由红毛癣菌引起的老年女性角状细胞1例。

IF 0.8 Q4 DERMATOLOGY
Case Reports in Dermatology Pub Date : 2025-07-04 eCollection Date: 2025-01-01 DOI:10.1159/000547156
Andraž Jahič, Jan Stanič, Rok Tomazin, Mateja Dolenc Voljč
{"title":"由红毛癣菌引起的老年女性角状细胞1例。","authors":"Andraž Jahič, Jan Stanič, Rok Tomazin, Mateja Dolenc Voljč","doi":"10.1159/000547156","DOIUrl":null,"url":null,"abstract":"<p><strong>Introduction: </strong>Kerion celsi is a form of deep inflammatory tinea capitis, presenting with suppurative, tender plaque, often with pustules and purulent drainage. Tinea capitis is believed to be increasing in incidence worldwide. It mostly affects children and is most commonly caused by zoophilic dermatophytes. Globally, the most common transmission route is anthropophilic.</p><p><strong>Case presentation: </strong>Here, we present a case of a 92-year-old female without associated chronic diseases, who lived alone in urban apartment and developed kerion in addition to having chronic untreated toenail onychomycosis and tinea pedis. Using PCR, we confirmed <i>Trichophyton rubrum</i> as the causative pathogen of toenail onychomycosis and kerion, suspecting autoinoculation pattern of transmission of dermatophytes from feet to the scalp. With the literature review, we discovered sporadic case reports, linking toenail onychomycosis caused by <i>T. rubrum</i> to development of kerion and kerion-like lesions in adult patients.</p><p><strong>Conclusion: </strong>Our case report: (1) adds another interesting case to series of rare cases of <i>T. rubrum</i> causing kerion in elderly, suspecting it is in fact more common than thought, (2) highlights PCR as a useful diagnostic tool for fast diagnosis and implementation of appropriate antifungal therapy, (3) recognizes a pattern of autoinoculation transmission of <i>T. rubrum</i> from toenail onychomycosis to the scalp, causing kerion celsi in elderly.</p>","PeriodicalId":9619,"journal":{"name":"Case Reports in Dermatology","volume":"17 1","pages":"304-310"},"PeriodicalIF":0.8000,"publicationDate":"2025-07-04","publicationTypes":"Journal Article","fieldsOfStudy":null,"isOpenAccess":false,"openAccessPdf":"https://www.ncbi.nlm.nih.gov/pmc/articles/PMC12327931/pdf/","citationCount":"0","resultStr":"{\"title\":\"Kerion Celsi in Elderly Female, Caused by <i>Trichophyton rubrum</i>: Case Report.\",\"authors\":\"Andraž Jahič, Jan Stanič, Rok Tomazin, Mateja Dolenc Voljč\",\"doi\":\"10.1159/000547156\",\"DOIUrl\":null,\"url\":null,\"abstract\":\"<p><strong>Introduction: </strong>Kerion celsi is a form of deep inflammatory tinea capitis, presenting with suppurative, tender plaque, often with pustules and purulent drainage. Tinea capitis is believed to be increasing in incidence worldwide. It mostly affects children and is most commonly caused by zoophilic dermatophytes. Globally, the most common transmission route is anthropophilic.</p><p><strong>Case presentation: </strong>Here, we present a case of a 92-year-old female without associated chronic diseases, who lived alone in urban apartment and developed kerion in addition to having chronic untreated toenail onychomycosis and tinea pedis. Using PCR, we confirmed <i>Trichophyton rubrum</i> as the causative pathogen of toenail onychomycosis and kerion, suspecting autoinoculation pattern of transmission of dermatophytes from feet to the scalp. With the literature review, we discovered sporadic case reports, linking toenail onychomycosis caused by <i>T. rubrum</i> to development of kerion and kerion-like lesions in adult patients.</p><p><strong>Conclusion: </strong>Our case report: (1) adds another interesting case to series of rare cases of <i>T. rubrum</i> causing kerion in elderly, suspecting it is in fact more common than thought, (2) highlights PCR as a useful diagnostic tool for fast diagnosis and implementation of appropriate antifungal therapy, (3) recognizes a pattern of autoinoculation transmission of <i>T. rubrum</i> from toenail onychomycosis to the scalp, causing kerion celsi in elderly.</p>\",\"PeriodicalId\":9619,\"journal\":{\"name\":\"Case Reports in Dermatology\",\"volume\":\"17 1\",\"pages\":\"304-310\"},\"PeriodicalIF\":0.8000,\"publicationDate\":\"2025-07-04\",\"publicationTypes\":\"Journal Article\",\"fieldsOfStudy\":null,\"isOpenAccess\":false,\"openAccessPdf\":\"https://www.ncbi.nlm.nih.gov/pmc/articles/PMC12327931/pdf/\",\"citationCount\":\"0\",\"resultStr\":null,\"platform\":\"Semanticscholar\",\"paperid\":null,\"PeriodicalName\":\"Case Reports in Dermatology\",\"FirstCategoryId\":\"1085\",\"ListUrlMain\":\"https://doi.org/10.1159/000547156\",\"RegionNum\":0,\"RegionCategory\":null,\"ArticlePicture\":[],\"TitleCN\":null,\"AbstractTextCN\":null,\"PMCID\":null,\"EPubDate\":\"2025/1/1 0:00:00\",\"PubModel\":\"eCollection\",\"JCR\":\"Q4\",\"JCRName\":\"DERMATOLOGY\",\"Score\":null,\"Total\":0}","platform":"Semanticscholar","paperid":null,"PeriodicalName":"Case Reports in Dermatology","FirstCategoryId":"1085","ListUrlMain":"https://doi.org/10.1159/000547156","RegionNum":0,"RegionCategory":null,"ArticlePicture":[],"TitleCN":null,"AbstractTextCN":null,"PMCID":null,"EPubDate":"2025/1/1 0:00:00","PubModel":"eCollection","JCR":"Q4","JCRName":"DERMATOLOGY","Score":null,"Total":0}
引用次数: 0

