腺泡-神经内分泌混合型胰腺癌1例:罕见的胰腺癌亚型。

IF 0.6 Q4 GASTROENTEROLOGY & HEPATOLOGY
Case Reports in Gastroenterology Pub Date : 2025-08-06 eCollection Date: 2025-01-01 DOI:10.1159/000546722
Thai Hau Koo, Venkata Sunkesula, Melissa Daou, Salah Abdel Jalil, Richard Wong, Ala Abdel-Jalil, Elham Abdel Jalil
{"title":"腺泡-神经内分泌混合型胰腺癌1例:罕见的胰腺癌亚型。","authors":"Thai Hau Koo, Venkata Sunkesula, Melissa Daou, Salah Abdel Jalil, Richard Wong, Ala Abdel-Jalil, Elham Abdel Jalil","doi":"10.1159/000546722","DOIUrl":null,"url":null,"abstract":"<p><strong>Introduction: </strong>Mixed acinar-neuroendocrine carcinoma (MANEC) is a rare variant of pancreatic carcinoma, the morphology of which shows features of both acinar cell carcinoma and neuroendocrine carcinomas. To date, only approximately 70 cases of MANEC have been reported.</p><p><strong>Case presentation: </strong>We report a rare case of a 63-year-old male cirrhotic patient who presented with a pancreatic body/tail mass, which was later confirmed to be an MANEC. He was initiated on neoadjuvant chemotherapy with FOLFIRINOX, but unfortunately died before surgery.</p><p><strong>Conclusion: </strong>MANEC is a rare sporadic tumor of the pancreas. Further studies on the clinicopathological behavior of MANEC are needed to help better understand the disease and establish standardized management.</p>","PeriodicalId":9614,"journal":{"name":"Case Reports in Gastroenterology","volume":"19 1","pages":"541-547"},"PeriodicalIF":0.6000,"publicationDate":"2025-08-06","publicationTypes":"Journal Article","fieldsOfStudy":null,"isOpenAccess":false,"openAccessPdf":"https://www.ncbi.nlm.nih.gov/pmc/articles/PMC12327934/pdf/","citationCount":"0","resultStr":"{\"title\":\"A Case Report of Mixed Acinar-Neuroendocrine Pancreatic Carcinoma: A Rare Subtype of Pancreatic Cancer.\",\"authors\":\"Thai Hau Koo, Venkata Sunkesula, Melissa Daou, Salah Abdel Jalil, Richard Wong, Ala Abdel-Jalil, Elham Abdel Jalil\",\"doi\":\"10.1159/000546722\",\"DOIUrl\":null,\"url\":null,\"abstract\":\"<p><strong>Introduction: </strong>Mixed acinar-neuroendocrine carcinoma (MANEC) is a rare variant of pancreatic carcinoma, the morphology of which shows features of both acinar cell carcinoma and neuroendocrine carcinomas. To date, only approximately 70 cases of MANEC have been reported.</p><p><strong>Case presentation: </strong>We report a rare case of a 63-year-old male cirrhotic patient who presented with a pancreatic body/tail mass, which was later confirmed to be an MANEC. He was initiated on neoadjuvant chemotherapy with FOLFIRINOX, but unfortunately died before surgery.</p><p><strong>Conclusion: </strong>MANEC is a rare sporadic tumor of the pancreas. Further studies on the clinicopathological behavior of MANEC are needed to help better understand the disease and establish standardized management.</p>\",\"PeriodicalId\":9614,\"journal\":{\"name\":\"Case Reports in Gastroenterology\",\"volume\":\"19 1\",\"pages\":\"541-547\"},\"PeriodicalIF\":0.6000,\"publicationDate\":\"2025-08-06\",\"publicationTypes\":\"Journal Article\",\"fieldsOfStudy\":null,\"isOpenAccess\":false,\"openAccessPdf\":\"https://www.ncbi.nlm.nih.gov/pmc/articles/PMC12327934/pdf/\",\"citationCount\":\"0\",\"resultStr\":null,\"platform\":\"Semanticscholar\",\"paperid\":null,\"PeriodicalName\":\"Case Reports in Gastroenterology\",\"FirstCategoryId\":\"1085\",\"ListUrlMain\":\"https://doi.org/10.1159/000546722\",\"RegionNum\":0,\"RegionCategory\":null,\"ArticlePicture\":[],\"TitleCN\":null,\"AbstractTextCN\":null,\"PMCID\":null,\"EPubDate\":\"2025/1/1 0:00:00\",\"PubModel\":\"eCollection\",\"JCR\":\"Q4\",\"JCRName\":\"GASTROENTEROLOGY & HEPATOLOGY\",\"Score\":null,\"Total\":0}","platform":"Semanticscholar","paperid":null,"PeriodicalName":"Case Reports in Gastroenterology","FirstCategoryId":"1085","ListUrlMain":"https://doi.org/10.1159/000546722","RegionNum":0,"RegionCategory":null,"ArticlePicture":[],"TitleCN":null,"AbstractTextCN":null,"PMCID":null,"EPubDate":"2025/1/1 0:00:00","PubModel":"eCollection","JCR":"Q4","JCRName":"GASTROENTEROLOGY & HEPATOLOGY","Score":null,"Total":0}
引用次数: 0

