尽管面临各种威胁,但肾脏万岁:一份病例报告。

IF 1 Q4 PUBLIC, ENVIRONMENTAL & OCCUPATIONAL HEALTH
Pan African Medical Journal Pub Date : 2025-06-09 eCollection Date: 2025-01-01 DOI:10.11604/pamj.2025.51.35.47605
Kubra Kaynar, Buse Misir, Huri Cihan Ataberk, Sevdegül Mungan, Ümit Çobanoğlu
{"title":"尽管面临各种威胁,但肾脏万岁:一份病例报告。","authors":"Kubra Kaynar, Buse Misir, Huri Cihan Ataberk, Sevdegül Mungan, Ümit Çobanoğlu","doi":"10.11604/pamj.2025.51.35.47605","DOIUrl":null,"url":null,"abstract":"<p><p>Kidneys are functionally affected by the diseases of other organs. Here, we present an elderly predialysis patient with a functioning kidney for 10 years of nephrological follow-up despite many comorbidities. A 75-year-old male patient with a medical history of hypertension for 15 years and 60 pack years of cigarette smoking, was diagnosed as muscle invasive bladder cancer (MIBC) and synchronous centrally located clear cell renal cell carcinoma (ccRCC) in the left kidney. At admission, the patient had an Estimated Glomerular Filtration Rate (eGFR) (CKD-EPI-cre) of 54mL/min/1.73m<sup>2</sup>, after left nephrectomy eGFR of the patient decreased to 35 mL/min/1.73m<sup>2</sup>. After ten years of follow-up, the patient's right kidney had been functional with a eGFR of 24 mL/min/1.73m<sup>2</sup> despite radical cystectomy with urinary diversion, radical nephrectomy, heavy smoking, [cardiorenal syndrome, chronic obstructive pulmonary disease, and hypertension. It is well known that comorbidities such as hypertension, smoking, cancers, infections, pulmonary and heart diseases contribute to irreversible kidney damage and are additive to decreasing kidney function. Appropriate and early diagnosis and treatment of these comorbidities permit healthy aging of the kidneys without the need for dialysis.</p>","PeriodicalId":48190,"journal":{"name":"Pan African Medical Journal","volume":"51 ","pages":"35"},"PeriodicalIF":1.0000,"publicationDate":"2025-06-09","publicationTypes":"Journal Article","fieldsOfStudy":null,"isOpenAccess":false,"openAccessPdf":"https://www.ncbi.nlm.nih.gov/pmc/articles/PMC12329455/pdf/","citationCount":"0","resultStr":"{\"title\":\"Long live the kidney despite every threats: a case report.\",\"authors\":\"Kubra Kaynar, Buse Misir, Huri Cihan Ataberk, Sevdegül Mungan, Ümit Çobanoğlu\",\"doi\":\"10.11604/pamj.2025.51.35.47605\",\"DOIUrl\":null,\"url\":null,\"abstract\":\"<p><p>Kidneys are functionally affected by the diseases of other organs. Here, we present an elderly predialysis patient with a functioning kidney for 10 years of nephrological follow-up despite many comorbidities. A 75-year-old male patient with a medical history of hypertension for 15 years and 60 pack years of cigarette smoking, was diagnosed as muscle invasive bladder cancer (MIBC) and synchronous centrally located clear cell renal cell carcinoma (ccRCC) in the left kidney. At admission, the patient had an Estimated Glomerular Filtration Rate (eGFR) (CKD-EPI-cre) of 54mL/min/1.73m<sup>2</sup>, after left nephrectomy eGFR of the patient decreased to 35 mL/min/1.73m<sup>2</sup>. After ten years of follow-up, the patient's right kidney had been functional with a eGFR of 24 mL/min/1.73m<sup>2</sup> despite radical cystectomy with urinary diversion, radical nephrectomy, heavy smoking, [cardiorenal syndrome, chronic obstructive pulmonary disease, and hypertension. It is well known that comorbidities such as hypertension, smoking, cancers, infections, pulmonary and heart diseases contribute to irreversible kidney damage and are additive to decreasing kidney function. Appropriate and early diagnosis and treatment of these comorbidities permit healthy aging of the kidneys without the need for dialysis.</p>\",\"PeriodicalId\":48190,\"journal\":{\"name\":\"Pan African Medical Journal\",\"volume\":\"51 \",\"pages\":\"35\"},\"PeriodicalIF\":1.0000,\"publicationDate\":\"2025-06-09\",\"publicationTypes\":\"Journal Article\",\"fieldsOfStudy\":null,\"isOpenAccess\":false,\"openAccessPdf\":\"https://www.ncbi.nlm.nih.gov/pmc/articles/PMC12329455/pdf/\",\"citationCount\":\"0\",\"resultStr\":null,\"platform\":\"Semanticscholar\",\"paperid\":null,\"PeriodicalName\":\"Pan African Medical Journal\",\"FirstCategoryId\":\"1085\",\"ListUrlMain\":\"https://doi.org/10.11604/pamj.2025.51.35.47605\",\"RegionNum\":0,\"RegionCategory\":null,\"ArticlePicture\":[],\"TitleCN\":null,\"AbstractTextCN\":null,\"PMCID\":null,\"EPubDate\":\"2025/1/1 0:00:00\",\"PubModel\":\"eCollection\",\"JCR\":\"Q4\",\"JCRName\":\"PUBLIC, ENVIRONMENTAL & OCCUPATIONAL HEALTH\",\"Score\":null,\"Total\":0}","platform":"Semanticscholar","paperid":null,"PeriodicalName":"Pan African Medical Journal","FirstCategoryId":"1085","ListUrlMain":"https://doi.org/10.11604/pamj.2025.51.35.47605","RegionNum":0,"RegionCategory":null,"ArticlePicture":[],"TitleCN":null,"AbstractTextCN":null,"PMCID":null,"EPubDate":"2025/1/1 0:00:00","PubModel":"eCollection","JCR":"Q4","JCRName":"PUBLIC, ENVIRONMENTAL & OCCUPATIONAL HEALTH","Score":null,"Total":0}
引用次数: 0

