硬膜下导管注射组织型纤溶酶原因子治疗老年亚急性硬膜下血肿1例报告并文献复习。

Q3 Medicine
Korean Journal of Neurotrauma Pub Date : 2025-07-22 eCollection Date: 2025-07-01 DOI:10.13004/kjnt.2025.21.e25
Dongwook Seo
{"title":"硬膜下导管注射组织型纤溶酶原因子治疗老年亚急性硬膜下血肿1例报告并文献复习。","authors":"Dongwook Seo","doi":"10.13004/kjnt.2025.21.e25","DOIUrl":null,"url":null,"abstract":"<p><p>This report presents an 89-year-old patient with subacute subdural hematoma (SDH) treated with local anesthesia via burr-hole trephination (BHT) and subdural drain placement, followed by liquefaction of the hematoma using the fibrinolytic agent, tissue plasminogen activator (tPA). Initially, the patient presented with acute post-trauma SDH without neurological symptoms, for which conservative treatment was administered. About a week later, the patient developed hemiplegia and progressed to a stuporous state. Radiographic evidence indicated that the subacute SDH had evolved into a chronic stage with an increased mass effect, causing new neurological deficits. Although craniotomy was considered, general anesthesia was not performed at the caregiver's request. After BHT, a subdural catheter was placed, but initial drainage was minimal. tPA was then administered to promote liquefaction and drainage. Follow-up computed tomography of the brain confirmed significant drainage of the hematoma. The patient subsequently recovered consciousness and motor function. This report discusses a less-invasive alternative for managing symptomatic subacute SDH. My approach of combining BHT with fibrinolytic therapy using tPA facilitated effective evacuation of the hematoma with minimal surgical intervention. Here, I present a case where tPA was used, detailing the methodology, imaging findings, and clinical outcomes of fibrinolytic therapy.</p>","PeriodicalId":36879,"journal":{"name":"Korean Journal of Neurotrauma","volume":"21 3","pages":"208-215"},"PeriodicalIF":0.0000,"publicationDate":"2025-07-22","publicationTypes":"Journal Article","fieldsOfStudy":null,"isOpenAccess":false,"openAccessPdf":"https://www.ncbi.nlm.nih.gov/pmc/articles/PMC12325889/pdf/","citationCount":"0","resultStr":"{\"title\":\"Tailored Tissue Plasminogen Factor Injection via Subdural Catheter for Subacute Subdural Hematoma in an Elderly Patient: A Case Report and Literature Review.\",\"authors\":\"Dongwook Seo\",\"doi\":\"10.13004/kjnt.2025.21.e25\",\"DOIUrl\":null,\"url\":null,\"abstract\":\"<p><p>This report presents an 89-year-old patient with subacute subdural hematoma (SDH) treated with local anesthesia via burr-hole trephination (BHT) and subdural drain placement, followed by liquefaction of the hematoma using the fibrinolytic agent, tissue plasminogen activator (tPA). Initially, the patient presented with acute post-trauma SDH without neurological symptoms, for which conservative treatment was administered. About a week later, the patient developed hemiplegia and progressed to a stuporous state. Radiographic evidence indicated that the subacute SDH had evolved into a chronic stage with an increased mass effect, causing new neurological deficits. Although craniotomy was considered, general anesthesia was not performed at the caregiver's request. After BHT, a subdural catheter was placed, but initial drainage was minimal. tPA was then administered to promote liquefaction and drainage. Follow-up computed tomography of the brain confirmed significant drainage of the hematoma. The patient subsequently recovered consciousness and motor function. This report discusses a less-invasive alternative for managing symptomatic subacute SDH. My approach of combining BHT with fibrinolytic therapy using tPA facilitated effective evacuation of the hematoma with minimal surgical intervention. Here, I present a case where tPA was used, detailing the methodology, imaging findings, and clinical outcomes of fibrinolytic therapy.</p>\",\"PeriodicalId\":36879,\"journal\":{\"name\":\"Korean Journal of Neurotrauma\",\"volume\":\"21 3\",\"pages\":\"208-215\"},\"PeriodicalIF\":0.0000,\"publicationDate\":\"2025-07-22\",\"publicationTypes\":\"Journal Article\",\"fieldsOfStudy\":null,\"isOpenAccess\":false,\"openAccessPdf\":\"https://www.ncbi.nlm.nih.gov/pmc/articles/PMC12325889/pdf/\",\"citationCount\":\"0\",\"resultStr\":null,\"platform\":\"Semanticscholar\",\"paperid\":null,\"PeriodicalName\":\"Korean Journal of Neurotrauma\",\"FirstCategoryId\":\"1085\",\"ListUrlMain\":\"https://doi.org/10.13004/kjnt.2025.21.e25\",\"RegionNum\":0,\"RegionCategory\":null,\"ArticlePicture\":[],\"TitleCN\":null,\"AbstractTextCN\":null,\"PMCID\":null,\"EPubDate\":\"2025/7/1 0:00:00\",\"PubModel\":\"eCollection\",\"JCR\":\"Q3\",\"JCRName\":\"Medicine\",\"Score\":null,\"Total\":0}","platform":"Semanticscholar","paperid":null,"PeriodicalName":"Korean Journal of Neurotrauma","FirstCategoryId":"1085","ListUrlMain":"https://doi.org/10.13004/kjnt.2025.21.e25","RegionNum":0,"RegionCategory":null,"ArticlePicture":[],"TitleCN":null,"AbstractTextCN":null,"PMCID":null,"EPubDate":"2025/7/1 0:00:00","PubModel":"eCollection","JCR":"Q3","JCRName":"Medicine","Score":null,"Total":0}
引用次数: 0

