尼伏单抗引起的难治性出血性胃炎和十二指肠炎需要多模式生物治疗。

IF 0.5 Q4 GASTROENTEROLOGY & HEPATOLOGY
ACG Case Reports Journal Pub Date : 2025-08-07 eCollection Date: 2025-08-01 DOI:10.14309/crj.0000000000001782
Roney Shibu, Kayla Scully, Waled Mohsen, Robert Mason, Sooraj Rajendran Pillai
{"title":"尼伏单抗引起的难治性出血性胃炎和十二指肠炎需要多模式生物治疗。","authors":"Roney Shibu, Kayla Scully, Waled Mohsen, Robert Mason, Sooraj Rajendran Pillai","doi":"10.14309/crj.0000000000001782","DOIUrl":null,"url":null,"abstract":"<p><p>Rising immune checkpoint inhibitor use in modern cancer therapy has increased the incidence of immune-related adverse events. Although isolated upper gastrointestinal immune-related adverse events including gastritis and duodenitis are uncommon, they may be severe and potentially life-threatening. The heterogeneous presentation of immune-related gastritis and duodenitis causes diagnostic and therapeutic challenges. We present a rare case of severe hemorrhagic gastritis and duodenitis occurring 2 months after completion of nivolumab therapy for stage III melanoma. The disease proved refractory to intravenous pantoprazole, steroids, and infliximab alone, ultimately requiring the addition of vedolizumab in the short term. Complete clinical and biochemical remission was achieved after 12 months of infliximab, which was ceased a month later. Following cessation of immunomodulatory therapy, there was no recurrence of disease at 12-month follow-up.</p>","PeriodicalId":7394,"journal":{"name":"ACG Case Reports Journal","volume":"12 8","pages":"e01782"},"PeriodicalIF":0.5000,"publicationDate":"2025-08-07","publicationTypes":"Journal Article","fieldsOfStudy":null,"isOpenAccess":false,"openAccessPdf":"https://www.ncbi.nlm.nih.gov/pmc/articles/PMC12330355/pdf/","citationCount":"0","resultStr":"{\"title\":\"Nivolumab-Induced Refractory Hemorrhagic Gastritis and Duodenitis Requiring Multimodal Biologic Therapy.\",\"authors\":\"Roney Shibu, Kayla Scully, Waled Mohsen, Robert Mason, Sooraj Rajendran Pillai\",\"doi\":\"10.14309/crj.0000000000001782\",\"DOIUrl\":null,\"url\":null,\"abstract\":\"<p><p>Rising immune checkpoint inhibitor use in modern cancer therapy has increased the incidence of immune-related adverse events. Although isolated upper gastrointestinal immune-related adverse events including gastritis and duodenitis are uncommon, they may be severe and potentially life-threatening. The heterogeneous presentation of immune-related gastritis and duodenitis causes diagnostic and therapeutic challenges. We present a rare case of severe hemorrhagic gastritis and duodenitis occurring 2 months after completion of nivolumab therapy for stage III melanoma. The disease proved refractory to intravenous pantoprazole, steroids, and infliximab alone, ultimately requiring the addition of vedolizumab in the short term. Complete clinical and biochemical remission was achieved after 12 months of infliximab, which was ceased a month later. Following cessation of immunomodulatory therapy, there was no recurrence of disease at 12-month follow-up.</p>\",\"PeriodicalId\":7394,\"journal\":{\"name\":\"ACG Case Reports Journal\",\"volume\":\"12 8\",\"pages\":\"e01782\"},\"PeriodicalIF\":0.5000,\"publicationDate\":\"2025-08-07\",\"publicationTypes\":\"Journal Article\",\"fieldsOfStudy\":null,\"isOpenAccess\":false,\"openAccessPdf\":\"https://www.ncbi.nlm.nih.gov/pmc/articles/PMC12330355/pdf/\",\"citationCount\":\"0\",\"resultStr\":null,\"platform\":\"Semanticscholar\",\"paperid\":null,\"PeriodicalName\":\"ACG Case Reports Journal\",\"FirstCategoryId\":\"1085\",\"ListUrlMain\":\"https://doi.org/10.14309/crj.0000000000001782\",\"RegionNum\":0,\"RegionCategory\":null,\"ArticlePicture\":[],\"TitleCN\":null,\"AbstractTextCN\":null,\"PMCID\":null,\"EPubDate\":\"2025/8/1 0:00:00\",\"PubModel\":\"eCollection\",\"JCR\":\"Q4\",\"JCRName\":\"GASTROENTEROLOGY & HEPATOLOGY\",\"Score\":null,\"Total\":0}","platform":"Semanticscholar","paperid":null,"PeriodicalName":"ACG Case Reports Journal","FirstCategoryId":"1085","ListUrlMain":"https://doi.org/10.14309/crj.0000000000001782","RegionNum":0,"RegionCategory":null,"ArticlePicture":[],"TitleCN":null,"AbstractTextCN":null,"PMCID":null,"EPubDate":"2025/8/1 0:00:00","PubModel":"eCollection","JCR":"Q4","JCRName":"GASTROENTEROLOGY & HEPATOLOGY","Score":null,"Total":0}
引用次数: 0

