常规上肠内窥镜在预测幽门螺杆菌感染相关组织病理学特征中的价值:喀麦隆消化不良门诊患者的内窥镜检查与组织学结果的比较研究

IF 1.5 Q3 GASTROENTEROLOGY & HEPATOLOGY
JGH Open Pub Date : 2025-08-06 eCollection Date: 2025-08-01 DOI:10.1002/jgh3.70222
Laure Brigitte Kouitcheu Mabeku, Lionel Danny Tali Nguefak, Ghislaine Florice Faujo Nintewoue, Stanley Ngimgoh Ngemeshe, Jude-Marcel Nzoume Nsope Mengang, Ghislaine Ngatcha, Carole Marlyse Menzy Moungo-Ndjole, Paul Talla
{"title":"常规上肠内窥镜在预测幽门螺杆菌感染相关组织病理学特征中的价值:喀麦隆消化不良门诊患者的内窥镜检查与组织学结果的比较研究","authors":"Laure Brigitte Kouitcheu Mabeku, Lionel Danny Tali Nguefak, Ghislaine Florice Faujo Nintewoue, Stanley Ngimgoh Ngemeshe, Jude-Marcel Nzoume Nsope Mengang, Ghislaine Ngatcha, Carole Marlyse Menzy Moungo-Ndjole, Paul Talla","doi":"10.1002/jgh3.70222","DOIUrl":null,"url":null,"abstract":"<p><strong>Background: </strong>The aim of this study was to determine the prevalence of <i>Helicobacter pylori</i> in relation to endoscopic and histopathology features and to find out the correlation between the two diagnostic methods.</p><p><strong>Methods: </strong>Gastroduodenal biopsy specimens were collected from 475 dyspeptic outpatients who attended the Department of Gastroenterology in reference hospitals in Cameroon. The study was approved by the local and national ethical committees on human health research in Cameroon. Informed consent was obtained from all subjects before inclusion. A full endoscopic evaluation of the esophagus, stomach, and duodenum was performed in all patients. Biopsy samples were collected from each participant for <i>H. pylori</i> detection using histology and rapid urease test. Hematoxylin and eosin stain was used for histomorphological features examination.</p><p><strong>Results: </strong><i>Helicobacter pylori</i> was found in 57.89% of the dyspeptic outpatients. In endoscopy, 40.00% of our patients had gastritis, of which 58.42% were <i>H. pylori</i> infected. Erythematous-exudative gastritis was the most common gastritis type (46.00%) and also the most common gastritis type found among <i>H. pylori</i>-infected subjects (43.1%). Histologically, chronic gastritis was the most common histological finding recorded (46.11%) and the abnormality with the highest rate of <i>H. pylori</i> infection (44.00%). The highest rate of <i>H. pylori</i> infection was found among patients with moderate neutrophil activity (46.18%). Gastritis types were significantly correlated with histological findings (<i>p</i> = 0.016). Endoscopic findings were significantly correlated with neutrophil activity (<i>p</i> = 0.0005).</p><p><strong>Conclusion: </strong>The current poor correlation observed between endoscopy and histology findings emphasizes the role of histology in the diagnosis of gastroduodenal pathological features in dyspeptic patients in our context.</p>","PeriodicalId":45861,"journal":{"name":"JGH Open","volume":"9 8","pages":"e70222"},"PeriodicalIF":1.5000,"publicationDate":"2025-08-06","publicationTypes":"Journal Article","fieldsOfStudy":null,"isOpenAccess":false,"openAccessPdf":"https://www.ncbi.nlm.nih.gov/pmc/articles/PMC12329001/pdf/","citationCount":"0","resultStr":"{\"title\":\"Conventional Upper-Intestinal Endoscopy Value in Predicting Histopathological Features Related to <i>Helicobacter pylori</i> Infection: A Comparative Study Between Endoscopy and Histology Findings Among Dyspeptic Outpatients in Cameroon.\",\"authors\":\"Laure Brigitte Kouitcheu Mabeku, Lionel Danny Tali Nguefak, Ghislaine Florice Faujo Nintewoue, Stanley Ngimgoh Ngemeshe, Jude-Marcel Nzoume Nsope Mengang, Ghislaine Ngatcha, Carole Marlyse Menzy Moungo-Ndjole, Paul Talla\",\"doi\":\"10.1002/jgh3.70222\",\"DOIUrl\":null,\"url\":null,\"abstract\":\"<p><strong>Background: </strong>The aim of this study was to determine the prevalence of <i>Helicobacter pylori</i> in relation to endoscopic and histopathology features and to find out the correlation between the two diagnostic methods.</p><p><strong>Methods: </strong>Gastroduodenal biopsy specimens were collected from 475 dyspeptic outpatients who attended the Department of Gastroenterology in reference hospitals in Cameroon. The study was approved by the local and national ethical committees on human health research in Cameroon. Informed consent was obtained from all subjects before inclusion. A full endoscopic evaluation of the esophagus, stomach, and duodenum was performed in all patients. Biopsy samples were collected from each participant for <i>H. pylori</i> detection using histology and rapid urease test. Hematoxylin and eosin stain was used for histomorphological features examination.</p><p><strong>Results: </strong><i>Helicobacter pylori</i> was found in 57.89% of the dyspeptic outpatients. In endoscopy, 40.00% of our patients had gastritis, of which 58.42% were <i>H. pylori</i> infected. Erythematous-exudative gastritis was the most common gastritis type (46.00%) and also the most common gastritis type found among <i>H. pylori</i>-infected subjects (43.1%). Histologically, chronic gastritis was the most common histological finding recorded (46.11%) and the abnormality with the highest rate of <i>H. pylori</i> infection (44.00%). The highest rate of <i>H. pylori</i> infection was found among patients with moderate neutrophil activity (46.18%). Gastritis types were significantly correlated with histological findings (<i>p</i> = 0.016). Endoscopic findings were significantly correlated with neutrophil activity (<i>p</i> = 0.0005).</p><p><strong>Conclusion: </strong>The current poor correlation observed between endoscopy and histology findings emphasizes the role of histology in the diagnosis of gastroduodenal pathological features in dyspeptic patients in our context.</p>\",\"PeriodicalId\":45861,\"journal\":{\"name\":\"JGH Open\",\"volume\":\"9 8\",\"pages\":\"e70222\"},\"PeriodicalIF\":1.5000,\"publicationDate\":\"2025-08-06\",\"publicationTypes\":\"Journal Article\",\"fieldsOfStudy\":null,\"isOpenAccess\":false,\"openAccessPdf\":\"https://www.ncbi.nlm.nih.gov/pmc/articles/PMC12329001/pdf/\",\"citationCount\":\"0\",\"resultStr\":null,\"platform\":\"Semanticscholar\",\"paperid\":null,\"PeriodicalName\":\"JGH Open\",\"FirstCategoryId\":\"1085\",\"ListUrlMain\":\"https://doi.org/10.1002/jgh3.70222\",\"RegionNum\":0,\"RegionCategory\":null,\"ArticlePicture\":[],\"TitleCN\":null,\"AbstractTextCN\":null,\"PMCID\":null,\"EPubDate\":\"2025/8/1 0:00:00\",\"PubModel\":\"eCollection\",\"JCR\":\"Q3\",\"JCRName\":\"GASTROENTEROLOGY & HEPATOLOGY\",\"Score\":null,\"Total\":0}","platform":"Semanticscholar","paperid":null,"PeriodicalName":"JGH Open","FirstCategoryId":"1085","ListUrlMain":"https://doi.org/10.1002/jgh3.70222","RegionNum":0,"RegionCategory":null,"ArticlePicture":[],"TitleCN":null,"AbstractTextCN":null,"PMCID":null,"EPubDate":"2025/8/1 0:00:00","PubModel":"eCollection","JCR":"Q3","JCRName":"GASTROENTEROLOGY & HEPATOLOGY","Score":null,"Total":0}
引用次数: 0

