组织病理学在青年环状苔藓样皮炎诊断中的重要性:1例报告。

IF 0.8 Q4 DERMATOLOGY
Case Reports in Dermatology Pub Date : 2025-07-04 eCollection Date: 2025-01-01 DOI:10.1159/000546701
Leart Bërdica, Teona Bushati, Sindi Shandro, Entela Shkodrani, Sabina Dedej, Ermira Vasili
{"title":"组织病理学在青年环状苔藓样皮炎诊断中的重要性:1例报告。","authors":"Leart Bërdica, Teona Bushati, Sindi Shandro, Entela Shkodrani, Sabina Dedej, Ermira Vasili","doi":"10.1159/000546701","DOIUrl":null,"url":null,"abstract":"<p><strong>Introduction: </strong>Annular lichenoid dermatitis of youth (ALDY) is a rare and underreported dermatologic condition. It primarily affects children and adolescents. Clinically, ALDY presents as erythematous annular macules or plaques with raised borders and hypopigmented centers, predominantly affecting the trunk and flexural areas. The etiology remains unknown, and the condition poses a diagnostic challenge due to its resemblance to other annular dermatoses.</p><p><strong>Case presentation: </strong>A 5-year-old female presented with asymptomatic annular erythematous lesions on the trunk, abdomen, lumbar region, and flanks. Initial differential diagnoses included annular erythema, tinea corporis, morphea, and mycosis fungoides. A mycological examination was negative, and symptomatic treatment with hydrocortisone and pimecrolimus led to temporary lesion resolution, but recurrence followed treatment cessation. A skin biopsy revealed histopathological features characteristic of ALDY, including basal layer vacuolization and a prominent lichenoid lymphocytic infiltrate. Immunohistochemical analysis supported the diagnosis.</p><p><strong>Conclusion: </strong>ALDY remains a diagnostic challenge due to its clinical overlap with other annular dermatoses. Histopathological examination is essential for definitive diagnosis. The chronic and recurrent nature of ALDY underscores the importance of long-term management strategies, including topical corticosteroids and immunomodulators. Awareness of ALDY among dermatologists can aid in early recognition and appropriate management, ultimately improving patient outcomes.</p>","PeriodicalId":9619,"journal":{"name":"Case Reports in Dermatology","volume":"17 1","pages":"311-317"},"PeriodicalIF":0.8000,"publicationDate":"2025-07-04","publicationTypes":"Journal Article","fieldsOfStudy":null,"isOpenAccess":false,"openAccessPdf":"https://www.ncbi.nlm.nih.gov/pmc/articles/PMC12327932/pdf/","citationCount":"0","resultStr":"{\"title\":\"The Importance of Histopathology in the Diagnosis of Annular Lichenoid Dermatitis of Youth: A Case Report.\",\"authors\":\"Leart Bërdica, Teona Bushati, Sindi Shandro, Entela Shkodrani, Sabina Dedej, Ermira Vasili\",\"doi\":\"10.1159/000546701\",\"DOIUrl\":null,\"url\":null,\"abstract\":\"<p><strong>Introduction: </strong>Annular lichenoid dermatitis of youth (ALDY) is a rare and underreported dermatologic condition. It primarily affects children and adolescents. Clinically, ALDY presents as erythematous annular macules or plaques with raised borders and hypopigmented centers, predominantly affecting the trunk and flexural areas. The etiology remains unknown, and the condition poses a diagnostic challenge due to its resemblance to other annular dermatoses.</p><p><strong>Case presentation: </strong>A 5-year-old female presented with asymptomatic annular erythematous lesions on the trunk, abdomen, lumbar region, and flanks. Initial differential diagnoses included annular erythema, tinea corporis, morphea, and mycosis fungoides. A mycological examination was negative, and symptomatic treatment with hydrocortisone and pimecrolimus led to temporary lesion resolution, but recurrence followed treatment cessation. A skin biopsy revealed histopathological features characteristic of ALDY, including basal layer vacuolization and a prominent lichenoid lymphocytic infiltrate. Immunohistochemical analysis supported the diagnosis.</p><p><strong>Conclusion: </strong>ALDY remains a diagnostic challenge due to its clinical overlap with other annular dermatoses. Histopathological examination is essential for definitive diagnosis. The chronic and recurrent nature of ALDY underscores the importance of long-term management strategies, including topical corticosteroids and immunomodulators. Awareness of ALDY among dermatologists can aid in early recognition and appropriate management, ultimately improving patient outcomes.</p>\",\"PeriodicalId\":9619,\"journal\":{\"name\":\"Case Reports in Dermatology\",\"volume\":\"17 1\",\"pages\":\"311-317\"},\"PeriodicalIF\":0.8000,\"publicationDate\":\"2025-07-04\",\"publicationTypes\":\"Journal Article\",\"fieldsOfStudy\":null,\"isOpenAccess\":false,\"openAccessPdf\":\"https://www.ncbi.nlm.nih.gov/pmc/articles/PMC12327932/pdf/\",\"citationCount\":\"0\",\"resultStr\":null,\"platform\":\"Semanticscholar\",\"paperid\":null,\"PeriodicalName\":\"Case Reports in Dermatology\",\"FirstCategoryId\":\"1085\",\"ListUrlMain\":\"https://doi.org/10.1159/000546701\",\"RegionNum\":0,\"RegionCategory\":null,\"ArticlePicture\":[],\"TitleCN\":null,\"AbstractTextCN\":null,\"PMCID\":null,\"EPubDate\":\"2025/1/1 0:00:00\",\"PubModel\":\"eCollection\",\"JCR\":\"Q4\",\"JCRName\":\"DERMATOLOGY\",\"Score\":null,\"Total\":0}","platform":"Semanticscholar","paperid":null,"PeriodicalName":"Case Reports in Dermatology","FirstCategoryId":"1085","ListUrlMain":"https://doi.org/10.1159/000546701","RegionNum":0,"RegionCategory":null,"ArticlePicture":[],"TitleCN":null,"AbstractTextCN":null,"PMCID":null,"EPubDate":"2025/1/1 0:00:00","PubModel":"eCollection","JCR":"Q4","JCRName":"DERMATOLOGY","Score":null,"Total":0}
引用次数: 0

