优化西利安联合吡喹酮对幼年和成年曼氏血吸虫小鼠的治疗效果。

IF 3.9 2区 综合性期刊 Q1 MULTIDISCIPLINARY SCIENCES
Abdel-Nasser A Sabra, Maha B Salem, Samia William, Olfat A Hammam, Naglaa M El-Lakkany
{"title":"优化西利安联合吡喹酮对幼年和成年曼氏血吸虫小鼠的治疗效果。","authors":"Abdel-Nasser A Sabra, Maha B Salem, Samia William, Olfat A Hammam, Naglaa M El-Lakkany","doi":"10.1038/s41598-025-14037-5","DOIUrl":null,"url":null,"abstract":"<p><p>Schistosomiasis, a prevalent tropical disease, possess public health challenges, with the standard treatment, praziquantel (PZQ), facing some limitations. Synriam (SYN), an antimalarial medication, has showed promises against schistosomiasis, although in vivo research on its efficacy in preventing infection-related consequences has not been thoroughly explored. This study looked at the effectiveness of SNY-PZQ combination treatment against Schistosoma mansoni in mice at various developmental phases, including juvenile (schistosomula) and mature stages. Worm load, egg deposition, parasite maturity, and liver histology were among the key outcomes evaluated. Their modulatory effects on liver injury indicators, proinflammatory cytokines, CYP450 enzymes, and apoptosis in mice infected with mature S. mansoni were also investigated. The study was divided into two experimental batches: schistosomula and mature stages, with infected mice from each batch divided into five groups to evaluate SNY, PZQ, and their combination. The SNY-PZQ combination was administered 3 weeks post-infection (PI) for schistosomula-stage infection, and 7 weeks PI for mature-stage infection. When SYN is combined with PZQ in their sub-curative doses (SC), it strengthens the worm killing effects, making it more potent than giving PZQ alone (SC), especially when the dual treatment was given against 7-weeks mature worms (95% vs. 76% for PZQ SC). This was accompanied with almost total eggs elimination and the repair of hepatic granulomatous lesions. Nevertheless, this combination therapy has moderate effectiveness (47% vs. 13% for PZQ SC) when given against 3-weeks juvenile worms. Furthermore, administering this combined therapy to 7-weeks mature worms reduces liver damage as evidenced by decreased oxidative stress, inflammation, and apoptosis, as well as normalization of liver serum enzymes, when compared to PZQ alone, implying that they may contribute to liver fibrosis prevention. Overall, SYN, when combined with PZQ, could improve treatment efficacy, potentially overcoming drug failures, offering a cost-effective strategy for managing schistosomiasis in resource-limited countries.</p>","PeriodicalId":21811,"journal":{"name":"Scientific Reports","volume":"15 1","pages":"28867"},"PeriodicalIF":3.9000,"publicationDate":"2025-08-07","publicationTypes":"Journal Article","fieldsOfStudy":null,"isOpenAccess":false,"openAccessPdf":"https://www.ncbi.nlm.nih.gov/pmc/articles/PMC12331978/pdf/","citationCount":"0","resultStr":"{\"title\":\"Optimizing the therapeutic benefits of synriam combined with praziquantel in mice harbouring juvenile and mature Schistosoma mansoni.\",\"authors\":\"Abdel-Nasser A Sabra, Maha B Salem, Samia William, Olfat A Hammam, Naglaa M El-Lakkany\",\"doi\":\"10.1038/s41598-025-14037-5\",\"DOIUrl\":null,\"url\":null,\"abstract\":\"<p><p>Schistosomiasis, a prevalent tropical disease, possess public health challenges, with the standard treatment, praziquantel (PZQ), facing some limitations. Synriam (SYN), an antimalarial medication, has showed promises against schistosomiasis, although in vivo research on its efficacy in preventing infection-related consequences has not been thoroughly explored. This study looked at the effectiveness of SNY-PZQ combination treatment against Schistosoma mansoni in mice at various developmental phases, including juvenile (schistosomula) and mature stages. Worm load, egg deposition, parasite maturity, and liver histology were among the key outcomes evaluated. Their modulatory effects on liver injury indicators, proinflammatory cytokines, CYP450 enzymes, and apoptosis in mice infected with mature S. mansoni were also investigated. The study was divided into two experimental batches: schistosomula and mature stages, with infected mice from each batch divided into five groups to evaluate SNY, PZQ, and their combination. The SNY-PZQ combination was administered 3 weeks post-infection (PI) for schistosomula-stage infection, and 7 weeks PI for mature-stage infection. When SYN is combined with PZQ in their sub-curative doses (SC), it strengthens the worm killing effects, making it more potent than giving PZQ alone (SC), especially when the dual treatment was given against 7-weeks mature worms (95% vs. 76% for PZQ SC). This was accompanied with almost total eggs elimination and the repair of hepatic granulomatous lesions. Nevertheless, this combination therapy has moderate effectiveness (47% vs. 13% for PZQ SC) when given against 3-weeks juvenile worms. Furthermore, administering this combined therapy to 7-weeks mature worms reduces liver damage as evidenced by decreased oxidative stress, inflammation, and apoptosis, as well as normalization of liver serum enzymes, when compared to PZQ alone, implying that they may contribute to liver fibrosis prevention. Overall, SYN, when combined with PZQ, could improve treatment efficacy, potentially overcoming drug failures, offering a cost-effective strategy for managing schistosomiasis in resource-limited countries.</p>\",\"PeriodicalId\":21811,\"journal\":{\"name\":\"Scientific Reports\",\"volume\":\"15 1\",\"pages\":\"28867\"},\"PeriodicalIF\":3.9000,\"publicationDate\":\"2025-08-07\",\"publicationTypes\":\"Journal Article\",\"fieldsOfStudy\":null,\"isOpenAccess\":false,\"openAccessPdf\":\"https://www.ncbi.nlm.nih.gov/pmc/articles/PMC12331978/pdf/\",\"citationCount\":\"0\",\"resultStr\":null,\"platform\":\"Semanticscholar\",\"paperid\":null,\"PeriodicalName\":\"Scientific Reports\",\"FirstCategoryId\":\"103\",\"ListUrlMain\":\"https://doi.org/10.1038/s41598-025-14037-5\",\"RegionNum\":2,\"RegionCategory\":\"综合性期刊\",\"ArticlePicture\":[],\"TitleCN\":null,\"AbstractTextCN\":null,\"PMCID\":null,\"EPubDate\":\"\",\"PubModel\":\"\",\"JCR\":\"Q1\",\"JCRName\":\"MULTIDISCIPLINARY SCIENCES\",\"Score\":null,\"Total\":0}","platform":"Semanticscholar","paperid":null,"PeriodicalName":"Scientific Reports","FirstCategoryId":"103","ListUrlMain":"https://doi.org/10.1038/s41598-025-14037-5","RegionNum":2,"RegionCategory":"综合性期刊","ArticlePicture":[],"TitleCN":null,"AbstractTextCN":null,"PMCID":null,"EPubDate":"","PubModel":"","JCR":"Q1","JCRName":"MULTIDISCIPLINARY SCIENCES","Score":null,"Total":0}
引用次数: 0

