益生菌、肌醇和草药提取物保护多囊卵巢综合征大鼠的抗氧化和细胞因子调节。

IF 0.8 4区 农林科学 Q3 VETERINARY SCIENCES
Veterinarni Medicina Pub Date : 2025-06-27 eCollection Date: 2025-06-01 DOI:10.17221/116/2024-VETMED
Abdelkader Ahmed Zaki, Naif Muqbil Alharbi, Tariq Ibrahim Almundarij, Saleh Mohammed Albarrak
{"title":"益生菌、肌醇和草药提取物保护多囊卵巢综合征大鼠的抗氧化和细胞因子调节。","authors":"Abdelkader Ahmed Zaki, Naif Muqbil Alharbi, Tariq Ibrahim Almundarij, Saleh Mohammed Albarrak","doi":"10.17221/116/2024-VETMED","DOIUrl":null,"url":null,"abstract":"<p><p>This study investigated the pathophysiology of polycystic ovarian syndrome (PCOS) and evaluated the protective effects of various treatments in immature female Wistar rats (<i>N</i> = 48). The rats were divided into 6 groups: Olive oil injection (negative control, G1); testosterone propionate (TP)-induced PCOS (G2); probiotic + TP (G3); myo-inositol (myo-ins) + TP (G4); <i>U. dioica</i> extract + TP (G5); <i>W. somnifera</i> extract + TP (G6). The body weight, body weight gain, and percentage gain were measured weekly and then transformed using the base-10 logarithm (log<sub>10</sub>). TNF-α, IL-4, IL-10, and IL-17 were weekly measured using ELISA kits. Glutathione peroxidase (GSH-Px), superoxide dismutase (SOD), and catalase (CAT) were analysed in the serum and liver extracts. The <i>W. somnifera</i> significantly reduced the TNF-α levels (<i>P</i> < 0.01). The probiotic and myo-ins significantly elevated the IL-10 levels (<i>P</i> < 0.01). Both plant extracts moderately restored the IL-10 levels. The probiotic and <i>U. dioica</i> administration significantly reduced the IL-17 levels (<i>P</i> < 0.01). The <i>W. somnifera</i> administration also decreased the IL-17 levels, though the effect was less pronounced than that of <i>U. dioica</i>. The probiotic, myo-ins, and <i>W. somnifera</i> groups exhibited enhanced CAT activity (<i>P</i> < 0.05). <i>W. somnifera</i> showed significant increases in the SOD and GSH-Px activities (<i>P</i> < 0.01), showing the most dramatic improvement. The use of these four treatments as a monotherapy in this study resulted in different changes. Therefore, further investigation is necessary to evaluate the protective effects of combining duos or trios of these treatments against this disease.</p>","PeriodicalId":23532,"journal":{"name":"Veterinarni Medicina","volume":"70 6","pages":"203-217"},"PeriodicalIF":0.8000,"publicationDate":"2025-06-27","publicationTypes":"Journal Article","fieldsOfStudy":null,"isOpenAccess":false,"openAccessPdf":"https://www.ncbi.nlm.nih.gov/pmc/articles/PMC12327480/pdf/","citationCount":"0","resultStr":"{\"title\":\"Antioxidant and cytokine modulation in PCOS rats protected with probiotics, myo-inositol, and herbal extracts.\",\"authors\":\"Abdelkader Ahmed Zaki, Naif Muqbil Alharbi, Tariq Ibrahim Almundarij, Saleh Mohammed Albarrak\",\"doi\":\"10.17221/116/2024-VETMED\",\"DOIUrl\":null,\"url\":null,\"abstract\":\"<p><p>This study investigated the pathophysiology of polycystic ovarian syndrome (PCOS) and evaluated the protective effects of various treatments in immature female Wistar rats (<i>N</i> = 48). The rats were divided into 6 groups: Olive oil injection (negative control, G1); testosterone propionate (TP)-induced PCOS (G2); probiotic + TP (G3); myo-inositol (myo-ins) + TP (G4); <i>U. dioica</i> extract + TP (G5); <i>W. somnifera</i> extract + TP (G6). The body weight, body weight gain, and percentage gain were measured weekly and then transformed using the base-10 logarithm (log<sub>10</sub>). TNF-α, IL-4, IL-10, and IL-17 were weekly measured using ELISA kits. Glutathione peroxidase (GSH-Px), superoxide dismutase (SOD), and catalase (CAT) were analysed in the serum and liver extracts. The <i>W. somnifera</i> significantly reduced the TNF-α levels (<i>P</i> < 0.01). The probiotic and myo-ins significantly elevated the IL-10 levels (<i>P</i> < 0.01). Both plant extracts moderately restored the IL-10 levels. The probiotic and <i>U. dioica</i> administration significantly reduced the IL-17 levels (<i>P</i> < 0.01). The <i>W. somnifera</i> administration also decreased the IL-17 levels, though the effect was less pronounced than that of <i>U. dioica</i>. The probiotic, myo-ins, and <i>W. somnifera</i> groups exhibited enhanced CAT activity (<i>P</i> < 0.05). <i>W. somnifera</i> showed significant increases in the SOD and GSH-Px activities (<i>P</i> < 0.01), showing the most dramatic improvement. The use of these four treatments as a monotherapy in this study resulted in different changes. Therefore, further investigation is necessary to evaluate the protective effects of combining duos or trios of these treatments against this disease.</p>\",\"PeriodicalId\":23532,\"journal\":{\"name\":\"Veterinarni Medicina\",\"volume\":\"70 6\",\"pages\":\"203-217\"},\"PeriodicalIF\":0.8000,\"publicationDate\":\"2025-06-27\",\"publicationTypes\":\"Journal Article\",\"fieldsOfStudy\":null,\"isOpenAccess\":false,\"openAccessPdf\":\"https://www.ncbi.nlm.nih.gov/pmc/articles/PMC12327480/pdf/\",\"citationCount\":\"0\",\"resultStr\":null,\"platform\":\"Semanticscholar\",\"paperid\":null,\"PeriodicalName\":\"Veterinarni Medicina\",\"FirstCategoryId\":\"97\",\"ListUrlMain\":\"https://doi.org/10.17221/116/2024-VETMED\",\"RegionNum\":4,\"RegionCategory\":\"农林科学\",\"ArticlePicture\":[],\"TitleCN\":null,\"AbstractTextCN\":null,\"PMCID\":null,\"EPubDate\":\"2025/6/1 0:00:00\",\"PubModel\":\"eCollection\",\"JCR\":\"Q3\",\"JCRName\":\"VETERINARY SCIENCES\",\"Score\":null,\"Total\":0}","platform":"Semanticscholar","paperid":null,"PeriodicalName":"Veterinarni Medicina","FirstCategoryId":"97","ListUrlMain":"https://doi.org/10.17221/116/2024-VETMED","RegionNum":4,"RegionCategory":"农林科学","ArticlePicture":[],"TitleCN":null,"AbstractTextCN":null,"PMCID":null,"EPubDate":"2025/6/1 0:00:00","PubModel":"eCollection","JCR":"Q3","JCRName":"VETERINARY SCIENCES","Score":null,"Total":0}
引用次数: 0