摘要

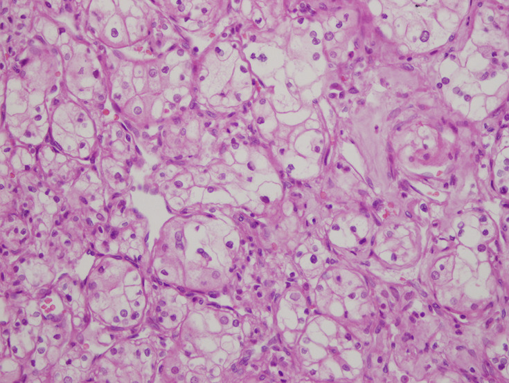
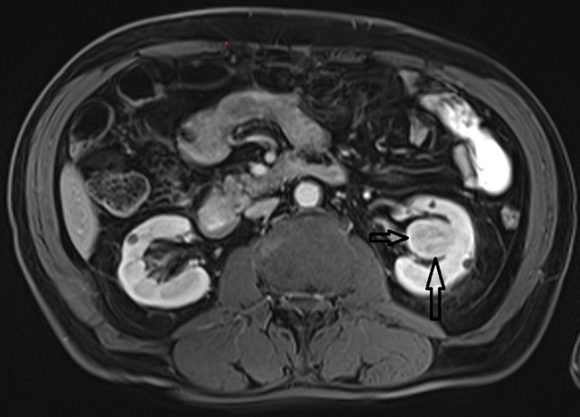
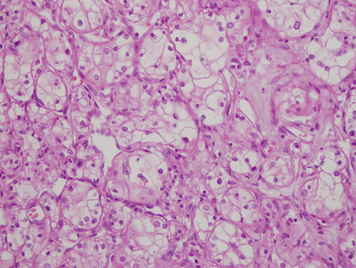
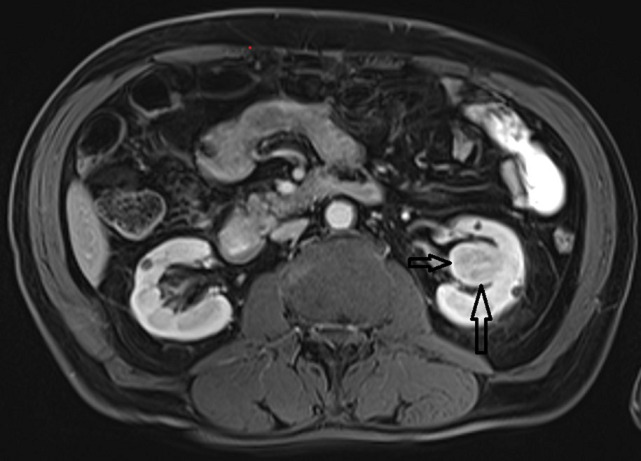
肾脏的功能受到其他器官疾病的影响。在这里,我们提出了一个肾功能正常的老年透析前患者,尽管有许多合并症,但肾脏学随访10年。患者男性,75岁,高血压病史15年,吸烟60包年,诊断为肌肉浸润性膀胱癌(MIBC)和左肾同步中央定位透明细胞肾细胞癌(ccRCC)。入院时患者估计肾小球滤过率(Glomerular Filtration Rate, eGFR) (CKD-EPI-cre)为54mL/min/1.73m2,左肾切除术后患者的eGFR降至35ml /min/1.73m2。经过10年的随访,患者的右肾功能正常,eGFR为24 mL/min/1.73m2,尽管进行了根治性膀胱切除术并尿路转移、根治性肾切除术、重度吸烟、心肾综合征、慢性阻塞性肺疾病和高血压。众所周知,高血压、吸烟、癌症、感染、肺病和心脏病等合并症会造成不可逆的肾脏损害,并会导致肾功能下降。这些合并症的适当和早期诊断和治疗可以使肾脏健康老化,而不需要透析。
本文章由计算机程序翻译,如有差异,请以英文原文为准。

