低细胞角蛋白19表达乳腺癌前哨淋巴结转移一步核酸扩增假阴性1例

IF 0.7 Q4 ONCOLOGY
Case Reports in Oncology Pub Date : 2025-07-02 eCollection Date: 2025-01-01 DOI:10.1159/000546995
Ai Koyanagi, Akinari Kakumoto, Hajime Kuroda, Shogo Baba, Mami Koketsu, Oi Harada, Yasutaka Kato, Hiroshi Nishihara, Hiroyuki Kawami
{"title":"低细胞角蛋白19表达乳腺癌前哨淋巴结转移一步核酸扩增假阴性1例","authors":"Ai Koyanagi, Akinari Kakumoto, Hajime Kuroda, Shogo Baba, Mami Koketsu, Oi Harada, Yasutaka Kato, Hiroshi Nishihara, Hiroyuki Kawami","doi":"10.1159/000546995","DOIUrl":null,"url":null,"abstract":"<p><strong>Introduction: </strong>One-step nucleic acid amplification (OSNA) for the analysis of sentinel lymph nodes is now widely used as a reliable tool for the intraoperative diagnosis of breast cancer metastasis based on the quantification of CK19 mRNA. However, discrepancies have been noted between the molecular diagnosis and histological evaluation, potentially due to differences in tissue sampling or technical limitations. Furthermore, false-negative results may occur when target mRNA expression is reduced.</p><p><strong>Case presentation: </strong>We herein describe a 45-year-old female patient who underwent breast-conserving surgery. The final pathological stage after surgery was pT2N1aM0 (stage IIB), hormone receptor positive (HER2: 1+). An OSNA analysis of two sentinel lymph nodes revealed no metastasis, whereas touch imprint cytology of one of the lymph nodes was positive. Immunohistochemistry of the primary tumor showed a mixture of extensive CK19-negative and focal CK19-positive lesions. A genetic analysis of the CK19-negative lesion detected mutations and abnormalities, including the <i>ESR1</i> amplification, <i>FANCA</i> deletion, <i>STK11</i> deletion, <i>TSC2</i> deletion, <i>POLD1</i> deletion, and mutations in <i>PIK3CA</i>, <i>ARID1A</i>, <i>NF2</i>, <i>SETBP1</i>, and <i>EP300</i>. Of these, tumor heterogeneity and genetic alterations, including mutations in <i>ARID1A</i>, <i>NF2</i>, and <i>EP300</i>, in the CK19-negative lesion were hypothesized to suppress CK19 expression.</p><p><strong>Conclusion: </strong>False-negative results are more likely to occur for CK19-negative breast cancer, emphasizing the importance of incorporating complementary diagnostic methods, such as touch imprint cytology and different molecular markers. A multifaceted diagnostic approach is crucial for ensuring accurate staging and appropriate treatment planning.</p>","PeriodicalId":9625,"journal":{"name":"Case Reports in Oncology","volume":"18 1","pages":"1074-1080"},"PeriodicalIF":0.7000,"publicationDate":"2025-07-02","publicationTypes":"Journal Article","fieldsOfStudy":null,"isOpenAccess":false,"openAccessPdf":"https://www.ncbi.nlm.nih.gov/pmc/articles/PMC12331226/pdf/","citationCount":"0","resultStr":"{\"title\":\"A Case of False-Negative Results in the One-Step Nucleic Acid Amplification Assay for Sentinel Lymph Node Metastasis in Breast Cancer with Low Cytokeratin 19 Expression.