摘要

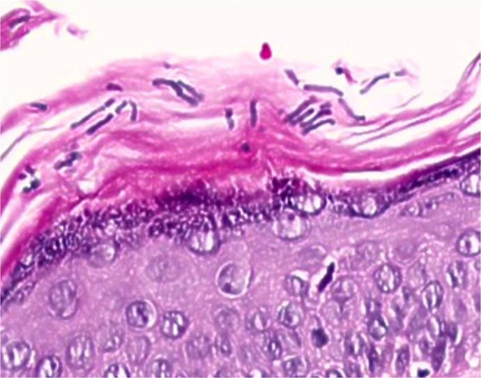
简介:角质瘤是一种深度炎症性头癣,表现为化脓性、压痛斑块,常伴有脓疱和化脓性引流。人们认为,头癣在世界范围内的发病率正在上升。它主要影响儿童,最常见的是由嗜兽性皮肤真菌引起的。在全球范围内,最常见的传播途径是亲人类。病例介绍:在这里,我们提出一个没有相关慢性病的92岁女性病例,她独自住在城市公寓,除了慢性未经治疗的趾甲甲真菌病和足癣外,还发展了角质。采用PCR方法,证实红毛癣菌为甲癣和角癣的致病菌,怀疑该菌从足部向头皮传播的自接种方式。通过文献回顾,我们发现了零星的病例报告,将成人患者中由红毛滴虫引起的趾甲真菌病与角质和角质样病变的发展联系起来。结论:我们的病例报告:(1)为一系列罕见的引起老年人角质的红色滴虫病例增加了另一个有趣的病例,怀疑它实际上比想象的更常见;(2)强调PCR是一种有用的诊断工具,可以快速诊断和实施适当的抗真菌治疗;(3)发现了一种从趾甲甲真菌病到头皮的自体接种传播模式,导致老年人角质细胞。
本文章由计算机程序翻译,如有差异,请以英文原文为准。

Kerion Celsi in Elderly Female, Caused by <i>Trichophyton rubrum</i>: Case Report.

Kerion Celsi in Elderly Female, Caused by <i>Trichophyton rubrum</i>: Case Report.

Kerion Celsi in Elderly Female, Caused by <i>Trichophyton rubrum</i>: Case Report.

Kerion Celsi in Elderly Female, Caused by Trichophyton rubrum: Case Report.

Introduction: Kerion celsi is a form of deep inflammatory tinea capitis, presenting with suppurative, tender plaque, often with pustules and purulent drainage. Tinea capitis is believed to be increasing in incidence worldwide. It mostly affects children and is most commonly caused by zoophilic dermatophytes. Globally, the most common transmission route is anthropophilic.

Case presentation: Here, we present a case of a 92-year-old female without associated chronic diseases, who lived alone in urban apartment and developed kerion in addition to having chronic untreated toenail onychomycosis and tinea pedis. Using PCR, we confirmed Trichophyton rubrum as the causative pathogen of toenail onychomycosis and kerion, suspecting autoinoculation pattern of transmission of dermatophytes from feet to the scalp. With the literature review, we discovered sporadic case reports, linking toenail onychomycosis caused by T. rubrum to development of kerion and kerion-like lesions in adult patients.

Conclusion: Our case report: (1) adds another interesting case to series of rare cases of T. rubrum causing kerion in elderly, suspecting it is in fact more common than thought, (2) highlights PCR as a useful diagnostic tool for fast diagnosis and implementation of appropriate antifungal therapy, (3) recognizes a pattern of autoinoculation transmission of T. rubrum from toenail onychomycosis to the scalp, causing kerion celsi in elderly.

求助全文
通过发布文献求助,成功后即可免费获取论文全文。 去求助
来源期刊
CiteScore
1.60
自引率
0.00%
发文量
57
审稿时长
9 weeks
×
引用
GB/T 7714-2015
复制
MLA
复制
APA
复制
导出至
BibTeX EndNote RefMan NoteFirst NoteExpress
×
提示
您的信息不完整,为了账户安全,请先补充。
现在去补充
×
提示
您因"违规操作"
具体请查看互助需知
我知道了
×
提示
确定
请完成安全验证×
copy
已复制链接
快去分享给好友吧!
我知道了
右上角分享
点击右上角分享
0
联系我们:info@booksci.cn Book学术提供免费学术资源搜索服务,方便国内外学者检索中英文文献。致力于提供最便捷和优质的服务体验。 Copyright © 2023 布克学术 All rights reserved.
京ICP备2023020795号-1
ghs 京公网安备 11010802042870号
Book学术文献互助
Book学术文献互助群
群 号:604180095
Book学术官方微信