Long live the kidney despite every threats: a case report.

Long live the kidney despite every threats: a case report.

Long live the kidney despite every threats: a case report.

Long live the kidney despite every threats: a case report.

Long live the kidney despite every threats: a case report.

Long live the kidney despite every threats: a case report.

Long live the kidney despite every threats: a case report.

Kidneys are functionally affected by the diseases of other organs. Here, we present an elderly predialysis patient with a functioning kidney for 10 years of nephrological follow-up despite many comorbidities. A 75-year-old male patient with a medical history of hypertension for 15 years and 60 pack years of cigarette smoking, was diagnosed as muscle invasive bladder cancer (MIBC) and synchronous centrally located clear cell renal cell carcinoma (ccRCC) in the left kidney. At admission, the patient had an Estimated Glomerular Filtration Rate (eGFR) (CKD-EPI-cre) of 54mL/min/1.73m2, after left nephrectomy eGFR of the patient decreased to 35 mL/min/1.73m2. After ten years of follow-up, the patient's right kidney had been functional with a eGFR of 24 mL/min/1.73m2 despite radical cystectomy with urinary diversion, radical nephrectomy, heavy smoking, [cardiorenal syndrome, chronic obstructive pulmonary disease, and hypertension. It is well known that comorbidities such as hypertension, smoking, cancers, infections, pulmonary and heart diseases contribute to irreversible kidney damage and are additive to decreasing kidney function. Appropriate and early diagnosis and treatment of these comorbidities permit healthy aging of the kidneys without the need for dialysis.

求助全文
通过发布文献求助,成功后即可免费获取论文全文。 去求助
来源期刊
Pan African Medical Journal
Pan African Medical Journal PUBLIC, ENVIRONMENTAL & OCCUPATIONAL HEALTH-
CiteScore
1.80
自引率
0.00%
发文量
691
×
引用
GB/T 7714-2015
复制
MLA
复制
APA
复制
导出至
BibTeX EndNote RefMan NoteFirst NoteExpress
×
提示
您的信息不完整,为了账户安全,请先补充。
现在去补充
×
提示
您因"违规操作"
具体请查看互助需知
我知道了
×
提示
确定
请完成安全验证×
copy
已复制链接
快去分享给好友吧!
我知道了
右上角分享
点击右上角分享
0
联系我们:info@booksci.cn Book学术提供免费学术资源搜索服务,方便国内外学者检索中英文文献。致力于提供最便捷和优质的服务体验。 Copyright © 2023 布克学术 All rights reserved.
京ICP备2023020795号-1
ghs 京公网安备 11010802042870号
Book学术文献互助
Book学术文献互助群
群 号:604180095
Book学术官方微信