继发性登革热感染并发噬血细胞性淋巴组织细胞增多症1例。

IF 0.8 Q4 INFECTIOUS DISEASES
Case Reports in Infectious Diseases Pub Date : 2025-07-30 eCollection Date: 2025-01-01 DOI:10.1155/crdi/9208878
Dominique D Davis, Saffett Guleryuz, Yehuda Galili, Pablo A Bejarano
{"title":"继发性登革热感染并发噬血细胞性淋巴组织细胞增多症1例。","authors":"Dominique D Davis, Saffett Guleryuz, Yehuda Galili, Pablo A Bejarano","doi":"10.1155/crdi/9208878","DOIUrl":null,"url":null,"abstract":"<p><p>Hemophagocytic lymphohistiocytosis is a fatal hyperinflammatory disorder in which CD8+ cytotoxic T-cells, natural killer cells, and macrophages destroy hematopoietic cells and vital organs. Viral infections, such as Epstein-Barr virus, are known to cause secondary hemophagocytic lymphohistiocytosis in adult patients. However, despite its rarity, dengue virus has been identified to potentially cause hemophagocytic syndrome, which is associated with significant mortality and morbidity. Herein, we present a case report of a 52-year-old male patient who presented with fevers, worsening non-bloody copious diarrhea, excessive fatigue, and nausea and vomiting. He was known to have sickle cell trait. A diagnosis of hemophagocytic lymphohistiocytosis was confirmed with a liver biopsy, accompanied by elevated ferritin levels (33,539 ng/mL), IL-2R levels (5944.2 pg/mL), thrombocytopenia (49 k/μL), anemia (hemoglobin and mean corpuscular volume of 7.3 g/dL and 77.3 fL), and elevated bilirubin (total bilirubin of 3.2 mg/dL). In addition, elevated IgG and IgM antibodies determined reinfection with dengue virus. The administration of dexamethasone, etoposide, and additional supportive medications was initiated. Despite all efforts, the patient's neurological status declined, and the patient died. In this case, dengue-induced hemophagocytic lymphohistiocytosis is a worrisome and challenging diagnostic condition, primarily due to the similarities between the symptoms of hemophagocytic lymphohistiocytosis and those of dengue hemorrhagic fever. Treatment delay may be an inevitable consequence. Differentiating between dengue hemorrhagic fever and dengue-induced hemophagocytic lymphohistiocytosis requires evaluating clinical, laboratory, and biopsy findings. The role of the sickle cell trait is unknown in the presentation.</p>","PeriodicalId":9608,"journal":{"name":"Case Reports in Infectious Diseases","volume":"2025 ","pages":"9208878"},"PeriodicalIF":0.8000,"publicationDate":"2025-07-30","publicationTypes":"Journal Article","fieldsOfStudy":null,"isOpenAccess":false,"openAccessPdf":"https://www.ncbi.nlm.nih.gov/pmc/articles/PMC12328046/pdf/","citationCount":"0","resultStr":"{\"title\":\"Secondary Dengue Infection Complicated by Hemophagocytic Lymphohistiocytosis: A Case Report.\",\"authors\":\"Dominique D Davis, Saffett Guleryuz, Yehuda Galili, Pablo A Bejarano\",\"doi\":\"10.1155/crdi/9208878\",\"DOIUrl\":null,\"url\":null,\"abstract\":\"<p><p>Hemophagocytic lymphohistiocytosis is a fatal hyperinflammatory disorder in which CD8+ cytotoxic T-cells, natural killer cells, and macrophages destroy hematopoietic cells and vital organs. Viral infections, such as Epstein-Barr virus, are known to cause secondary hemophagocytic lymphohistiocytosis in adult patients. However, despite its rarity, dengue virus has been identified to potentially cause hemophagocytic syndrome, which is associated with significant mortality and morbidity. Herein, we present a case report of a 52-year-old male patient who presented with fevers, worsening non-bloody copious diarrhea, excessive fatigue, and nausea and vomiting. He was known to have sickle cell trait. A diagnosis of hemophagocytic lymphohistiocytosis was confirmed with a liver biopsy, accompanied by elevated ferritin levels (33,539 ng/mL), IL-2R levels (5944.2 pg/mL), thrombocytopenia (49 k/μL), anemia (hemoglobin and mean corpuscular volume of 7.3 g/dL and 77.3 fL), and elevated bilirubin (total bilirubin of 3.2 mg/dL). In addition, elevated IgG and IgM antibodies determined reinfection with dengue virus. The administration of dexamethasone, etoposide, and additional supportive medications was initiated. Despite all efforts, the patient's neurological status declined, and the patient died. In this case, dengue-induced hemophagocytic lymphohistiocytosis is a worrisome and challenging diagnostic condition, primarily due to the similarities between the symptoms of hemophagocytic lymphohistiocytosis and those of dengue hemorrhagic fever. Treatment delay may be an inevitable consequence. Differentiating between dengue hemorrhagic fever and dengue-induced hemophagocytic lymphohistiocytosis requires evaluating clinical, laboratory, and biopsy findings. The role of the sickle cell trait is unknown in the presentation.</p>\",\"PeriodicalId\":9608,\"journal\":{\"name\":\"Case Reports in Infectious Diseases\",\"volume\":\"2025 \",\"pages\":\"9208878\"},\"PeriodicalIF\":0.8000,\"publicationDate\":\"2025-07-30\",\"publicationTypes\":\"Journal Article\",\"fieldsOfStudy\":null,\"isOpenAccess\":false,\"openAccessPdf\":\"https://www.ncbi.nlm.nih.gov/pmc/articles/PMC12328046/pdf/\",\"citationCount\":\"0\",\"resultStr\":null,\"platform\":\"Semanticscholar\",\"paperid\":null,\"PeriodicalName\":\"Case Reports in Infectious Diseases\",\"FirstCategoryId\":\"1085\",\"ListUrlMain\":\"https://doi.org/10.1155/crdi/9208878\",\"RegionNum\":0,\"RegionCategory\":null,\"ArticlePicture\":[],\"TitleCN\":null,\"AbstractTextCN\":null,\"PMCID\":null,\"EPubDate\":\"2025/1/1 0:00:00\",\"PubModel\":\"eCollection\",\"JCR\":\"Q4\",\"JCRName\":\"INFECTIOUS DISEASES\",\"Score\":null,\"Total\":0}","platform":"Semanticscholar","paperid":null,"PeriodicalName":"Case Reports in Infectious Diseases","FirstCategoryId":"1085","ListUrlMain":"https://doi.org/10.1155/crdi/9208878","RegionNum":0,"RegionCategory":null,"ArticlePicture":[],"TitleCN":null,"AbstractTextCN":null,"PMCID":null,"EPubDate":"2025/1/1 0:00:00","PubModel":"eCollection","JCR":"Q4","JCRName":"INFECTIOUS DISEASES","Score":null,"Total":0}
引用次数: 0