摘要

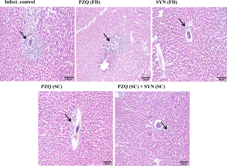
血吸虫病是一种流行的热带疾病,对公共卫生构成挑战,吡喹酮(PZQ)的标准治疗存在一定局限性。一种抗疟疾药物Synriam (SYN)已显示出治疗血吸虫病的希望,尽管其在预防感染相关后果方面的体内研究尚未得到彻底探索。本研究观察了SNY-PZQ联合治疗不同发育阶段小鼠(包括幼年(血吸虫)和成熟期)对曼氏血吸虫的有效性。蠕虫负荷、虫卵沉积、寄生虫成熟度和肝脏组织学是评估的关键结果。研究了其对成熟曼梭菌感染小鼠肝损伤指标、促炎因子、CYP450酶和细胞凋亡的调节作用。本研究分为血吸虫期和成熟期两批实验,每批感染小鼠分为5组,分别对SNY、PZQ及其联合用药进行评价。SNY-PZQ联合用药于血吸虫期感染后3周,成熟期感染后7周。当SYN以亚治疗剂量(SC)与PZQ联合使用时,它增强了杀死蠕虫的效果,使其比单独使用PZQ (SC)更有效,特别是当双重治疗用于7周成熟蠕虫时(95% vs. PZQ SC为76%)。这伴随着几乎全部的卵子清除和肝肉芽肿病变的修复。然而,这种联合疗法对3周幼虫有中等疗效(47% vs. PZQ SC 13%)。此外,与单独使用PZQ相比,将这种联合疗法应用于7周的成熟蠕虫,可以减少氧化应激、炎症和细胞凋亡,以及肝脏血清酶的正常化,从而减少肝损伤,这表明它们可能有助于预防肝纤维化。总的来说,SYN与PZQ联合使用可以提高治疗效果,有可能克服药物失败,为资源有限的国家管理血吸虫病提供一种具有成本效益的战略。
本文章由计算机程序翻译,如有差异,请以英文原文为准。

Optimizing the therapeutic benefits of synriam combined with praziquantel in mice harbouring juvenile and mature Schistosoma mansoni.

Optimizing the therapeutic benefits of synriam combined with praziquantel in mice harbouring juvenile and mature Schistosoma mansoni.