摘要

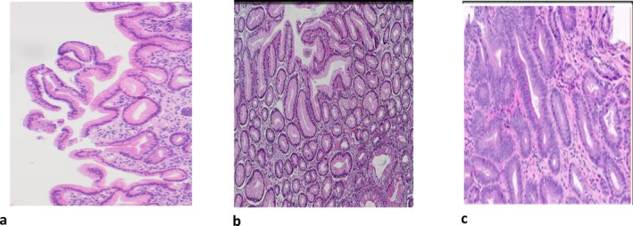
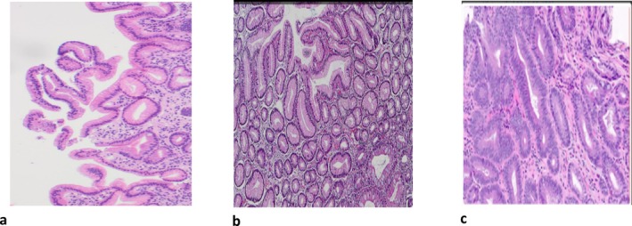
背景:本研究的目的是确定幽门螺杆菌的患病率与内镜和组织病理学特征的关系,并找出两种诊断方法之间的相关性。方法:收集喀麦隆参考医院消化内科就诊的475例消化不良门诊患者的胃十二指肠活检标本。这项研究得到了喀麦隆地方和国家人类健康研究伦理委员会的批准。纳入前获得所有受试者的知情同意。所有患者都进行了食管、胃和十二指肠的全面内镜评估。从每个参与者身上收集活检样本,使用组织学和快速脲酶试验进行幽门螺杆菌检测。采用苏木精和伊红染色进行组织形态学检查。结果:消化性消化不良门诊患者幽门螺杆菌检出率为57.89%。在内窥镜检查中,40.00%的患者有胃炎,其中58.42%为幽门螺杆菌感染。脓肿-渗出性胃炎是最常见的胃炎类型(46.00%),也是幽门螺杆菌感染者中最常见的胃炎类型(43.1%)。组织学上,慢性胃炎是最常见的组织学表现(46.11%),幽门螺杆菌感染的异常发生率最高(44.00%)。中性粒细胞活性中等的患者幽门螺杆菌感染率最高(46.18%)。胃炎类型与组织学表现有显著相关性(p = 0.016)。内镜检查结果与中性粒细胞活性显著相关(p = 0.0005)。结论:目前内镜检查与组织学检查的相关性较差,强调了组织学在消化不良患者胃十二指肠病理特征诊断中的作用。
本文章由计算机程序翻译,如有差异,请以英文原文为准。

