC, ENVIRONMENTAL & OCCUPATIONAL HEALTH\",\"Score\":null,\"Total\":0}","platform":"Semanticscholar","paperid":null,"PeriodicalName":"Pan African Medical Journal","FirstCategoryId":"1085","ListUrlMain":"https://doi.org/10.11604/pamj.2025.51.39.47439","RegionNum":0,"RegionCategory":null,"ArticlePicture":[],"TitleCN":null,"AbstractTextCN":null,"PMCID":null,"EPubDate":"2025/1/1 0:00:00","PubModel":"eCollection","JCR":"Q4","JCRName":"PUBLIC, ENVIRONMENTAL & OCCUPATIONAL HEALTH","Score":null,"Total":0}
引用次数: 0

摘要

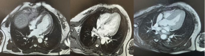
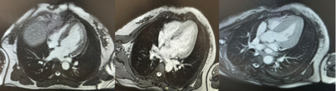
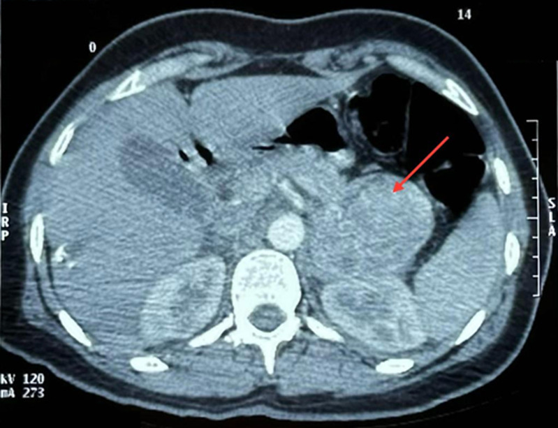
Takotsubo心肌病通常由继发于各种应激因素的严重肾上腺素能激增引发。在罕见的情况下,过量的儿茶酚胺分泌由于嗜铬细胞瘤可能是原因。典型表现为左心室尖部运动障碍。在这个病例报告中,我们描述了一个不典型的takotsubo心肌病病例,其特征是左心室下壁顶端和中间段运动不足,导致发现潜在的嗜铬细胞瘤。虽然这种关联是罕见的,但考虑它是至关重要的,特别是在非典型的形式,因为一旦肿瘤被切除,这种现象是可逆的。
本文章由计算机程序翻译,如有差异,请以英文原文为准。

Takotsubo cardiomyopathy due to a pheochromocytoma: a case report.

Takotsubo cardiomyopathy due to a pheochromocytoma: a case report.

Takotsubo cardiomyopathy due to a pheochromocytoma: a case report.

Takotsubo cardiomyopathy due to a pheochromocytoma: a case report.

Takotsubo cardiomyopathy due to a pheochromocytoma: a case report.

Takotsubo cardiomyopathy due to a pheochromocytoma: a case report.

Takotsubo cardiomyopathy due to a pheochromocytoma: a case report.

Takotsubo cardiomyopathy is typically triggered by severe adrenergic surges secondary to various stress factors. In rare cases, excessive catecholamine secretion due to a pheochromocytoma may be the cause. It is typically manifested by dyskinesia of the apex of the left ventricle. In this case report, we describe an atypical case of takotsubo cardiomyopathy, characterized by hypokinesia of the apical and mid-segments of the inferior wall of the left ventricle, which led to the discovery of an underlying pheochromocytoma. Although this association is rare, it is crucial to consider it, especially in atypical forms, as once the tumor is resected, the phenomenon becomes reversible.

求助全文
通过发布文献求助,成功后即可免费获取论文全文。 去求助
来源期刊
Pan African Medical Journal
Pan African Medical Journal PUBLIC, ENVIRONMENTAL & OCCUPATIONAL HEALTH-
CiteScore
1.80
自引率
0.00%
发文量
691
×
引用
GB/T 7714-2015
复制
MLA
复制
APA
复制
导出至
BibTeX EndNote RefMan NoteFirst NoteExpress
×
提示
您的信息不完整,为了账户安全,请先补充。
现在去补充
×
提示
您因"违规操作"
具体请查看互助需知
我知道了
×
提示
确定
请完成安全验证×
copy
已复制链接
快去分享给好友吧!
我知道了
右上角分享
点击右上角分享
0
联系我们:info@booksci.cn Book学术提供免费学术资源搜索服务,方便国内外学者检索中英文文献。致力于提供最便捷和优质的服务体验。 Copyright © 2023 布克学术 All rights reserved.
京ICP备2023020795号-1
ghs 京公网安备 11010802042870号
Book学术文献互助
Book学术文献互助群
群 号:604180095
Book学术官方微信