腺泡细胞囊腺瘤合并胰腺上皮内瘤变1例:是否总是良性的?

IF 0.6 Q4 GASTROENTEROLOGY & HEPATOLOGY
Case Reports in Gastroenterology Pub Date : 2025-08-06 eCollection Date: 2025-01-01 DOI:10.1159/000546668
Thai Hau Koo, Venkata Sunkesula, Salah Abdel Jalil, Richard Wong, Ala Abdel-Jalil, Elham Abdel Jalil
{"title":"腺泡细胞囊腺瘤合并胰腺上皮内瘤变1例:是否总是良性的?","authors":"Thai Hau Koo, Venkata Sunkesula, Salah Abdel Jalil, Richard Wong, Ala Abdel-Jalil, Elham Abdel Jalil","doi":"10.1159/000546668","DOIUrl":null,"url":null,"abstract":"<p><strong>Introduction: </strong>The exact etiology of acinar cell cystadenoma (ACC) has been debated, primarily whether it originates from or carries the risk of an underlying neoplasia. Pancreatic intraepithelial neoplasia (PanIN) is presumed to be a noninvasive precursor of pancreatic ductal adenocarcinoma. This report presents a rare case of ACC with low-grade PanIN that required surgical resection.</p><p><strong>Case presentation: </strong>A 60-year-old female with an unremarkable medical history presented with epigastric pain for 2 weeks. Her initial laboratory workup was notable for mild isolated elevation of alkaline phosphatase. Abdominal computed tomography revealed a 5.0 × 4.0 cm cystic lesion in the pancreatic head with thick internal septations. Magnetic resonance cholangiopancreatography showed a 5.2 × 4.5 × 6.8 cm lobulated cystic lesion in the pancreatic head with a microcystic configuration, multiple internal septations, and a hypointense central scar. Endosonographic examination showed a large multicystic lesion in the pancreatic head region. Fine-needle aspiration showed a carcinoembryonic antigen level of 555 ng/mL and an amylase level of 13,593 U/L. No KRAS or GNAS mutations or loss of heterozygosity was detected. Subsequently, the patient underwent a Whipple procedure. Pathologic examination revealed a complex cystic lesion with well-differentiated acinar cells and patches of ductal epithelium compatible with ACC. Histological examination confirmed the presence of low-grade PanIN without invasive carcinoma. The patient recovered well from surgery, and repeat imaging 2 months later was unremarkable.</p><p><strong>Conclusion: </strong>ACC is a rare benign pancreatic lesion. Low-grade PanIN is typically found in benign pancreatic lesions. Resection is recommended for symptomatic patients.</p>","PeriodicalId":9614,"journal":{"name":"Case Reports in Gastroenterology","volume":"19 1","pages":"534-540"},"PeriodicalIF":0.6000,"publicationDate":"2025-08-06","publicationTypes":"Journal Article","fieldsOfStudy":null,"isOpenAccess":false,"openAccessPdf":"https://www.ncbi.nlm.nih.gov/pmc/articles/PMC12327933/pdf/","citationCount":"0","resultStr":"{\"title\":\"A Case Report of Acinar Cell Cystadenoma with Pancreatic Intraepithelial Neoplasia: Is It Always Benign?\",\"authors\":\"Thai Hau Koo, Venkata Sunkesula, Salah Abdel Jalil, Richard Wong, Ala Abdel-Jalil, Elham Abdel Jalil\",\"doi\":\"10.1159/000546668\",\"DOIUrl\":null,\"url\":null,\"abstract\":\"<p><strong>Introduction: </strong>The exact etiology of acinar cell cystadenoma (ACC) has been debated, primarily whether it originates from or carries the risk of an underlying neoplasia. Pancreatic intraepithelial neoplasia (PanIN) is presumed to be a noninvasive precursor of pancreatic ductal adenocarcinoma. This report presents a rare case of ACC with low-grade PanIN that required surgical resection.</p><p><strong>Case presentation: </strong>A 60-year-old female with an unremarkable medical history presented with epigastric pain for 2 weeks. Her initial laboratory workup was notable for mild isolated elevation of alkaline phosphatase. Abdominal computed tomography revealed a 5.0 × 4.0 cm cystic lesion in the pancreatic head with thick internal septations. Magnetic resonance cholangiopancreatography showed a 5.2 × 4.5 × 6.8 cm lobulated cystic lesion in the pancreatic head with a microcystic configuration, multiple internal septations, and a hypointense central scar. Endosonographic examination showed a large multicystic lesion in the pancreatic head region. Fine-needle aspiration showed a carcinoembryonic antigen level of 555 ng/mL and an amylase level of 13,593 U/L. No KRAS or GNAS mutations or loss of heterozygosity was detected. Subsequently, the patient underwent a Whipple procedure. Pathologic examination revealed a complex cystic lesion with well-differentiated acinar cells and patches of ductal epithelium compatible with ACC. Histological examination confirmed the presence of low-grade PanIN without invasive carcinoma. The patient recovered well from surgery, and repeat imaging 2 months later was unremarkable.</p><p><strong>Conclusion: </strong>ACC is a rare benign pancreatic lesion. Low-grade PanIN is typically found in benign pancreatic lesions. Resection is recommended for symptomatic patients.</p>\",\"PeriodicalId\":9614,\"journal\":{\"name\":\"Case Reports in Gastroenterology\",\"volume\":\"19 1\",\"pages\":\"534-540\"},\"PeriodicalIF\":0.6000,\"publicationDate\":\"2025-08-06\",\"publicationTypes\":\"Journal Article\",\"fieldsOfStudy\":null,\"isOpenAccess\":false,\"openAccessPdf\":\"https://www.ncbi.nlm.nih.gov/pmc/articles/PMC12327933/pdf/\",\"citationCount\":\"0\",\"resultStr\":null,\"platform\":\"Semanticscholar\",\"paperid\":null,\"PeriodicalName\":\"Case Reports in Gastroenterology\",\"FirstCategoryId\":\"1085\",\"ListUrlMain\":\"https://doi.org/10.1159/000546668\",\"RegionNum\":0,\"RegionCategory\":null,\"ArticlePicture\":[],\"TitleCN\":null,\"AbstractTextCN\":null,\"PMCID\":null,\"EPubDate\":\"2025/1/1 0:00:00\",\"PubModel\":\"eCollection\",\"JCR\":\"Q4\",\"JCRName\":\"GASTROENTEROLOGY & HEPATOLOGY\",\"Score\":null,\"Total\":0}","platform":"Semanticscholar","paperid":null,"PeriodicalName":"Case Reports in Gastroenterology","FirstCategoryId":"1085","ListUrlMain":"https://doi.org/10.1159/000546668","RegionNum":0,"RegionCategory":null,"ArticlePicture":[],"TitleCN":null,"AbstractTextCN":null,"PMCID":null,"EPubDate":"2025/1/1 0:00:00","PubModel":"eCollection","JCR":"Q4","JCRName":"GASTROENTEROLOGY & HEPATOLOGY","Score":null,"Total":0}
引用次数: 0