摘要

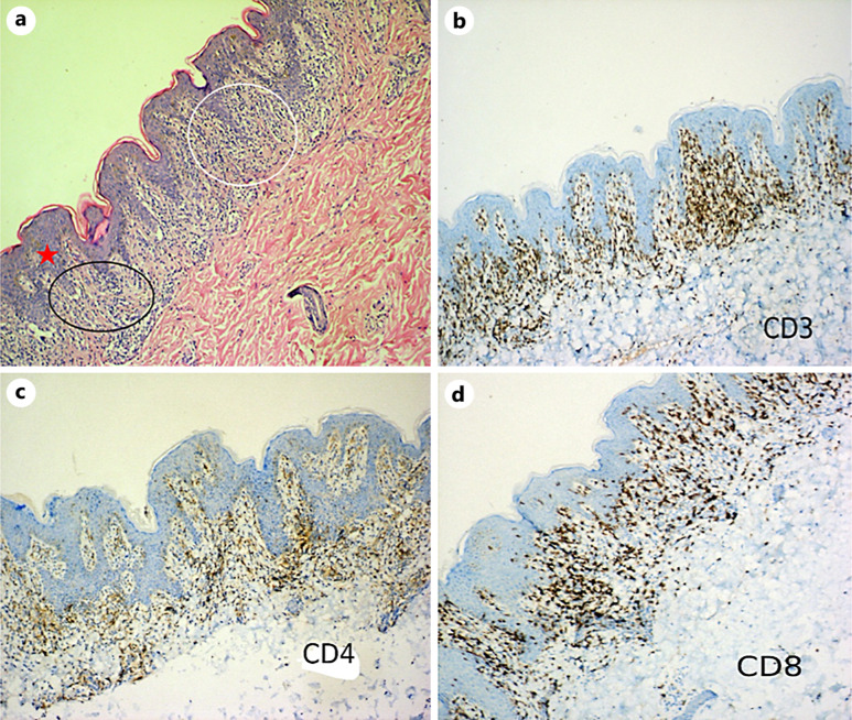
青年环状苔藓样皮炎(ALDY)是一种罕见且报道不足的皮肤病。它主要影响儿童和青少年。临床上,ALDY表现为红斑环状斑点或斑块,边缘凸起,中心色素沉着,主要影响躯干和屈曲区。病因尚不清楚,由于其与其他环状皮肤病相似,该病的诊断具有挑战性。病例介绍:一名5岁女性,表现为躯干、腹部、腰部和两侧无症状的环状红斑病变。最初的鉴别诊断包括环状红斑、体癣、斑疹和蕈样真菌病。真菌学检查为阴性,对症治疗氢化可的松和吡美莫司导致暂时的病变消退,但停止治疗后复发。皮肤活检显示ALDY的组织病理学特征,包括基底层空泡化和突出的地衣样淋巴细胞浸润。免疫组化分析支持诊断。结论:ALDY仍然是一个诊断挑战,因为它的临床重叠与其他环状皮肤病。组织病理学检查是明确诊断的必要条件。ALDY的慢性和复发性强调了长期管理策略的重要性,包括局部皮质类固醇和免疫调节剂。皮肤科医生对ALDY的认识有助于早期识别和适当的管理,最终改善患者的预后。
本文章由计算机程序翻译,如有差异,请以英文原文为准。