摘要

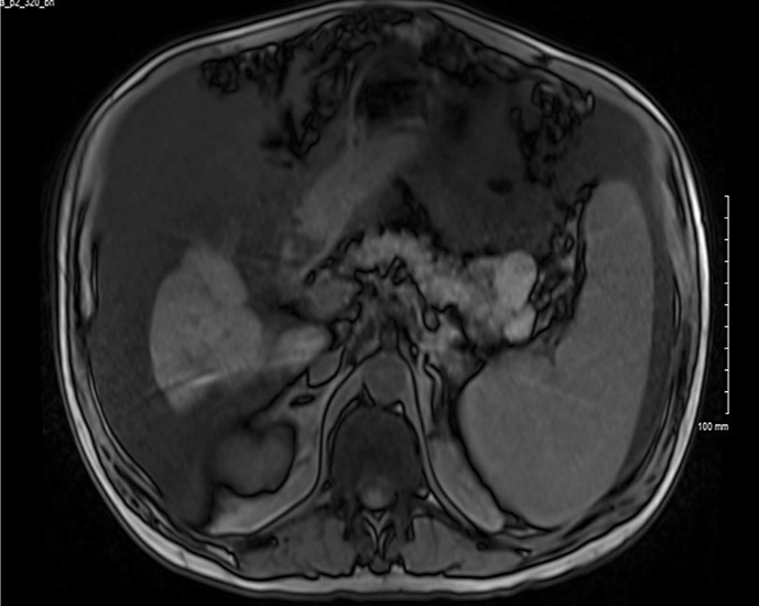
摘要:腺泡-神经内分泌混合性癌(MANEC)是一种罕见的胰腺肿瘤,其形态具有腺泡细胞癌和神经内分泌癌的双重特征。迄今为止,仅报告了大约70例MANEC病例。病例介绍:我们报告一例罕见的63岁男性肝硬化患者,他表现为胰腺体/尾部肿块,后来被证实为MANEC。患者开始接受FOLFIRINOX新辅助化疗,但不幸在手术前死亡。结论:MANEC是一种罕见的胰腺散发性肿瘤。需要进一步研究MANEC的临床病理行为,以帮助更好地了解疾病并建立规范的管理。
本文章由计算机程序翻译,如有差异,请以英文原文为准。

A Case Report of Mixed Acinar-Neuroendocrine Pancreatic Carcinoma: A Rare Subtype of Pancreatic Cancer.

A Case Report of Mixed Acinar-Neuroendocrine Pancreatic Carcinoma: A Rare Subtype of Pancreatic Cancer.

A Case Report of Mixed Acinar-Neuroendocrine Pancreatic Carcinoma: A Rare Subtype of Pancreatic Cancer.

A Case Report of Mixed Acinar-Neuroendocrine Pancreatic Carcinoma: A Rare Subtype of Pancreatic Cancer.

Introduction: Mixed acinar-neuroendocrine carcinoma (MANEC) is a rare variant of pancreatic carcinoma, the morphology of which shows features of both acinar cell carcinoma and neuroendocrine carcinomas. To date, only approximately 70 cases of MANEC have been reported.

Case presentation: We report a rare case of a 63-year-old male cirrhotic patient who presented with a pancreatic body/tail mass, which was later confirmed to be an MANEC. He was initiated on neoadjuvant chemotherapy with FOLFIRINOX, but unfortunately died before surgery.

Conclusion: MANEC is a rare sporadic tumor of the pancreas. Further studies on the clinicopathological behavior of MANEC are needed to help better understand the disease and establish standardized management.

求助全文
通过发布文献求助,成功后即可免费获取论文全文。 去求助
来源期刊
Case Reports in Gastroenterology
Case Reports in Gastroenterology Medicine-Gastroenterology
CiteScore
1.10
自引率
0.00%
发文量
99
审稿时长
7 weeks
期刊介绍:
×
引用
GB/T 7714-2015
复制
MLA
复制
APA
复制
导出至
BibTeX EndNote RefMan NoteFirst NoteExpress
×
提示
您的信息不完整,为了账户安全,请先补充。
现在去补充
×
提示
您因"违规操作"
具体请查看互助需知
我知道了
×
提示
确定
请完成安全验证×
copy
已复制链接
快去分享给好友吧!
我知道了
右上角分享
点击右上角分享
0
联系我们:info@booksci.cn Book学术提供免费学术资源搜索服务,方便国内外学者检索中英文文献。致力于提供最便捷和优质的服务体验。 Copyright © 2023 布克学术 All rights reserved.
京ICP备2023020795号-1
ghs 京公网安备 11010802042870号
Book学术文献互助
Book学术文献互助群
群 号:604180095
Book学术官方微信