摘要

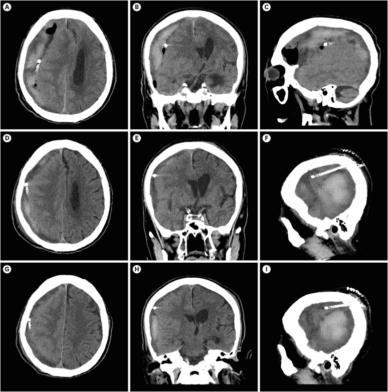
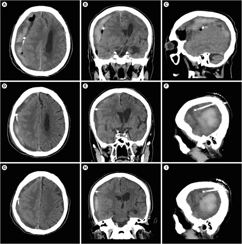
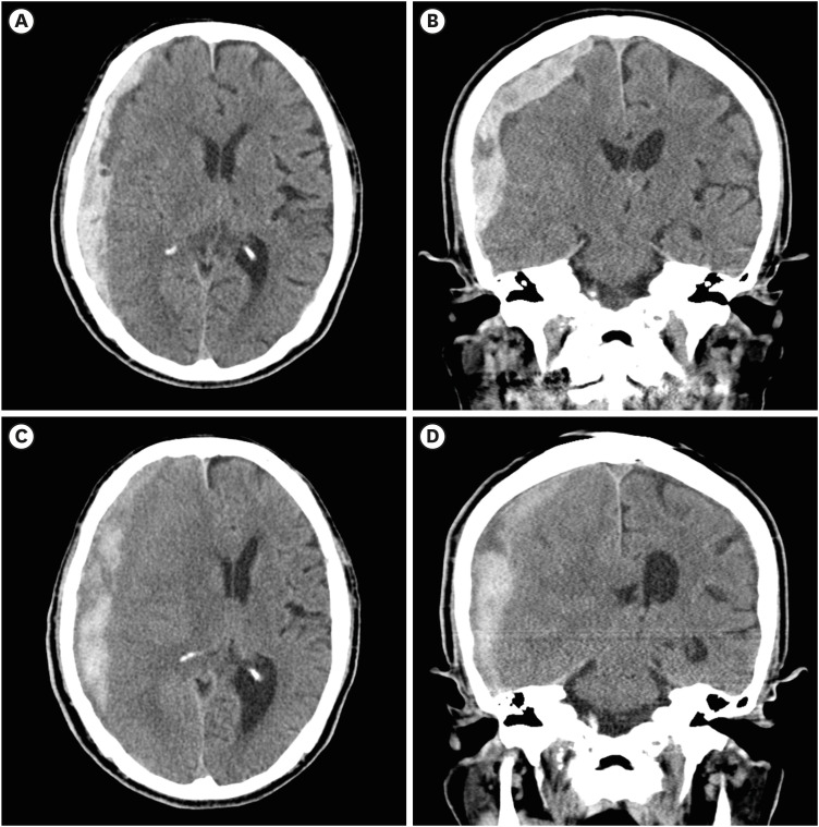
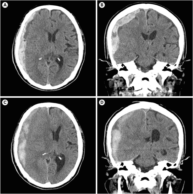
本文报告一位89岁的亚急性硬膜下血肿(SDH)患者,通过钻孔穿刺(BHT)和硬膜下引流放置局部麻醉治疗,随后使用纤维蛋白溶解剂组织纤溶酶原激活剂(tPA)液化血肿。最初,患者表现为急性创伤后SDH,无神经系统症状,给予保守治疗。大约一周后,患者出现偏瘫并进展为昏迷状态。影像学证据显示亚急性SDH已演变为慢性阶段,肿块效应增加,导致新的神经功能缺损。虽然考虑开颅手术,但在护理人员的要求下没有进行全身麻醉。BHT后,放置硬膜下导管,但最初的引流很少。然后给予tPA以促进液化和排水。脑部后续电脑断层扫描证实血肿有明显引流。患者随后恢复意识和运动功能。本报告讨论了一种微创治疗亚急性SDH的方法。我的方法是结合BHT和纤溶治疗,使用tPA,以最小的手术干预有效地清除血肿。在这里,我提出了一个使用tPA的病例,详细介绍了纤维蛋白溶解治疗的方法、影像学发现和临床结果。
本文章由计算机程序翻译,如有差异,请以英文原文为准。