摘要

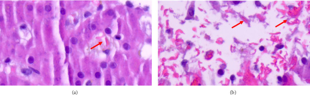
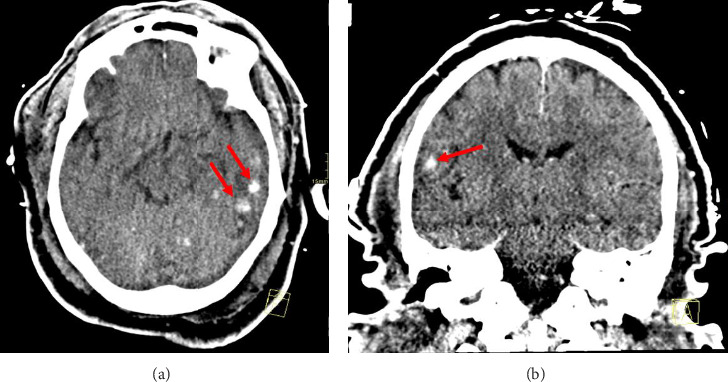
噬血细胞性淋巴组织细胞增多症是一种致命的高炎性疾病,CD8+细胞毒性t细胞、自然杀伤细胞和巨噬细胞破坏造血细胞和重要器官。病毒感染,如爱泼斯坦-巴尔病毒,已知可引起成人患者继发性噬血细胞淋巴组织细胞增多症。然而,尽管罕见,但已确定登革热病毒可能导致噬血细胞综合征,这与大量死亡率和发病率相关。在此,我们报告一例52岁男性患者,其表现为发烧,非血性腹泻加重,过度疲劳,恶心和呕吐。他被认为有镰状细胞特征。肝活检证实为噬血细胞淋巴组织细胞增多症,伴铁蛋白水平升高(33,539 ng/mL)、IL-2R水平升高(5944.2 pg/mL)、血小板减少(49 k/μL)、贫血(血红蛋白和平均红细胞体积分别为7.3 g/dL和77.3 fL)和胆红素升高(总胆红素为3.2 mg/dL)。此外,升高的IgG和IgM抗体确定再感染登革病毒。开始使用地塞米松、依托泊苷和其他支持性药物。尽管做了所有的努力,病人的神经系统状况还是下降了,最后病人死了。在这种情况下,登革热引起的噬血细胞性淋巴组织细胞增多症是一种令人担忧和具有挑战性的诊断条件,主要是因为噬血细胞性淋巴组织细胞增多症的症状与登革出血热的症状相似。治疗延误可能是不可避免的后果。区分登革出血热和登革热引起的噬血细胞淋巴组织细胞病需要评估临床、实验室和活检结果。镰状细胞性状的作用在报告中尚不清楚。
本文章由计算机程序翻译,如有差异,请以英文原文为准。

