气管镜下肿瘤内注射替利单抗成功治疗晚期肺腺癌1例。

IF 1.9 Q4 ONCOLOGY
Cancer reports Pub Date : 2025-08-01 DOI:10.1002/cnr2.70279
Huiying Liu, Xuemao Liu, Wen Jiang, Bin Yin, Dongmei Wang, Xiaoping Yang, Wenqing Jiang
{"title":"气管镜下肿瘤内注射替利单抗成功治疗晚期肺腺癌1例。","authors":"Huiying Liu, Xuemao Liu, Wen Jiang, Bin Yin, Dongmei Wang, Xiaoping Yang, Wenqing Jiang","doi":"10.1002/cnr2.70279","DOIUrl":null,"url":null,"abstract":"<p><strong>Introduction: </strong>Lung cancer is a leading cause of cancer-related deaths, with an annual mortality rate of nearly 1.8 million. Among its subtypes, lung adenocarcinoma is increasingly prevalent. Due to its often asymptomatic nature, most patients are diagnosed at advanced stages, missing the optimal window for surgery and resulting in a poor 5-year survival rate.</p><p><strong>Case presentation: </strong>We present the case of an 83-year-old patient with stage IV lung adenocarcinoma treated with four cycles of intravenous Tirelizumab and two cycles of intratumoral Tirelizumab via tracheoscopy. The patient achieved partial clinical remission, with tumor lesions continuing to shrink upon follow-up by August 24, 2024. No treatment-related adverse reactions were observed, and the patient's immune function remained normal.</p><p><strong>Conclusions: </strong>This case suggests that systemic intravenous Tirelizumab combined with tracheoscopic intratumoral injection may offer a safe and effective treatment strategy for lung adenocarcinoma, particularly for patients unsuitable for chemotherapy or surgery. However, further prospective studies and clinical trials are needed to validate these findings.</p>","PeriodicalId":9440,"journal":{"name":"Cancer reports","volume":"8 8","pages":"e70279"},"PeriodicalIF":1.9000,"publicationDate":"2025-08-01","publicationTypes":"Journal Article","fieldsOfStudy":null,"isOpenAccess":false,"openAccessPdf":"https://www.ncbi.nlm.nih.gov/pmc/articles/PMC12332419/pdf/","citationCount":"0","resultStr":"{\"title\":\"A Case of Advanced Lung Adenocarcinoma Successfully Treated by Intratumoral Injection of Tirelizumab Under Tracheoscopy.\",\"authors\":\"Huiying Liu, Xuemao Liu, Wen Jiang, Bin Yin, Dongmei Wang, Xiaoping Yang, Wenqing Jiang\",\"doi\":\"10.1002/cnr2.70279\",\"DOIUrl\":null,\"url\":null,\"abstract\":\"<p><strong>Introduction: </strong>Lung cancer is a leading cause of cancer-related deaths, with an annual mortality rate of nearly 1.8 million. Among its subtypes, lung adenocarcinoma is increasingly prevalent. Due to its often asymptomatic nature, most patients are diagnosed at advanced stages, missing the optimal window for surgery and resulting in a poor 5-year survival rate.</p><p><strong>Case presentation: </strong>We present the case of an 83-year-old patient with stage IV lung adenocarcinoma treated with four cycles of intravenous Tirelizumab and two cycles of intratumoral Tirelizumab via tracheoscopy. The patient achieved partial clinical remission, with tumor lesions continuing to shrink upon follow-up by August 24, 2024. No treatment-related adverse reactions were observed, and the patient's immune function remained normal.</p><p><strong>Conclusions: </strong>This case suggests that systemic intravenous Tirelizumab combined with tracheoscopic intratumoral injection may offer a safe and effective treatment strategy for lung adenocarcinoma, particularly for patients unsuitable for chemotherapy or surgery. However, further prospective studies and clinical trials are needed to validate these findings.</p>\",\"PeriodicalId\":9440,\"journal\":{\"name\":\"Cancer reports\",\"volume\":\"8 8\",\"pages\":\"e70279\"},\"PeriodicalIF\":1.9000,\"publicationDate\":\"2025-08-01\",\"publicationTypes\":\"Journal Article\",\"fieldsOfStudy\":null,\"isOpenAccess\":false,\"openAccessPdf\":\"https://www.ncbi.nlm.nih.gov/pmc/articles/PMC12332419/pdf/\",\"citationCount\":\"0\",\"resultStr\":null,\"platform\":\"Semanticscholar\",\"paperid\":null,\"PeriodicalName\":\"Cancer reports\",\"FirstCategoryId\":\"1085\",\"ListUrlMain\":\"https://doi.org/10.1002/cnr2.70279\",\"RegionNum\":0,\"RegionCategory\":null,\"ArticlePicture\":[],\"TitleCN\":null,\"AbstractTextCN\":null,\"PMCID\":null,\"EPubDate\":\"\",\"PubModel\":\"\",\"JCR\":\"Q4\",\"JCRName\":\"ONCOLOGY\",\"Score\":null,\"Total\":0}","platform":"Semanticscholar","paperid":null,"PeriodicalName":"Cancer reports","FirstCategoryId":"1085","ListUrlMain":"https://doi.org/10.1002/cnr2.70279","RegionNum":0,"RegionCategory":null,"ArticlePicture":[],"TitleCN":null,"AbstractTextCN":null,"PMCID":null,"EPubDate":"","PubModel":"","JCR":"Q4","JCRName":"ONCOLOGY","Score":null,"Total":0}
引用次数: 0