摘要

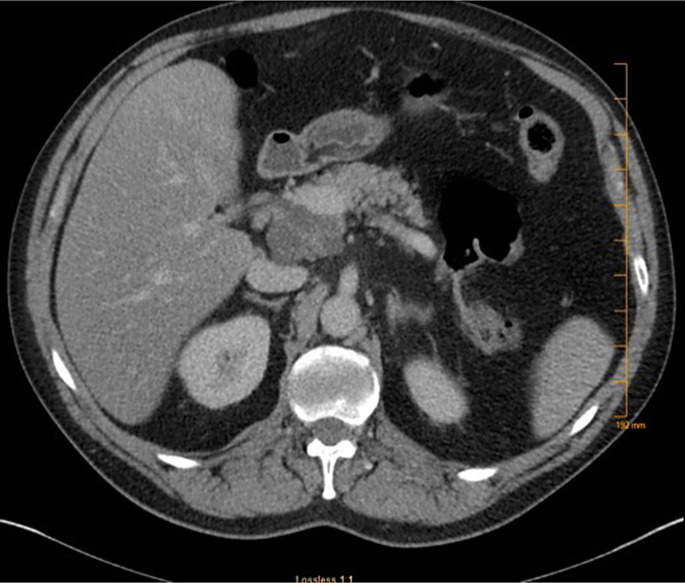
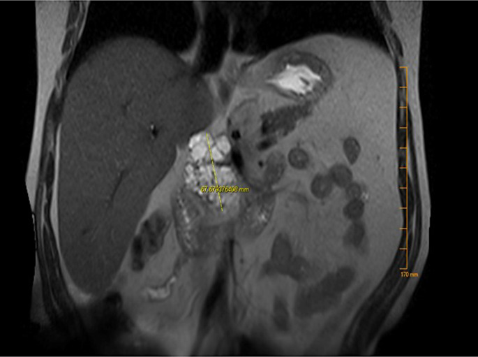
腺泡细胞囊腺瘤(ACC)的确切病因一直存在争议,主要是它是否起源于潜在的肿瘤,还是有潜在的肿瘤风险。胰腺上皮内瘤变(PanIN)被认为是胰腺导管腺癌的非侵袭性前体。本文报告一例罕见的ACC合并低级别PanIN,需要手术切除。病例介绍:60岁女性,无明显病史,腹痛2周。她最初的实验室检查显示轻度孤立性碱性磷酸酶升高。腹部计算机断层扫描显示胰腺头部一5.0 × 4.0 cm囊性病变,内隔较厚。磁共振胰胆管造影示胰腺头部一5.2 × 4.5 × 6.8 cm分叶状囊性病变,呈微囊状结构,多发内隔,中心处低信号瘢痕。超声检查显示胰头区有一个大的多囊性病变。细针穿刺癌胚抗原水平为555 ng/mL,淀粉酶水平为13593 U/L。未发现KRAS或GNAS突变或杂合性缺失。随后,患者接受了惠普尔手术。病理检查显示一个复杂的囊性病变,有分化良好的腺泡细胞和与ACC相容的导管上皮斑块。组织学检查证实存在低级别PanIN,无浸润性癌。患者术后恢复良好,2个月后复查无明显异常。结论:ACC是一种罕见的胰腺良性病变。低级别PanIN通常见于良性胰腺病变。有症状的患者建议切除。
本文章由计算机程序翻译,如有差异,请以英文原文为准。