Secondary Dengue Infection Complicated by Hemophagocytic Lymphohistiocytosis: A Case Report.

Secondary Dengue Infection Complicated by Hemophagocytic Lymphohistiocytosis: A Case Report.

Secondary Dengue Infection Complicated by Hemophagocytic Lymphohistiocytosis: A Case Report.

Hemophagocytic lymphohistiocytosis is a fatal hyperinflammatory disorder in which CD8+ cytotoxic T-cells, natural killer cells, and macrophages destroy hematopoietic cells and vital organs. Viral infections, such as Epstein-Barr virus, are known to cause secondary hemophagocytic lymphohistiocytosis in adult patients. However, despite its rarity, dengue virus has been identified to potentially cause hemophagocytic syndrome, which is associated with significant mortality and morbidity. Herein, we present a case report of a 52-year-old male patient who presented with fevers, worsening non-bloody copious diarrhea, excessive fatigue, and nausea and vomiting. He was known to have sickle cell trait. A diagnosis of hemophagocytic lymphohistiocytosis was confirmed with a liver biopsy, accompanied by elevated ferritin levels (33,539 ng/mL), IL-2R levels (5944.2 pg/mL), thrombocytopenia (49 k/μL), anemia (hemoglobin and mean corpuscular volume of 7.3 g/dL and 77.3 fL), and elevated bilirubin (total bilirubin of 3.2 mg/dL). In addition, elevated IgG and IgM antibodies determined reinfection with dengue virus. The administration of dexamethasone, etoposide, and additional supportive medications was initiated. Despite all efforts, the patient's neurological status declined, and the patient died. In this case, dengue-induced hemophagocytic lymphohistiocytosis is a worrisome and challenging diagnostic condition, primarily due to the similarities between the symptoms of hemophagocytic lymphohistiocytosis and those of dengue hemorrhagic fever. Treatment delay may be an inevitable consequence. Differentiating between dengue hemorrhagic fever and dengue-induced hemophagocytic lymphohistiocytosis requires evaluating clinical, laboratory, and biopsy findings. The role of the sickle cell trait is unknown in the presentation.

求助全文
通过发布文献求助,成功后即可免费获取论文全文。 去求助
来源期刊
自引率
0.00%
发文量
64
审稿时长
13 weeks
×
引用
GB/T 7714-2015
复制
MLA
复制
APA
复制
导出至
BibTeX EndNote RefMan NoteFirst NoteExpress
×
提示
您的信息不完整,为了账户安全,请先补充。
现在去补充
×
提示
您因"违规操作"
具体请查看互助需知
我知道了
×
提示
确定
请完成安全验证×
copy
已复制链接
快去分享给好友吧!
我知道了
右上角分享
点击右上角分享
0
联系我们:info@booksci.cn Book学术提供免费学术资源搜索服务,方便国内外学者检索中英文文献。致力于提供最便捷和优质的服务体验。 Copyright © 2023 布克学术 All rights reserved.
京ICP备2023020795号-1
ghs 京公网安备 11010802042870号
Book学术文献互助
Book学术文献互助群
群 号:604180095
Book学术官方微信