\",\"authors\":\"Ai Koyanagi, Akinari Kakumoto, Hajime Kuroda, Shogo Baba, Mami Koketsu, Oi Harada, Yasutaka Kato, Hiroshi Nishihara, Hiroyuki Kawami\",\"doi\":\"10.1159/000546995\",\"DOIUrl\":null,\"url\":null,\"abstract\":\"<p><strong>Introduction: </strong>One-step nucleic acid amplification (OSNA) for the analysis of sentinel lymph nodes is now widely used as a reliable tool for the intraoperative diagnosis of breast cancer metastasis based on the quantification of CK19 mRNA. However, discrepancies have been noted between the molecular diagnosis and histological evaluation, potentially due to differences in tissue sampling or technical limitations. Furthermore, false-negative results may occur when target mRNA expression is reduced.</p><p><strong>Case presentation: </strong>We herein describe a 45-year-old female patient who underwent breast-conserving surgery. The final pathological stage after surgery was pT2N1aM0 (stage IIB), hormone receptor positive (HER2: 1+). An OSNA analysis of two sentinel lymph nodes revealed no metastasis, whereas touch imprint cytology of one of the lymph nodes was positive. Immunohistochemistry of the primary tumor showed a mixture of extensive CK19-negative and focal CK19-positive lesions. A genetic analysis of the CK19-negative lesion detected mutations and abnormalities, including the <i>ESR1</i> amplification, <i>FANCA</i> deletion, <i>STK11</i> deletion, <i>TSC2</i> deletion, <i>POLD1</i> deletion, and mutations in <i>PIK3CA</i>, <i>ARID1A</i>, <i>NF2</i>, <i>SETBP1</i>, and <i>EP300</i>. Of these, tumor heterogeneity and genetic alterations, including mutations in <i>ARID1A</i>, <i>NF2</i>, and <i>EP300</i>, in the CK19-negative lesion were hypothesized to suppress CK19 expression.</p><p><strong>Conclusion: </strong>False-negative results are more likely to occur for CK19-negative breast cancer, emphasizing the importance of incorporating complementary diagnostic methods, such as touch imprint cytology and different molecular markers. A multifaceted diagnostic approach is crucial for ensuring accurate staging and appropriate treatment planning.</p>\",\"PeriodicalId\":9625,\"journal\":{\"name\":\"Case Reports in Oncology\",\"volume\":\"18 1\",\"pages\":\"1074-1080\"},\"PeriodicalIF\":0.7000,\"publicationDate\":\"2025-07-02\",\"publicationTypes\":\"Journal Article\",\"fieldsOfStudy\":null,\"isOpenAccess\":false,\"openAccessPdf\":\"https://www.ncbi.nlm.nih.gov/pmc/articles/PMC12331226/pdf/\",\"citationCount\":\"0\",\"resultStr\":null,\"platform\":\"Semanticscholar\",\"paperid\":null,\"PeriodicalName\":\"Case Reports in Oncology\",\"FirstCategoryId\":\"1085\",\"ListUrlMain\":\"https://doi.org/10.1159/000546995\",\"RegionNum\":0,\"RegionCategory\":null,\"ArticlePicture\":[],\"TitleCN\":null,\"AbstractTextCN\":null,\"PMCID\":null,\"EPubDate\":\"2025/1/1 0:00:00\",\"PubModel\":\"eCollection\",\"JCR\":\"Q4\",\"JCRName\":\"ONCOLOGY\",\"Score\":null,\"Total\":0}","platform":"Semanticscholar","paperid":null,"PeriodicalName":"Case Reports in Oncology","FirstCategoryId":"1085","ListUrlMain":"https://doi.org/10.1159/000546995","RegionNum":0,"RegionCategory":null,"ArticlePicture":[],"TitleCN":null,"AbstractTextCN":null,"PMCID":null,"EPubDate":"2025/1/1 0:00:00","PubModel":"eCollection","JCR":"Q4","JCRName":"ONCOLOGY","Score":null,"Total":0}
引用次数: 0