Tailored Tissue Plasminogen Factor Injection via Subdural Catheter for Subacute Subdural Hematoma in an Elderly Patient: A Case Report and Literature Review.

Tailored Tissue Plasminogen Factor Injection via Subdural Catheter for Subacute Subdural Hematoma in an Elderly Patient: A Case Report and Literature Review.

Tailored Tissue Plasminogen Factor Injection via Subdural Catheter for Subacute Subdural Hematoma in an Elderly Patient: A Case Report and Literature Review.

Tailored Tissue Plasminogen Factor Injection via Subdural Catheter for Subacute Subdural Hematoma in an Elderly Patient: A Case Report and Literature Review.

Tailored Tissue Plasminogen Factor Injection via Subdural Catheter for Subacute Subdural Hematoma in an Elderly Patient: A Case Report and Literature Review.

Tailored Tissue Plasminogen Factor Injection via Subdural Catheter for Subacute Subdural Hematoma in an Elderly Patient: A Case Report and Literature Review.

Tailored Tissue Plasminogen Factor Injection via Subdural Catheter for Subacute Subdural Hematoma in an Elderly Patient: A Case Report and Literature Review.

This report presents an 89-year-old patient with subacute subdural hematoma (SDH) treated with local anesthesia via burr-hole trephination (BHT) and subdural drain placement, followed by liquefaction of the hematoma using the fibrinolytic agent, tissue plasminogen activator (tPA). Initially, the patient presented with acute post-trauma SDH without neurological symptoms, for which conservative treatment was administered. About a week later, the patient developed hemiplegia and progressed to a stuporous state. Radiographic evidence indicated that the subacute SDH had evolved into a chronic stage with an increased mass effect, causing new neurological deficits. Although craniotomy was considered, general anesthesia was not performed at the caregiver's request. After BHT, a subdural catheter was placed, but initial drainage was minimal. tPA was then administered to promote liquefaction and drainage. Follow-up computed tomography of the brain confirmed significant drainage of the hematoma. The patient subsequently recovered consciousness and motor function. This report discusses a less-invasive alternative for managing symptomatic subacute SDH. My approach of combining BHT with fibrinolytic therapy using tPA facilitated effective evacuation of the hematoma with minimal surgical intervention. Here, I present a case where tPA was used, detailing the methodology, imaging findings, and clinical outcomes of fibrinolytic therapy.

求助全文
通过发布文献求助,成功后即可免费获取论文全文。 去求助
来源期刊
CiteScore
1.10
自引率
0.00%
发文量
41
×
引用
GB/T 7714-2015
复制
MLA
复制
APA
复制
导出至
BibTeX EndNote RefMan NoteFirst NoteExpress
×
提示
您的信息不完整,为了账户安全,请先补充。
现在去补充
×
提示
您因"违规操作"
具体请查看互助需知
我知道了
×
提示
确定
请完成安全验证×
copy
已复制链接
快去分享给好友吧!
我知道了
右上角分享
点击右上角分享
0
联系我们:info@booksci.cn Book学术提供免费学术资源搜索服务,方便国内外学者检索中英文文献。致力于提供最便捷和优质的服务体验。 Copyright © 2023 布克学术 All rights reserved.
京ICP备2023020795号-1
ghs 京公网安备 11010802042870号
Book学术文献互助
Book学术文献互助群
群 号:604180095
Book学术官方微信