Optimizing the therapeutic benefits of synriam combined with praziquantel in mice harbouring juvenile and mature Schistosoma mansoni.

Optimizing the therapeutic benefits of synriam combined with praziquantel in mice harbouring juvenile and mature Schistosoma mansoni.

Schistosomiasis, a prevalent tropical disease, possess public health challenges, with the standard treatment, praziquantel (PZQ), facing some limitations. Synriam (SYN), an antimalarial medication, has showed promises against schistosomiasis, although in vivo research on its efficacy in preventing infection-related consequences has not been thoroughly explored. This study looked at the effectiveness of SNY-PZQ combination treatment against Schistosoma mansoni in mice at various developmental phases, including juvenile (schistosomula) and mature stages. Worm load, egg deposition, parasite maturity, and liver histology were among the key outcomes evaluated. Their modulatory effects on liver injury indicators, proinflammatory cytokines, CYP450 enzymes, and apoptosis in mice infected with mature S. mansoni were also investigated. The study was divided into two experimental batches: schistosomula and mature stages, with infected mice from each batch divided into five groups to evaluate SNY, PZQ, and their combination. The SNY-PZQ combination was administered 3 weeks post-infection (PI) for schistosomula-stage infection, and 7 weeks PI for mature-stage infection. When SYN is combined with PZQ in their sub-curative doses (SC), it strengthens the worm killing effects, making it more potent than giving PZQ alone (SC), especially when the dual treatment was given against 7-weeks mature worms (95% vs. 76% for PZQ SC). This was accompanied with almost total eggs elimination and the repair of hepatic granulomatous lesions. Nevertheless, this combination therapy has moderate effectiveness (47% vs. 13% for PZQ SC) when given against 3-weeks juvenile worms. Furthermore, administering this combined therapy to 7-weeks mature worms reduces liver damage as evidenced by decreased oxidative stress, inflammation, and apoptosis, as well as normalization of liver serum enzymes, when compared to PZQ alone, implying that they may contribute to liver fibrosis prevention. Overall, SYN, when combined with PZQ, could improve treatment efficacy, potentially overcoming drug failures, offering a cost-effective strategy for managing schistosomiasis in resource-limited countries.

求助全文
通过发布文献求助,成功后即可免费获取论文全文。 去求助
来源期刊
Scientific Reports
Scientific Reports Natural Science Disciplines-
CiteScore
7.50
自引率
4.30%
发文量
19567
审稿时长
3.9 months
期刊介绍: We publish original research from all areas of the natural sciences, psychology, medicine and engineering. You can learn more about what we publish by browsing our specific scientific subject areas below or explore Scientific Reports by browsing all articles and collections. Scientific Reports has a 2-year impact factor: 4.380 (2021), and is the 6th most-cited journal in the world, with more than 540,000 citations in 2020 (Clarivate Analytics, 2021). •Engineering Engineering covers all aspects of engineering, technology, and applied science. It plays a crucial role in the development of technologies to address some of the world''s biggest challenges, helping to save lives and improve the way we live. •Physical sciences Physical sciences are those academic disciplines that aim to uncover the underlying laws of nature — often written in the language of mathematics. It is a collective term for areas of study including astronomy, chemistry, materials science and physics. •Earth and environmental sciences Earth and environmental sciences cover all aspects of Earth and planetary science and broadly encompass solid Earth processes, surface and atmospheric dynamics, Earth system history, climate and climate change, marine and freshwater systems, and ecology. It also considers the interactions between humans and these systems. •Biological sciences Biological sciences encompass all the divisions of natural sciences examining various aspects of vital processes. The concept includes anatomy, physiology, cell biology, biochemistry and biophysics, and covers all organisms from microorganisms, animals to plants. •Health sciences The health sciences study health, disease and healthcare. This field of study aims to develop knowledge, interventions and technology for use in healthcare to improve the treatment of patients.
×
引用
GB/T 7714-2015
复制
MLA
复制
APA
复制
导出至
BibTeX EndNote RefMan NoteFirst NoteExpress
×
提示
您的信息不完整,为了账户安全,请先补充。
现在去补充
×
提示
您因"违规操作"
具体请查看互助需知
我知道了
×
提示
确定
请完成安全验证×
copy
已复制链接
快去分享给好友吧!
我知道了
右上角分享
点击右上角分享
0
联系我们:info@booksci.cn Book学术提供免费学术资源搜索服务,方便国内外学者检索中英文文献。致力于提供最便捷和优质的服务体验。 Copyright © 2023 布克学术 All rights reserved.
京ICP备2023020795号-1
ghs 京公网安备 11010802042870号
Book学术文献互助
Book学术文献互助群
群 号:604180095
Book学术官方微信