A Case Report of Acinar Cell Cystadenoma with Pancreatic Intraepithelial Neoplasia: Is It Always Benign?

A Case Report of Acinar Cell Cystadenoma with Pancreatic Intraepithelial Neoplasia: Is It Always Benign?

A Case Report of Acinar Cell Cystadenoma with Pancreatic Intraepithelial Neoplasia: Is It Always Benign?

A Case Report of Acinar Cell Cystadenoma with Pancreatic Intraepithelial Neoplasia: Is It Always Benign?

Introduction: The exact etiology of acinar cell cystadenoma (ACC) has been debated, primarily whether it originates from or carries the risk of an underlying neoplasia. Pancreatic intraepithelial neoplasia (PanIN) is presumed to be a noninvasive precursor of pancreatic ductal adenocarcinoma. This report presents a rare case of ACC with low-grade PanIN that required surgical resection.

Case presentation: A 60-year-old female with an unremarkable medical history presented with epigastric pain for 2 weeks. Her initial laboratory workup was notable for mild isolated elevation of alkaline phosphatase. Abdominal computed tomography revealed a 5.0 × 4.0 cm cystic lesion in the pancreatic head with thick internal septations. Magnetic resonance cholangiopancreatography showed a 5.2 × 4.5 × 6.8 cm lobulated cystic lesion in the pancreatic head with a microcystic configuration, multiple internal septations, and a hypointense central scar. Endosonographic examination showed a large multicystic lesion in the pancreatic head region. Fine-needle aspiration showed a carcinoembryonic antigen level of 555 ng/mL and an amylase level of 13,593 U/L. No KRAS or GNAS mutations or loss of heterozygosity was detected. Subsequently, the patient underwent a Whipple procedure. Pathologic examination revealed a complex cystic lesion with well-differentiated acinar cells and patches of ductal epithelium compatible with ACC. Histological examination confirmed the presence of low-grade PanIN without invasive carcinoma. The patient recovered well from surgery, and repeat imaging 2 months later was unremarkable.

Conclusion: ACC is a rare benign pancreatic lesion. Low-grade PanIN is typically found in benign pancreatic lesions. Resection is recommended for symptomatic patients.

求助全文
通过发布文献求助,成功后即可免费获取论文全文。 去求助
来源期刊
Case Reports in Gastroenterology
Case Reports in Gastroenterology Medicine-Gastroenterology
CiteScore
1.10
自引率
0.00%
发文量
99
审稿时长
7 weeks
期刊介绍:
×
引用
GB/T 7714-2015
复制
MLA
复制
APA
复制
导出至
BibTeX EndNote RefMan NoteFirst NoteExpress
×
提示
您的信息不完整,为了账户安全,请先补充。
现在去补充
×
提示
您因"违规操作"
具体请查看互助需知
我知道了
×
提示
确定
请完成安全验证×
copy
已复制链接
快去分享给好友吧!
我知道了
右上角分享
点击右上角分享
0
联系我们:info@booksci.cn Book学术提供免费学术资源搜索服务,方便国内外学者检索中英文文献。致力于提供最便捷和优质的服务体验。 Copyright © 2023 布克学术 All rights reserved.
京ICP备2023020795号-1
ghs 京公网安备 11010802042870号
Book学术文献互助
Book学术文献互助群
群 号:604180095
Book学术官方微信