The Importance of Histopathology in the Diagnosis of Annular Lichenoid Dermatitis of Youth: A Case Report.

The Importance of Histopathology in the Diagnosis of Annular Lichenoid Dermatitis of Youth: A Case Report.

The Importance of Histopathology in the Diagnosis of Annular Lichenoid Dermatitis of Youth: A Case Report.

Introduction: Annular lichenoid dermatitis of youth (ALDY) is a rare and underreported dermatologic condition. It primarily affects children and adolescents. Clinically, ALDY presents as erythematous annular macules or plaques with raised borders and hypopigmented centers, predominantly affecting the trunk and flexural areas. The etiology remains unknown, and the condition poses a diagnostic challenge due to its resemblance to other annular dermatoses.

Case presentation: A 5-year-old female presented with asymptomatic annular erythematous lesions on the trunk, abdomen, lumbar region, and flanks. Initial differential diagnoses included annular erythema, tinea corporis, morphea, and mycosis fungoides. A mycological examination was negative, and symptomatic treatment with hydrocortisone and pimecrolimus led to temporary lesion resolution, but recurrence followed treatment cessation. A skin biopsy revealed histopathological features characteristic of ALDY, including basal layer vacuolization and a prominent lichenoid lymphocytic infiltrate. Immunohistochemical analysis supported the diagnosis.

Conclusion: ALDY remains a diagnostic challenge due to its clinical overlap with other annular dermatoses. Histopathological examination is essential for definitive diagnosis. The chronic and recurrent nature of ALDY underscores the importance of long-term management strategies, including topical corticosteroids and immunomodulators. Awareness of ALDY among dermatologists can aid in early recognition and appropriate management, ultimately improving patient outcomes.

求助全文
通过发布文献求助,成功后即可免费获取论文全文。 去求助
来源期刊
CiteScore
1.60
自引率
0.00%
发文量
57
审稿时长
9 weeks
×
引用
GB/T 7714-2015
复制
MLA
复制
APA
复制
导出至
BibTeX EndNote RefMan NoteFirst NoteExpress
×
提示
您的信息不完整,为了账户安全,请先补充。
现在去补充
×
提示
您因"违规操作"
具体请查看互助需知
我知道了
×
提示
确定
请完成安全验证×
copy
已复制链接
快去分享给好友吧!
我知道了
右上角分享
点击右上角分享
0
联系我们:info@booksci.cn Book学术提供免费学术资源搜索服务,方便国内外学者检索中英文文献。致力于提供最便捷和优质的服务体验。 Copyright © 2023 布克学术 All rights reserved.
京ICP备2023020795号-1
ghs 京公网安备 11010802042870号
Book学术文献互助
Book学术文献互助群
群 号:604180095
Book学术官方微信