Conventional Upper-Intestinal Endoscopy Value in Predicting Histopathological Features Related to <i>Helicobacter pylori</i> Infection: A Comparative Study Between Endoscopy and Histology Findings Among Dyspeptic Outpatients in Cameroon.

Conventional Upper-Intestinal Endoscopy Value in Predicting Histopathological Features Related to <i>Helicobacter pylori</i> Infection: A Comparative Study Between Endoscopy and Histology Findings Among Dyspeptic Outpatients in Cameroon.

Conventional Upper-Intestinal Endoscopy Value in Predicting Histopathological Features Related to Helicobacter pylori Infection: A Comparative Study Between Endoscopy and Histology Findings Among Dyspeptic Outpatients in Cameroon.

Background: The aim of this study was to determine the prevalence of Helicobacter pylori in relation to endoscopic and histopathology features and to find out the correlation between the two diagnostic methods.

Methods: Gastroduodenal biopsy specimens were collected from 475 dyspeptic outpatients who attended the Department of Gastroenterology in reference hospitals in Cameroon. The study was approved by the local and national ethical committees on human health research in Cameroon. Informed consent was obtained from all subjects before inclusion. A full endoscopic evaluation of the esophagus, stomach, and duodenum was performed in all patients. Biopsy samples were collected from each participant for H. pylori detection using histology and rapid urease test. Hematoxylin and eosin stain was used for histomorphological features examination.

Results: Helicobacter pylori was found in 57.89% of the dyspeptic outpatients. In endoscopy, 40.00% of our patients had gastritis, of which 58.42% were H. pylori infected. Erythematous-exudative gastritis was the most common gastritis type (46.00%) and also the most common gastritis type found among H. pylori-infected subjects (43.1%). Histologically, chronic gastritis was the most common histological finding recorded (46.11%) and the abnormality with the highest rate of H. pylori infection (44.00%). The highest rate of H. pylori infection was found among patients with moderate neutrophil activity (46.18%). Gastritis types were significantly correlated with histological findings (p = 0.016). Endoscopic findings were significantly correlated with neutrophil activity (p = 0.0005).

Conclusion: The current poor correlation observed between endoscopy and histology findings emphasizes the role of histology in the diagnosis of gastroduodenal pathological features in dyspeptic patients in our context.

求助全文
通过发布文献求助,成功后即可免费获取论文全文。 去求助
来源期刊
JGH Open
JGH Open GASTROENTEROLOGY & HEPATOLOGY-
CiteScore
3.40
自引率
0.00%
发文量
143
审稿时长
7 weeks
×
引用
GB/T 7714-2015
复制
MLA
复制
APA
复制
导出至
BibTeX EndNote RefMan NoteFirst NoteExpress
×
提示
您的信息不完整,为了账户安全,请先补充。
现在去补充
×
提示
您因"违规操作"
具体请查看互助需知
我知道了
×
提示
确定
请完成安全验证×
copy
已复制链接
快去分享给好友吧!
我知道了
右上角分享
点击右上角分享
0
联系我们:info@booksci.cn Book学术提供免费学术资源搜索服务,方便国内外学者检索中英文文献。致力于提供最便捷和优质的服务体验。 Copyright © 2023 布克学术 All rights reserved.
京ICP备2023020795号-1
ghs 京公网安备 11010802042870号
Book学术文献互助
Book学术文献互助群
群 号:604180095
Book学术官方微信