摘要

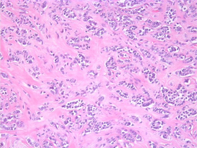
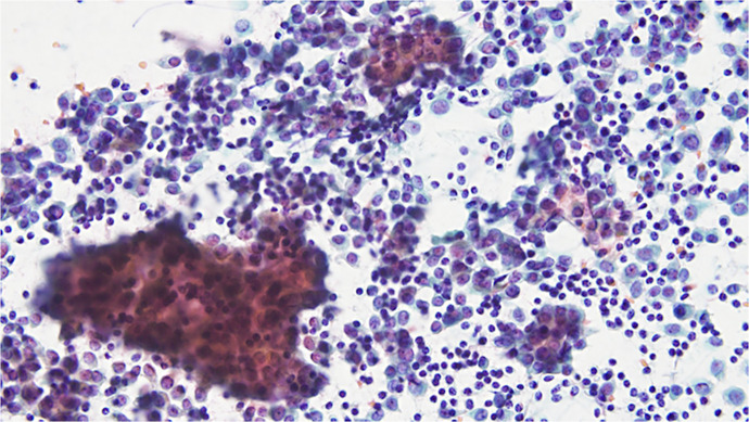
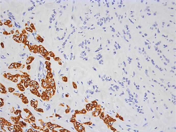
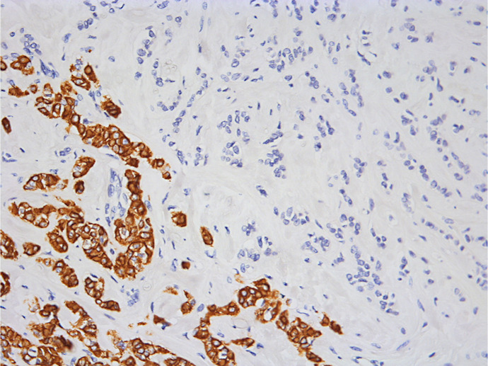
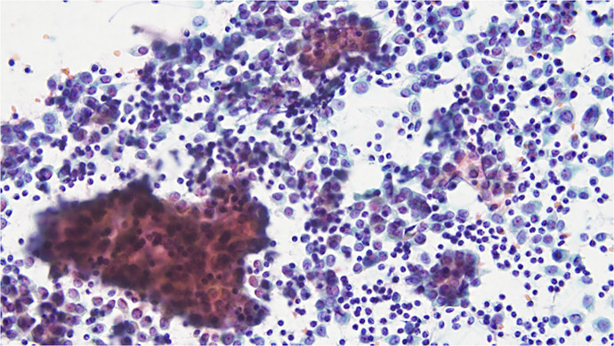
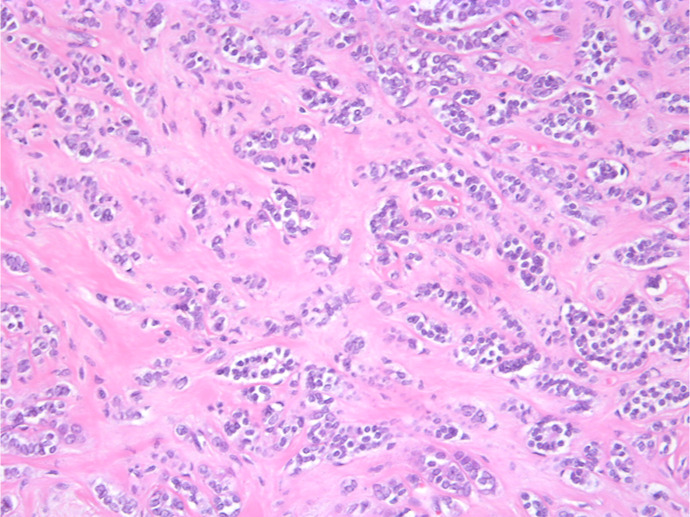
基于CK19 mRNA的定量分析,一步核酸扩增(One-step nucleic acid amplification, OSNA)作为术中诊断乳腺癌转移的可靠工具,目前已被广泛应用于前哨淋巴结分析。然而,分子诊断和组织学评估之间的差异已经被注意到,可能是由于组织采样的差异或技术限制。此外,当目标mRNA表达减少时,可能会出现假阴性结果。病例介绍:我们在此描述一位接受保乳手术的45岁女性患者。术后最终病理分期为pT2N1aM0 (IIB期),激素受体阳性(HER2: 1+)。两个前哨淋巴结的OSNA分析显示没有转移,而其中一个淋巴结的触摸印迹细胞学是阳性的。原发肿瘤的免疫组化显示广泛的ck19阴性和局灶性ck19阳性病变。ck19阴性病变的遗传分析检测到突变和异常,包括ESR1扩增、FANCA缺失、STK11缺失、TSC2缺失、POLD1缺失以及PIK3CA、ARID1A、NF2、SETBP1和EP300的突变。其中,在CK19阴性病变中,肿瘤异质性和遗传改变,包括ARID1A、NF2和EP300的突变,被假设抑制了CK19的表达。结论:ck19阴性乳腺癌更容易出现假阴性结果,强调结合触摸印迹细胞学和不同分子标记等辅助诊断方法的重要性。多方面的诊断方法对于确保准确的分期和适当的治疗计划至关重要。
本文章由计算机程序翻译,如有差异,请以英文原文为准。

A Case of False-Negative Results in the One-Step Nucleic Acid Amplification Assay for Sentinel Lymph Node Metastasis in Breast Cancer with Low Cytokeratin 19 Expression.