摘要

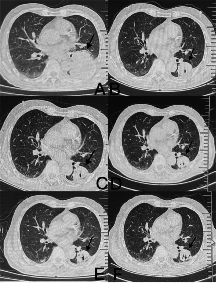
肺癌是癌症相关死亡的主要原因,每年的死亡率接近180万。在其亚型中,肺腺癌越来越普遍。由于其通常无症状,大多数患者在晚期诊断,错过了手术的最佳时机,导致5年生存率低。病例介绍:我们报告了一例83岁的IV期肺腺癌患者,通过气管镜接受4个周期静脉注射替利珠单抗和2个周期肿瘤内替利珠单抗治疗。患者临床部分缓解,随访至2024年8月24日,肿瘤病灶持续缩小。未观察到治疗相关的不良反应,患者免疫功能保持正常。结论:本病例提示全身静脉滴注替利珠单抗联合气管镜肿瘤内注射可能为肺腺癌提供一种安全有效的治疗策略,特别是对于不适合化疗或手术的患者。然而,需要进一步的前瞻性研究和临床试验来验证这些发现。
本文章由计算机程序翻译,如有差异,请以英文原文为准。

A Case of Advanced Lung Adenocarcinoma Successfully Treated by Intratumoral Injection of Tirelizumab Under Tracheoscopy.

A Case of Advanced Lung Adenocarcinoma Successfully Treated by Intratumoral Injection of Tirelizumab Under Tracheoscopy.

A Case of Advanced Lung Adenocarcinoma Successfully Treated by Intratumoral Injection of Tirelizumab Under Tracheoscopy.

A Case of Advanced Lung Adenocarcinoma Successfully Treated by Intratumoral Injection of Tirelizumab Under Tracheoscopy.

Introduction: Lung cancer is a leading cause of cancer-related deaths, with an annual mortality rate of nearly 1.8 million. Among its subtypes, lung adenocarcinoma is increasingly prevalent. Due to its often asymptomatic nature, most patients are diagnosed at advanced stages, missing the optimal window for surgery and resulting in a poor 5-year survival rate.

Case presentation: We present the case of an 83-year-old patient with stage IV lung adenocarcinoma treated with four cycles of intravenous Tirelizumab and two cycles of intratumoral Tirelizumab via tracheoscopy. The patient achieved partial clinical remission, with tumor lesions continuing to shrink upon follow-up by August 24, 2024. No treatment-related adverse reactions were observed, and the patient's immune function remained normal.

Conclusions: This case suggests that systemic intravenous Tirelizumab combined with tracheoscopic intratumoral injection may offer a safe and effective treatment strategy for lung adenocarcinoma, particularly for patients unsuitable for chemotherapy or surgery. However, further prospective studies and clinical trials are needed to validate these findings.

求助全文
通过发布文献求助,成功后即可免费获取论文全文。 去求助
来源期刊
Cancer reports
Cancer reports Medicine-Oncology
CiteScore
2.70
自引率
5.90%
发文量
160
审稿时长
17 weeks
×
引用
GB/T 7714-2015
复制
MLA
复制
APA
复制
导出至
BibTeX EndNote RefMan NoteFirst NoteExpress
×
提示
您的信息不完整,为了账户安全,请先补充。
现在去补充
×
提示
您因"违规操作"
具体请查看互助需知
我知道了
×
提示
确定
请完成安全验证×
copy
已复制链接
快去分享给好友吧!
我知道了
右上角分享
点击右上角分享
0
联系我们:info@booksci.cn Book学术提供免费学术资源搜索服务,方便国内外学者检索中英文文献。致力于提供最便捷和优质的服务体验。 Copyright © 2023 布克学术 All rights reserved.
京ICP备2023020795号-1
ghs 京公网安备 11010802042870号
Book学术文献互助
Book学术文献互助群
群 号:604180095
Book学术官方微信