摘要

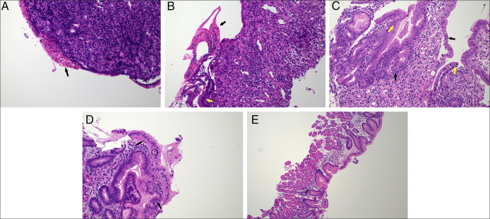
免疫检查点抑制剂在现代癌症治疗中的使用增加了免疫相关不良事件的发生率。虽然孤立的上消化道免疫相关不良事件,包括胃炎和十二指肠炎并不常见,但它们可能是严重的,并可能危及生命。免疫相关性胃炎和十二指肠炎的异质表现引起诊断和治疗的挑战。我们报告一个罕见的病例严重出血性胃炎和十二指肠炎发生2个月后完成尼武单抗治疗III期黑色素瘤。事实证明,单纯静脉注射泮托拉唑、类固醇和英夫利昔单抗对该疾病难治性,最终需要在短期内加用维多单抗。英夫利昔单抗治疗12个月后达到完全临床和生化缓解,1个月后停用。停止免疫调节治疗后,随访12个月无复发。
本文章由计算机程序翻译,如有差异,请以英文原文为准。

Nivolumab-Induced Refractory Hemorrhagic Gastritis and Duodenitis Requiring Multimodal Biologic Therapy.

Nivolumab-Induced Refractory Hemorrhagic Gastritis and Duodenitis Requiring Multimodal Biologic Therapy.

Nivolumab-Induced Refractory Hemorrhagic Gastritis and Duodenitis Requiring Multimodal Biologic Therapy.

Nivolumab-Induced Refractory Hemorrhagic Gastritis and Duodenitis Requiring Multimodal Biologic Therapy.

Nivolumab-Induced Refractory Hemorrhagic Gastritis and Duodenitis Requiring Multimodal Biologic Therapy.

Nivolumab-Induced Refractory Hemorrhagic Gastritis and Duodenitis Requiring Multimodal Biologic Therapy.

Nivolumab-Induced Refractory Hemorrhagic Gastritis and Duodenitis Requiring Multimodal Biologic Therapy.

Rising immune checkpoint inhibitor use in modern cancer therapy has increased the incidence of immune-related adverse events. Although isolated upper gastrointestinal immune-related adverse events including gastritis and duodenitis are uncommon, they may be severe and potentially life-threatening. The heterogeneous presentation of immune-related gastritis and duodenitis causes diagnostic and therapeutic challenges. We present a rare case of severe hemorrhagic gastritis and duodenitis occurring 2 months after completion of nivolumab therapy for stage III melanoma. The disease proved refractory to intravenous pantoprazole, steroids, and infliximab alone, ultimately requiring the addition of vedolizumab in the short term. Complete clinical and biochemical remission was achieved after 12 months of infliximab, which was ceased a month later. Following cessation of immunomodulatory therapy, there was no recurrence of disease at 12-month follow-up.

求助全文
通过发布文献求助,成功后即可免费获取论文全文。 去求助
来源期刊
ACG Case Reports Journal
ACG Case Reports Journal GASTROENTEROLOGY & HEPATOLOGY-
自引率
14.30%
发文量
170
审稿时长
12 weeks
期刊介绍: ACG Case Reports Journal is a peer-reviewed, open-access publication that provides GI and hepatology fellows, private practice clinicians, and other healthcare providers an opportunity to share interesting case reports with their peers and with leaders in the field. ACG Case Reports Journal publishes case reports, images, videos and letters to the editor in all topics of gastroenterology and hepatology, including: Biliary Colon Endoscopy Esophagus Functional Bowel Disorders Inflammatory Bowel Disease Liver Nutrition and Obesity Pancreas Pathology Pediatric Small Bowel Stomach.
×
引用
GB/T 7714-2015
复制
MLA
复制
APA
复制
导出至
BibTeX EndNote RefMan NoteFirst NoteExpress
×
提示
您的信息不完整,为了账户安全,请先补充。
现在去补充
×
提示
您因"违规操作"
具体请查看互助需知
我知道了
×
提示
确定
请完成安全验证×
copy
已复制链接
快去分享给好友吧!
我知道了
右上角分享
点击右上角分享
0
联系我们:info@booksci.cn Book学术提供免费学术资源搜索服务,方便国内外学者检索中英文文献。致力于提供最便捷和优质的服务体验。 Copyright © 2023 布克学术 All rights reserved.
京ICP备2023020795号-1
ghs 京公网安备 11010802042870号
Book学术文献互助
Book学术文献互助群
群 号:604180095
Book学术官方微信