A Case of False-Negative Results in the One-Step Nucleic Acid Amplification Assay for Sentinel Lymph Node Metastasis in Breast Cancer with Low Cytokeratin 19 Expression.

A Case of False-Negative Results in the One-Step Nucleic Acid Amplification Assay for Sentinel Lymph Node Metastasis in Breast Cancer with Low Cytokeratin 19 Expression.

A Case of False-Negative Results in the One-Step Nucleic Acid Amplification Assay for Sentinel Lymph Node Metastasis in Breast Cancer with Low Cytokeratin 19 Expression.

A Case of False-Negative Results in the One-Step Nucleic Acid Amplification Assay for Sentinel Lymph Node Metastasis in Breast Cancer with Low Cytokeratin 19 Expression.

A Case of False-Negative Results in the One-Step Nucleic Acid Amplification Assay for Sentinel Lymph Node Metastasis in Breast Cancer with Low Cytokeratin 19 Expression.

A Case of False-Negative Results in the One-Step Nucleic Acid Amplification Assay for Sentinel Lymph Node Metastasis in Breast Cancer with Low Cytokeratin 19 Expression.

Introduction: One-step nucleic acid amplification (OSNA) for the analysis of sentinel lymph nodes is now widely used as a reliable tool for the intraoperative diagnosis of breast cancer metastasis based on the quantification of CK19 mRNA. However, discrepancies have been noted between the molecular diagnosis and histological evaluation, potentially due to differences in tissue sampling or technical limitations. Furthermore, false-negative results may occur when target mRNA expression is reduced.

Case presentation: We herein describe a 45-year-old female patient who underwent breast-conserving surgery. The final pathological stage after surgery was pT2N1aM0 (stage IIB), hormone receptor positive (HER2: 1+). An OSNA analysis of two sentinel lymph nodes revealed no metastasis, whereas touch imprint cytology of one of the lymph nodes was positive. Immunohistochemistry of the primary tumor showed a mixture of extensive CK19-negative and focal CK19-positive lesions. A genetic analysis of the CK19-negative lesion detected mutations and abnormalities, including the ESR1 amplification, FANCA deletion, STK11 deletion, TSC2 deletion, POLD1 deletion, and mutations in PIK3CA, ARID1A, NF2, SETBP1, and EP300. Of these, tumor heterogeneity and genetic alterations, including mutations in ARID1A, NF2, and EP300, in the CK19-negative lesion were hypothesized to suppress CK19 expression.

Conclusion: False-negative results are more likely to occur for CK19-negative breast cancer, emphasizing the importance of incorporating complementary diagnostic methods, such as touch imprint cytology and different molecular markers. A multifaceted diagnostic approach is crucial for ensuring accurate staging and appropriate treatment planning.

求助全文
通过发布文献求助,成功后即可免费获取论文全文。 去求助
来源期刊
CiteScore
1.40
自引率
12.50%
发文量
151
审稿时长
7 weeks
×
引用
GB/T 7714-2015
复制
MLA
复制
APA
复制
导出至
BibTeX EndNote RefMan NoteFirst NoteExpress
×
提示
您的信息不完整,为了账户安全,请先补充。
现在去补充
×
提示
您因"违规操作"
具体请查看互助需知
我知道了
×
提示
确定
请完成安全验证×
copy
已复制链接
快去分享给好友吧!
我知道了
右上角分享
点击右上角分享
0
联系我们:info@booksci.cn Book学术提供免费学术资源搜索服务,方便国内外学者检索中英文文献。致力于提供最便捷和优质的服务体验。 Copyright © 2023 布克学术 All rights reserved.
京ICP备2023020795号-1
ghs 京公网安备 11010802042870号
Book学术文献互助
Book学术文献互助群
群 号:604180095
Book学术官方微信