摘要

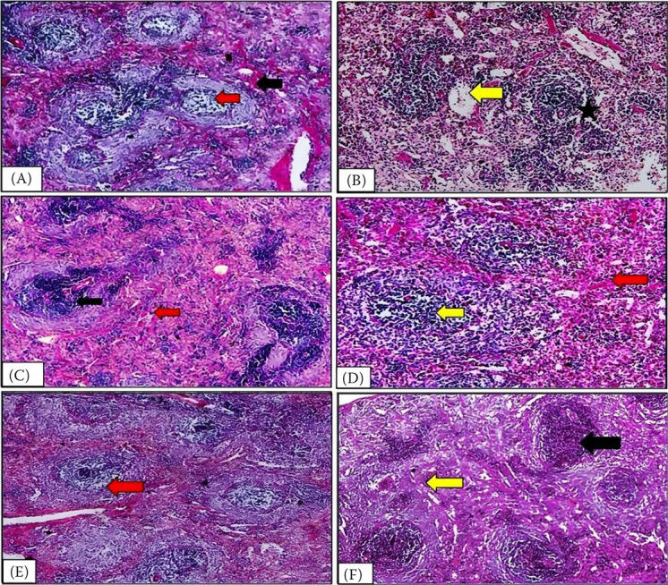
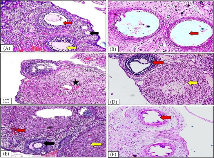
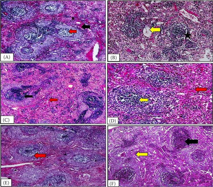
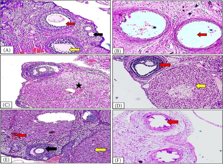
本研究研究了未成熟雌性Wistar大鼠(N = 48)多囊卵巢综合征(PCOS)的病理生理,并评价了不同治疗方法对其的保护作用。将大鼠分为6组:橄榄油注射组(阴性对照,G1组);丙酸睾酮(TP)诱导PCOS (G2);益生菌+ TP (G3);肌醇(肌醇)+ TP (G4);薯蓣提取物+ TP (G5);菟丝子提取物+ TP (G6)。每周测量体重、体重增加和百分比增加,然后使用以10为基数的对数(log10)进行转换。每周采用ELISA试剂盒检测TNF-α、IL-4、IL-10、IL-17。测定血清和肝脏提取物中谷胱甘肽过氧化物酶(GSH-Px)、超氧化物歧化酶(SOD)和过氧化氢酶(CAT)的含量。白花显著降低肿瘤坏死因子α (TNF-α)水平(白花显著降低IL-17水平)(白花也显著降低IL-17水平,但效果不如白花明显。益生菌组、myo-ins组和苏美莲组的CAT活性(P .苏美莲组的SOD和GSH-Px活性(P .苏美莲组)均显著升高
本文章由计算机程序翻译,如有差异,请以英文原文为准。

Antioxidant and cytokine modulation in PCOS rats protected with probiotics, myo-inositol, and herbal extracts.

Antioxidant and cytokine modulation in PCOS rats protected with probiotics, myo-inositol, and herbal extracts.

Antioxidant and cytokine modulation in PCOS rats protected with probiotics, myo-inositol, and herbal extracts.

Antioxidant and cytokine modulation in PCOS rats protected with probiotics, myo-inositol, and herbal extracts.

Antioxidant and cytokine modulation in PCOS rats protected with probiotics, myo-inositol, and herbal extracts.

Antioxidant and cytokine modulation in PCOS rats protected with probiotics, myo-inositol, and herbal extracts.

Antioxidant and cytokine modulation in PCOS rats protected with probiotics, myo-inositol, and herbal extracts.

This study investigated the pathophysiology of polycystic ovarian syndrome (PCOS) and evaluated the protective effects of various treatments in immature female Wistar rats (N = 48). The rats were divided into 6 groups: Olive oil injection (negative control, G1); testosterone propionate (TP)-induced PCOS (G2); probiotic + TP (G3); myo-inositol (myo-ins) + TP (G4); U. dioica extract + TP (G5); W. somnifera extract + TP (G6). The body weight, body weight gain, and percentage gain were measured weekly and then transformed using the base-10 logarithm (log10). TNF-α, IL-4, IL-10, and IL-17 were weekly measured using ELISA kits. Glutathione peroxidase (GSH-Px), superoxide dismutase (SOD), and catalase (CAT) were analysed in the serum and liver extracts. The W. somnifera significantly reduced the TNF-α levels (P < 0.01). The probiotic and myo-ins significantly elevated the IL-10 levels (P < 0.01). Both plant extracts moderately restored the IL-10 levels. The probiotic and U. dioica administration significantly reduced the IL-17 levels (P < 0.01). The W. somnifera administration also decreased the IL-17 levels, though the effect was less pronounced than that of U. dioica. The probiotic, myo-ins, and W. somnifera groups exhibited enhanced CAT activity (P < 0.05). W. somnifera showed significant increases in the SOD and GSH-Px activities (P < 0.01), showing the most dramatic improvement. The use of these four treatments as a monotherapy in this study resulted in different changes. Therefore, further investigation is necessary to evaluate the protective effects of combining duos or trios of these treatments against this disease.

求助全文
通过发布文献求助,成功后即可免费获取论文全文。 去求助
来源期刊
Veterinarni Medicina
Veterinarni Medicina Veterinary Sciences-兽医学
CiteScore
1.30
自引率
0.00%
发文量
62
审稿时长
18-36 weeks
期刊介绍: The journal Veterinarni Medicina publishes in English original papers, short communications, critical reviews and case reports from all fields of veterinary and biomedical sciences.
×
引用
GB/T 7714-2015
复制
MLA
复制
APA
复制
导出至
BibTeX EndNote RefMan NoteFirst NoteExpress
×
提示
您的信息不完整,为了账户安全,请先补充。
现在去补充
×
提示
您因"违规操作"
具体请查看互助需知
我知道了
×
提示
确定
请完成安全验证×
copy
已复制链接
快去分享给好友吧!
我知道了
右上角分享
点击右上角分享
0
联系我们:info@booksci.cn Book学术提供免费学术资源搜索服务,方便国内外学者检索中英文文献。致力于提供最便捷和优质的服务体验。 Copyright © 2023 布克学术 All rights reserved.
京ICP备2023020795号-1
ghs 京公网安备 11010802042870号
Book学术文献互助
Book学术文献互助群
群 号:604180095
Book学术官方微信